Skip to main content

Calcium Corner Topic Center

Featured

CORONARY ARTERY CALCIUM
07/03/2025
Jonathan Hinton, MD; Gao Ong, MD; Mae Bethell, MD; Jennifer Barraclough, MD; Ganeev Malhotra, MD; Thomas W. Johnson, MD; Simon J. Wilson, MD; James C. Spratt, MD, FRCP, BSc, MBChB; Julian Strange, MBChB, MRCP, MD; Peter O'Kane, MD, MRCP
This is a retrospective analysis of consecutive patients treated with IVL for coronary calcification using the C2+ Shockwave balloon from its implementation in November 2022 through December 2023, with comparison to consecutive patients in...
This is a retrospective analysis of consecutive patients treated with IVL for coronary calcification using the C2+ Shockwave balloon from its implementation in November 2022 through December 2023, with comparison to consecutive patients in...
This is a retrospective analysis...
07/03/2025
Cath Lab Digest
EMPOWER CAD
Clinical Trials
05/22/2025
“Women are typically underdiagnosed, underrepresented and have underwhelming outcomes in coronary artery disease studies,” said Dr. Alexandra Lansky. “Our goal with the EMPOWER CAD study was to address this gap and determine whether Shockwave...
“Women are typically underdiagnosed, underrepresented and have underwhelming outcomes in coronary artery disease studies,” said Dr. Alexandra Lansky. “Our goal with the EMPOWER CAD study was to address this gap and determine whether Shockwave...
“Women are typically...
05/22/2025
Cath Lab Digest
Intravascular Lithotripsy
04/07/2025
Investigators in the study will assess the safety and effectiveness of the Shockwave Javelin Coronary IVL Catheter for the treatment of calcified, difficult-to-cross stenotic de novo coronary artery lesions prior to stenting.
Investigators in the study will assess the safety and effectiveness of the Shockwave Javelin Coronary IVL Catheter for the treatment of calcified, difficult-to-cross stenotic de novo coronary artery lesions prior to stenting.
Investigators in the study will...
04/07/2025
Cath Lab Digest
Calcium Corner
02/04/2024
Yousif Ahmad, MRCP, PhD, FSCAI, FACC, BMBS
Cath lab managers, administrators, and people looking at the overheads should be aware of this change because it is going to alter the landscape. If you are doing a complex case using multiple devices, there is no longer the potential for a...
Cath lab managers, administrators, and people looking at the overheads should be aware of this change because it is going to alter the landscape. If you are doing a complex case using multiple devices, there is no longer the potential for a...
Cath lab managers,...
02/04/2024
Cath Lab Digest
Calcium Corner
01/04/2024
Brian K. Jefferson, MD, FACC, FSCAI
"Having 40 extra pulses allows us to treat lesions that in the past might have been too diffuse or too long for single-catheter IVL use, and we also can use the extra pulses in the C2+ to treat lesions in more than one vessel," says Dr....
"Having 40 extra pulses allows us to treat lesions that in the past might have been too diffuse or too long for single-catheter IVL use, and we also can use the extra pulses in the C2+ to treat lesions in more than one vessel," says Dr....
"Having 40 extra pulses allows...
01/04/2024
Cath Lab Digest
Ask the Expert
12/05/2023
Ziad A. Ali, MD, DPhil
"There has been a sort of dogma that in very long lesions it is better to do atherectomy," says Ziad A. Ali, MD, DPhil, "but with the C2+, that thinking should no longer be relevant, because we now have 120 pulses to treat the whole vessel."...
"There has been a sort of dogma that in very long lesions it is better to do atherectomy," says Ziad A. Ali, MD, DPhil, "but with the C2+, that thinking should no longer be relevant, because we now have 120 pulses to treat the whole vessel."...
"There has been a sort of dogma...
12/05/2023
Cath Lab Digest
News
11/09/2023

Shockwave Medical News

Shockwave Medical News
In the patient-level pooled analysis, titled “Coronary Intravascular Lithotripsy for Treatment of Severely Calcified Lesions: Long-Term Sex-Specific Outcomes,” use of IVL for lesion preparation of severely calcified lesions had similar safety...
In the patient-level pooled analysis, titled “Coronary Intravascular Lithotripsy for Treatment of Severely Calcified Lesions: Long-Term Sex-Specific Outcomes,” use of IVL for lesion preparation of severely calcified lesions had similar safety...
In the patient-level pooled...
11/09/2023
Cath Lab Digest
News
11/03/2023

Shockwave Medical News

Shockwave Medical News
SANTA CLARA, Calif.- Shockwave Medical, Inc. announced that as part of the Calendar Year 2024 Physician Fee Schedule (PFS) final rule, the U.S. Centers for Medicare & Medicaid Services (CMS) has established a Category I Current Procedural...
SANTA CLARA, Calif.- Shockwave Medical, Inc. announced that as part of the Calendar Year 2024 Physician Fee Schedule (PFS) final rule, the U.S. Centers for Medicare & Medicaid Services (CMS) has established a Category I Current Procedural...
SANTA CLARA, Calif.- Shockwave...
11/03/2023
Cath Lab Digest
News
10/19/2023

Shockwave Medical News

Shockwave Medical News
Two new publications reported excellent and consistent outcomes with coronary intravascular lithotripsy (IVL) in both nodular and eccentric calcium.
Two new publications reported excellent and consistent outcomes with coronary intravascular lithotripsy (IVL) in both nodular and eccentric calcium.
Two new publications reported...
10/19/2023
Cath Lab Digest
News
08/02/2023

Shockwave Medical News

Shockwave Medical News
Three new codes, MS-DRGs 323, 324, and 325, have been created to describe Percutaneous Coronary Interventions (PCI) that utilize coronary IVL, with and without a stent implant (intraluminal device), in the hospital inpatient setting.
Three new codes, MS-DRGs 323, 324, and 325, have been created to describe Percutaneous Coronary Interventions (PCI) that utilize coronary IVL, with and without a stent implant (intraluminal device), in the hospital inpatient setting.
Three new codes, MS-DRGs 323,...
08/02/2023
Cath Lab Digest
News
05/15/2023
Shockwave C2+ provides 50 percent more pulses per catheter than Shockwave C2 and is optimally designed to treat longer calcified lesions and more challenging eccentric and nodular calcium.
Shockwave C2+ provides 50 percent more pulses per catheter than Shockwave C2 and is optimally designed to treat longer calcified lesions and more challenging eccentric and nodular calcium.
Shockwave C2+ provides 50...
05/15/2023
Cath Lab Digest

Case Reports

Clinical Images
04/09/2025
Keima Wayama, MD; Kota Murai, MD, PhD; Teruo Noguchi, MD, PhD
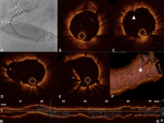
An 80-year-old man with a history of acute inferior myocardial infarction was admitted to our hospital. He had undergone bare-metal stent (3.5/28 mm) implantation in the mid-right coronary artery 22 years prior.
An 80-year-old man with a history of acute inferior myocardial infarction was admitted to our hospital. He had undergone bare-metal stent (3.5/28 mm) implantation in the mid-right coronary artery 22 years prior.
An 80-year-old man with a...
04/09/2025
Journal of Invasive Cardiology
Case + Interview
11/07/2021
Srinivasa Potluri, MD, FACC, FSCAI
The patient is an 86-year-old male with known coronary artery disease (CAD). Three years ago, he had robotic left internal mammary artery (LIMA) graft to the left anterior descending (LAD) and percutaneous coronary intervention (PCI) of the...
The patient is an 86-year-old male with known coronary artery disease (CAD). Three years ago, he had robotic left internal mammary artery (LIMA) graft to the left anterior descending (LAD) and percutaneous coronary intervention (PCI) of the...
The patient is an 86-year-old...
11/07/2021
Cath Lab Digest
CLINICAL IMAGES
02/01/2021
Mahmoud Sabbah, MD, PhD; Ota Hlinomaz, MD, PhD; Miloslav Tejc, MD
This case highlights that rotational atherectomy is merely paving the road and may help in superficial calcifications. It also showed the useful role of optical coherence tomography (OCT) for guiding the appropriate treatment strategy....
This case highlights that rotational atherectomy is merely paving the road and may help in superficial calcifications. It also showed the useful role of optical coherence tomography (OCT) for guiding the appropriate treatment strategy....
This case highlights that...
02/01/2021
Journal of Invasive Cardiology
CLINICAL IMAGES
01/01/2021
Ioannis Tsiafoutis, MD; Konstantina Katsanou, MD; Michalis Koutouzis, MD, PhD; Apostolos Katsivas, MD, PhD
J INVASIVE CARDIOL 2021;33(1):E67-E68. Key words: cardiac imaging, Shockwave lithotripsy
J INVASIVE CARDIOL 2021;33(1):E67-E68. Key words: cardiac imaging, Shockwave lithotripsy
J INVASIVE CARDIOL...
01/01/2021
Journal of Invasive Cardiology
Clinical Images
07/26/2020
Harol Hernandez, MD; Lorena Martin-Polo, MD; Ariana Gonzalvez-Garcia, MD; Raúl Moreno-Gómez, MD, PhD; Alfonso Jurado-Román, MD, PhD; Guillermo Galeote, MD, PhD; Santiago Jimenez-Valero, MD, PhD; Jose Luis Lopez-Sendon, MD, PhD
To our knowledge, this is the first OCT description of this complication.
To our knowledge, this is the first OCT description of this complication.
To our knowledge, this is the...
07/26/2020
Journal of Invasive Cardiology
Clinical Images
06/30/2020
Rajesh Vijayvergiya, MD, DM; Basant Kumar, MD; Saroj Sahoo, MD; Sudhanshu Budhakoty, MD; Ganesh Kasinadhuni, MD
A calcified nodule is an infrequent pathological substrate in acute coronary syndrome patients. This case demonstrates the technical challenges of intervening an eccentric, severely calcified, balloon-uncrossable coronary lesion.
A calcified nodule is an infrequent pathological substrate in acute coronary syndrome patients. This case demonstrates the technical challenges of intervening an eccentric, severely calcified, balloon-uncrossable coronary lesion.
A calcified nodule is an...
06/30/2020
Journal of Invasive Cardiology
Clinical Images
12/30/2019
Corrado Tamburino, MD, PhD, FESC, FSCAI; Alessio La Manna, MD; Guido D'Agosta, MD; Giuseppe Venuti, MD
Coronary lithoplasty is a promising technique that can overcome issues regarding the treatment of undilatable, heavily calcified, de novo, and in-stent restenotic lesions, allowing plaque modification and successful stent deployment, as...
Coronary lithoplasty is a promising technique that can overcome issues regarding the treatment of undilatable, heavily calcified, de novo, and in-stent restenotic lesions, allowing plaque modification and successful stent deployment, as...
Coronary lithoplasty is a...
12/30/2019
Journal of Invasive Cardiology
Clinical Images
08/27/2019
Daniel Obaid, MBBCh, PhD; Alexander J. Chase, MBBCh, PhD, MBBS, MD; Dave Smith, BM, MD
3D-OCT revealed extensive fracture and distortion of the struts in the distal portion of a stent, presumably caused by aggressive postdilation at the time of implantation. This was managed successfully with the insertion of a new coronary...
3D-OCT revealed extensive fracture and distortion of the struts in the distal portion of a stent, presumably caused by aggressive postdilation at the time of implantation. This was managed successfully with the insertion of a new coronary...
3D-OCT revealed extensive...
08/27/2019
Journal of Invasive Cardiology
Case Report
07/08/2019
Samir Kammoun, MD, PhD; Amine Bahloul, MD; Hela Sarray, MD; Yassmine Kammoun, MD; Tarek Ellouz, MD; Mourad Hentati, MD, PhD; Leila Abid, MD, PhD
Optimal stent deployment can become a challenge for the interventional cardiologist, especially when it involves calcified, undilatable lesions. Various technologies have been developed to tackle this scenario and the super high-pressure...
Optimal stent deployment can become a challenge for the interventional cardiologist, especially when it involves calcified, undilatable lesions. Various technologies have been developed to tackle this scenario and the super high-pressure...
Optimal stent deployment can...
07/08/2019
Cath Lab Digest
CLINICAL IMAGES
02/24/2019
Zaheed Tai, MD, DO, FACC, FSCAI
This modification of the GuideLiner technique is useful for left main and non-left main bifurcations.
This modification of the GuideLiner technique is useful for left main and non-left main bifurcations.
This modification of the...
02/24/2019
Journal of Invasive Cardiology
Case Report
03/04/2026
Richard Casazza, MAS; Neel Patel, MD; Allan Mattia, MD; Paul Saunders, MD; Arsalan Hashmi, MD; Greg Ribakove, MD
Cardiac myxomas are histologically benign tumors; however, they may lead to life-threatening complications. The authors share the case of a successful removal of myxoma with resolution of the patient's symptoms.
Cardiac myxomas are histologically benign tumors; however, they may lead to life-threatening complications. The authors share the case of a successful removal of myxoma with resolution of the patient's symptoms.
Cardiac myxomas are...
03/04/2026
Cath Lab Digest
Case Report
02/13/2026
Muhammad Imran Hanif, MBBS, FCPS, FSCAI, FRCP; Minahil Tariq Sheikh, MBBS, FCPS
Hanif and Sheikh describe treatment of a sinus of Valsalva aneurysm (SVA), a rare cardiac anomaly characterized by abnormal dilation of the aortic root between the valve annulus and the sinotubular junction, occurring at the level of the...
Hanif and Sheikh describe treatment of a sinus of Valsalva aneurysm (SVA), a rare cardiac anomaly characterized by abnormal dilation of the aortic root between the valve annulus and the sinotubular junction, occurring at the level of the...
Hanif and Sheikh describe...
02/13/2026
Cath Lab Digest
Peripheral Interventions
01/28/2026
Ivana Kumar; Kusum Lata, MD, FACC, FSCAI; Anshita Kumari, MBBS
The authors report a case of recurrent superficial femoral artery occlusion that necessitated the use of endovascular intervention with image-guided stent placement.
The authors report a case of recurrent superficial femoral artery occlusion that necessitated the use of endovascular intervention with image-guided stent placement.
The authors report a case of...
01/28/2026
Cath Lab Digest
Case Report
01/23/2026
Saiyeda S. Ali, MD; Greeshma Molugu, MD; Ruben Abreu, MD; Asad Rizvi, MD; Mehdi Khalafi, MD
A 56-year-old male with a past medical history of gastroesophageal reflux disease and tobacco abuse presented to the emergency department with a chief complaint of chest pain and progressive shortness of breath of a year duration. The patient...
A 56-year-old male with a past medical history of gastroesophageal reflux disease and tobacco abuse presented to the emergency department with a chief complaint of chest pain and progressive shortness of breath of a year duration. The patient...
A 56-year-old male with a past...
01/23/2026
Cath Lab Digest
Case Report
01/05/2026
Muhammad Imran Hanif, MBBS, FCPS, FSCAI, FRCP; Muhammad Sikandar Saleem, MBBS, FCPS; Muhammad Ansar Maqsood, MBBS, FCPS
The authors share a case of complex wire entrapment during left anterior descending percutaneous coronary intervention illustrating the role of intravascular ultrasound in directing a bailout strategy.
The authors share a case of complex wire entrapment during left anterior descending percutaneous coronary intervention illustrating the role of intravascular ultrasound in directing a bailout strategy.
The authors share a case of...
01/05/2026
Cath Lab Digest
Case Report
12/16/2025
Abdul Wahab, MD; Sachin Joseph, MD; Andres Vargas-Estrada, MD
The authors share a case of a large LAD-to-right-sided coronary cameral fistula that produced angiographic coronary steal but no significant shunt, allowing for successful conservative management.
The authors share a case of a large LAD-to-right-sided coronary cameral fistula that produced angiographic coronary steal but no significant shunt, allowing for successful conservative management.
The authors share a case of a...
12/16/2025
Cath Lab Digest
Case Report
12/14/2025
Mehmet Cilingiroglu, MD; Ibrahim Halil Inanc, MD
Maxillofacial injury is common following major facial trauma, and can lead to life-threatening hemorrhage. The branches of the external carotid artery (Figure 1) are most vulnerable to trauma as the vessels transverse bone structures. The...
Maxillofacial injury is common following major facial trauma, and can lead to life-threatening hemorrhage. The branches of the external carotid artery (Figure 1) are most vulnerable to trauma as the vessels transverse bone structures. The...
Maxillofacial injury is common...
12/14/2025
Cath Lab Digest
Case Report
12/05/2025
Neeraj N. Shah, MD, MPH; Dennis Phillips, DO; Hiroyuki Tsukui, MD; Mitsugu Ogawa, MD; Fouad Jabbour, MD; Ashwin Thiagarajasubramanian, MD; Juan Chahin, MD
Postinfarct (PI) ventricular septal defect (VSD) usually occurs 2-7 days after untreated acute myocardial infarction (MI) due to interventricular septal rupture after necrosis. In the current era of primary percutaneous coronary intervention...
Postinfarct (PI) ventricular septal defect (VSD) usually occurs 2-7 days after untreated acute myocardial infarction (MI) due to interventricular septal rupture after necrosis. In the current era of primary percutaneous coronary intervention...
Postinfarct (PI) ventricular...
12/05/2025
Cath Lab Digest
Case Report
11/01/2025
Boskey Patel, DO, FACC, FSCAI
Calcified coronary lesions remain a formidable opponent in the cath lab, despite the many advancements made in the field to overcome the challenges they pose. Fortunately, operators have an ever-evolving arsenal of interventional tools to...
Calcified coronary lesions remain a formidable opponent in the cath lab, despite the many advancements made in the field to overcome the challenges they pose. Fortunately, operators have an ever-evolving arsenal of interventional tools to...
Calcified coronary lesions...
11/01/2025
Cath Lab Digest
Case Report
11/01/2025
George DeKornfeld, MD
The author presents a case in which the Artix Thrombectomy System (Inari Medical) was utilized in a hybrid procedure to revascularize a thrombosed axillary-profunda bypass graft followed by profundoplasty.
The author presents a case in which the Artix Thrombectomy System (Inari Medical) was utilized in a hybrid procedure to revascularize a thrombosed axillary-profunda bypass graft followed by profundoplasty.
The author presents a case in...
11/01/2025
Cath Lab Digest

Watch

Hill Disrupt CAD III
TRIAL UPDATE
07/27/2021
Jonathan Hill
Dr. Jonathan Hill, co-principal investigator for Disrupt CAD III, provides an update on the study results.
Dr. Jonathan Hill, co-principal investigator for Disrupt CAD III, provides an update on the study results.
Dr. Jonathan Hill, co-principal...
07/27/2021
Cath Lab Digest
Brian C. Case, MD, and Bailey Ann Richardson, MSN, AGNP
CRT Pre-Conference Coverage
02/25/2026
Brian C. Case, MD; Bailey Ann Richardson, MSN, AGNP, RN-BC, RNFA, CNOR, RCIS
02/25/2026
Cath Lab Digest
Matthew H. Gonzalez, MD
Heart Failure
02/11/2026
Matthew H. Gonzalez, MD
In this 29-minute video (chapters available), Matthew H. Gonzalez, MD, discusses how pulmonary artery pressure monitoring with the CardioMEMS™ HF System made by Abbott shifts management from reactive to proactive by detecting hemodynamic...
In this 29-minute video (chapters available), Matthew H. Gonzalez, MD, discusses how pulmonary artery pressure monitoring with the CardioMEMS™ HF System made by Abbott shifts management from reactive to proactive by detecting hemodynamic...
In this 29-minute video...
02/11/2026
Cath Lab Digest
Philips OBL / ASC Video
Brief Overview
11/19/2025
Market tends are showing that more procedures are moving to out-of-hospital care settings, such as ambulatory surgery centers (ASCs) and office-based labs (OBLs) due to financial and operational benefits to the healthcare system and desire to...
Market tends are showing that more procedures are moving to out-of-hospital care settings, such as ambulatory surgery centers (ASCs) and office-based labs (OBLs) due to financial and operational benefits to the healthcare system and desire to...
Market tends are showing that...
11/19/2025
Cath Lab Digest
Interview With Viet Le, DMSc, MPAS, PA-C, FACC, FAHA, HF-Cert
Videos
11/18/2025
Viet Le, PA-C, FACC, FAHA; Isabel Vega
Watch as Viet Le, DMSc, MPAS, PA-C, FACC, FAHA, HF-Cert, discusses his abstract from AHA 2025.
Watch as Viet Le, DMSc, MPAS, PA-C, FACC, FAHA, HF-Cert, discusses his abstract from AHA 2025.
Watch as Viet Le, DMSc, MPAS,...
11/18/2025
EP Lab Digest
Ryan K. Kaple, MD, FACC, FSCAI
Heart Failure
10/28/2025
Ryan Kaple, MD
In this video, Ryan K. Kaple, MD, FACC, FSCAI, discusses how the CardioMEMS™ HF System has become an essential tool in managing patients with chronic heart failure.
In this video, Ryan K. Kaple, MD, FACC, FSCAI, discusses how the CardioMEMS™ HF System has become an essential tool in managing patients with chronic heart failure.
In this video, Ryan K. Kaple,...
10/28/2025
Cath Lab Digest
PCI in ASCs
Video Discussion
10/03/2025
Bailey Ann Richardson, MSN, AGNP, RN-BC, RNFA, CNOR, RCIS; Morton J. Kern, MD, MSCAI, FACC, FAHA; Arnold H. Seto, MD, MPA, CCDS, FACC, FSCAI
A discussion of the study presented at SCAI's 2025 Annual Meeting, " Percutaneous Coronary Intervention in Ambulatory Surgery Centers: Procedural Volume Trends and Outcomes in the Medicare Population".
A discussion of the study presented at SCAI's 2025 Annual Meeting, " Percutaneous Coronary Intervention in Ambulatory Surgery Centers: Procedural Volume Trends and Outcomes in the Medicare Population".
A discussion of the study...
10/03/2025
Cath Lab Digest
Bailey Ann Richardson, NP-C, RNFA, CNOR, RCIS, with Morton J. Kern, MD, MSCAI, and Arnold H. Seto, MD, MPA
Kern, Seto, & Richardson
09/26/2025
Bailey Ann Estes, AGNP-C, MSN, RN-BC, RCIS, RNFA; Morton J. Kern, MD, MSCAI, FACC, FAHA; Arnold H. Seto, MD, MPA, CCDS, FACC, FSCAI
Join Bailey Ann Richardson, NP-C, RNFA, CNOR, RCIS, and Drs Morton Kern and Arnold Seto, in a SCAI 2025 discussion that highlights four trials across the interventional cardiology spectrum.
Join Bailey Ann Richardson, NP-C, RNFA, CNOR, RCIS, and Drs Morton Kern and Arnold Seto, in a SCAI 2025 discussion that highlights four trials across the interventional cardiology spectrum.
Join Bailey Ann Richardson,...
09/26/2025
Cath Lab Digest
Mike Watts, MD
AMP 2025
09/18/2025
Mike Watts, MD, FSIR
Mike Watts, MD, FSIR, discusses his presentation on the use of wearables and artificial intelligence in the prevention and treatment of chronic limb-threatening ischemia.
Mike Watts, MD, FSIR, discusses his presentation on the use of wearables and artificial intelligence in the prevention and treatment of chronic limb-threatening ischemia.
Mike Watts, MD, FSIR, discusses...
09/18/2025
Vascular Disease Management
Bailey Estes, NP, and Ahmad Alkhalil, MD
Structural Trials Discussion
08/05/2025
Bailey Ann Estes MSN, AGNP-C, RN-BC, RNFA, CNOR, RCIS; Ahmad Alkhalil, MD, MSc
Bailey Estes, MSN, AGNP, talks with Dr. Ahmad Alkhalil about four presented trials that were hotly anticipated at the CRF New York Valves Meeting, held June 24-26, 2025, in New York, New York.
Bailey Estes, MSN, AGNP, talks with Dr. Ahmad Alkhalil about four presented trials that were hotly anticipated at the CRF New York Valves Meeting, held June 24-26, 2025, in New York, New York.
Bailey Estes, MSN, AGNP, talks...
08/05/2025
Cath Lab Digest
Bailey Estes, Michelle Bierig, and Chris Steelman
PROFESSIONAL DEVELOPMENT
06/12/2025
Bailey Estes, MSN, AGNP, RN-BC, RNFA, CNOR, RCIS, talks with Co-Chairs of the ACC's Allied Health Work Group, Chris Steelman, MS, RT(R)(CI), RCIS, and Michelle Bierig, PhD, ACS, RCS, RDCS.
Bailey Estes, MSN, AGNP, RN-BC, RNFA, CNOR, RCIS, talks with Co-Chairs of the ACC's Allied Health Work Group, Chris Steelman, MS, RT(R)(CI), RCIS, and Michelle Bierig, PhD, ACS, RCS, RDCS.
Bailey Estes, MSN, AGNP, RN-BC,...
06/12/2025
Cath Lab Digest

Latest News

EMPOWER CAD
Clinical Trials
05/22/2025
“Women are typically underdiagnosed, underrepresented and have underwhelming outcomes in coronary artery disease studies,” said Dr. Alexandra Lansky. “Our goal with the EMPOWER CAD study was to address this gap and determine whether Shockwave...
“Women are typically underdiagnosed, underrepresented and have underwhelming outcomes in coronary artery disease studies,” said Dr. Alexandra Lansky. “Our goal with the EMPOWER CAD study was to address this gap and determine whether Shockwave...
“Women are typically...
05/22/2025
Cath Lab Digest
Intravascular Lithotripsy
04/07/2025
Investigators in the study will assess the safety and effectiveness of the Shockwave Javelin Coronary IVL Catheter for the treatment of calcified, difficult-to-cross stenotic de novo coronary artery lesions prior to stenting.
Investigators in the study will assess the safety and effectiveness of the Shockwave Javelin Coronary IVL Catheter for the treatment of calcified, difficult-to-cross stenotic de novo coronary artery lesions prior to stenting.
Investigators in the study will...
04/07/2025
Cath Lab Digest
News
11/09/2023

Shockwave Medical News

Shockwave Medical News
In the patient-level pooled analysis, titled “Coronary Intravascular Lithotripsy for Treatment of Severely Calcified Lesions: Long-Term Sex-Specific Outcomes,” use of IVL for lesion preparation of severely calcified lesions had similar safety...
In the patient-level pooled analysis, titled “Coronary Intravascular Lithotripsy for Treatment of Severely Calcified Lesions: Long-Term Sex-Specific Outcomes,” use of IVL for lesion preparation of severely calcified lesions had similar safety...
In the patient-level pooled...
11/09/2023
Cath Lab Digest
News
11/03/2023

Shockwave Medical News

Shockwave Medical News
SANTA CLARA, Calif.- Shockwave Medical, Inc. announced that as part of the Calendar Year 2024 Physician Fee Schedule (PFS) final rule, the U.S. Centers for Medicare & Medicaid Services (CMS) has established a Category I Current Procedural...
SANTA CLARA, Calif.- Shockwave Medical, Inc. announced that as part of the Calendar Year 2024 Physician Fee Schedule (PFS) final rule, the U.S. Centers for Medicare & Medicaid Services (CMS) has established a Category I Current Procedural...
SANTA CLARA, Calif.- Shockwave...
11/03/2023
Cath Lab Digest
News
10/19/2023

Shockwave Medical News

Shockwave Medical News
Two new publications reported excellent and consistent outcomes with coronary intravascular lithotripsy (IVL) in both nodular and eccentric calcium.
Two new publications reported excellent and consistent outcomes with coronary intravascular lithotripsy (IVL) in both nodular and eccentric calcium.
Two new publications reported...
10/19/2023
Cath Lab Digest
News
08/02/2023

Shockwave Medical News

Shockwave Medical News
Three new codes, MS-DRGs 323, 324, and 325, have been created to describe Percutaneous Coronary Interventions (PCI) that utilize coronary IVL, with and without a stent implant (intraluminal device), in the hospital inpatient setting.
Three new codes, MS-DRGs 323, 324, and 325, have been created to describe Percutaneous Coronary Interventions (PCI) that utilize coronary IVL, with and without a stent implant (intraluminal device), in the hospital inpatient setting.
Three new codes, MS-DRGs 323,...
08/02/2023
Cath Lab Digest
News
05/15/2023
Shockwave C2+ provides 50 percent more pulses per catheter than Shockwave C2 and is optimally designed to treat longer calcified lesions and more challenging eccentric and nodular calcium.
Shockwave C2+ provides 50 percent more pulses per catheter than Shockwave C2 and is optimally designed to treat longer calcified lesions and more challenging eccentric and nodular calcium.
Shockwave C2+ provides 50...
05/15/2023
Cath Lab Digest
News
01/31/2023
The updated guidelines, which modify the previous 2014 guidelines by no longer restricting recommended treatment to facilities with on-site surgical backup, will now endorse expanded treatment options and access for patients with calcified...
The updated guidelines, which modify the previous 2014 guidelines by no longer restricting recommended treatment to facilities with on-site surgical backup, will now endorse expanded treatment options and access for patients with calcified...
The updated guidelines, which...
01/31/2023
Cath Lab Digest
News
05/19/2022
Findings Hold Promise for Female Patients with Calcified Coronary Artery Disease Who Previously Suffered Worse Safety Outcomes than Male Patients Undergoing Atherectomy
Findings Hold Promise for Female Patients with Calcified Coronary Artery Disease Who Previously Suffered Worse Safety Outcomes than Male Patients Undergoing Atherectomy
Findings Hold Promise for Female...
05/19/2022
Cath Lab Digest
News
03/30/2022
Transformative Shockwave C2 Intravascular Lithotripsy Catheter Will Soon Be Available in One of the World’s Largest Coronary Intervention Markets
Transformative Shockwave C2 Intravascular Lithotripsy Catheter Will Soon Be Available in One of the World’s Largest Coronary Intervention Markets
Transformative Shockwave...
03/30/2022
Cath Lab Digest
Endovascular Devices
03/19/2026
New Britain, PA, March 16, 2026 – Thrombolex, Inc., a commercial-stage medical device company advancing a differentiated pharmaco-mechanical lysis (PML) platform for the treatment of pulmonary embolism (PE) and other thromboembolic diseases,...
New Britain, PA, March 16, 2026 – Thrombolex, Inc., a commercial-stage medical device company advancing a differentiated pharmaco-mechanical lysis (PML) platform for the treatment of pulmonary embolism (PE) and other thromboembolic diseases,...
New Britain, PA, March 16, 2026...
03/19/2026
Vascular Disease Management
Neurovascular acquisitions
03/11/2026
Scientia's novel access platform is designed to improve navigability through complex anatomy and simplify neurovascular procedures. By enabling faster and more reliable access, these technologies improve procedural efficiency.
Scientia's novel access platform is designed to improve navigability through complex anatomy and simplify neurovascular procedures. By enabling faster and more reliable access, these technologies improve procedural efficiency.
Scientia's novel access platform...
03/11/2026
Cath Lab Digest
EggNest (Egg Medical)
Clinical Trial Update
03/10/2026
"By using the EggNest system, we can provide the entire team with protection that is superior to the status quo, by either going apron-free, or while wearing aprons that feel like a light vest," said Santiago Garcia, MD, the study’s lead...
"By using the EggNest system, we can provide the entire team with protection that is superior to the status quo, by either going apron-free, or while wearing aprons that feel like a light vest," said Santiago Garcia, MD, the study’s lead...
"By using the EggNest system, we...
03/10/2026
EP Lab Digest
CathWorks FFRangio
Fractional Flow Reserve
03/08/2026
"This first look at contemporary data of the growing adoption of angiography-derived physiology (ADP) in the U.S. shows similar clinical outcomes including death, MI and revascularization through 2 years when compared with invasive pressure...
"This first look at contemporary data of the growing adoption of angiography-derived physiology (ADP) in the U.S. shows similar clinical outcomes including death, MI and revascularization through 2 years when compared with invasive pressure...
"This first look at contemporary...
03/08/2026
Cath Lab Digest
Heart Failure
03/04/2026
Dr. Amish Raval reported that patients receiving the autologous CardiAMP cell therapy under investigation demonstrated positive evidence of decreased pathological left ventricular remodeling over time compared to patients not receiving the...
Dr. Amish Raval reported that patients receiving the autologous CardiAMP cell therapy under investigation demonstrated positive evidence of decreased pathological left ventricular remodeling over time compared to patients not receiving the...
Dr. Amish Raval reported that...
03/04/2026
Cath Lab Digest
Heart Failure
03/04/2026
"The RELIEF-FIH study provides encouraging early evidence on a novel approach to HF congestion management," stated Dr. Alex Rothman. "By targeting the negative physiological cardiorenal loop, the Relief System modulates venous congestion in...
"The RELIEF-FIH study provides encouraging early evidence on a novel approach to HF congestion management," stated Dr. Alex Rothman. "By targeting the negative physiological cardiorenal loop, the Relief System modulates venous congestion in...
"The RELIEF-FIH study provides...
03/04/2026
Cath Lab Digest
Amputation Prevention
02/23/2026
A wound that remains open for longer than a month is classified as chronic. Worldwide, about 12 million people experience chronic wounds each year, including roughly 4.5 million in the United States. Approximately one in five of these...
A wound that remains open for longer than a month is classified as chronic. Worldwide, about 12 million people experience chronic wounds each year, including roughly 4.5 million in the United States. Approximately one in five of these...
A wound that remains open for...
02/23/2026
Cath Lab Digest
Nutrition
02/23/2026
Limiting sugar consumption during early childhood may reduce the risk of serious heart problems later in life. A study published in The BMJ, based on data from the end of sugar rationing in the United Kingdom in 1953, found that people...
Limiting sugar consumption during early childhood may reduce the risk of serious heart problems later in life. A study published in The BMJ, based on data from the end of sugar rationing in the United Kingdom in 1953, found that people...
Limiting sugar consumption...
02/23/2026
Cath Lab Digest
VentiV Mechanical Thrombectomy system illustration
Thrombectomy
02/23/2026
SALT LAKE CITY, UT  — VentiV Scientific announced the FDA clearance of VentiV Mechanical Thrombectomy system to remove blood clots from the peripheral vasculature including the new VentiV Pulse platform. Blood clot removal...
SALT LAKE CITY, UT  — VentiV Scientific announced the FDA clearance of VentiV Mechanical Thrombectomy system to remove blood clots from the peripheral vasculature including the new VentiV Pulse platform. Blood clot removal...
SALT LAKE CITY, UT ...
02/23/2026
Cath Lab Digest
Acute Coronary Syndromes
02/20/2026
Munich, Germany – Preliminary results from an Italian registry describe the risk profile of women experiencing acute coronary syndromes and provide insights to improve management.1 These findings were presented today at the EAPCI Summit 2026,...
Munich, Germany – Preliminary results from an Italian registry describe the risk profile of women experiencing acute coronary syndromes and provide insights to improve management.1 These findings were presented today at the EAPCI Summit 2026,...
Munich, Germany – Preliminary...
02/20/2026
Cath Lab Digest

Research

CORONARY ARTERY CALCIUM
07/03/2025
Jonathan Hinton, MD; Gao Ong, MD; Mae Bethell, MD; Jennifer Barraclough, MD; Ganeev Malhotra, MD; Thomas W. Johnson, MD; Simon J. Wilson, MD; James C. Spratt, MD, FRCP, BSc, MBChB; Julian Strange, MBChB, MRCP, MD; Peter O'Kane, MD, MRCP
This is a retrospective analysis of consecutive patients treated with IVL for coronary calcification using the C2+ Shockwave balloon from its implementation in November 2022 through December 2023, with comparison to consecutive patients in...
This is a retrospective analysis of consecutive patients treated with IVL for coronary calcification using the C2+ Shockwave balloon from its implementation in November 2022 through December 2023, with comparison to consecutive patients in...
This is a retrospective analysis...
07/03/2025
Cath Lab Digest
Clinical Trials
11/05/2021
Data From the Disrupt CAD Clinical Program Demonstrate Consistency of Shockwave IVL Outcomes Over Time, Across Calcium Morphologies and Between Genders
Data From the Disrupt CAD Clinical Program Demonstrate Consistency of Shockwave IVL Outcomes Over Time, Across Calcium Morphologies and Between Genders
Data From the Disrupt CAD...
11/05/2021
Cath Lab Digest
Calcium Corner
09/07/2021
Evan Shlofmitz, DO
Information from the past five years of intravascular imaging at St. Francis Hospital, thousands of cases, has allowed us to develop algorithms or workflows for approaching stent implantation, which has been particularly helpful when...
Information from the past five years of intravascular imaging at St. Francis Hospital, thousands of cases, has allowed us to develop algorithms or workflows for approaching stent implantation, which has been particularly helpful when...
Information from the past five...
09/07/2021
Cath Lab Digest
Original Research
06/01/2021
Ningyan Wong, MBBS, MRCP; Aaron Sung-Lung Wong, MBBS, MRCP; Kay-Woon Ho, MBBS, MRCP; Yew Seong Goh, MBBS, MRCP; Khung Keong Yeo, MBBS; Sridharan Umapathy, MD, DM; Jack Wei Chieh Tan, MBBS, MRCP; Yann Shan Keh, MBBS, MRCP; Soo Teik Lim, MBBS, MRCP
To assess the clinical and angiographic outcomes of coronary intravascular lithotripsy use in an all-comers population with moderate-to-severely calcified coronary lesions.
To assess the clinical and angiographic outcomes of coronary intravascular lithotripsy use in an all-comers population with moderate-to-severely calcified coronary lesions.
To assess the clinical and...
06/01/2021
Journal of Invasive Cardiology
BRIEF COMMUNICATION
04/01/2021
James D. Flaherty, MD; Keith H. Benzuly, MD; Daniel R. Schimmel, MD, MS; Brett B. Yarusi, MD; Vikrant S. Jagadeesan, MD; Arif Jivan, MD, PhD; Erin D. Unger, MD; Lowie M.R. Van Assche, MD; Tim S. Provias, MD, MPH
We performed a retrospective review of patients who were excluded from preapproval trials of coronary IVL and underwent CAC modification with the off-label use of a peripheral IVL system.
We performed a retrospective review of patients who were excluded from preapproval trials of coronary IVL and underwent CAC modification with the off-label use of a peripheral IVL system.
We performed a retrospective...
04/01/2021
Journal of Invasive Cardiology
ORIGINAL CONTRIBUTION
01/01/2021
Stefan Blankenberg, MD; Fabian J. Brunner, MD; Peter Moritz Becher, MD; Christoph Waldeyer, MD; Elvin Zengin-Sahm, MD; Renate B. Schnabel, MD; Peter Clemmensen, MD; Dirk Westermann, MD; Moritz Seiffert, MD
Abstract
Abstract
Abstract
01/01/2021
Journal of Invasive Cardiology
ORIGINAL CONTRIBUTION
10/24/2019
Richard A. Shlofmitz, MD; Evan Shlofmitz, DO; Michael S. Lee, MD, DPM, FACFAS, FACC, FSCAI; Seung-Woon Rha, MD, PhD
OA is an effective tool to modify calcified plaque prior to stenting. However, advancement of the OA crown may be technically challenging due to complex coronary anatomy. We report our initial experience with GlideAssist to facilitate...
OA is an effective tool to modify calcified plaque prior to stenting. However, advancement of the OA crown may be technically challenging due to complex coronary anatomy. We report our initial experience with GlideAssist to facilitate...
OA is an effective tool to...
10/24/2019
Journal of Invasive Cardiology
BRIEF COMMUNICATION
04/24/2019
Bernard Wong, MBChB; Aleksandar Cicovic, MBChB; Guy Armstrong, MBChB; Seif S. El-Jack, MBBS, MD; Ruth Newcombe; Timothy Glenie, MBChB; Ali Khan, MBBS, MD
We present the first cases of Shockwave intravascular lithotripsy (Shockwave Medical), a novel coronary calcium modification device, being used in patients undergoing PCI for STEMI.
We present the first cases of Shockwave intravascular lithotripsy (Shockwave Medical), a novel coronary calcium modification device, being used in patients undergoing PCI for STEMI.
We present the first cases of...
04/24/2019
Journal of Invasive Cardiology
ORIGINAL CONTRIBUTION
01/14/2019
Rotational atherectomy (RA) is a useful tool for modification of calcified plaque prior to PCI. We report our experience with RA for severely calcified left main coronary artery disease.
Rotational atherectomy (RA) is a useful tool for modification of calcified plaque prior to PCI. We report our experience with RA for severely calcified left main coronary artery disease.
Rotational atherectomy (RA) is a...
01/14/2019
Journal of Invasive Cardiology
Original Contribution
05/24/2018
Richard A. Shlofmitz, MD; Evan Shlofmitz, DO; Michael S. Lee, MD, DPM, FACFAS, FACC, FSCAI; John Hollowed, MD; Kyung Woo Park, MD; Gentian Lluri, MD, PhD
Orbital atherectomy of long, diffusely calcified lesions may increase the risk of periprocedural angiographic complications. The aim of this study was to determine the clinical outcomes of patients with long, diffusely calcified coronary...
Orbital atherectomy of long, diffusely calcified lesions may increase the risk of periprocedural angiographic complications. The aim of this study was to determine the clinical outcomes of patients with long, diffusely calcified coronary...
Orbital atherectomy of long,...
05/24/2018
Journal of Invasive Cardiology
Structural Heart Disease
12/16/2025
Kayla Wong, BS; Jennifer Nguyen, BS, CCRC; Evan Walser-Kuntz, MS; Sara Olson, RN, CCRC; Le Nguyen, BS; Tremayne Ansani, BS; Andrew Willett, BS; Mario Gössl MD, PhD, MHA
This retrospective single-center study characterizes mitral regurgitation progression in 277 patients who underwent TAVR over a five-year follow-up period.
This retrospective single-center study characterizes mitral regurgitation progression in 277 patients who underwent TAVR over a five-year follow-up period.
This retrospective single-center...
12/16/2025
Cath Lab Digest
Device Access & Coverage
10/02/2025
Mehdi H. Shishehbor, DO, MPH, PhD; Ashkan Yahyavi, MD
The authors detail the challenging FDA approval and CMS coverage pathways for new medical devices and technologies, pinpoint key regulatory challenges, and offer targeted strategies to streamline adoption.
The authors detail the challenging FDA approval and CMS coverage pathways for new medical devices and technologies, pinpoint key regulatory challenges, and offer targeted strategies to streamline adoption.
The authors detail the...
10/02/2025
Cath Lab Digest
Peripheral Imaging
08/01/2025
Ivana Kumar; Anshita Kumari, MBBS; Kusum Lata, MD, FACC, FSCAI
Peripheral vascular disease (PVD), specifically in its more advanced forms such as chronic limb-threatening ischemia (CLTI), presents a great clinical challenge. Endovascular interventions have become the primary approach for...
Peripheral vascular disease (PVD), specifically in its more advanced forms such as chronic limb-threatening ischemia (CLTI), presents a great clinical challenge. Endovascular interventions have become the primary approach for...
Peripheral vascular disease...
08/01/2025
Cath Lab Digest
CCL RN Education
07/31/2025
Sarah Davis-Arnold, MSN, RN, RCIS, EBP-C, NPD-C; Jennifer Ballard-Hernandez, DNP, NP, FACC, FAHA, FAANP; Cher Hagaman, MSN, GNP-BC, CCNS, CCRN, AACC; Jessica Mullenix, MSN, AGPCNP, CEPS, CCRN-K, FHRS; Nicole Lewis, MSN, RN
Sarah Davis-Arnold, MSN, RN, RCIS, EBP-C, NPD-C; Jennifer Ballard-Hernandez, DNP, NP, FACC, FAHA, FAANP; Cher Hagaman, MSN, GNP-BC, CCNS, CCRN, AACC; Jessica Mullenix, MSN, AGPCNP, CEPS, CCK, FHRS; Nicole Lewis, MSN, RN
Sarah Davis-Arnold, MSN, RN, RCIS, EBP-C, NPD-C; Jennifer Ballard-Hernandez, DNP, NP, FACC, FAHA, FAANP; Cher Hagaman, MSN, GNP-BC, CCNS, CCRN, AACC; Jessica Mullenix, MSN, AGPCNP, CEPS, CCK, FHRS; Nicole Lewis, MSN, RN
Sarah Davis-Arnold, MSN, RN,...
07/31/2025
Cath Lab Digest
Manual Compression
07/05/2025
Phillip Mumford, MHA, MBA, RCIS
I know that holding pressure in one place for a long period of time can hurt. Yet holding pressure has to be done correctly every time, the same way, in order to minimize complications.
I know that holding pressure in one place for a long period of time can hurt. Yet holding pressure has to be done correctly every time, the same way, in order to minimize complications.
I know that holding pressure in...
07/05/2025
Cath Lab Digest
CORONARY ARTERY CALCIUM
07/03/2025
Jonathan Hinton, MD; Gao Ong, MD; Mae Bethell, MD; Jennifer Barraclough, MD; Ganeev Malhotra, MD; Thomas W. Johnson, MD; Simon J. Wilson, MD; James C. Spratt, MD, FRCP, BSc, MBChB; Julian Strange, MBChB, MRCP, MD; Peter O'Kane, MD, MRCP
This is a retrospective analysis of consecutive patients treated with IVL for coronary calcification using the C2+ Shockwave balloon from its implementation in November 2022 through December 2023, with comparison to consecutive patients in...
This is a retrospective analysis of consecutive patients treated with IVL for coronary calcification using the C2+ Shockwave balloon from its implementation in November 2022 through December 2023, with comparison to consecutive patients in...
This is a retrospective analysis...
07/03/2025
Cath Lab Digest
Professional Life
07/03/2025
Bailey Ann Estes MSN, AGNP-C, RN-BC, RNFA, CNOR, RCIS; Derek Pineda, FNP, CCRN, RCIS; Srihari S. Naidu MD, MSCAI
Knowing what to expect in your first days, weeks, and months will help you build confidence, connect with your team, and start a rewarding career in one of the most dynamic areas of healthcare.
Knowing what to expect in your first days, weeks, and months will help you build confidence, connect with your team, and start a rewarding career in one of the most dynamic areas of healthcare.
Knowing what to expect in your...
07/03/2025
Cath Lab Digest
Single-Center Study
07/03/2025
Arif Albulushi, MD; Duaa Alsinani, MD; Saud A. Almarbuii, MD; Ammar M. Al-Abedi, MD; Malak A. Alkulaibi, MD; Zahra Hosseini, MD
This single-center, retrospective study compares the feasibility and outcomes of internal jugular (IJ) versus femoral vein (FV) access for CardioMEMS Heart Failure System implantation (Abbott).
This single-center, retrospective study compares the feasibility and outcomes of internal jugular (IJ) versus femoral vein (FV) access for CardioMEMS Heart Failure System implantation (Abbott).
This single-center,...
07/03/2025
Cath Lab Digest
Peripheral Intervention
01/04/2025
The authors review demographic and clinical characteristics, and short-intermediate term outcomes of patients presenting to a safety-net hospital with peripheral arterial disease treated with directional atherectomy and drug-coated balloon...
The authors review demographic and clinical characteristics, and short-intermediate term outcomes of patients presenting to a safety-net hospital with peripheral arterial disease treated with directional atherectomy and drug-coated balloon...
The authors review demographic...
01/04/2025
Cath Lab Digest
REIMBURSEMENT UPDATE
12/04/2024
The Centers for Medicare & Medicaid Services (CMS) recently released its 2025 updates, introducing significant changes to the Medicare payment systems that will impact healthcare providers nationwide.
The Centers for Medicare & Medicaid Services (CMS) recently released its 2025 updates, introducing significant changes to the Medicare payment systems that will impact healthcare providers nationwide.
The Centers for Medicare &...
12/04/2024
Cath Lab Digest

Test Your Mastery: Quizzes

Croce March 2022
Quiz
03/11/2022
This quiz is based on an interview with Kevin J. Croce, MD, PhD. Read "Image-Guided Calcium Modification: IVL."   CLD March 2022 Calcium Corner QuizDr. Croce describes an image-based strategy that involves an algorithm called...
This quiz is based on an interview with Kevin J. Croce, MD, PhD. Read "Image-Guided Calcium Modification: IVL."   CLD March 2022 Calcium Corner QuizDr. Croce describes an image-based strategy that involves an algorithm called...
This quiz is based on an...
03/11/2022
Cath Lab Digest
SizemoreCLDFeb2022
Quiz
02/23/2022
This quiz is based on an interview with B. Clay Sizemore, MD.
This quiz is based on an interview with B. Clay Sizemore, MD.
This quiz is based on an...
02/23/2022
Cath Lab Digest
McEntegart CLD Jan 2022
Quiz
01/18/2022
This quiz is based on an interview with Margaret McEntegart, BSc (Hons), MBChB, MRCP (UK), PhD. Read "Data Show Coronary Intravascular Lithotripsy is Safe, Effective, and Cost Efficient."   CLD Jan 2021 Calcium...
This quiz is based on an interview with Margaret McEntegart, BSc (Hons), MBChB, MRCP (UK), PhD. Read "Data Show Coronary Intravascular Lithotripsy is Safe, Effective, and Cost Efficient."   CLD Jan 2021 Calcium...
This quiz is based on an...
01/18/2022
Cath Lab Digest
KereiakesAliAikkoHussain
Test Yourself
12/07/2021
This quiz is based on interviews with Drs. Dean Kereiakes, Ziad Ali, Akiko Maehara, and Yasin Hussain. Read "Coronary Intravascular Lithotripsy (IVL): Research Roundup at TCT."   [COPY] TCT Roundup Dec 2021 Calcium...
This quiz is based on interviews with Drs. Dean Kereiakes, Ziad Ali, Akiko Maehara, and Yasin Hussain. Read "Coronary Intravascular Lithotripsy (IVL): Research Roundup at TCT."   [COPY] TCT Roundup Dec 2021 Calcium...
This quiz is based on interviews...
12/07/2021
Cath Lab Digest
CLD Potluri Nov 2021
Test Yourself
11/08/2021
This quiz is based on an interview and case report from Srini Potluri, MD, FACC, FSCAI. Read "Safe and Effective Calcium Modification in Severe Ostial Right Coronary Artery Stenosis." Potluri CLD Nov 2021 Calcium Corner...
This quiz is based on an interview and case report from Srini Potluri, MD, FACC, FSCAI. Read "Safe and Effective Calcium Modification in Severe Ostial Right Coronary Artery Stenosis." Potluri CLD Nov 2021 Calcium Corner...
This quiz is based on an...
11/08/2021
Cath Lab Digest
Klein CLD Oct 2021
TEST YOURSELF
10/12/2021
This quiz is based on an interview with Andrew J.P. Klein, MD, FACC, FSVM, FSCAI. Click here to read "Coronary IVL Tips and Tricks." Klein CLD Oct 2021 Calcium Corner QuizIntravascular lithoplasty has eliminated the need for coronary...
This quiz is based on an interview with Andrew J.P. Klein, MD, FACC, FSVM, FSCAI. Click here to read "Coronary IVL Tips and Tricks." Klein CLD Oct 2021 Calcium Corner QuizIntravascular lithoplasty has eliminated the need for coronary...
This quiz is based on an...
10/12/2021
Cath Lab Digest
Shlofmitz CLD IVL OCT image
Test Yourself
09/22/2021
This quiz is based on an interview with Evan Shlofmitz, DO. Click here to read "When to Use IVL: An Exploration of Treatment Algorithms".   Shlofmitz CLD Sept 2021 Calcium Corner QuizIf you can cross with an OCT or IVUS...
This quiz is based on an interview with Evan Shlofmitz, DO. Click here to read "When to Use IVL: An Exploration of Treatment Algorithms".   Shlofmitz CLD Sept 2021 Calcium Corner QuizIf you can cross with an OCT or IVUS...
This quiz is based on an...
09/22/2021
Cath Lab Digest
Shockwave IVL Mechanism of Use
Test Yourself
09/21/2021
This quiz is based on an interview with Nadia Sutton, MD. Click here to read "The Impact of Calcium on PCI and the Need for Intravascular Lithotripsy (IVL)". Intravascular lithotripsy (IVL) uses sonic pressure waves to fracture both...
This quiz is based on an interview with Nadia Sutton, MD. Click here to read "The Impact of Calcium on PCI and the Need for Intravascular Lithotripsy (IVL)". Intravascular lithotripsy (IVL) uses sonic pressure waves to fracture both...
This quiz is based on an...
09/21/2021
Cath Lab Digest
Quiz
07/03/2025
Richard Casazza, MAS, RT(R)(CI)
07/03/2025
Cath Lab Digest
Croce March 2022
Quiz
03/11/2022
This quiz is based on an interview with Kevin J. Croce, MD, PhD. Read "Image-Guided Calcium Modification: IVL."   CLD March 2022 Calcium Corner QuizDr. Croce describes an image-based strategy that involves an algorithm called...
This quiz is based on an interview with Kevin J. Croce, MD, PhD. Read "Image-Guided Calcium Modification: IVL."   CLD March 2022 Calcium Corner QuizDr. Croce describes an image-based strategy that involves an algorithm called...
This quiz is based on an...
03/11/2022
Cath Lab Digest
SizemoreCLDFeb2022
Quiz
02/23/2022
This quiz is based on an interview with B. Clay Sizemore, MD.
This quiz is based on an interview with B. Clay Sizemore, MD.
This quiz is based on an...
02/23/2022
Cath Lab Digest
McEntegart CLD Jan 2022
Quiz
01/18/2022
This quiz is based on an interview with Margaret McEntegart, BSc (Hons), MBChB, MRCP (UK), PhD. Read "Data Show Coronary Intravascular Lithotripsy is Safe, Effective, and Cost Efficient."   CLD Jan 2021 Calcium...
This quiz is based on an interview with Margaret McEntegart, BSc (Hons), MBChB, MRCP (UK), PhD. Read "Data Show Coronary Intravascular Lithotripsy is Safe, Effective, and Cost Efficient."   CLD Jan 2021 Calcium...
This quiz is based on an...
01/18/2022
Cath Lab Digest
KereiakesAliAikkoHussain
Test Yourself
12/07/2021
This quiz is based on interviews with Drs. Dean Kereiakes, Ziad Ali, Akiko Maehara, and Yasin Hussain. Read "Coronary Intravascular Lithotripsy (IVL): Research Roundup at TCT."   [COPY] TCT Roundup Dec 2021 Calcium...
This quiz is based on interviews with Drs. Dean Kereiakes, Ziad Ali, Akiko Maehara, and Yasin Hussain. Read "Coronary Intravascular Lithotripsy (IVL): Research Roundup at TCT."   [COPY] TCT Roundup Dec 2021 Calcium...
This quiz is based on interviews...
12/07/2021
Cath Lab Digest
CLD Potluri Nov 2021
Test Yourself
11/08/2021
This quiz is based on an interview and case report from Srini Potluri, MD, FACC, FSCAI. Read "Safe and Effective Calcium Modification in Severe Ostial Right Coronary Artery Stenosis." Potluri CLD Nov 2021 Calcium Corner...
This quiz is based on an interview and case report from Srini Potluri, MD, FACC, FSCAI. Read "Safe and Effective Calcium Modification in Severe Ostial Right Coronary Artery Stenosis." Potluri CLD Nov 2021 Calcium Corner...
This quiz is based on an...
11/08/2021
Cath Lab Digest
Klein CLD Oct 2021
TEST YOURSELF
10/12/2021
This quiz is based on an interview with Andrew J.P. Klein, MD, FACC, FSVM, FSCAI. Click here to read "Coronary IVL Tips and Tricks." Klein CLD Oct 2021 Calcium Corner QuizIntravascular lithoplasty has eliminated the need for coronary...
This quiz is based on an interview with Andrew J.P. Klein, MD, FACC, FSVM, FSCAI. Click here to read "Coronary IVL Tips and Tricks." Klein CLD Oct 2021 Calcium Corner QuizIntravascular lithoplasty has eliminated the need for coronary...
This quiz is based on an...
10/12/2021
Cath Lab Digest
Shlofmitz CLD IVL OCT image
Test Yourself
09/22/2021
This quiz is based on an interview with Evan Shlofmitz, DO. Click here to read "When to Use IVL: An Exploration of Treatment Algorithms".   Shlofmitz CLD Sept 2021 Calcium Corner QuizIf you can cross with an OCT or IVUS...
This quiz is based on an interview with Evan Shlofmitz, DO. Click here to read "When to Use IVL: An Exploration of Treatment Algorithms".   Shlofmitz CLD Sept 2021 Calcium Corner QuizIf you can cross with an OCT or IVUS...
This quiz is based on an...
09/22/2021
Cath Lab Digest
Shockwave IVL Mechanism of Use
Test Yourself
09/21/2021
This quiz is based on an interview with Nadia Sutton, MD. Click here to read "The Impact of Calcium on PCI and the Need for Intravascular Lithotripsy (IVL)". Intravascular lithotripsy (IVL) uses sonic pressure waves to fracture both...
This quiz is based on an interview with Nadia Sutton, MD. Click here to read "The Impact of Calcium on PCI and the Need for Intravascular Lithotripsy (IVL)". Intravascular lithotripsy (IVL) uses sonic pressure waves to fracture both...
This quiz is based on an...
09/21/2021
Cath Lab Digest