Shockwave Intravascular Lithotripsy of Undilatable STEMI Lesion in Primary PCI
Ioannis Tsiafoutis, MD; Konstatina Katsanou, MD; Michael Koutouzis, MD, PhD; Apostolos Katsivas, MD, PhD
J INVASIVE CARDIOL 2021;33(1):E67-E68. doi:10.25270/jic/20.00092
Key words: cardiac imaging, Shockwave lithotripsy
A 62-year-old man with a history of insulin-dependent diabetes mellitus, peripheral arterial disease, hypertension, and dyslipidemia presented to the emergency room with acute chest pain of 2-hour duration. Electrocardiogram revealed ST elevation in precordial leads (Figure 1A). He underwent emergency coronary angiogram, which revealed total occlusion of the proximal left anterior descending (LAD) coronary artery (Figure 1B). Using a transradial 6 Fr EBU 3.5 guide, a floppy wire passed to the distal part of the LAD (Figure 1C).
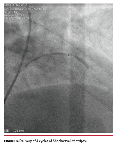
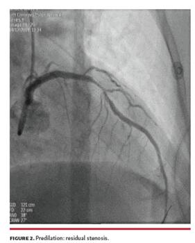
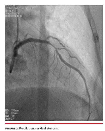
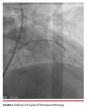
After several attempts with 2.0 x 15 mm and 2.5 x 15 mm compliant and non-compliant balloons used for predilation, a significant residual stenosis remained (Figure 2). At that time, we decided to use Shockwave intravascular lithotripsy (IVL; Shockwave Medical). A 3.00 x 12 mm lithotripsy balloon was chosen, but proved too bulky to advance and deliver. Guide-extension catheter improved support, and 4 cycles of lithotripsy were delivered, achieving full expansion (Figure 3). Subsequently, a 3.0 x 24 mm drug-eluting stent was delivered and deployed, with an optimal result (Figure 4).
Percutaneous coronary intervention in STEMI patients may be complicated by the presence of calcium. The Shockwave IVL technique seems to be a safe and useful option, even in STEMI cases, to achieve procedural success. Nevertheless, extra support techniques may be needed in order to deliver the Shockwave balloon.
From Athens Red Cross Hospital, 1st Cardiological Department, Athens, Greece.
Disclosure statement: The authors have completed and returned the ICMJE Form for Disclosure of Potential Conflicts of Interest. The authors report no conflicts of interest regarding the content herein.
The authors report that patient consent was provided regarding use of the images herein.
Final version accepted March 11, 2020.
Address for correspondence: Ioannis Tsiafoutis MD, 1st Cardiology Department, Athens Red Cross Hospital, 1 Athanasaki St 11521, Athens, Greece. Email: tsiafoutisg@yahoo.com


