Skip to main content

Current Issue

Cath Lab Spotlight
02/14/2026
Margaret McGowan, MSN, RN, CEN; Tresy Thomas, MSN, RN, FNP-BC
JSUMC has been ranked by U.S. News & World Report as a Top 10 hospital in NJ for 13 consecutive years. Jersey Shore has received 10 consecutive ‘A’ grades for patient safety from The Leapfrog Group. The medical center is the only open and...
JSUMC has been ranked by U.S. News & World Report as a Top 10 hospital in NJ for 13 consecutive years. Jersey Shore has received 10 consecutive ‘A’ grades for patient safety from The Leapfrog Group. The medical center is the only open and...
JSUMC has been ranked by U.S....
02/14/2026
Cath Lab Digest
Clinical Editor's Corner
02/01/2026
Morton J. Kern, MD, MSCAI, FACC, FAHA; Samuel M. Butman, MD; Kirk N. Garratt, MD, MSc; Neal S. Kleiman, MD; J. Jeffrey Marshall, MD; Stephen R. Ramee, MD; Kenneth Rosenfield, MD, MHCDS; Arnold H. Seto, MD, MPA, CCDS, FACC, FSCAI
Dr. Morton Kern and his expert colleagues discuss communication and how it may be received by team members in the cath lab.
Dr. Morton Kern and his expert colleagues discuss communication and how it may be received by team members in the cath lab.
Dr. Morton Kern and his expert...
02/01/2026
Cath Lab Digest
Clinical Trial Update
01/30/2026
Donald E. Cutlip, MD
SELUTION4ISR is a prospective, international, randomized, single-blind clinical trial evaluating a sirolimus-eluting balloon for the treatment of coronary in-stent restenosis in arteries with up to two layers of bare-metal or drug-eluting...
SELUTION4ISR is a prospective, international, randomized, single-blind clinical trial evaluating a sirolimus-eluting balloon for the treatment of coronary in-stent restenosis in arteries with up to two layers of bare-metal or drug-eluting...
SELUTION4ISR is a prospective,...
01/30/2026
Cath Lab Digest
Peripheral Interventions
01/28/2026
Ivana Kumar; Kusum Lata, MD, FACC, FSCAI; Anshita Kumari, MBBS
The authors report a case of recurrent superficial femoral artery occlusion that necessitated the use of endovascular intervention with image-guided stent placement.
The authors report a case of recurrent superficial femoral artery occlusion that necessitated the use of endovascular intervention with image-guided stent placement.
The authors report a case of...
01/28/2026
Cath Lab Digest
Cath Lab Management
01/27/2026
Sarah Davis-Arnold, MSN, RN, RCIS, EBP-C, NPD-C; Jessica Bower, MSN, RN, CCRN, RCIS, CNOR, NEA-BC
A five-year (2021–2025) look at Marian Regional Medical Center’s high-volume cath lab shows how a “living” CCL/EP procedures manual helped drive service-line expansion, multiple ACC accreditations and Center of Excellence recognition, rising...
A five-year (2021–2025) look at Marian Regional Medical Center’s high-volume cath lab shows how a “living” CCL/EP procedures manual helped drive service-line expansion, multiple ACC accreditations and Center of Excellence recognition, rising...
A five-year (2021–2025) look at...
01/27/2026
Cath Lab Digest
Case Report
01/23/2026
Saiyeda S. Ali, MD; Greeshma Molugu, MD; Ruben Abreu, MD; Asad Rizvi, MD; Mehdi Khalafi, MD
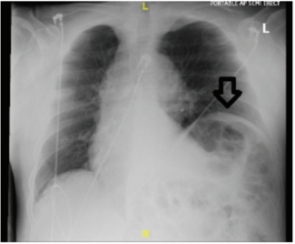
A 56-year-old male with a past medical history of gastroesophageal reflux disease and tobacco abuse presented to the emergency department with a chief complaint of chest pain and progressive shortness of breath of a year duration. The patient...
A 56-year-old male with a past medical history of gastroesophageal reflux disease and tobacco abuse presented to the emergency department with a chief complaint of chest pain and progressive shortness of breath of a year duration. The patient...
A 56-year-old male with a past...
01/23/2026
Cath Lab Digest
GUIDEWIRES
01/23/2026
Tanvir Bajwa, MD
Our program treats approximately 700 transcatheter aortic valve replacement (TAVR) patients a year and has implanted over 4,000 Evolut (Medtronic) TAVRs.
Our program treats approximately 700 transcatheter aortic valve replacement (TAVR) patients a year and has implanted over 4,000 Evolut (Medtronic) TAVRs.
Our program treats approximately...
01/23/2026
Cath Lab Digest
Clinical Editor's Corner
01/23/2026
Morton J. Kern, MD, MSCAI, FACC, FAHA
"Engage your passion and begin the questioning of conventional wisdom," says Dr. Kern. "In your research, accept setbacks and obstacles. Do not be afraid to fail."
"Engage your passion and begin the questioning of conventional wisdom," says Dr. Kern. "In your research, accept setbacks and obstacles. Do not be afraid to fail."
"Engage your passion and begin...
01/23/2026
Cath Lab Digest
professional growth
01/15/2026
Samantha Propper, MBA, BS, RCIS CEO and Founder, Don’t Miss A Beat
Find more images from CLD Editorial Board member Samantha Propper, MBA, BS, RCIS, Propper Consulting, LLC (Don’t Miss A Beat), at https://dontmissabeat.store/
Find more images from CLD Editorial Board member Samantha Propper, MBA, BS, RCIS, Propper Consulting, LLC (Don’t Miss A Beat), at https://dontmissabeat.store/
Find more images from CLD...
01/15/2026
Cath Lab Digest
Cath Lab Management
01/06/2026
Carol Wesley, MSN, MHA, RN
Carol Wesley, MSN, MHA, RN, offers actionable strategies to help organizations align their cardiovascular services with national standards, market expectations, and long-term institutional goals. Whether your program is in its early stages or...
Carol Wesley, MSN, MHA, RN, offers actionable strategies to help organizations align their cardiovascular services with national standards, market expectations, and long-term institutional goals. Whether your program is in its early stages or...
Carol Wesley, MSN, MHA, RN,...
01/06/2026
Cath Lab Digest
Case Report
01/05/2026
Muhammad Imran Hanif, MBBS, FCPS, FSCAI, FRCP; Muhammad Sikandar Saleem, MBBS, FCPS; Muhammad Ansar Maqsood, MBBS, FCPS
The authors share a case of complex wire entrapment during left anterior descending percutaneous coronary intervention illustrating the role of intravascular ultrasound in directing a bailout strategy.
The authors share a case of complex wire entrapment during left anterior descending percutaneous coronary intervention illustrating the role of intravascular ultrasound in directing a bailout strategy.
The authors share a case of...
01/05/2026
Cath Lab Digest
Cath Lab Management
01/05/2026
Latisha Washington, MSN, RN, BSN, NE-BC, CNOR; Dona M. Hoffman, RN, BSN, MHA
Advocate Sherman Hospital, a 255-bed community hospital, like others across the country, has seen a degradation in its overall profitability over the past five years. A series of financial deep dives were conducted involving local and system...
Advocate Sherman Hospital, a 255-bed community hospital, like others across the country, has seen a degradation in its overall profitability over the past five years. A series of financial deep dives were conducted involving local and system...
Advocate Sherman Hospital, a...
01/05/2026
Cath Lab Digest
Case Report
12/16/2025
Abdul Wahab, MD; Sachin Joseph, MD; Andres Vargas-Estrada, MD
The authors share a case of a large LAD-to-right-sided coronary cameral fistula that produced angiographic coronary steal but no significant shunt, allowing for successful conservative management.
The authors share a case of a large LAD-to-right-sided coronary cameral fistula that produced angiographic coronary steal but no significant shunt, allowing for successful conservative management.
The authors share a case of a...
12/16/2025
Cath Lab Digest
Structural Heart Disease
12/16/2025
Kayla Wong, BS; Jennifer Nguyen, BS, CCRC; Evan Walser-Kuntz, MS; Sara Olson, RN, CCRC; Le Nguyen, BS; Tremayne Ansani, BS; Andrew Willett, BS; Mario Gössl MD, PhD, MHA
This retrospective single-center study characterizes mitral regurgitation progression in 277 patients who underwent TAVR over a five-year follow-up period.
This retrospective single-center study characterizes mitral regurgitation progression in 277 patients who underwent TAVR over a five-year follow-up period.
This retrospective single-center...
12/16/2025
Cath Lab Digest
Subhead