Skip to main content

Vascular Disease Management

Recently Published

Interview
02/03/2026
Thomas Maldonado, MD
Dr Maldonado discusses the design and significance of the STRIDE trial, highlights key findings, and explains how these data may inform endovascular treatment strategies.
Dr Maldonado discusses the design and significance of the STRIDE trial, highlights key findings, and explains how these data may inform endovascular treatment strategies.
Dr Maldonado discusses the...
02/03/2026
Vascular Disease Management
Original Research
01/19/2026
Alberto Francesco Cereda, MD; Marco Biolcati, MD; Federico Biondi, MD; Marco Stracqualursi, MD; Antonio Gabriele Franchina, MD; Lorenzo Tua, MD; Stefano Lucreziotti, MD
This meta-analysis assesses the association between peak anti-Xa levels and bleeding events in patients treated with apixaban or rivaroxaban.
This meta-analysis assesses the association between peak anti-Xa levels and bleeding events in patients treated with apixaban or rivaroxaban.
This meta-analysis assesses the...
01/19/2026
Vascular Disease Management
Interview
01/15/2026
Mitchell D. Weinberg, MD
Dr Mitchell D. Weinberg discusses the advantages of the FlowTriever system (Inari Medical) and how mechanical thrombectomy is evolving within the field of interventional cardiology.
Dr Mitchell D. Weinberg discusses the advantages of the FlowTriever system (Inari Medical) and how mechanical thrombectomy is evolving within the field of interventional cardiology.
Dr Mitchell D. Weinberg...
01/15/2026
Vascular Disease Management
Interview
01/12/2026
Nicolas J. Mouawad, MD, MPH, MBA
Nicolas J. Mouawad, MD, asks if lytic-based thrombectomy is still relevant and discusses how non–lytic-based therapies provide a better safety profile and lower bleeding risk.
Nicolas J. Mouawad, MD, asks if lytic-based thrombectomy is still relevant and discusses how non–lytic-based therapies provide a better safety profile and lower bleeding risk.
Nicolas J. Mouawad, MD, asks if...
01/12/2026
Vascular Disease Management
Editorial/Commentary
12/22/2025
McCall Walker, MD
McCall Walker, MD, discusses the article by Finn et al, "Dealing With Dense Calcium".
McCall Walker, MD, discusses the article by Finn et al, "Dealing With Dense Calcium".
McCall Walker, MD, discusses the...
12/22/2025
Vascular Disease Management
Case Series
12/15/2025
Matthew T. Finn, MD, MS; Sahil A. Parikh, MD, FACC, FSCAI; Pradeep K. Nair, MD, FACC, FSCAI; Craig M. Walker, MD, FACC, FACP, FSCAI, FCCP
In this case series, the authors illustrate feasible adjunctive strategies for balloon and wire uncrossable calcified chronic total occlusions.
In this case series, the authors illustrate feasible adjunctive strategies for balloon and wire uncrossable calcified chronic total occlusions.
In this case series, the authors...
12/15/2025
Vascular Disease Management
Case Report
12/02/2025
Matthew Tiede, MD
The author presents a case of common femoral vein occlusion in a patient with Klippel-Trénaunay syndrome.
The author presents a case of common femoral vein occlusion in a patient with Klippel-Trénaunay syndrome.
The author presents a case of...
12/02/2025
Vascular Disease Management
Advertorial
11/17/2025
Mikael Fadoul, MD
Vascular surgeon Mikael Fadoul, MD, discuss restoring venous inflow using Penumbra’s Lightning Flash Computer Assisted Vacuum Thrombectomy technology.
Vascular surgeon Mikael Fadoul, MD, discuss restoring venous inflow using Penumbra’s Lightning Flash Computer Assisted Vacuum Thrombectomy technology.
Vascular surgeon Mikael Fadoul,...
11/17/2025
Vascular Disease Management
OBL Corner
08/22/2025
Osman Ahmed, MD
VDM spoke with interventional radiologist Osman Ahmed, MD, FSIR, FCIRSE, about the Joint & Vascular Institute, a new OBL in Libertyville, Illinois, that he started with Mikin V. Patel, MD, MBA.
VDM spoke with interventional radiologist Osman Ahmed, MD, FSIR, FCIRSE, about the Joint & Vascular Institute, a new OBL in Libertyville, Illinois, that he started with Mikin V. Patel, MD, MBA.
VDM spoke with interventional...
08/22/2025
Vascular Disease Management
Interview
08/20/2025
Jason Levy, MD, FSIR
Jason Levy, MD, FSIR, discusses the clinical considerations, procedural techniques, and ongoing evidence in the use of percutaneous ablation for treating vertebral metastases.
Jason Levy, MD, FSIR, discusses the clinical considerations, procedural techniques, and ongoing evidence in the use of percutaneous ablation for treating vertebral metastases.
Jason Levy, MD, FSIR, discusses...
08/20/2025
Vascular Disease Management
Dr. Brett Wiechmann and Dr. Richard Neville
Podcasts
07/11/2025
Bret N. Wiechmann, MD, FSIR, FAHA; Richard Neville, MD
Join new course directors Dr. Brett Wiechmann and Dr. Richard Neville as they offer a preview of the 2025 Amputation Prevention Symposium (AMP), the leading conference dedicated to education and innovation in limb preservation and CLTI care.
Join new course directors Dr. Brett Wiechmann and Dr. Richard Neville as they offer a preview of the 2025 Amputation Prevention Symposium (AMP), the leading conference dedicated to education and innovation in limb preservation and CLTI care.
Join new course directors Dr....
07/11/2025
Vascular Disease Management

Interventional Oncology

Videos & Podcasts

Screenshot of Dr Walker from his commentary video
Videos
03/18/2026
Craig M. Walker, MD, FACC, FACP, FSCAI, FCCP
In this video, Dr Walker comments on "Temporary Occlusion Embolectomy: A Cost-Effective Approach to Distal Embolic Protection in Peripheral Artery Disease.”
In this video, Dr Walker comments on "Temporary Occlusion Embolectomy: A Cost-Effective Approach to Distal Embolic Protection in Peripheral Artery Disease.”
In this video, Dr Walker...
03/18/2026
Vascular Disease Management
DDaye headshot
Video
03/13/2026
Dania Daye, MD, PhD
Dr Dania Daye discusses the need for standardized reporting in artificial intelligence (AI) studies and reflects on key themes from her recent keynote at the Society of Interventional Oncology (SIO) conference.
Dr Dania Daye discusses the need for standardized reporting in artificial intelligence (AI) studies and reflects on key themes from her recent keynote at the Society of Interventional Oncology (SIO) conference.
Dr Dania Daye discusses the need...
03/13/2026
Vascular Disease Management
Dr Marianne Brodmann speaks at ISET 2026
ISET 2026
03/12/2026
Marianne Brodmann, MD
Dr. Brodmann reviews the results of the TRUE-PTX study, which compared paclitaxel drug-eluting and bare device treatment for PAD using real-world data design.
Dr. Brodmann reviews the results of the TRUE-PTX study, which compared paclitaxel drug-eluting and bare device treatment for PAD using real-world data design.
Dr. Brodmann reviews the results...
03/12/2026
Vascular Disease Management
Dr Andrew Niekamp introduces Drs Siah, N'Dandu, and Nagarsheth
Sponsored Video
03/05/2026
Michael Siah, MD; Zola N'Dandu, MD; Khanjan Nagarsheth, MD, MBA, RPVI
From redefining what “no-option” truly means, to understanding the role of small artery disease and medial arterial calcification in decision-making, this discussion highlights both clinical data and real-world experience with LimFlow.
From redefining what “no-option” truly means, to understanding the role of small artery disease and medial arterial calcification in decision-making, this discussion highlights both clinical data and real-world experience with LimFlow.
From redefining what “no-option”...
03/05/2026
Vascular Disease Management
Gustavo Oderich, MD, Robert Rhee, MD, and Sukgu Han, MD
sponsored video
02/27/2026
Gustavo S. Oderich, MD; Robert Rhee, MD; Sukgu Han, MD
Three experts share their perspective on the GORE EXCLUDER Conformable AAA Endoprosthesis.
Three experts share their perspective on the GORE EXCLUDER Conformable AAA Endoprosthesis.
Three experts share their...
02/27/2026
Vascular Disease Management
Craig Walker, MD
Video Commentary
01/19/2026
Craig M. Walker, MD, FACC, FACP, FSCAI, FCCP
In this video, Dr Walker discusses the article by Krishna Jain, MD, "Safety in Office-Based Laboratories and Ambulatory Surgery Centers".
In this video, Dr Walker discusses the article by Krishna Jain, MD, "Safety in Office-Based Laboratories and Ambulatory Surgery Centers".
In this video, Dr Walker...
01/19/2026
Vascular Disease Management
McCall Walker, MD
Video Commentary
12/22/2025
McCall Walker, MD
In this video, McCall Walker, MD, discusses the article by Finn et al, "Dealing With Dense Calcium".
In this video, McCall Walker, MD, discusses the article by Finn et al, "Dealing With Dense Calcium".
In this video, McCall Walker,...
12/22/2025
Vascular Disease Management
Dr Nagarsheth
Sponsored Video
12/01/2025
Khanjan Nagarsheth, MD, MBA, RPVI
Dr KJ Nagarsheth, Professor of Surgery, Division of Vascular Surgery, at the University of Maryland School of Medicine, offers a concise, real-world readout on the clinical and procedural value of the Artix thrombectomy system.
Dr KJ Nagarsheth, Professor of Surgery, Division of Vascular Surgery, at the University of Maryland School of Medicine, offers a concise, real-world readout on the clinical and procedural value of the Artix thrombectomy system.
Dr KJ Nagarsheth, Professor of...
12/01/2025
Vascular Disease Management
Stumetz headshot
CIO 2025
11/25/2025
Kyle S. Stumetz, DO; Laura Simson, MA
Kyle S. Stumetz, winner of the 2025 CIO Young Investigator Award, discusses his study, “Absorbable Gelatin Hydrodissection in Oncologic Thermal Ablations: Initial Outcomes.”
Kyle S. Stumetz, winner of the 2025 CIO Young Investigator Award, discusses his study, “Absorbable Gelatin Hydrodissection in Oncologic Thermal Ablations: Initial Outcomes.”
Kyle S. Stumetz, winner of the...
11/25/2025
Vascular Disease Management
Video Commentary
11/20/2025
Craig M. Walker, MD, FACC, FACP, FSCAI, FCCP
In this video, Dr Walker discusses the article by Zarins and Krievens, "Chronic Limb-Threatening Ischemia: Are We Saving Limbs but Losing Lives?"
In this video, Dr Walker discusses the article by Zarins and Krievens, "Chronic Limb-Threatening Ischemia: Are We Saving Limbs but Losing Lives?"
In this video, Dr Walker...
11/20/2025
Vascular Disease Management

Office-Based Labs (OBL) Corner

Editor's Corner

Clinical Editor's Corner
03/17/2026
Craig M. Walker, MD, FACC, FACP, FSCAI, FCCP
Dr Walker comments on "Temporary Occlusion Embolectomy: A Cost-Effective Approach to Distal Embolic Protection in Peripheral Artery Disease.”
Dr Walker comments on "Temporary Occlusion Embolectomy: A Cost-Effective Approach to Distal Embolic Protection in Peripheral Artery Disease.”
Dr Walker comments on "Temporary...
03/17/2026
Vascular Disease Management
Clinical Editor's Corner
01/16/2026
Craig M. Walker, MD, FACC, FACP, FSCAI, FCCP
Dr Walker discusses the article by Krishna Jain, MD, “Safety in Office-Based Laboratories and Ambulatory Surgical Centers”.
Dr Walker discusses the article by Krishna Jain, MD, “Safety in Office-Based Laboratories and Ambulatory Surgical Centers”.
Dr Walker discusses the article...
01/16/2026
Vascular Disease Management
Clinical Editor's Corner
11/20/2025
Craig M. Walker, MD, FACC, FACP, FSCAI, FCCP
Dr Walker discusses the article by Zarins and Krievens, "Chronic Limb-Threatening Ischemia: Are We Saving Limbs but Losing Lives?"
Dr Walker discusses the article by Zarins and Krievens, "Chronic Limb-Threatening Ischemia: Are We Saving Limbs but Losing Lives?"
Dr Walker discusses the article...
11/20/2025
Vascular Disease Management
Clinical Editor's Corner
10/14/2025
Craig M. Walker, MD, FACC, FACP, FSCAI, FCCP
Clinical Editor Dr Craig Walker comments on the article by Mary Yost, MBA, "The Cost of Venous Thromboembolism".
Clinical Editor Dr Craig Walker comments on the article by Mary Yost, MBA, "The Cost of Venous Thromboembolism".
Clinical Editor Dr Craig Walker...
10/14/2025
Vascular Disease Management
Editor's Corner
09/19/2025
Craig M. Walker, MD, FACC, FACP, FSCAI, FCCP
Dr Walker comments on the article by Randhawa, Thomas, and Siah entitled “Deep Vein Arterialization for No-Option Chronic Limb-Threatening Ischemia: An Overview of the LimFlow System and CLariTI Study”.
Dr Walker comments on the article by Randhawa, Thomas, and Siah entitled “Deep Vein Arterialization for No-Option Chronic Limb-Threatening Ischemia: An Overview of the LimFlow System and CLariTI Study”.
Dr Walker comments on the...
09/19/2025
Vascular Disease Management
Editor's Corner
08/19/2024
Matthew T. Finn, MD, MS
Dr. Matthew Finn discusses the article by Soliman et al, “The Impact of Early Vascular Simulation Training in Medical School Education.”
Dr. Matthew Finn discusses the article by Soliman et al, “The Impact of Early Vascular Simulation Training in Medical School Education.”
Dr. Matthew Finn discusses the...
08/19/2024
Vascular Disease Management
Editor's Corner
12/15/2023
Craig M. Walker, MD, FACC, FACP, FSCAI, FCCP
In December's Editor's Corner, Dr. Walker asks if clinicians should be screening for peripheral arterial disease.
In December's Editor's Corner, Dr. Walker asks if clinicians should be screening for peripheral arterial disease.
In December's Editor's Corner,...
12/15/2023
Vascular Disease Management
Editor's Corner
10/30/2023
McCall Walker, MD; Craig M. Walker, MD, FACC, FACP, FSCAI, FCCP; Sahil A. Parikh, MD, FACC, FSCAI; Matthew T. Finn, MD, MS
In light of recent reports alleging overuse of atherectomy devices, the authors revisit the guidelines and clinical data as to inform the overall discourse surrounding the appropriate use of these devices.
In light of recent reports alleging overuse of atherectomy devices, the authors revisit the guidelines and clinical data as to inform the overall discourse surrounding the appropriate use of these devices.
In light of recent reports...
10/30/2023
Vascular Disease Management
Editor's Corner
09/20/2023
Craig M. Walker, MD, FACC, FACP, FSCAI, FCCP
Dr. Walker discusses the recent controversy over the New York Times article on atherectomy.
Dr. Walker discusses the recent controversy over the New York Times article on atherectomy.
Dr. Walker discusses the recent...
09/20/2023
Vascular Disease Management
Editor's Corner
08/30/2023
Pradeep K. Nair, MD, FACC, FSCAI
Looking at a unique case.
Looking at a unique case.
Looking at a unique case.
08/30/2023
Vascular Disease Management

Clinical Insights

Case Report
12/02/2025
Matthew Tiede, MD
The author presents a case of common femoral vein occlusion in a patient with Klippel-Trénaunay syndrome.
The author presents a case of common femoral vein occlusion in a patient with Klippel-Trénaunay syndrome.
The author presents a case of...
12/02/2025
Vascular Disease Management
Case Report
10/20/2025
Miguel Ignacio Herrero, MD; Sandra Vicente Jiménez, MD, PhD; Blanca Expósito Camacho, MD; Ignacio Querol Cisneros, MD; Marina Navarro Sáez, MD; Luis De Benito Fernandez, MD
The case of a 64-year-old man with bilateral acute ischemia.
The case of a 64-year-old man with bilateral acute ischemia.
The case of a 64-year-old man...
10/20/2025
Vascular Disease Management
Case Report
09/22/2025
John H. Shao, MD; John Lee, MD; Haris Umer Usman, MD, MS
The authors describe the successful application of PTAB utilizing the Detour system (Endologix) as a limb salvage strategy for a patient with previously failed femoropopliteal bypass.
The authors describe the successful application of PTAB utilizing the Detour system (Endologix) as a limb salvage strategy for a patient with previously failed femoropopliteal bypass.
The authors describe the...
09/22/2025
Vascular Disease Management
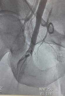
Figure 1
Advertorial
09/16/2025
Diana Puicea, MD; Silvan Omerovic, DO; Umer Tariq, MD; Prasanna Sengodan, MD
In this case report, a 45-year-old man with a history of polysubstance abuse presented with intractable nausea and vomiting. Angiography confirmed left anterior descending patency but with significant thrombus burden.
In this case report, a 45-year-old man with a history of polysubstance abuse presented with intractable nausea and vomiting. Angiography confirmed left anterior descending patency but with significant thrombus burden.
In this case report, a...
09/16/2025
Vascular Disease Management
Case Report
04/30/2025
Amithavikrama Kheda, MD; Sharath BM, DNB, RD; Vijayalakshmi Devi Bodagala, DNB, RD; Neha Oruganti, MBBS; Sri Satyavathi Davuluri, MS, MCh
The authors present the case of a 56-year-old woman with left leg swelling and pain due to May-Thurner syndrome and an associated AVF that was successfully treated with endovascular techniques.
The authors present the case of a 56-year-old woman with left leg swelling and pain due to May-Thurner syndrome and an associated AVF that was successfully treated with endovascular techniques.
The authors present the case of...
04/30/2025
Vascular Disease Management
Case Report
11/08/2024
Sreejit Nair, MD; Ashwani Sastry, MD; Janardhan Srinivasan, MD; Michael Canavan, DPM; Fadi Saab, MD, FACC, FSCAI; John H. Rundback, MD, FAHA, FSIR
Retrograde pedal access has been well-described in the literature to facilitate complex arterial revascularization when a traditional antegrade approach fails. This is useful for infrapopliteal disease that is often seen in patients with CLI.
Retrograde pedal access has been well-described in the literature to facilitate complex arterial revascularization when a traditional antegrade approach fails. This is useful for infrapopliteal disease that is often seen in patients with CLI.
Retrograde pedal access has been...
11/08/2024
Vascular Disease Management
Case Report
10/25/2024
Qais Radaideh, MD, MS; McKayla Deisz; Ahmed Al Shaer, MD; Leonel Al Dakar; Ann E. Narmi, MD; Toufik Mahfood Haddad, MD
Observations suggest that up to 8% of individuals initially diagnosed with suspected subclavian steal syndrome may present with innominate artery lesions.
Observations suggest that up to 8% of individuals initially diagnosed with suspected subclavian steal syndrome may present with innominate artery lesions.
Observations suggest that up to...
10/25/2024
Vascular Disease Management
Case Report
08/20/2024
Jill Elizabeth Guillette, DO; Gurpreet Baweja, MD; Carlos Macias, MD
In this Case Report, the authors present 2 cases of retrograde CAS in patients with complex vascular anatomy, highlighting the technique’s effectiveness and safety. A literature review underscores the method’s benefits and risks.
In this Case Report, the authors present 2 cases of retrograde CAS in patients with complex vascular anatomy, highlighting the technique’s effectiveness and safety. A literature review underscores the method’s benefits and risks.
In this Case Report, the authors...
08/20/2024
Vascular Disease Management
Case Report
07/15/2024
Rachel Shatanof, MD; Simon Gaviria-Valencia, MD; Francisco Ujueta, MD, MS; Arman Gill, MD; David Paniagua, MD
Carotid webs are nonatherosclerotic fibrous bands commonly found on the carotid bulb's posterior margin. Little is known about their pathogenesis. It is hypothesized that carotid webs are congenital abnormalities that proliferate in response...
Carotid webs are nonatherosclerotic fibrous bands commonly found on the carotid bulb's posterior margin. Little is known about their pathogenesis. It is hypothesized that carotid webs are congenital abnormalities that proliferate in response...
Carotid webs are...
07/15/2024
Vascular Disease Management
Case Report
03/13/2024

Chaima Chihaoui, MD; Khedija Soumer, MD; Nadia Azabou, MD; Houcine Horchani, MD; Mouna Bousnina, MD; Amine Jemel, MD

Department of Cardiovascular Surgery, Abderrahmen Mami Pneumology and Phtisiology Hospital, Ariana, Tunisia

Chaima Chihaoui, MD; Khedija Soumer, ...
True axillary artery aneurysms are uncommon but dangerous lesions. They remain asymptomatic until a complication occurs. The authors report a case of a left axillary artery aneurysm revealed by acute ischemia of the upper extremity.
True axillary artery aneurysms are uncommon but dangerous lesions. They remain asymptomatic until a complication occurs. The authors report a case of a left axillary artery aneurysm revealed by acute ischemia of the upper extremity.
True axillary artery aneurysms...
03/13/2024
Vascular Disease Management

Read More

Original Research
03/18/2026
Tom Davis, MD; Peter Dovgan, MD; Eric J. Dippel, MD
This retrospective observational case series evaluated embolic debris retrieval and procedural feasibility of temporary occlusion embolectomy during complex peripheral vascular interventions.
This retrospective observational case series evaluated embolic debris retrieval and procedural feasibility of temporary occlusion embolectomy during complex peripheral vascular interventions.
This retrospective observational...
03/18/2026
Vascular Disease Management
Interview
03/13/2026
Dania Daye, MD, PhD
Dr Dania Daye discusses the need for standardized reporting in AI studies and reflects on key themes from her recent keynote at the Society of Interventional Oncology (SIO) conference.
Dr Dania Daye discusses the need for standardized reporting in AI studies and reflects on key themes from her recent keynote at the Society of Interventional Oncology (SIO) conference.
Dr Dania Daye discusses the need...
03/13/2026
Vascular Disease Management
Interview
03/11/2026
Srini Tummala, MD
Dr. Srini Tummala outlines the essential components of a high-quality noninvasive vascular assessment for patients with chronic limb-threatening ischemia.
Dr. Srini Tummala outlines the essential components of a high-quality noninvasive vascular assessment for patients with chronic limb-threatening ischemia.
Dr. Srini Tummala outlines the...
03/11/2026
Vascular Disease Management
VDM logo
SIO 2026
03/02/2026
Laura Simson, MA
The yttrium-90 (Y-90) abstracts presented at Society of Interventional Oncology (SIO) 2026 Annual Scientific Meeting reflect the expanding role of transarterial radioembolization and radiation segmentectomy across a spectrum of hepatic and...
The yttrium-90 (Y-90) abstracts presented at Society of Interventional Oncology (SIO) 2026 Annual Scientific Meeting reflect the expanding role of transarterial radioembolization and radiation segmentectomy across a spectrum of hepatic and...
The yttrium-90 (Y-90) abstracts...
03/02/2026
Vascular Disease Management
Gustavo Oderich, MD, Robert Rhee, MD, and Sukgu Han, MD
sponsored video
02/27/2026
Gustavo S. Oderich, MD; Robert Rhee, MD; Sukgu Han, MD
Three experts share their perspective on the GORE EXCLUDER Conformable AAA Endoprosthesis.
Three experts share their perspective on the GORE EXCLUDER Conformable AAA Endoprosthesis.
Three experts share their...
02/27/2026
Vascular Disease Management
Interview
02/18/2026
Jon Matsumura, MD
Despite advances, women with AAA continue to experience disproportionately higher mortality rates and remain significantly underrepresented in clinical trials.
Despite advances, women with AAA continue to experience disproportionately higher mortality rates and remain significantly underrepresented in clinical trials.
Despite advances, women with AAA...
02/18/2026
Vascular Disease Management
Society of Interventional Oncology logo
SIO 2026
02/06/2026
Laura Simson, MA
Highlights from SIO 2026, the Society of Interventional Oncology Annual Scientific Meeting.
Highlights from SIO 2026, the Society of Interventional Oncology Annual Scientific Meeting.
Highlights from SIO 2026, the...
02/06/2026
Vascular Disease Management
Interview
02/03/2026
Thomas Maldonado, MD
Dr Maldonado discusses the design and significance of the STRIDE trial, highlights key findings, and explains how these data may inform endovascular treatment strategies.
Dr Maldonado discusses the design and significance of the STRIDE trial, highlights key findings, and explains how these data may inform endovascular treatment strategies.
Dr Maldonado discusses the...
02/03/2026
Vascular Disease Management
Interview
02/02/2026
Gloria Salazar, MD, FSIR
Dr Salazar emphasizes the importance of maintaining a comprehensive, systems-based approach to venous assessment.
Dr Salazar emphasizes the importance of maintaining a comprehensive, systems-based approach to venous assessment.
Dr Salazar emphasizes the...
02/02/2026
Vascular Disease Management
CIO logo
CIO 2025
01/29/2026
Laura Simson, MA
At CIO 2025, Dr Mishal Mendiratta-Lala presented an in-depth review of the current clinical status of histotripsy for the liver and emerging nonhepatic applications.
At CIO 2025, Dr Mishal Mendiratta-Lala presented an in-depth review of the current clinical status of histotripsy for the liver and emerging nonhepatic applications.
At CIO 2025, Dr Mishal...
01/29/2026
Vascular Disease Management