Using 4D ICE for LAAO in a Rural Patient
© 2026 HMP Global. All Rights Reserved.
Any views and opinions expressed are those of the author(s) and/or participants and do not necessarily reflect the views, policy, or position of Cath Lab Digest or HMP Global, their employees, and affiliates.
Images/courtesy Cardiovascular Associates of Arizona
Patients in rural areas may have issues accessing cardiac care due to limited availability of anesthesia services. Transesophageal echocardiography (TEE) requires moderate to deep sedation, posing additional risk in this vulnerable population and creating logistical challenges. Intracardiac echocardiography (ICE) offers a safe, minimally invasive alternative with reduced sedation.
In this case, an elderly female with persistent atrial fibrillation and elevated stroke risk presented for left atrial appendage occlusion (LAAO) evaluation. Due to geographic and logistical challenges in accessing TEE under sedation, the care team opted for a 4D ICE-guided (AcuNav Lumos, Siemens Healthineers) LAAO procedure performed with conscious sedation. Multiplanar reconstructions (MPRs) from 4D ICE were used to assess the LAA’s landing zone dimensions, enabling precise device sizing (Figure 1).
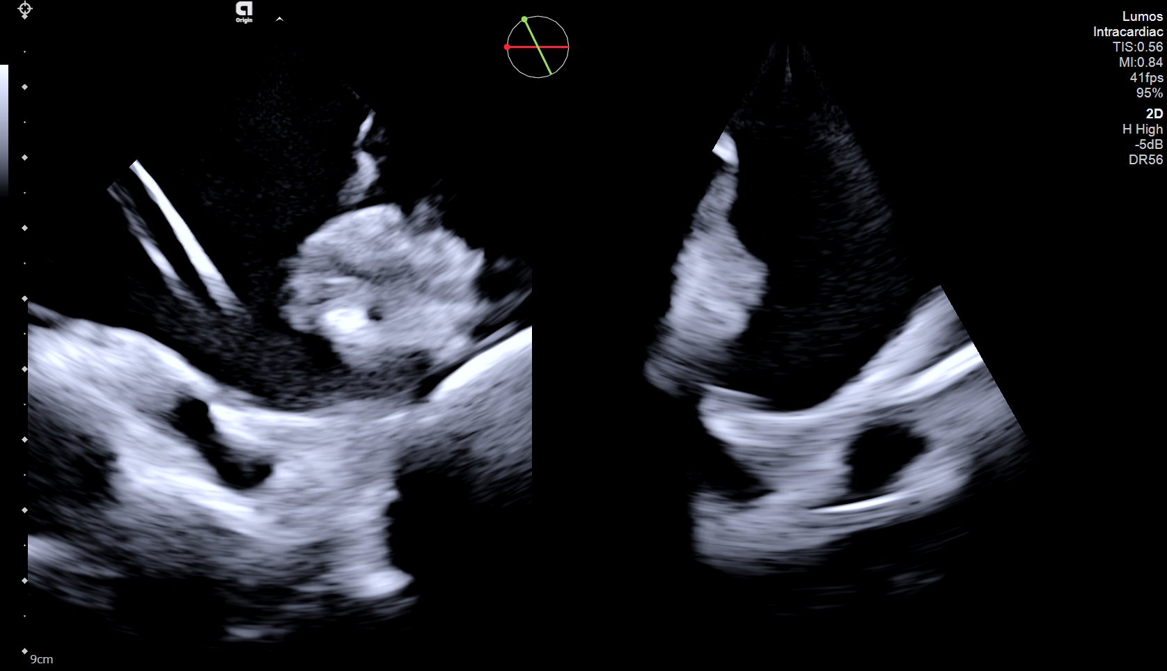
Biplane ICE guidance ensured safe, accurate transseptal sheath positioning into the LAA prior to device delivery (Figure 2). The LAAO device was inserted and guided into position with real-time 4D ICE visualization (Figure 3). Appropriate orientation and compression were confirmed, followed by a tension/tug test to validate stability.
Final 4D ICE imaging confirmed optimal device placement, with no significant peri-device leak, thrombus, or malposition (Figure 4). The procedure was completed without general anesthesia and no complications. The patient was discharged the next day with dual antiplatelet therapy and scheduled follow-up.


