Skip to main content

Cath Lab Digest

Recently Published

Heart Failure
03/22/2026
Matthew H. Gonzalez, MD
Dr. Gonzalez shares the value of PA pressure monitoring with the CardioMEMS™ HF System and its use within a busy practice.
Dr. Gonzalez shares the value of PA pressure monitoring with the CardioMEMS™ HF System and its use within a busy practice.
Dr. Gonzalez shares the value of...
03/22/2026
Cath Lab Digest
Clinical Trial Update
03/21/2026
Ronald S. Winokur, MD
Pelvic congestion, or pelvic venous disease (PeVD), is a chronic condition that causes pelvic pain in women. Dr. Winokur outlines the EMBOLIZE trial, a randomized study testing whether adding ovarian/pelvic vein embolization to venography...
Pelvic congestion, or pelvic venous disease (PeVD), is a chronic condition that causes pelvic pain in women. Dr. Winokur outlines the EMBOLIZE trial, a randomized study testing whether adding ovarian/pelvic vein embolization to venography...
Pelvic congestion, or pelvic...
03/21/2026
Cath Lab Digest
ultra-high-pressure balloons
03/21/2026
Khaldoon Alaswad, MD
Dr. Alaswad shares his experience using the OPN NC for controlled ultra-high-pressure dilations to tackle resistant calcified lesions and support optimal stent expansion.
Dr. Alaswad shares his experience using the OPN NC for controlled ultra-high-pressure dilations to tackle resistant calcified lesions and support optimal stent expansion.
Dr. Alaswad shares his...
03/21/2026
Cath Lab Digest
Case Report
03/20/2026
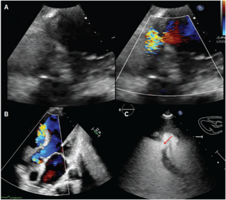
Richard Casazza, MAS; Neel Patel, MD; Allan Mattia, MD; Paul Saunders, MD; Arsalan Hashmi, MD; Greg Ribakove, MD
Cardiac myxomas are histologically benign tumors; however, they may lead to life-threatening complications. The authors share the case of a successful removal of myxoma with resolution of the patient's symptoms.
Cardiac myxomas are histologically benign tumors; however, they may lead to life-threatening complications. The authors share the case of a successful removal of myxoma with resolution of the patient's symptoms.
Cardiac myxomas are...
03/20/2026
Cath Lab Digest
Code Blue Training
03/20/2026
Belen Camacho, DNP, RN, NEA-BC, CV-BC, RCIS; Sally O. Gerard, DNP, RN, CDCES
Camacho and Gerard show that when cath lab–led teams rehearse rare, high-stakes procedural emergencies with high-fidelity code blue simulations, teamwork measurably improves and response times trend faster. They report earning strong staff...
Camacho and Gerard show that when cath lab–led teams rehearse rare, high-stakes procedural emergencies with high-fidelity code blue simulations, teamwork measurably improves and response times trend faster. They report earning strong staff...
Camacho and Gerard show that...
03/20/2026
Cath Lab Digest
Case Report & Discussion
03/19/2026
Ivana Kumar; Anshita Kumari, MBBS; Kusum Lata, MD, FACC, FSCAI
Kumar et al report how insurance denials and delays stalled tibial/pedal CLTI revascularization until a salvageable wound became a threatened limb-loss case, and outline what interventionalists can do to push care forward.
Kumar et al report how insurance denials and delays stalled tibial/pedal CLTI revascularization until a salvageable wound became a threatened limb-loss case, and outline what interventionalists can do to push care forward.
Kumar et al report how insurance...
03/19/2026
Cath Lab Digest
Commentary
03/18/2026
Anamika Fnu, MD; Sakshi Dixit, MD; Anmol Multani, MD; Akiva Rosenzveig, MD; Aravinda Nanjundappa MBBS, MD
Fnu et al examine how insurer-driven approvals can shape (and sometimes constrain) limb-salvage decision-making, and argue for clearer ethical boundaries that keep clinical judgment and patient goals at the center of care.
Fnu et al examine how insurer-driven approvals can shape (and sometimes constrain) limb-salvage decision-making, and argue for clearer ethical boundaries that keep clinical judgment and patient goals at the center of care.
Fnu et al examine how...
03/18/2026
Cath Lab Digest
Imaging Corner
03/17/2026
Patients in rural areas may have issues accessing cardiac care due to limited availability of anesthesia services. Transesophageal echocardiography (TEE) requires moderate to deep sedation, posing additional risk in this vulnerable population...
Patients in rural areas may have issues accessing cardiac care due to limited availability of anesthesia services. Transesophageal echocardiography (TEE) requires moderate to deep sedation, posing additional risk in this vulnerable population...
Patients in rural areas may have...
03/17/2026
Cath Lab Digest
Reimbursement Updates
03/17/2026
Mike Church
Mike Church breaks down CMS’s finalized FY26 IPPS and CY26 OPPS rules, highlighting the payment, quality, coding/DRG, and site-of-care shifts hospitals, physicians, and ASCs need to plan for as more cardiovascular care moves to lower-cost...
Mike Church breaks down CMS’s finalized FY26 IPPS and CY26 OPPS rules, highlighting the payment, quality, coding/DRG, and site-of-care shifts hospitals, physicians, and ASCs need to plan for as more cardiovascular care moves to lower-cost...
Mike Church breaks down CMS’s...
03/17/2026
Cath Lab Digest
Case Report
03/16/2026
Matthew A. Tiede, MD
Dr. Tiede describes using a modified gun-sight recanalization approach to reconstruct an absent/occluded common femoral vein in a patient with severe chronic venous disease. A step-by-step discussion of the gun-sight technique is available in...
Dr. Tiede describes using a modified gun-sight recanalization approach to reconstruct an absent/occluded common femoral vein in a patient with severe chronic venous disease. A step-by-step discussion of the gun-sight technique is available in...
Dr. Tiede describes using a...
03/16/2026
Cath Lab Digest
Jason Money, RN, RCIS
Professional Life
03/15/2026
Jason Money, RN, RCIS
What does it look like to run a modern cath lab outside the U.S.? Jason Money, RN, RCIS, shares a unique perspective shaped by more than two decades working in New Zealand’s public healthcare system.
What does it look like to run a modern cath lab outside the U.S.? Jason Money, RN, RCIS, shares a unique perspective shaped by more than two decades working in New Zealand’s public healthcare system.
What does it look like to run a...
03/15/2026
Cath Lab Digest

Cardiovascular Ambulatory Surgery Centers (ASCs)

Calcium Corner

Clinical Editor's Corner

Clinical Editor's Corner
04/07/2026
Morton J. Kern, MD, MSCAI, FACC, FAHA; Mir Babar Basir, MD, DO; James C. Blankenship, MD; Rhian E. Davies, DO, MD, MS, FACC, FSCAI; Ajay J. Kirtane, MD, SM; Lloyd W. Klein, MD; Mitchell W. Krucoff, MD; Jeffrey M. Schussler, MD; Arnold H. Seto, MD, MPA, CCDS, FACC, FSCAI
Dr. Kern and his expert colleagues weigh whether a brief, controlled pause in chest compressions can help maintain guide and wire position long enough to restore flow during rescue PCI for sudden unprotected left main occlusion.
Dr. Kern and his expert colleagues weigh whether a brief, controlled pause in chest compressions can help maintain guide and wire position long enough to restore flow during rescue PCI for sudden unprotected left main occlusion.
Dr. Kern and his expert...
04/07/2026
Cath Lab Digest
Clinical Editor's Corner
03/26/2026
Morton J. Kern, MD, MSCAI, FACC, FAHA; Steve Goldberg, MD; Dean J. Kereiakes, MD, FACC, MSCAI; Michael Ragosta, MD; Kenneth Rosenfield, MD, MHCDS; Carl L. Tommaso, MD
Dr. Kern and his expert colleagues discuss a case of pectus excavatum, a structural deformity of the anterior thoracic wall in which the sternum and rib cage produce a caved-in or sunken configuration of the chest. It can be congenital at...
Dr. Kern and his expert colleagues discuss a case of pectus excavatum, a structural deformity of the anterior thoracic wall in which the sternum and rib cage produce a caved-in or sunken configuration of the chest. It can be congenital at...
Dr. Kern and his expert...
03/26/2026
Cath Lab Digest
Clinical Editor's Corner
02/01/2026
Morton J. Kern, MD, MSCAI, FACC, FAHA; Samuel M. Butman, MD; Kirk N. Garratt, MD, MSc; Neal S. Kleiman, MD; J. Jeffrey Marshall, MD; Stephen R. Ramee, MD; Kenneth Rosenfield, MD, MHCDS; Arnold H. Seto, MD, MPA, CCDS, FACC, FSCAI
Dr. Morton Kern and his expert colleagues discuss communication and how it may be received by team members in the cath lab.
Dr. Morton Kern and his expert colleagues discuss communication and how it may be received by team members in the cath lab.
Dr. Morton Kern and his expert...
02/01/2026
Cath Lab Digest
Clinical Editor's Corner
01/23/2026
Morton J. Kern, MD, MSCAI, FACC, FAHA
"Engage your passion and begin the questioning of conventional wisdom," says Dr. Kern. "In your research, accept setbacks and obstacles. Do not be afraid to fail."
"Engage your passion and begin the questioning of conventional wisdom," says Dr. Kern. "In your research, accept setbacks and obstacles. Do not be afraid to fail."
"Engage your passion and begin...
01/23/2026
Cath Lab Digest
Clinical Editor's Corner
12/05/2025
Morton J. Kern, MD, MSCAI, FACC, FAHA
On my last cath day, I was standing next to a freshly-minted first-year cardiology trainee. It was a bittersweet moment — a cliché, but true. How many fellows have I worked with? How many unusual patients and novel findings, and how many...
On my last cath day, I was standing next to a freshly-minted first-year cardiology trainee. It was a bittersweet moment — a cliché, but true. How many fellows have I worked with? How many unusual patients and novel findings, and how many...
On my last cath day, I was...
12/05/2025
Cath Lab Digest
Clinical Editor's Corner
10/31/2025
Morton J. Kern, MD, MSCAI, FACC, FAHA; Arnold H. Seto, MD, MPA, CCDS, FACC, FSCAI
Cardiogenic shock is clearly different than bacteremic, neurogenic, toxic, and traumatic (hypovolemic) shock. Significant research progress has been made just in arriving at a common language for shock, through the Society for Cardiovascular...
Cardiogenic shock is clearly different than bacteremic, neurogenic, toxic, and traumatic (hypovolemic) shock. Significant research progress has been made just in arriving at a common language for shock, through the Society for Cardiovascular...
Cardiogenic shock is clearly...
10/31/2025
Cath Lab Digest
Clinical Editor's Corner
10/03/2025
Morton J. Kern, MD, MSCAI, FACC, FAHA; Arnold H. Seto, MD, MPA, CCDS, FACC, FSCAI; Michael Ragosta, MD; Mir Basir, DO
The ACT should be in therapeutic range before disrupting a coronary artery. The rule is no guidewire insertion until ACT is in therapeutic range.
The ACT should be in therapeutic range before disrupting a coronary artery. The rule is no guidewire insertion until ACT is in therapeutic range.
The ACT should be in therapeutic...
10/03/2025
Cath Lab Digest
Clinical Editor's Corner
09/03/2025
Morton J. Kern, MD, MSCAI, FACC, FAHA
Every year, new operators, mostly trainees, start working in our cath lab. As part of our annual continuing quality improvement programs and required education, we received an update on national guidance for preventing and managing radiation...
Every year, new operators, mostly trainees, start working in our cath lab. As part of our annual continuing quality improvement programs and required education, we received an update on national guidance for preventing and managing radiation...
Every year, new operators,...
09/03/2025
Cath Lab Digest
Clinical Editor's Corner
08/01/2025
Morton J. Kern, MD, MSCAI, FACC, FAHA
With an addendum addressing air embolism in left atrial appendage occlusion procedures.
With an addendum addressing air embolism in left atrial appendage occlusion procedures.
With an addendum addressing air...
08/01/2025
Cath Lab Digest
Clinical Editor's Corner
07/03/2025
Morton J. Kern, MD, MSCAI, FACC, FAHA
Vagal responses, while mostly benign, should never be neglected or overlooked as unimportant, or worse, ignored until a real disaster is present. Such could have been the case with the patient we worked with recently.
Vagal responses, while mostly benign, should never be neglected or overlooked as unimportant, or worse, ignored until a real disaster is present. Such could have been the case with the patient we worked with recently.
Vagal responses, while mostly...
07/03/2025
Cath Lab Digest

Watch/Listen

Cath Lab Conversations
Podcasts
05/04/2026
Find all of CLD's exciting podcasts here, or find Cath Lab Digest on Spotify or Apple!
Find all of CLD's exciting podcasts here, or find Cath Lab Digest on Spotify or Apple!
Find all of CLD's exciting...
05/04/2026
Cath Lab Digest
Khaldoon Alaswad, MD
Radiation Safety
04/20/2026
Khaldoon Alaswad, MD, FACC, FSCAI
Dr. Alaswad reflects on how complex PCI is moving into longer, more calcified, higher-risk cases. Cumulative radiation exposure and the physical toll of protection are becoming career-defining issues. Protecting the team is not optional.
Dr. Alaswad reflects on how complex PCI is moving into longer, more calcified, higher-risk cases. Cumulative radiation exposure and the physical toll of protection are becoming career-defining issues. Protecting the team is not optional.
Dr. Alaswad reflects on how...
04/20/2026
Cath Lab Digest
Jason Money, RN, RCIS
Professional Life
03/15/2026
Jason Money, RN, RCIS
What does it look like to run a modern cath lab outside the U.S.? Jason Money, RN, RCIS, shares a unique perspective shaped by more than two decades working in New Zealand’s public healthcare system.
What does it look like to run a modern cath lab outside the U.S.? Jason Money, RN, RCIS, shares a unique perspective shaped by more than two decades working in New Zealand’s public healthcare system.
What does it look like to run a...
03/15/2026
Cath Lab Digest
Brian C. Case, MD, and Bailey Ann Richardson, MSN, AGNP
Coronary Microvascular Dysfunction
02/25/2026
Brian C. Case, MD; Bailey Ann Richardson, MSN, AGNP, RN-BC, RNFA, CNOR, RCIS
Bailey Richardson, MSN, speaks with Brian Case, MD, about coronary microvascular dysfunction and why “normal” angiography can miss the cause of symptoms in patients with angina with non-obstructive coronary arteries (ANOCA).
Bailey Richardson, MSN, speaks with Brian Case, MD, about coronary microvascular dysfunction and why “normal” angiography can miss the cause of symptoms in patients with angina with non-obstructive coronary arteries (ANOCA).
Bailey Richardson, MSN, speaks...
02/25/2026
Cath Lab Digest
Matthew H. Gonzalez, MD
VIDEO: Heart Failure
02/11/2026
Matthew H. Gonzalez, MD
In this 29-minute video (chapters available), Matthew H. Gonzalez, MD, discusses how pulmonary artery pressure monitoring with the CardioMEMS™ HF System made by Abbott shifts management from reactive to proactive by detecting hemodynamic...
In this 29-minute video (chapters available), Matthew H. Gonzalez, MD, discusses how pulmonary artery pressure monitoring with the CardioMEMS™ HF System made by Abbott shifts management from reactive to proactive by detecting hemodynamic...
In this 29-minute video...
02/11/2026
Cath Lab Digest
Matthew H. Gonzalez, MD
PODCAST: Heart Failure Care
02/11/2026
Matthew H. Gonzalez, MD
In this 29-minute podcast, Matthew H. Gonzalez, MD, discusses how pulmonary artery pressure monitoring shifts management from reactive to proactive by detecting hemodynamic congestion before clinical deterioration occurs.
In this 29-minute podcast, Matthew H. Gonzalez, MD, discusses how pulmonary artery pressure monitoring shifts management from reactive to proactive by detecting hemodynamic congestion before clinical deterioration occurs.
In this 29-minute podcast,...
02/11/2026
Cath Lab Digest
Ryan K. Kaple, MD, FACC, FSCAI
Heart Failure Care
01/23/2026
Ryan Kaple, MD
In this 35-minute podcast, Dr. Kaple discusses how the CardioMEMS™ HF System has become an essential tool in managing patients with chronic heart failure.
In this 35-minute podcast, Dr. Kaple discusses how the CardioMEMS™ HF System has become an essential tool in managing patients with chronic heart failure.
In this 35-minute podcast, Dr....
01/23/2026
Cath Lab Digest
Philips OBL / ASC Video
Brief Overview
11/19/2025
Market tends are showing that more procedures are moving to out-of-hospital care settings, such as ambulatory surgery centers (ASCs) and office-based labs (OBLs) due to financial and operational benefits to the healthcare system and desire to...
Market tends are showing that more procedures are moving to out-of-hospital care settings, such as ambulatory surgery centers (ASCs) and office-based labs (OBLs) due to financial and operational benefits to the healthcare system and desire to...
Market tends are showing that...
11/19/2025
Cath Lab Digest
Interview With Viet Le, DMSc, MPAS, PA-C, FACC, FAHA, HF-Cert
Videos
11/18/2025
Viet Le, PA-C, FACC, FAHA; Isabel Vega
Watch as Viet Le, DMSc, MPAS, PA-C, FACC, FAHA, HF-Cert, discusses his abstract from AHA 2025.
Watch as Viet Le, DMSc, MPAS, PA-C, FACC, FAHA, HF-Cert, discusses his abstract from AHA 2025.
Watch as Viet Le, DMSc, MPAS,...
11/18/2025
EP Lab Digest
Ryan K. Kaple, MD, FACC, FSCAI
Heart Failure
10/28/2025
Ryan Kaple, MD
In this video, Ryan K. Kaple, MD, FACC, FSCAI, discusses how the CardioMEMS™ HF System has become an essential tool in managing patients with chronic heart failure.
In this video, Ryan K. Kaple, MD, FACC, FSCAI, discusses how the CardioMEMS™ HF System has become an essential tool in managing patients with chronic heart failure.
In this video, Ryan K. Kaple,...
10/28/2025
Cath Lab Digest

Online Exclusives

Feb 2026 Cath Lab and Beyond Participants
Cath Lab Meetings
03/25/2026
Brenda McCulloch, RN, MSN, CNS
The next program will be offered September 21-24, 2026.
The next program will be offered September 21-24, 2026.
The next program will be offered...
03/25/2026
Cath Lab Digest
Code Blue Training
03/20/2026
Belen Camacho, DNP, RN, NEA-BC, CV-BC, RCIS; Sally O. Gerard, DNP, RN, CDCES
Camacho and Gerard show that when cath lab–led teams rehearse rare, high-stakes procedural emergencies with high-fidelity code blue simulations, teamwork measurably improves and response times trend faster. They report earning strong staff...
Camacho and Gerard show that when cath lab–led teams rehearse rare, high-stakes procedural emergencies with high-fidelity code blue simulations, teamwork measurably improves and response times trend faster. They report earning strong staff...
Camacho and Gerard show that...
03/20/2026
Cath Lab Digest
Peripheral Interventions
01/28/2026
Ivana Kumar; Kusum Lata, MD, FACC, FSCAI; Anshita Kumari, MBBS
The authors report a case of recurrent superficial femoral artery occlusion that necessitated the use of endovascular intervention with image-guided stent placement.
The authors report a case of recurrent superficial femoral artery occlusion that necessitated the use of endovascular intervention with image-guided stent placement.
The authors report a case of...
01/28/2026
Cath Lab Digest
Cath Lab Management
01/27/2026
Sarah Davis-Arnold, MSN, RN, RCIS, EBP-C, NPD-C; Jessica Bower, MSN, RN, CCRN, RCIS, CNOR, NEA-BC
A five-year (2021–2025) look at Marian Regional Medical Center’s high-volume cath lab shows how a “living” CCL/EP procedures manual helped drive service-line expansion, multiple ACC accreditations and Center of Excellence recognition, rising...
A five-year (2021–2025) look at Marian Regional Medical Center’s high-volume cath lab shows how a “living” CCL/EP procedures manual helped drive service-line expansion, multiple ACC accreditations and Center of Excellence recognition, rising...
A five-year (2021–2025) look at...
01/27/2026
Cath Lab Digest
CLD Top 5
Feature
01/20/2026
Isabel Vega
Cath Lab Digest looks back at the year’s most popular articles!
Cath Lab Digest looks back at the year’s most popular articles!
Cath Lab Digest looks back at...
01/20/2026
Cath Lab Digest

Case Reports

Case Report
03/20/2026
Richard Casazza, MAS; Neel Patel, MD; Allan Mattia, MD; Paul Saunders, MD; Arsalan Hashmi, MD; Greg Ribakove, MD
Cardiac myxomas are histologically benign tumors; however, they may lead to life-threatening complications. The authors share the case of a successful removal of myxoma with resolution of the patient's symptoms.
Cardiac myxomas are histologically benign tumors; however, they may lead to life-threatening complications. The authors share the case of a successful removal of myxoma with resolution of the patient's symptoms.
Cardiac myxomas are...
03/20/2026
Cath Lab Digest
Case Report
03/16/2026
Matthew A. Tiede, MD
Dr. Tiede describes using a modified gun-sight recanalization approach to reconstruct an absent/occluded common femoral vein in a patient with severe chronic venous disease. A step-by-step discussion of the gun-sight technique is available in...
Dr. Tiede describes using a modified gun-sight recanalization approach to reconstruct an absent/occluded common femoral vein in a patient with severe chronic venous disease. A step-by-step discussion of the gun-sight technique is available in...
Dr. Tiede describes using a...
03/16/2026
Cath Lab Digest
Case Report
03/15/2026
Muhammad Imran Hanif, MBBS, FCPS, FSCAI, FRCP; Minahil Tariq Sheikh, MBBS, FCPS
Hanif and Sheikh report a dramatic heart failure presentation caused by an acutely ruptured sinus of Valsalva aneurysm with right-atrial shunting. It was successfully treated in the cath lab with transcatheter closure using an Amplatzer Duct...
Hanif and Sheikh report a dramatic heart failure presentation caused by an acutely ruptured sinus of Valsalva aneurysm with right-atrial shunting. It was successfully treated in the cath lab with transcatheter closure using an Amplatzer Duct...
Hanif and Sheikh report a...
03/15/2026
Cath Lab Digest
Peripheral Interventions
01/28/2026
Ivana Kumar; Kusum Lata, MD, FACC, FSCAI; Anshita Kumari, MBBS
The authors report a case of recurrent superficial femoral artery occlusion that necessitated the use of endovascular intervention with image-guided stent placement.
The authors report a case of recurrent superficial femoral artery occlusion that necessitated the use of endovascular intervention with image-guided stent placement.
The authors report a case of...
01/28/2026
Cath Lab Digest
Case Report
01/23/2026
Saiyeda S. Ali, MD; Greeshma Molugu, MD; Ruben Abreu, MD; Asad Rizvi, MD; Mehdi Khalafi, MD
A 56-year-old male with a past medical history of gastroesophageal reflux disease and tobacco abuse presented to the emergency department with a chief complaint of chest pain and progressive shortness of breath of a year duration. The patient...
A 56-year-old male with a past medical history of gastroesophageal reflux disease and tobacco abuse presented to the emergency department with a chief complaint of chest pain and progressive shortness of breath of a year duration. The patient...
A 56-year-old male with a past...
01/23/2026
Cath Lab Digest
Case Report
01/05/2026
Muhammad Imran Hanif, MBBS, FCPS, FSCAI, FRCP; Muhammad Sikandar Saleem, MBBS, FCPS; Muhammad Ansar Maqsood, MBBS, FCPS
The authors share a case of complex wire entrapment during left anterior descending percutaneous coronary intervention illustrating the role of intravascular ultrasound in directing a bailout strategy.
The authors share a case of complex wire entrapment during left anterior descending percutaneous coronary intervention illustrating the role of intravascular ultrasound in directing a bailout strategy.
The authors share a case of...
01/05/2026
Cath Lab Digest
Case Report
12/16/2025
Abdul Wahab, MD; Sachin Joseph, MD; Andres Vargas-Estrada, MD
The authors share a case of a large LAD-to-right-sided coronary cameral fistula that produced angiographic coronary steal but no significant shunt, allowing for successful conservative management.
The authors share a case of a large LAD-to-right-sided coronary cameral fistula that produced angiographic coronary steal but no significant shunt, allowing for successful conservative management.
The authors share a case of a...
12/16/2025
Cath Lab Digest
Case Report
12/14/2025
Mehmet Cilingiroglu, MD; Ibrahim Halil Inanc, MD
Maxillofacial injury is common following major facial trauma, and can lead to life-threatening hemorrhage. The branches of the external carotid artery (Figure 1) are most vulnerable to trauma as the vessels transverse bone structures. The...
Maxillofacial injury is common following major facial trauma, and can lead to life-threatening hemorrhage. The branches of the external carotid artery (Figure 1) are most vulnerable to trauma as the vessels transverse bone structures. The...
Maxillofacial injury is common...
12/14/2025
Cath Lab Digest
Case Report
12/05/2025
Neeraj N. Shah, MD, MPH; Dennis Phillips, DO; Hiroyuki Tsukui, MD; Mitsugu Ogawa, MD; Fouad Jabbour, MD; Ashwin Thiagarajasubramanian, MD; Juan Chahin, MD
Postinfarct (PI) ventricular septal defect (VSD) usually occurs 2-7 days after untreated acute myocardial infarction (MI) due to interventricular septal rupture after necrosis. In the current era of primary percutaneous coronary intervention...
Postinfarct (PI) ventricular septal defect (VSD) usually occurs 2-7 days after untreated acute myocardial infarction (MI) due to interventricular septal rupture after necrosis. In the current era of primary percutaneous coronary intervention...
Postinfarct (PI) ventricular...
12/05/2025
Cath Lab Digest
Case Report
11/01/2025
Boskey Patel, DO, FACC, FSCAI
Calcified coronary lesions remain a formidable opponent in the cath lab, despite the many advancements made in the field to overcome the challenges they pose. Fortunately, operators have an ever-evolving arsenal of interventional tools to...
Calcified coronary lesions remain a formidable opponent in the cath lab, despite the many advancements made in the field to overcome the challenges they pose. Fortunately, operators have an ever-evolving arsenal of interventional tools to...
Calcified coronary lesions...
11/01/2025
Cath Lab Digest

From the Experts

Program Spotlight
12/09/2025
Amir Lotfi, MD; Andrew M. Goldsweig, MD
With a collaborative culture, high-volume expertise, and investment in cutting edge technology, Baystate Medical Center has become a nationally recognized leader in cardiovascular care. In the recent renovation and expansion of Baystate’s...
With a collaborative culture, high-volume expertise, and investment in cutting edge technology, Baystate Medical Center has become a nationally recognized leader in cardiovascular care. In the recent renovation and expansion of Baystate’s...
With a collaborative culture,...
12/09/2025
Cath Lab Digest
Ask the Experts
11/01/2025
Manit Sabharwal ; Morton J. Kern, MD, MSCAI, FACC, FAHA; Arnold H. Seto, MD, MPA, CCDS, FACC, FSCAI
Long-term radialists Morton Kern, MD, and Arnold Seto, MD, MPA, discuss a novel radial access tool, the Prelude Wave™, with Merit Medical®’s Manit Sabharwal. Discussion ranges from transradial access clinical tips to the challenges of...
Long-term radialists Morton Kern, MD, and Arnold Seto, MD, MPA, discuss a novel radial access tool, the Prelude Wave™, with Merit Medical®’s Manit Sabharwal. Discussion ranges from transradial access clinical tips to the challenges of...
Long-term radialists Morton...
11/01/2025
Cath Lab Digest
Resistant Hypertension
10/03/2025
Behnam N. Tehrani, MD, FSCAI
"The signal has been important and clinically meaningful," says Behnam Tehrani, MD. "At the 90-day visit, we have seen a median blood pressure reduction of over 30 mmHg systolic and 10 mmHg diastolic, with a median reduction of 1.3...
"The signal has been important and clinically meaningful," says Behnam Tehrani, MD. "At the 90-day visit, we have seen a median blood pressure reduction of over 30 mmHg systolic and 10 mmHg diastolic, with a median reduction of 1.3...
"The signal has been important...
10/03/2025
Cath Lab Digest
Interview
09/19/2025
Eric A. Secemsky, MD, MSc, RPVI, FACC, FAHA, FSCAI
Eric Secemsky, MD, discusses his AMP 2025 presentation entitled “Outcomes in Patients With and Without CLTI: A Systematic Literature Review on Atherectomy for Peripheral Interventions”.
Eric Secemsky, MD, discusses his AMP 2025 presentation entitled “Outcomes in Patients With and Without CLTI: A Systematic Literature Review on Atherectomy for Peripheral Interventions”.
Eric Secemsky, MD, discusses his...
09/19/2025
Vascular Disease Management
Renal Denervation
06/05/2025
Orestis Pappas, MD, FACC, FSCAI, FSVM
Dr. Orestis Pappas, of Erie, Pennsylvania, shares his clinical experience using the Paradise™ Ultrasound Renal Denervation (uRDN) System (Recor Medical) in a series of patients with uncontrolled hypertension under his care. He reflects on his...
Dr. Orestis Pappas, of Erie, Pennsylvania, shares his clinical experience using the Paradise™ Ultrasound Renal Denervation (uRDN) System (Recor Medical) in a series of patients with uncontrolled hypertension under his care. He reflects on his...
Dr. Orestis Pappas, of Erie,...
06/05/2025
Cath Lab Digest
Peripheral Artery Disease
06/04/2025
Mark C. Bates, MD, DSc(Hons), FACC, FSCAI
"My concern about embolization during interventional procedures dates back almost 3 decades," says Dr. Bates. "While researching and developing one of the early carotid filter systems and as a co-inventor of carotid flow reversal, it became...
"My concern about embolization during interventional procedures dates back almost 3 decades," says Dr. Bates. "While researching and developing one of the early carotid filter systems and as a co-inventor of carotid flow reversal, it became...
"My concern about embolization...
06/04/2025
Cath Lab Digest
Peripheral Intervention
05/07/2025
Jaafer A. Golzar, MD
"The DETOUR System (Endologix) and percutaneous transmural arterial bypass (PTAB) represents a truly exciting addition to our armamentarium for the treatment of complex peripheral artery disease (PAD) patients," says Jaafar A. Golzar, MD,...
"The DETOUR System (Endologix) and percutaneous transmural arterial bypass (PTAB) represents a truly exciting addition to our armamentarium for the treatment of complex peripheral artery disease (PAD) patients," says Jaafar A. Golzar, MD,...
"The DETOUR System (Endologix)...
05/07/2025
Cath Lab Digest
Thrombectomy
05/06/2025
Stanley K. Zimmerman, MD, FACC, FSCAI
"I am seeing decreased blood loss and more efficient clot removal with CAVT, which can detect whether there is thrombus engaged with the catheter," says Dr. Zimmerman.
"I am seeing decreased blood loss and more efficient clot removal with CAVT, which can detect whether there is thrombus engaged with the catheter," says Dr. Zimmerman.
"I am seeing decreased blood...
05/06/2025
Cath Lab Digest
Interview
04/21/2025
Lindsay Machan, MD
VDM spoke with interventional radiologist Lindsay Machan, MD, from Vancouver Hospital in Canada, to discuss his presentation on selecting patients for renal denervation treatment.
VDM spoke with interventional radiologist Lindsay Machan, MD, from Vancouver Hospital in Canada, to discuss his presentation on selecting patients for renal denervation treatment.
VDM spoke with interventional...
04/21/2025
Vascular Disease Management
Renal Denervation
03/05/2025
Amir Kaki, MD, FACC, FSCAI
The Paradise ultrasound Renal Denervation (uRDN) System (Recor Medical, Inc.) uses circumferential ultrasound energy to thermally ablate and disrupt sympathetic nerves along the renal arteries.
The Paradise ultrasound Renal Denervation (uRDN) System (Recor Medical, Inc.) uses circumferential ultrasound energy to thermally ablate and disrupt sympathetic nerves along the renal arteries.
The Paradise ultrasound Renal...
03/05/2025
Cath Lab Digest

Read More

Clinical Editor's Corner
04/07/2026
Morton J. Kern, MD, MSCAI, FACC, FAHA; Mir Babar Basir, MD, DO; James C. Blankenship, MD; Rhian E. Davies, DO, MD, MS, FACC, FSCAI; Ajay J. Kirtane, MD, SM; Lloyd W. Klein, MD; Mitchell W. Krucoff, MD; Jeffrey M. Schussler, MD; Arnold H. Seto, MD, MPA, CCDS, FACC, FSCAI
Dr. Kern and his expert colleagues weigh whether a brief, controlled pause in chest compressions can help maintain guide and wire position long enough to restore flow during rescue PCI for sudden unprotected left main occlusion.
Dr. Kern and his expert colleagues weigh whether a brief, controlled pause in chest compressions can help maintain guide and wire position long enough to restore flow during rescue PCI for sudden unprotected left main occlusion.
Dr. Kern and his expert...
04/07/2026
Cath Lab Digest
Clinical Editor's Corner
03/26/2026
Morton J. Kern, MD, MSCAI, FACC, FAHA; Steve Goldberg, MD; Dean J. Kereiakes, MD, FACC, MSCAI; Michael Ragosta, MD; Kenneth Rosenfield, MD, MHCDS; Carl L. Tommaso, MD
Dr. Kern and his expert colleagues discuss a case of pectus excavatum, a structural deformity of the anterior thoracic wall in which the sternum and rib cage produce a caved-in or sunken configuration of the chest. It can be congenital at...
Dr. Kern and his expert colleagues discuss a case of pectus excavatum, a structural deformity of the anterior thoracic wall in which the sternum and rib cage produce a caved-in or sunken configuration of the chest. It can be congenital at...
Dr. Kern and his expert...
03/26/2026
Cath Lab Digest
Case Report
03/20/2026
Richard Casazza, MAS; Neel Patel, MD; Allan Mattia, MD; Paul Saunders, MD; Arsalan Hashmi, MD; Greg Ribakove, MD
Cardiac myxomas are histologically benign tumors; however, they may lead to life-threatening complications. The authors share the case of a successful removal of myxoma with resolution of the patient's symptoms.
Cardiac myxomas are histologically benign tumors; however, they may lead to life-threatening complications. The authors share the case of a successful removal of myxoma with resolution of the patient's symptoms.
Cardiac myxomas are...
03/20/2026
Cath Lab Digest
Case Report
03/16/2026
Matthew A. Tiede, MD
Dr. Tiede describes using a modified gun-sight recanalization approach to reconstruct an absent/occluded common femoral vein in a patient with severe chronic venous disease. A step-by-step discussion of the gun-sight technique is available in...
Dr. Tiede describes using a modified gun-sight recanalization approach to reconstruct an absent/occluded common femoral vein in a patient with severe chronic venous disease. A step-by-step discussion of the gun-sight technique is available in...
Dr. Tiede describes using a...
03/16/2026
Cath Lab Digest
Case Report
03/15/2026
Muhammad Imran Hanif, MBBS, FCPS, FSCAI, FRCP; Minahil Tariq Sheikh, MBBS, FCPS
Hanif and Sheikh report a dramatic heart failure presentation caused by an acutely ruptured sinus of Valsalva aneurysm with right-atrial shunting. It was successfully treated in the cath lab with transcatheter closure using an Amplatzer Duct...
Hanif and Sheikh report a dramatic heart failure presentation caused by an acutely ruptured sinus of Valsalva aneurysm with right-atrial shunting. It was successfully treated in the cath lab with transcatheter closure using an Amplatzer Duct...
Hanif and Sheikh report a...
03/15/2026
Cath Lab Digest
Clinical Editor's Corner
02/01/2026
Morton J. Kern, MD, MSCAI, FACC, FAHA; Samuel M. Butman, MD; Kirk N. Garratt, MD, MSc; Neal S. Kleiman, MD; J. Jeffrey Marshall, MD; Stephen R. Ramee, MD; Kenneth Rosenfield, MD, MHCDS; Arnold H. Seto, MD, MPA, CCDS, FACC, FSCAI
Dr. Morton Kern and his expert colleagues discuss communication and how it may be received by team members in the cath lab.
Dr. Morton Kern and his expert colleagues discuss communication and how it may be received by team members in the cath lab.
Dr. Morton Kern and his expert...
02/01/2026
Cath Lab Digest
Peripheral Interventions
01/28/2026
Ivana Kumar; Kusum Lata, MD, FACC, FSCAI; Anshita Kumari, MBBS
The authors report a case of recurrent superficial femoral artery occlusion that necessitated the use of endovascular intervention with image-guided stent placement.
The authors report a case of recurrent superficial femoral artery occlusion that necessitated the use of endovascular intervention with image-guided stent placement.
The authors report a case of...
01/28/2026
Cath Lab Digest
Case Report
01/23/2026
Saiyeda S. Ali, MD; Greeshma Molugu, MD; Ruben Abreu, MD; Asad Rizvi, MD; Mehdi Khalafi, MD
A 56-year-old male with a past medical history of gastroesophageal reflux disease and tobacco abuse presented to the emergency department with a chief complaint of chest pain and progressive shortness of breath of a year duration. The patient...
A 56-year-old male with a past medical history of gastroesophageal reflux disease and tobacco abuse presented to the emergency department with a chief complaint of chest pain and progressive shortness of breath of a year duration. The patient...
A 56-year-old male with a past...
01/23/2026
Cath Lab Digest
Clinical Editor's Corner
01/23/2026
Morton J. Kern, MD, MSCAI, FACC, FAHA
"Engage your passion and begin the questioning of conventional wisdom," says Dr. Kern. "In your research, accept setbacks and obstacles. Do not be afraid to fail."
"Engage your passion and begin the questioning of conventional wisdom," says Dr. Kern. "In your research, accept setbacks and obstacles. Do not be afraid to fail."
"Engage your passion and begin...
01/23/2026
Cath Lab Digest
Case Report
01/05/2026
Muhammad Imran Hanif, MBBS, FCPS, FSCAI, FRCP; Muhammad Sikandar Saleem, MBBS, FCPS; Muhammad Ansar Maqsood, MBBS, FCPS
The authors share a case of complex wire entrapment during left anterior descending percutaneous coronary intervention illustrating the role of intravascular ultrasound in directing a bailout strategy.
The authors share a case of complex wire entrapment during left anterior descending percutaneous coronary intervention illustrating the role of intravascular ultrasound in directing a bailout strategy.
The authors share a case of...
01/05/2026
Cath Lab Digest