Skip to main content

High-Risk PCI Topic Center

Featured

Original Contribution
12/07/2025
Olufemi Olorunda, MD, MPH; Jason Wollmuth, MD; Hsin-Fang Li, PhD; Jacob Abraham, MD
The authors aimed to describe the outcomes, patient and procedural characteristics Impella 5.5-supported high-risk percutaneous coronary intervention in a high-volume center.
The authors aimed to describe the outcomes, patient and procedural characteristics Impella 5.5-supported high-risk percutaneous coronary intervention in a high-volume center.
The authors aimed to describe...
12/07/2025
Journal of Invasive Cardiology
Original Contribution
10/10/2025
Sarah L. Fairley, PhD; Emmanouil S. Brilakis, MD, PhD; Kathleen E. Kearney, MD; Jacqueline Saw, MD; Margaret B. McEntegart, MD; Sarah J. Zaman, PhD; Matthew D. Hordern, MBBS, PhD; Patrick Pender, MD; Shauna L. Newton, MD; Scott A. Harding, MD
The authors propose an algorithm for managing cases of high-risk spontaneous coronary artery dissection in the cardiac catheterization laboratory where intervention is required to restore coronary flow and limit the infarction.
The authors propose an algorithm for managing cases of high-risk spontaneous coronary artery dissection in the cardiac catheterization laboratory where intervention is required to restore coronary flow and limit the infarction.
The authors propose an algorithm...
10/10/2025
Journal of Invasive Cardiology
JIC logo
Quiz
07/18/2025
Test your knowledge on the recent trends observed in 2 international registries: the PROGRESS-CTO and the Japanese Expert CTO-PCI.
Test your knowledge on the recent trends observed in 2 international registries: the PROGRESS-CTO and the Japanese Expert CTO-PCI.
Test your knowledge on the...
07/18/2025
Journal of Invasive Cardiology
JIC logo
Quiz
07/15/2025
Test your knowledge on the geographic diversity of CTO-PCI patients.
Test your knowledge on the geographic diversity of CTO-PCI patients.
Test your knowledge on the...
07/15/2025
Journal of Invasive Cardiology
Review
05/13/2025
Athanasios Rempakos, MD; Pranathi Pilla, BSc; Michaella Alexandrou, MD; Deniz Mutlu, MD; Dimitrios Strepkos, MD; Pedro E.P. Carvalho, MD; Ozgur Selim Ser, MD; Ali Bahbah, MD; Amit Amin, MD; Anand Prasad, MD; Lorenzo Azzalini, MD, PhD; Luiz F. Ybarra, MD; Olga C. Mastrodemos, BA; Bavana V. Rangan, BDS, MPH; Ahmed Al-Ogaili, MD; Sandeep Jalli, DO; M. Nicholas Burke, MD; Yader Sandoval, MD; Emmanouil S. Brilakis, MD, PhD
The authors review the latest AI-based innovations in the diagnosis of chronic total occlusions (CTO) and in determining the probability of success of CTO PCI.
The authors review the latest AI-based innovations in the diagnosis of chronic total occlusions (CTO) and in determining the probability of success of CTO PCI.
The authors review the latest...
05/13/2025
Journal of Invasive Cardiology
Original Contribution
03/04/2025
Soichiro Ebisawa, MD, PhD; Etsuo Tsuchikane, MD, PhD; Koichi Kishi, MD; Yoshiaki Ito, MD, PhD; Hisayuki Okada, MD, PhD; Satoru Sumitsuji, MD; Yuji Oikawa, MD; Ryohei Yoshikawa, MD; Hiroyuki Tanaka, MD
This study aimed to compare the strategies and initial success rates of chronic total occlusion-percutaneous coronary intervention in patients with and without prior coronary artery bypass graft.
This study aimed to compare the strategies and initial success rates of chronic total occlusion-percutaneous coronary intervention in patients with and without prior coronary artery bypass graft.
This study aimed to compare the...
03/04/2025
Journal of Invasive Cardiology
Review
06/03/2024

Eugene B. Wu, MD1; Wataru Nagamatsu, MD2; Atsunori Okamura, MD3

Eugene B. Wu, MD1; Wataru Nagamatsu, ...
In this article, the authors provide 10 tips for every chronic total occlusion interventionist to use when performing 3-dimensional wiring in distal true lumen wiring
In this article, the authors provide 10 tips for every chronic total occlusion interventionist to use when performing 3-dimensional wiring in distal true lumen wiring
In this article, the authors...
06/03/2024
Journal of Invasive Cardiology
Original Contribution
05/22/2024

Michaella Alexandrou, MD1; Athanasios Rempakos, MD1; Deniz Mutlu, MD1; Ahmed Al Ogaili, MD1; James W. Choi, MD2; Paul Poommipanit, MD3; Khaldoon Alaswad, MD4; Mir Babar Basir, DO4; Rhian Davies, DO, MS5; Farouc A. Jaffer, MD, PhD6; Raj H. Chandwaney, MD7; Lorenzo Azzalini, MD, PhD, MSc8; Nazif Aygul, MD9; Ahmed M. ElGuindy, MD10; Brian K. Jefferson, MD11; Sevket Gorgulu, MD12; Jaikirshan J. Khatri, MD13; Oleg Krestyaninov, MD14; Dmitrii Khelimskii, MD14; Jarrod Frizzell, MD15; Basem Elbarouni, MD16; Omer Goktekin, MD17; Margaret B. McEntegart, MD18; Bavana V. Rangan, BDS, MPH1; Olga C. Mastrodemos, BA1; M. Nicholas Burke, MD1; Yader Sandoval, MD1; Emmanouil S. Brilakis, MD, PhD1

Michaella Alexandrou, MD1; Athanasios...
The authors analyzed patient and lesion characteristics, techniques, and outcomes in 11 503 CTO-PCI procedures performed in North America and in the combined regions of Europe, Asia, and Africa from 2017 to 2023 as documented in the...
The authors analyzed patient and lesion characteristics, techniques, and outcomes in 11 503 CTO-PCI procedures performed in North America and in the combined regions of Europe, Asia, and Africa from 2017 to 2023 as documented in the...
The authors analyzed patient and...
05/22/2024
Journal of Invasive Cardiology
Brief Communication
04/30/2024

Michaella Alexandrou, MD1; Deniz Mutlu, MD1; Athanasios Rempakos, MD1; Ahmed Al Ogaili, MD1; James W. Choi, MD2,3; Paul Poommipanit, MD4; Khaldoon Alaswad, MD5; Mir Babar Basir, DO5; Rhian Davies, DO, MS6; Farouc A. Jaffer, MD, PhD7; Phil Dattilo, MD8; Lorenzo Azzalini, MD, PhD, MSc9; Nazif Aygul, MD10; Niranjan Reddy, MD11; Brian K. Jefferson, MD12; Sevket Gorgulu, MD13; Jaikirshan J. Khatri, MD14; Laura D. Young, MD14;  Oleg Krestyaninov MD15; Dmitrii Khelimskii MD15; Jarrod Frizzell, MD16; Basem Elbarouni, MD17; Bavana V. Rangan, BDS, MPH1; Olga C. Mastrodemos, BA1; M. Nicholas Burke, MD1; Yader Sandoval, MD1; Emmanouil S. Brilakis, MD, PhD1

Michaella Alexandrou, MD1; Deniz Mutl...
The authors analyzed a large, multicenter chronic total occlusion (CTO) percutaneous coronary intervention (PCI) registry to determine the baseline clinical and angiographic characteristics and procedural outcomes of patients undergoing CTO...
The authors analyzed a large, multicenter chronic total occlusion (CTO) percutaneous coronary intervention (PCI) registry to determine the baseline clinical and angiographic characteristics and procedural outcomes of patients undergoing CTO...
The authors analyzed a large,...
04/30/2024
Journal of Invasive Cardiology
Original Contribution
02/09/2024
Hayato Ohtani, MD, PhD; Masao Saotome, MD, PhD; Yuichiro Maekawa, MD, PhD; Yuichi Suzuki, MD; Satoshi Mogi, MD; Yusuke Mizuno, MD; Ryota Sato, MD, PhD; Terumori Satoh, MD, PhD
This study aimed to determine the safety and feasibility of a non-angio-guided post-closure approach using the Perclose ProGlide (Abbott) to decannulate the Impella (Abiomed) in the intensive care unit.
This study aimed to determine the safety and feasibility of a non-angio-guided post-closure approach using the Perclose ProGlide (Abbott) to decannulate the Impella (Abiomed) in the intensive care unit.
This study aimed to determine...
02/09/2024
Journal of Invasive Cardiology
Original Contribution
05/16/2023
Bahadir Simsek, MD; Emmanouil S. Brilakis, MD, PhD, FACC, FAHA, FESC, FSCAI; Spyridon Kostantinis, MD; Olga C. Mastrodemos, BA; Salman S. Allana, MD; Beatrice D. Rynders, BS; Yale Wang, MD; Elizabeth Page, BA; Ivan Chavez, MD; Vennela Avula, BSPH; Anil Poulose, MD; Judit Karacsonyi, MD, PhD; M. Nicholas Burke, MD; Bavana V. Rangan, BDS, MPH, MD; Michael R. Mooney, MD; Paul Sorajja, MD; Yader Sandoval, MD; Jay H. Traverse, MD; Mario Gössl, MD, PhD; Evan Walser-Kuntz, MS; Larissa Stanberry, PhD; Athanasios Rempakos, MD
Coronary artery dissection is a feared and potentially life-threatening complication of percutaneous coronary intervention (PCI). We examined the clinical, angiographic, and procedural characteristics, and outcomes of coronary dissection at a...
Coronary artery dissection is a feared and potentially life-threatening complication of percutaneous coronary intervention (PCI). We examined the clinical, angiographic, and procedural characteristics, and outcomes of coronary dissection at a...
Coronary artery dissection is a...
05/16/2023
Journal of Invasive Cardiology

Videos

Filippou Figure 3
Clinical Videos
01/26/2026
Konstantinos Filippou, MD; Konstantinos Manousopoulos, MD; Panagiotis Varelas, MD; Dimitrios Karelas, MD; Ioannis Kouloulias, MD; Alexandros Zaraggas, MD; Ioannis Papadopoulos, MD; Ioannis Nenekidis, MD, PhD; Ioannis Tsiafoutis, MD, PhD
Video Supplement to "A Challenging Case of Left Main Chronic Total Occlusion and the Reverse T-Stenting and Small Protrusion (TAP) Technique: Success With the Investment Strategy" (Clinical Image).
Video Supplement to "A Challenging Case of Left Main Chronic Total Occlusion and the Reverse T-Stenting and Small Protrusion (TAP) Technique: Success With the Investment Strategy" (Clinical Image).
Video Supplement to "A...
01/26/2026
Journal of Invasive Cardiology
Varelas Figure 1
Clinical Videos
07/11/2025
Panagiotis Varelas, MD, MSc; Konstantinos Manousopoulos, MD, PhD; Konstantinos Filippou, MD, MSc; Dimitrios Karelas, MD, MSc; Ioannis Papadopoulos, MD; Alexandre Avran, MD; Ioannis Tsiafoutis, MD, PhD
Video Supplement to "Thrombotic Complication After a Double-Barrel Configuration Percutaneous Coronary Intervention in a Chronic Total Occlusion."
Video Supplement to "Thrombotic Complication After a Double-Barrel Configuration Percutaneous Coronary Intervention in a Chronic Total Occlusion."
Video Supplement to "Thrombotic...
07/11/2025
Journal of Invasive Cardiology
Kodal Figure
Clinical Videos
05/19/2025
Burcu Kodal, MD; Tahir Bezgin, MD; Aziz Inan Celik, MD
Video Supplement to "The Hidden Threat: Masked Coronary Artery Perforation Due to Coronary No-Reflow" (Clinical Image).
Video Supplement to "The Hidden Threat: Masked Coronary Artery Perforation Due to Coronary No-Reflow" (Clinical Image).
Video Supplement to "The Hidden...
05/19/2025
Journal of Invasive Cardiology
Ho Figure 1
Clinical Videos
04/15/2025
Cheuk Bong Ho, MBBS; Calvin Leung, MBChB; Michael Chi Shing Chiang, MBBS; Esmond Yan Hang Fong, MBBS; Shing Fung Chui, MBBS; Ka Chun Chan, MBBS; Chi Yuen Wong, MBBS; Michael Kang Yin Lee, MBBS
Video Supplement to "Real-Time IVUS-Guided Minimal CRUSH for Bifurcation Stenting: The IM-CRUSH Technique" (Clinical Image).
Video Supplement to "Real-Time IVUS-Guided Minimal CRUSH for Bifurcation Stenting: The IM-CRUSH Technique" (Clinical Image).
Video Supplement to "Real-Time...
04/15/2025
Journal of Invasive Cardiology
EB Top 10
Author Interview
02/03/2025
Emmanouil S. Brilakis, MD, PhD; Deepak L. Bhatt, MD, MPH, FACC, FAHA, FESC, MSCAI
Dr Deepak L. Bhatt, editor-in-chief of the Journal of Invasive Cardiology, catches up with Dr Emmanouil S. Brilakis about his Editor’s 2024 Top 10 article, “Update on Chronic Total Occlusion Percutaneous Coronary Intervention”.
Dr Deepak L. Bhatt, editor-in-chief of the Journal of Invasive Cardiology, catches up with Dr Emmanouil S. Brilakis about his Editor’s 2024 Top 10 article, “Update on Chronic Total Occlusion Percutaneous Coronary Intervention”.
Dr Deepak L. Bhatt,...
02/03/2025
Journal of Invasive Cardiology
Brilakis preview
Author Interview
04/04/2024

Emmanouil S. Brilakis, MD, PhD

Emmanouil S. Brilakis, MD, PhD ...
Dr. Deepak L. Bhatt catches up with Dr. Emmanouil S. Brilakis about his Editor’s 2023 Top 10 article, “Equipment Utilization in Chronic Total Occlusion Percutaneous Coronary Interventions: Update From the PROGRESS-CTO Registry.”
Dr. Deepak L. Bhatt catches up with Dr. Emmanouil S. Brilakis about his Editor’s 2023 Top 10 article, “Equipment Utilization in Chronic Total Occlusion Percutaneous Coronary Interventions: Update From the PROGRESS-CTO Registry.”
Dr. Deepak L. Bhatt catches up...
04/04/2024
Journal of Invasive Cardiology
Brilakis preview
Author Interview
04/02/2024

Emmanouil S. Brilakis, MD, PhD

Emmanouil S. Brilakis, MD, PhD ...
Dr Deepak L. Bhatt and Dr Emmanouil S. Brilakis discuss the latest updates on chronic total occlusion percutaneous coronary intervention.
Dr Deepak L. Bhatt and Dr Emmanouil S. Brilakis discuss the latest updates on chronic total occlusion percutaneous coronary intervention.
Dr Deepak L. Bhatt and Dr...
04/02/2024
Journal of Invasive Cardiology
Drs Bhatt and Sharma
Video
03/09/2023
Deepak L. Bhatt, MD, MPH, FACC, FAHA, FESC, MSCAI; Samin K. Sharma, MD, FACC, FSCAI
In this episode, Dr Deepak Bhatt, JIC Editor-in-Chief interviews Dr Samin Sharma about his recent paper. "Efficacy and Safety of an Upfront RotaTripsy Strategy in the Treatment of De Novo and In-Stent Restenosis Cases."
In this episode, Dr Deepak Bhatt, JIC Editor-in-Chief interviews Dr Samin Sharma about his recent paper. "Efficacy and Safety of an Upfront RotaTripsy Strategy in the Treatment of De Novo and In-Stent Restenosis Cases."
In this episode, Dr Deepak...
03/09/2023
Journal of Invasive Cardiology
Gonzalvez-Garcia
Video
01/31/2023
Raúl Moreno-Gómez, MD, PhD; Guillermo Galeote, MD, PhD; Santiago Jimenez-Valero, MD, PhD; Ariana Gonzalvez-Garcia, MD; Alfonso Jurado-Román, MD, PhD
Video supplement to “Three Devices on One,” by Gonzálvez-García, et al. (February 2023 Clinical Images).
Video supplement to “Three Devices on One,” by Gonzálvez-García, et al. (February 2023 Clinical Images).
Video supplement to “Three...
01/31/2023
Journal of Invasive Cardiology
Kaier Video
Video
11/08/2022
Antonis N. Pavlidis, MD, PhD; Thomas E. Kaier, MD, MBA, PhD; Nicholas Aroney, MBBS; Chandan D. Bhavnani, MBBS; Andreas S. Kalogeropoulos, MD, PhD, FRCP; Maciej Marciniak, PhD
Supplemental Video to "Antegrade Dissection Re-entry for Management Of Retained Microcatheter Tips During PCI For Chronic Total Occlusion: A Case Series," by Kaier et al.
Supplemental Video to "Antegrade Dissection Re-entry for Management Of Retained Microcatheter Tips During PCI For Chronic Total Occlusion: A Case Series," by Kaier et al.
Supplemental Video to "Antegrade...
11/08/2022
Journal of Invasive Cardiology
Bangalore top 10
Author Interview
02/02/2026
Sripal Bangalore, MD, MHA; Deepak L. Bhatt, MD, MPH, FACC, FAHA, FESC, MSCAI
Dr Deepak L. Bhatt, editor-in-chief of the Journal of Invasive Cardiology, catches up with Dr Sripal Bangalore about his Editor’s 2025 Top 10 article, “Outcomes With Distal Transradial Access in Patients With Advanced Chronic Kidney Disease.”
Dr Deepak L. Bhatt, editor-in-chief of the Journal of Invasive Cardiology, catches up with Dr Sripal Bangalore about his Editor’s 2025 Top 10 article, “Outcomes With Distal Transradial Access in Patients With Advanced Chronic Kidney Disease.”
Dr Deepak L. Bhatt,...
02/02/2026
Journal of Invasive Cardiology
Editor's 2025 Top 10
Editor's Message
02/02/2026
Deepak L. Bhatt, MD, MPH, FACC, FAHA, FESC, MSCAI
Dr Deepak L. Bhatt, Editor-in-Chief of JIC, presents the Top 10 Articles from 2025.
Dr Deepak L. Bhatt, Editor-in-Chief of JIC, presents the Top 10 Articles from 2025.
Dr Deepak L. Bhatt,...
02/02/2026
Journal of Invasive Cardiology
Sovari Figure 1
Clinical Videos
01/29/2026
Jeong Hwan J. Kim, MD; Leili Pourafkari, MD; Jonathan Lalezari, MD; Ali Sovari, MD
Video Supplement to "Right Internal Jugular Pulsed Field Ablation for Atrial Fibrillation in a Patient With an Inferior Vena Cava Filter" (Clinical Image).
Video Supplement to "Right Internal Jugular Pulsed Field Ablation for Atrial Fibrillation in a Patient With an Inferior Vena Cava Filter" (Clinical Image).
Video Supplement to "Right...
01/29/2026
Journal of Invasive Cardiology
Bradt Figure
Clinical Videos
01/28/2026
Nicolas Bradt, MD; Maxim Verlee, MD, PhD(c); Christophe Borin, MD; Hans Vandekerckhove, MD; Laurens De Vos, MD
Video Supplement to "Septal Coronary Artery Fistula After Implantation of a Left Bundle Branch Area Pacemaker" (Clinical Image).
Video Supplement to "Septal Coronary Artery Fistula After Implantation of a Left Bundle Branch Area Pacemaker" (Clinical Image).
Video Supplement to "Septal...
01/28/2026
Journal of Invasive Cardiology
Ouerghi Figure
Clinical Videos
01/27/2026
Kaïs Ouerghi, MD; Tahar Lazizi, MD; Victor Mateus, MD
Video Supplement to "Mechanical Reperfusion of Subocclusive Plaque Erosion: 30-Month Outcome of an Optical Coherence Tomography-Guided Stentless Strategy" (Clinical Image).
Video Supplement to "Mechanical Reperfusion of Subocclusive Plaque Erosion: 30-Month Outcome of an Optical Coherence Tomography-Guided Stentless Strategy" (Clinical Image).
Video Supplement to "Mechanical...
01/27/2026
Journal of Invasive Cardiology
Filippou Figure 3
Clinical Videos
01/26/2026
Konstantinos Filippou, MD; Konstantinos Manousopoulos, MD; Panagiotis Varelas, MD; Dimitrios Karelas, MD; Ioannis Kouloulias, MD; Alexandros Zaraggas, MD; Ioannis Papadopoulos, MD; Ioannis Nenekidis, MD, PhD; Ioannis Tsiafoutis, MD, PhD
Video Supplement to "A Challenging Case of Left Main Chronic Total Occlusion and the Reverse T-Stenting and Small Protrusion (TAP) Technique: Success With the Investment Strategy" (Clinical Image).
Video Supplement to "A Challenging Case of Left Main Chronic Total Occlusion and the Reverse T-Stenting and Small Protrusion (TAP) Technique: Success With the Investment Strategy" (Clinical Image).
Video Supplement to "A...
01/26/2026
Journal of Invasive Cardiology
Rivera Figure 1
Clinical Videos
01/26/2026
Mireia Martínez, MD; Paula Vela, MD; Juan Casanova-Sandoval, MD, PhD; Kristian Rivera, MD
Video Supplement to "Intravascular Ultrasound Guided Management of Early Stent Thrombosis Secondary to Coronary Intramural Hematoma" (Clinical Image).
Video Supplement to "Intravascular Ultrasound Guided Management of Early Stent Thrombosis Secondary to Coronary Intramural Hematoma" (Clinical Image).
Video Supplement to...
01/26/2026
Journal of Invasive Cardiology
Krebushevski Figure 1
Clinical Videos
01/23/2026
Kaitlyn Krebushevski, DO; Allison K. Cabalka, MD; Nathaniel W. Taggart, MD; Pradyumna Agasthi, MD; Alexander C. Egbe, MBBS; William R. Miranda, MD; Peter M. Pollak, MD; Abigail M. Sutter, PA-C; Frank Cetta, MD; Jason H. Anderson, MD
Video Supplement to "Self-Expanding Aortic Endografts for Endovascular Repair of Native and Recurrent Coarctation of the Aorta" (Original Article).
Video Supplement to "Self-Expanding Aortic Endografts for Endovascular Repair of Native and Recurrent Coarctation of the Aorta" (Original Article).
Video Supplement to...
01/23/2026
Journal of Invasive Cardiology
Martin-Arena Figure 1
Clinical Videos
01/09/2026
Miguel A. Martín-Arena, MD; Joaquín Vila-García, MD; Clara Ugueto-Rodrigo, MD; Cristina Contreras-Lorenzo, MD; Ricardo Martínez-González, MD; Carmen Labarta-Bello, MD; Guadalupe Buitrago Weiland, MD; Sandra Rosillo-Rodríguez, MD, PhD; Santiago Jiménez-Valero, MD; Raúl Moreno, MD, PhD
Video Supplement to "Very Late Thrombosis of a Hemi-Cabrol Coronary Graft: A Rare Cause of Cardiogenic Shock" (Clinical Image).
Video Supplement to "Very Late Thrombosis of a Hemi-Cabrol Coronary Graft: A Rare Cause of Cardiogenic Shock" (Clinical Image).
Video Supplement to "Very Late...
01/09/2026
Journal of Invasive Cardiology
Stulpinaite Figure
Clinical Videos
01/06/2026
Guste Cesnaite, MD; Ugne Stulpinaite, MD; Sigitas Cesna, MD, PhD
Video Supplement to "Adaptive Use of a Large-Bore Sheath to Access the Right Ventricular Outflow Tract in a Pediatric Patient" (Clinical Image).
Video Supplement to "Adaptive Use of a Large-Bore Sheath to Access the Right Ventricular Outflow Tract in a Pediatric Patient" (Clinical Image).
Video Supplement to "Adaptive...
01/06/2026
Journal of Invasive Cardiology

Podcasts

Bhatt and Brilakis
Podcast
11/07/2022
Emmanouil S. Brilakis, MD, PhD, FACC, FAHA, FESC, FSCAI; Deepak L. Bhatt, MD, MPH, FACC, FAHA, FESC, MSCAI
Emmanouil Brilakis discusses the largest meta-analysis to date investigating the impact of CTO-PCI on clinical events during long-term follow-up. The analysis (Simsek et al), included 58 publications containing a total of 45,527 who underwent...
Emmanouil Brilakis discusses the largest meta-analysis to date investigating the impact of CTO-PCI on clinical events during long-term follow-up. The analysis (Simsek et al), included 58 publications containing a total of 45,527 who underwent...
Emmanouil Brilakis discusses the...
11/07/2022
Journal of Invasive Cardiology
Bhatt and Brilakis
Podcast
11/07/2022
Emmanouil S. Brilakis, MD, PhD, FACC, FAHA, FESC, FSCAI; Deepak L. Bhatt, MD, MPH, FACC, FAHA, FESC, MSCAI
Deepak Bhatt, MD, MPH, Editor-in-Chief of the Journal of Invasive Cardiology (JIC), and Emmanouil Brilakis discuss coronary perforation, a rare but potentially life-threatening complication of PCI.
Deepak Bhatt, MD, MPH, Editor-in-Chief of the Journal of Invasive Cardiology (JIC), and Emmanouil Brilakis discuss coronary perforation, a rare but potentially life-threatening complication of PCI.
Deepak Bhatt, MD, MPH,...
11/07/2022
Journal of Invasive Cardiology
Podcasts
04/21/2025
Nishtha Sareen, MD, MPH, FACC, FSCAI
EPLD talks with Nishtha Sareen, MD, MPH, FACC, FSCAI, about challenges in cardiovascular care for women, gaps in knowledge, and more.
EPLD talks with Nishtha Sareen, MD, MPH, FACC, FSCAI, about challenges in cardiovascular care for women, gaps in knowledge, and more.
EPLD talks with Nishtha Sareen,...
04/21/2025
EP Lab Digest
Podcasts
02/07/2025
Bibhu D. Mohanty, MD; Elizabeth Schetina, BSN, RN
EP Lab Digest highlights Tampa General Hospital’s NeuroCardiac Program, a unique, collaborative approach to patient care that is shaping the future of heart-brain health.
EP Lab Digest highlights Tampa General Hospital’s NeuroCardiac Program, a unique, collaborative approach to patient care that is shaping the future of heart-brain health.
EP Lab Digest highlights Tampa...
02/07/2025
EP Lab Digest
Podcasts
01/10/2025
Nassir F. Marrouche, MD; Bradley P. Knight, MD, FACC, FHRS
In this episode, EP Lab Digest features a discussion with Bradley Knight, MD, and Nassir Marrouche, MD, about the upcoming Western Atrial Fibrillation Symposium, taking place February 27-March 1, 2025, in Salt Lake City, Utah. 
In this episode, EP Lab Digest features a discussion with Bradley Knight, MD, and Nassir Marrouche, MD, about the upcoming Western Atrial Fibrillation Symposium, taking place February 27-March 1, 2025, in Salt Lake City, Utah. 
In this episode, EP Lab...
01/10/2025
EP Lab Digest
JIC Podcast Logo
Podcasts
09/13/2023
The JIC Podcast is the official podcast of the Journal of Invasive Cardiology. The Journal of Invasive Cardiology (JIC) is a peer-reviewed scientific medical journal serving clinicians who treat cardiovascular disease.
The JIC Podcast is the official podcast of the Journal of Invasive Cardiology. The Journal of Invasive Cardiology (JIC) is a peer-reviewed scientific medical journal serving clinicians who treat cardiovascular disease.
The JIC Podcast is the official...
09/13/2023
Journal of Invasive Cardiology
Deepak L. Bhatt, MD, MPH, and Nassir Marrouche, MD
Podcasts
09/13/2023
Jodie Elrod
Nassir Marrouche, MD, talks with Deepak L. Bhatt, MD, MPH, about how the Western AF Symposium includes opportunities for interventional cardiologists.
Nassir Marrouche, MD, talks with Deepak L. Bhatt, MD, MPH, about how the Western AF Symposium includes opportunities for interventional cardiologists.
Nassir Marrouche, MD, talks with...
09/13/2023
Journal of Invasive Cardiology
Drs Bhatt and Sharma
Podcasts
03/09/2023
Samin K. Sharma, MD, FACC, FSCAI; Deepak L. Bhatt, MD, MPH, FACC, FAHA, FESC, MSCAI
03/09/2023
Journal of Invasive Cardiology
Dr Bhatt
Podcast
02/01/2023
Deepak L. Bhatt, MD, MPH, FACC, FAHA, FESC, MSCAI
Deepak Bhatt, MD, MPH, JIC Editor-in-Chief, selects the most notable articles from JIC 2022.
Deepak Bhatt, MD, MPH, JIC Editor-in-Chief, selects the most notable articles from JIC 2022.
Deepak Bhatt, MD, MPH, JIC...
02/01/2023
Journal of Invasive Cardiology
Bhatt and Wang
Podcast
12/05/2022
Dee Dee Wang, MD; Deepak L. Bhatt, MD, MPH, FACC, FAHA, FESC, MSCAI
In this interview, Drs Bhatt and Wang discuss the Door-To-Unload (DTU)-STEMI pilot trial, set up to evaluate the safety and feasibility of LV unloading and delayed reperfusion in patients with STEMI.
In this interview, Drs Bhatt and Wang discuss the Door-To-Unload (DTU)-STEMI pilot trial, set up to evaluate the safety and feasibility of LV unloading and delayed reperfusion in patients with STEMI.
In this interview, Drs Bhatt and...
12/05/2022
Journal of Invasive Cardiology
Bhatt and Brilakis
Podcast
11/07/2022
Emmanouil S. Brilakis, MD, PhD, FACC, FAHA, FESC, FSCAI; Deepak L. Bhatt, MD, MPH, FACC, FAHA, FESC, MSCAI
Emmanouil Brilakis discusses the largest meta-analysis to date investigating the impact of CTO-PCI on clinical events during long-term follow-up. The analysis (Simsek et al), included 58 publications containing a total of 45,527 who underwent...
Emmanouil Brilakis discusses the largest meta-analysis to date investigating the impact of CTO-PCI on clinical events during long-term follow-up. The analysis (Simsek et al), included 58 publications containing a total of 45,527 who underwent...
Emmanouil Brilakis discusses the...
11/07/2022
Journal of Invasive Cardiology
Bhatt and Brilakis
Podcast
11/07/2022
Emmanouil S. Brilakis, MD, PhD, FACC, FAHA, FESC, FSCAI; Deepak L. Bhatt, MD, MPH, FACC, FAHA, FESC, MSCAI
Deepak Bhatt, MD, MPH, Editor-in-Chief of the Journal of Invasive Cardiology (JIC), and Emmanouil Brilakis discuss coronary perforation, a rare but potentially life-threatening complication of PCI.
Deepak Bhatt, MD, MPH, Editor-in-Chief of the Journal of Invasive Cardiology (JIC), and Emmanouil Brilakis discuss coronary perforation, a rare but potentially life-threatening complication of PCI.
Deepak Bhatt, MD, MPH,...
11/07/2022
Journal of Invasive Cardiology

Clinical Images

Clinical Images
01/26/2026
Konstantinos Filippou, MD; Konstantinos Manousopoulos, MD; Panagiotis Varelas, MD; Dimitrios Karelas, MD; Ioannis Kouloulias, MD; Alexandros Zaraggas, MD; Ioannis Papadopoulos, MD; Ioannis Nenekidis, MD, PhD; Ioannis Tsiafoutis, MD, PhD
A 62-year-old man with a history of coronary artery bypass graft was referred because of worsening anginal symptoms despite being on optimal antianginal medical therapy. Physical examination, electrocardiogram, echocardiogram, and routine...
A 62-year-old man with a history of coronary artery bypass graft was referred because of worsening anginal symptoms despite being on optimal antianginal medical therapy. Physical examination, electrocardiogram, echocardiogram, and routine...
A 62-year-old man with a history...
01/26/2026
Journal of Invasive Cardiology
Clinical Images
10/03/2025
Shivam Goel, MBBS, MD; Nayani Makkar, MBBS, MD, DM; Satyavir Yadav, MBBS, MD, DM
A 58-year-old man with a prior history of poorly controlled type 2 diabetes mellitus presented with a high-risk non-ST elevation myocardial infarction. Transthoracic echocardiography demonstrated a left ventricular ejection fraction of 51%...
A 58-year-old man with a prior history of poorly controlled type 2 diabetes mellitus presented with a high-risk non-ST elevation myocardial infarction. Transthoracic echocardiography demonstrated a left ventricular ejection fraction of 51%...
A 58-year-old man with a prior...
10/03/2025
Journal of Invasive Cardiology
Clinical Images
07/11/2025
Panagiotis Varelas, MD, MSc; Konstantinos Manousopoulos, MD, PhD; Konstantinos Filippou, MD, MSc; Dimitrios Karelas, MD, MSc; Ioannis Papadopoulos, MD; Alexandre Avran, MD; Ioannis Tsiafoutis, MD, PhD
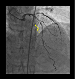
A 63-year-old man with stable angina was scheduled for elective percutaneous coronary intervention of a chronic total coronary occlusion of the right coronary artery (RCA) with epicardial bridging collaterals from the left circumflex artery...
A 63-year-old man with stable angina was scheduled for elective percutaneous coronary intervention of a chronic total coronary occlusion of the right coronary artery (RCA) with epicardial bridging collaterals from the left circumflex artery...
A 63-year-old man with stable...
07/11/2025
Journal of Invasive Cardiology
Clinical Images
05/27/2025
Giovanni Lorenzoni, MD; Cristiana Denurra, MD; Pierluigi Merella, MD; Giuseppe Talanas, MD; Gavino Casu, MD
The authors report a rare case of simultaneous ST-segment elevation in the infero-lateral and anterior leads with acute double-coronaries thrombotic occlusion successfully treated with double primary percutaneous coronary intervention in a...
The authors report a rare case of simultaneous ST-segment elevation in the infero-lateral and anterior leads with acute double-coronaries thrombotic occlusion successfully treated with double primary percutaneous coronary intervention in a...
The authors report a rare case...
05/27/2025
Journal of Invasive Cardiology
Clinical Images
05/19/2025
Burcu Kodal, MD; Tahir Bezgin, MD; Aziz Inan Celik, MD
A 58-year-old man presented to the emergency department with chest pain consistent with angina. Electrocardiography revealed no ischemic changes; however, serial troponin measurements showed a rising trend.
A 58-year-old man presented to the emergency department with chest pain consistent with angina. Electrocardiography revealed no ischemic changes; however, serial troponin measurements showed a rising trend.
A 58-year-old man presented to...
05/19/2025
Journal of Invasive Cardiology
Clinical Images
04/15/2025
Cheuk Bong Ho, MBBS; Calvin Leung, MBChB; Michael Chi Shing Chiang, MBBS; Esmond Yan Hang Fong, MBBS; Shing Fung Chui, MBBS; Ka Chun Chan, MBBS; Chi Yuen Wong, MBBS; Michael Kang Yin Lee, MBBS
A 72-year-old woman with diabetic nephropathy was admitted for non-ST segment elevation myocardial infarction. She had undergone percutaneous coronary intervention to the ostial left anterior descending and left circumflex arteries 2 years...
A 72-year-old woman with diabetic nephropathy was admitted for non-ST segment elevation myocardial infarction. She had undergone percutaneous coronary intervention to the ostial left anterior descending and left circumflex arteries 2 years...
A 72-year-old woman with...
04/15/2025
Journal of Invasive Cardiology
Clinical Images
04/01/2023
Marin Pavlov, MD, PhD; Tomislava Bodrozic Dzakic, MD
A 60-year-old male with chronic obstructive pulmonary disease and active smoking was admitted for positive treadmill test. He reported exertional chest pain 4 months ago; however, since then he had been symptom free. Echocardiography showed...
A 60-year-old male with chronic obstructive pulmonary disease and active smoking was admitted for positive treadmill test. He reported exertional chest pain 4 months ago; however, since then he had been symptom free. Echocardiography showed...
A 60-year-old male with chronic...
04/01/2023
Journal of Invasive Cardiology
Clinical Images
03/01/2023
Bruno Brochado, MD; Andre Alexandre, MD; Tiago Adrega, MD; Joao Silveira, MD; Severo Torres, MD; Les Stewart
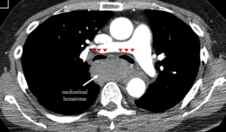
A 65-year-old man who presented with lateral ST-segment-elevation myocardial infarction was referred for primary percutaneous coronary intervention. These image show brachiocephalic artery perforation with subsequent mediastinal hematoma.
A 65-year-old man who presented with lateral ST-segment-elevation myocardial infarction was referred for primary percutaneous coronary intervention. These image show brachiocephalic artery perforation with subsequent mediastinal hematoma.
A 65-year-old man who presented...
03/01/2023
Journal of Invasive Cardiology
Clinical Images
03/01/2023
Barbara D. Lawson, MD; Issa Kutkut, MD; Zachary M. Gertz, MD; Babar Khan, MD; Stephen O. Hunley, MD
When dislodged stents remain on the coronary wire, the wire can be snared outside of the body. These two cases demonstrate the use of the presnaring technique to retrieve dislodged coronary stents when the stent remained on the coronary wire.
When dislodged stents remain on the coronary wire, the wire can be snared outside of the body. These two cases demonstrate the use of the presnaring technique to retrieve dislodged coronary stents when the stent remained on the coronary wire.
When dislodged stents remain on...
03/01/2023
Journal of Invasive Cardiology
Clinical Images
02/01/2023
Antonios Ziakas, MD; Konstantinos C. Theodoropoulos, MD, MSc; Antonios Kouparanis, MD; George Kassimis, MD, PhD
Clinical images demonstrating stent damage during the insertion in the distal cylinder of the Telescope GCE.
Clinical images demonstrating stent damage during the insertion in the distal cylinder of the Telescope GCE.
Clinical images demonstrating...
02/01/2023
Journal of Invasive Cardiology
Clinical Images
01/29/2026
Jeong Hwan J. Kim, MD; Leili Pourafkari, MD; Jonathan Lalezari, MD; Ali Sovari, MD
A 77-year-old man with peripheral arterial disease, sick sinus syndrome, hypertension, and paroxysmal atrial fibrillation (AF) presented for rhythm control. He had a normally functioning dual-chamber pacemaker but had frequent symptomatic AF...
A 77-year-old man with peripheral arterial disease, sick sinus syndrome, hypertension, and paroxysmal atrial fibrillation (AF) presented for rhythm control. He had a normally functioning dual-chamber pacemaker but had frequent symptomatic AF...
A 77-year-old man with...
01/29/2026
Journal of Invasive Cardiology
Clinical Images
01/28/2026
Nicolas Bradt, MD; Maxim Verlee, MD, PhD(c); Christophe Borin, MD; Hans Vandekerckhove, MD; Laurens De Vos, MD
A 51-year-old man with a mixed-phenotype cardiomyopathy was referred for coronary angiography because of new-onset episodes of ventricular arrythmias. At his initial presentation in 2014, he was diagnosed with hypertrophic cardiomyopathy,...
A 51-year-old man with a mixed-phenotype cardiomyopathy was referred for coronary angiography because of new-onset episodes of ventricular arrythmias. At his initial presentation in 2014, he was diagnosed with hypertrophic cardiomyopathy,...
A 51-year-old man with a...
01/28/2026
Journal of Invasive Cardiology
Clinical Images
01/27/2026
Kaïs Ouerghi, MD; Tahar Lazizi, MD; Victor Mateus, MD
A 28-year-old man with no cardiovascular risk factors presented with an acute anterior ST-elevation myocardial infarction at H+6 after strenuous physical exertion. Emergent angiography revealed a 99% subocclusive stenosis of the mid-left...
A 28-year-old man with no cardiovascular risk factors presented with an acute anterior ST-elevation myocardial infarction at H+6 after strenuous physical exertion. Emergent angiography revealed a 99% subocclusive stenosis of the mid-left...
A 28-year-old man with no...
01/27/2026
Journal of Invasive Cardiology
Clinical Images
01/26/2026
Konstantinos Filippou, MD; Konstantinos Manousopoulos, MD; Panagiotis Varelas, MD; Dimitrios Karelas, MD; Ioannis Kouloulias, MD; Alexandros Zaraggas, MD; Ioannis Papadopoulos, MD; Ioannis Nenekidis, MD, PhD; Ioannis Tsiafoutis, MD, PhD
A 62-year-old man with a history of coronary artery bypass graft was referred because of worsening anginal symptoms despite being on optimal antianginal medical therapy. Physical examination, electrocardiogram, echocardiogram, and routine...
A 62-year-old man with a history of coronary artery bypass graft was referred because of worsening anginal symptoms despite being on optimal antianginal medical therapy. Physical examination, electrocardiogram, echocardiogram, and routine...
A 62-year-old man with a history...
01/26/2026
Journal of Invasive Cardiology
Clinical Images
01/26/2026
Mireia Martínez, MD; Paula Vela, MD; Juan Casanova-Sandoval, MD, PhD; Kristian Rivera, MD
A 42-year-old man was admitted with an inferior ST-segment elevation myocardial infarction. Emergency coronary angiography revealed a critical lesion of the middle right coronary artery, which was treated with a 3.5 x 18-mm...
A 42-year-old man was admitted with an inferior ST-segment elevation myocardial infarction. Emergency coronary angiography revealed a critical lesion of the middle right coronary artery, which was treated with a 3.5 x 18-mm...
A 42-year-old man was admitted...
01/26/2026
Journal of Invasive Cardiology
Clinical Images
01/09/2026
Miguel A. Martín-Arena, MD; Joaquín Vila-García, MD; Clara Ugueto-Rodrigo, MD; Cristina Contreras-Lorenzo, MD; Ricardo Martínez-González, MD; Carmen Labarta-Bello, MD; Guadalupe Buitrago Weiland, MD; Sandra Rosillo-Rodríguez, MD, PhD; Santiago Jiménez-Valero, MD; Raúl Moreno, MD, PhD
A 58-year-old man with a history of ascending aortic aneurysm repair underwent redo surgery because of severe aortic regurgitation. A mechanical valved conduit and a hemi-Cabrol graft from the left main coronary artery to the prosthetic...
A 58-year-old man with a history of ascending aortic aneurysm repair underwent redo surgery because of severe aortic regurgitation. A mechanical valved conduit and a hemi-Cabrol graft from the left main coronary artery to the prosthetic...
A 58-year-old man with a history...
01/09/2026
Journal of Invasive Cardiology
Clinical Images
01/06/2026
Guste Cesnaite, MD; Ugne Stulpinaite, MD; Sigitas Cesna, MD, PhD
The authors report the case of a 9-year-old boy with repaired tetralogy of Fallot who underwent complete surgical correction with a GORE-TEX Cardiovascular Patch (W. L. Gore & Associates, Inc.) at 5 months old.
The authors report the case of a 9-year-old boy with repaired tetralogy of Fallot who underwent complete surgical correction with a GORE-TEX Cardiovascular Patch (W. L. Gore & Associates, Inc.) at 5 months old.
The authors report the case of a...
01/06/2026
Journal of Invasive Cardiology
Clinical Images
01/06/2026
Şevval Ilke Ebeoğlu, MD; Abdullah Ömer Ebeoğlu, MD; İpek Aydın, MD; Ömer Doğan, MD; Okay Abacı, MD
The authors present a case of carotid blowout syndrome secondary to nasopharyngeal carcinoma successfully treated by an interventional cardiology team.
The authors present a case of carotid blowout syndrome secondary to nasopharyngeal carcinoma successfully treated by an interventional cardiology team.
The authors present a case of...
01/06/2026
Journal of Invasive Cardiology
Clinical Images
01/06/2026
Neha Chopra, MD, DM; Sourabh Agstam, MD, DM, MRCP; Devesh Kumar, MD, DM, MRCP; Surbhit Bhadauria, MD; Anwar Hussain Ansari, MD, DM
A 46-year-old man with inferior wall myocardial infarction with complete heart block underwent primary percutaneous coronary intervention to the right coronary artery with temporary pacing. Twelve hours later, he developed sudden-onset...
A 46-year-old man with inferior wall myocardial infarction with complete heart block underwent primary percutaneous coronary intervention to the right coronary artery with temporary pacing. Twelve hours later, he developed sudden-onset...
A 46-year-old man with inferior...
01/06/2026
Journal of Invasive Cardiology
Clinical Images
01/06/2026
Leire Unzué, MD, PhD; Lorena Martín-Polo, PhD, MD; Ángel González-Pinto, MD, PhD
An 81-year-old woman was admitted for heart failure in the context of degenerative valvular disease; she had previously undergone mitral and aortic valve replacement with bioprostheses and tricuspid annuloplasty.
An 81-year-old woman was admitted for heart failure in the context of degenerative valvular disease; she had previously undergone mitral and aortic valve replacement with bioprostheses and tricuspid annuloplasty.
An 81-year-old woman was...
01/06/2026
Journal of Invasive Cardiology