Skip to main content

Transcatheter Aortic Valve Replacement (TAVR) Topic Center

Featured

Brief Communication
05/04/2026
Eileen Galvani, MD; Oludamilola Akinmolayemi, MD, MPH; Srivatsan Swaminathan, BS; Carlo Mannina, MD; Sahil Khera, MD, MPH; Lucy M. Safi, DO; Gilbert H.L. Tang, MD, MSc, MBA; Samin K. Sharma, MD; Annapoorna S. Kini, MD; Stamatios Lerakis, MD, PhD
The authors hypothesized that among patients with low-flow aortic stenosis (LFAS), outcomes differ based on sex and subtype of LFAS: classical, paradoxical, and high gradient.
The authors hypothesized that among patients with low-flow aortic stenosis (LFAS), outcomes differ based on sex and subtype of LFAS: classical, paradoxical, and high gradient.
The authors hypothesized that...
05/04/2026
Journal of Invasive Cardiology
SCAI CAIC logo
SCAI 2026
04/27/2026
Ibrahim Mortada, MD
Dr Ibrahim Mortada shares insights on his study, "Association of Tirzepatide Use with Clinical Outcomes After TAVR in Obese Patients: A Propensity-Matched Real-World Study," presented at the 2026 SCAI Scientific Sessions.
Dr Ibrahim Mortada shares insights on his study, "Association of Tirzepatide Use with Clinical Outcomes After TAVR in Obese Patients: A Propensity-Matched Real-World Study," presented at the 2026 SCAI Scientific Sessions.
Dr Ibrahim Mortada shares...
04/27/2026
Journal of Invasive Cardiology
David_Rizik_headshot
ACC 2026
04/10/2026
David Rizik, MD
Dr David Rizik shares his insights on the most impactful TAVR data presented at the 2026 American College of Cardiology (ACC) Conference.
Dr David Rizik shares his insights on the most impactful TAVR data presented at the 2026 American College of Cardiology (ACC) Conference.
Dr David Rizik shares his...
04/10/2026
Journal of Invasive Cardiology
Apurva Patel headshot
ACC 2026
03/31/2026
Apurva Patel, MD, FACC, FSCAI
Dr Apurva Patel discusses insights from the study, “Tailored Solutions for Structural Valve Degeneration: Valve-in-Valve-in-Valve TAVR With Coronary Leaflet Modification and Balloon Valve Fracture,” presented at the 2026 ACC Scientific...
Dr Apurva Patel discusses insights from the study, “Tailored Solutions for Structural Valve Degeneration: Valve-in-Valve-in-Valve TAVR With Coronary Leaflet Modification and Balloon Valve Fracture,” presented at the 2026 ACC Scientific...
Dr Apurva Patel discusses...
03/31/2026
Journal of Invasive Cardiology
Sabeeda_Kadavath_headshot
CRT 2026
03/27/2026
Laura Simson, MA
In her session at CRT 2026, Dr Sabeeda Kadavath discussed the role of TAVR in asymptomatic severe aortic stenosis, highlighting guideline recommendations, gaps in risk stratification, and emerging randomized trial data.
In her session at CRT 2026, Dr Sabeeda Kadavath discussed the role of TAVR in asymptomatic severe aortic stenosis, highlighting guideline recommendations, gaps in risk stratification, and emerging randomized trial data.
In her session at CRT 2026, Dr...
03/27/2026
Journal of Invasive Cardiology
Original Contribution
02/23/2026
Axel Gomez, MD; Madison E. Matthews; Aaron Grober, MD; Ryan Ferreira, BS; Kendrick A. Shunk, MD, PhD; Jeffrey Zimmet, MD, PhD; Elaine E. Tseng, MD; Marko T. Boskovski, MD
The authors describe the procedural characteristics and short- and mid-term outcomes of 6 high-risk patients who underwent concomitant transcatheter aortic valve replacement and percutaneous coronary intervention under planned cardiopulmonary...
The authors describe the procedural characteristics and short- and mid-term outcomes of 6 high-risk patients who underwent concomitant transcatheter aortic valve replacement and percutaneous coronary intervention under planned cardiopulmonary...
The authors describe the...
02/23/2026
Journal of Invasive Cardiology
Original Contribution
02/09/2026
Umair Bajwa, MD; Mohammad Chaudhry, MD; Danielle Retcho, MD; Sohira Idrees, BA; Lukasz Partyka, MD; Rajiv Tayal, MD; Arash Salemi, MD; Sergio Waxman, MD; Najam Wasty, MD
The objective of this study was to determine if the right coronary artery takeoff is in the same plane as the takeoff plane of the major aortic arch branches.
The objective of this study was to determine if the right coronary artery takeoff is in the same plane as the takeoff plane of the major aortic arch branches.
The objective of this study was...
02/09/2026
Journal of Invasive Cardiology
Original Contribution
01/08/2026
Ahmad Mustafa, MD; Denny Wang, BS ; Cole Dutton, BS; Arber Kodra, MD; Muhammad Abubakar Shakir, MD; Ythan Goldberg, MD; Mei Chau, MD; Shankar Thampi, MD; Priti Mehla, MD; Chapman Wei, MD; Shangyi Liu, MS; Michael Cinelli, MD; Bruce Rutkin, MD; Elana Koss, MD; Gregory Maniatis, MD; Alexander Iribarne, MD; Apurva Patel, MD; Sean Wilson, MD; Wally Omar, MD; Robert Kalimi, MD; Alan Hartman, MD; Jacob Scheinerman, MD; Chad Kliger, MD, MS
The authors evaluates early outcomes of facilitated transfemoral access compared to alternative access in patients with severe peripheral arterial disease.
The authors evaluates early outcomes of facilitated transfemoral access compared to alternative access in patients with severe peripheral arterial disease.
The authors evaluates early...
01/08/2026
Journal of Invasive Cardiology
JIC logo
TCT 2025
11/14/2025
Laura Simson, MA
International investigators unveiled pivotal data on emerging transcatheter aortic valve replacement systems and analytic innovations at TCT 2025.
International investigators unveiled pivotal data on emerging transcatheter aortic valve replacement systems and analytic innovations at TCT 2025.
International investigators...
11/14/2025
Journal of Invasive Cardiology
JIC logo
SCAI 2025
05/21/2025
Laura Simson, MA
In his 2025 SCAI session titled " Effect of Transcatheter Aortic Valve Replacement Program Rankings on Case Selection," Dr Ashwin Nathan discussed how the introduction of public ranking systems has effected the treatment of TAVR patients.
In his 2025 SCAI session titled " Effect of Transcatheter Aortic Valve Replacement Program Rankings on Case Selection," Dr Ashwin Nathan discussed how the introduction of public ranking systems has effected the treatment of TAVR patients.
In his 2025 SCAI session titled...
05/21/2025
Journal of Invasive Cardiology
J-C Top 10
Author Interview
03/05/2025
Josep Rodés-Cabau, MD, PhD; Deepak L. Bhatt, MD, MPH, FACC, FAHA, FESC, MSCAI
Dr Deepak L. Bhatt, editor-in-chief of the Journal of Invasive Cardiology, catches up with Dr Josep Rodés-Cabau about his Editor’s 2024 Top 10 article, “Sensor-Guided Transcatheter Aortic Valve Replacement”.
Dr Deepak L. Bhatt, editor-in-chief of the Journal of Invasive Cardiology, catches up with Dr Josep Rodés-Cabau about his Editor’s 2024 Top 10 article, “Sensor-Guided Transcatheter Aortic Valve Replacement”.
Dr Deepak L. Bhatt,...
03/05/2025
Journal of Invasive Cardiology

Videos

ARanum screenshot
ACC 2026
04/14/2026
Alison N. Ranum, MD
Dr Alison Ranum shares insights on her study, "Magnetic Resonance Imaging Versus Computed Tomography Angiography for Transcatheter Aortic Valve Replacement Planning: A Single-Center Experience," presented at the 2026 American College of...
Dr Alison Ranum shares insights on her study, "Magnetic Resonance Imaging Versus Computed Tomography Angiography for Transcatheter Aortic Valve Replacement Planning: A Single-Center Experience," presented at the 2026 American College of...
Dr Alison Ranum shares insights...
04/14/2026
Journal of Invasive Cardiology
Adam Greenbaum_screenshot
ACC 2026
04/14/2026
Adam B. Greenbaum, MD
Dr Adam Greenbaum shares insights on his late-breaking trial presented at the 2026 American College of Cardiology (ACC) Conference.
Dr Adam Greenbaum shares insights on his late-breaking trial presented at the 2026 American College of Cardiology (ACC) Conference.
Dr Adam Greenbaum shares...
04/14/2026
Journal of Invasive Cardiology
Chimney stenting during transcatheter valve-in-valve aortic valve implantation
Clinical Videos
04/07/2026
Paula Vela Martín, MD; Kristian Rivera, MD; Laura Esteban Lucía, MD; Juan Francisco Oteo Domínguez, MD
Video Supplement to "Catastrophic Right Coronary Artery Dissection After Surgical Removal of Coronary Chimney Stents Following Valve-in-Valve Transcatheter Aortic Valve Implantation" (Clinical Image).
Video Supplement to "Catastrophic Right Coronary Artery Dissection After Surgical Removal of Coronary Chimney Stents Following Valve-in-Valve Transcatheter Aortic Valve Implantation" (Clinical Image).
Video Supplement to...
04/07/2026
Journal of Invasive Cardiology
Lerakis Figure. Transesophageal echocardiography of flail left coronary cusp
Clinical Videos
03/06/2026
Leila Alizadeh, MD; Maria Eleni Drosou, MD; Takayuki Onishi, MD; Roya Anahita Mousavi, MD; Amit Hooda, MD; Sahil Khera, MD, MPH; Lucy M. Safi, DO; George D. Dangas, MD, PhD; Gilbert H.L. Tang, MD, MSc, MBA; Samin K. Sharma, MD; Annapoorna S. Kini, MD; Stamatios Lerakis, MD, PhD
Video Supplement to "Late Degeneration of a Transcatheter Aortic Valve Replacement Presenting With Flail Leaflet" (Clinical Image).
Video Supplement to "Late Degeneration of a Transcatheter Aortic Valve Replacement Presenting With Flail Leaflet" (Clinical Image).
Video Supplement to "Late...
03/06/2026
Journal of Invasive Cardiology
Stathogiannis Figure
Clinical Videos
12/29/2025
Konstantinos Stathogiannis, MD, FACC; Michael Chrissoheris, MD; Kyriakos Katsianos, MD; Vivi Grammata, MD; Alexis Dimas, MD; Konstantinos Spargias, MD
Video Supplement to "BASILICA With Adjunctive Coronary Protection Enabling Valve-in-Valve Transcatheter Aortic Valve Implantation" (Clinical Image).
Video Supplement to "BASILICA With Adjunctive Coronary Protection Enabling Valve-in-Valve Transcatheter Aortic Valve Implantation" (Clinical Image).
Video Supplement to "BASILICA...
12/29/2025
Journal of Invasive Cardiology
Nathan image
SCAI 2025
05/14/2025
Ashwin S. Nathan, MD
In this video from the 2025 SCAI Scientific Sessions, JIC speaks with Dr Ashwin Nathan about the effect of public ratings of TAVR programs on hospital case selection.
In this video from the 2025 SCAI Scientific Sessions, JIC speaks with Dr Ashwin Nathan about the effect of public ratings of TAVR programs on hospital case selection.
In this video from the 2025 SCAI...
05/14/2025
Journal of Invasive Cardiology
J-C Top 10
Author Interview
03/05/2025
Josep Rodés-Cabau, MD, PhD; Deepak L. Bhatt, MD, MPH, FACC, FAHA, FESC, MSCAI
Dr Deepak L. Bhatt, editor-in-chief of the Journal of Invasive Cardiology, catches up with Dr Josep Rodés-Cabau about his Editor’s 2024 Top 10 article, “Sensor-Guided Transcatheter Aortic Valve Replacement”.
Dr Deepak L. Bhatt, editor-in-chief of the Journal of Invasive Cardiology, catches up with Dr Josep Rodés-Cabau about his Editor’s 2024 Top 10 article, “Sensor-Guided Transcatheter Aortic Valve Replacement”.
Dr Deepak L. Bhatt,...
03/05/2025
Journal of Invasive Cardiology
Aparna image
Author Interview
03/03/2025
Aparna Kuchibhatla
Aparna Kuchibhatla shares background and insights on her article, "Transcatheter or Surgical Aortic Valve Replacement in Pregnant Women? A Comprehensive Review of the Current Literature".
Aparna Kuchibhatla shares background and insights on her article, "Transcatheter or Surgical Aortic Valve Replacement in Pregnant Women? A Comprehensive Review of the Current Literature".
Aparna Kuchibhatla shares...
03/03/2025
Journal of Invasive Cardiology
Nagy image
Author Interview
03/03/2025
Christian D. Nagy, MD
Dr Christian D. Nagy shares background and insights on his article, "Comparison of Two Vascular Closure Device Strategies for Transfemoral Transcatheter Aortic Valve Replacement Using Suture-Based and Collagen-Plug-Based Techniques and...
Dr Christian D. Nagy shares background and insights on his article, "Comparison of Two Vascular Closure Device Strategies for Transfemoral Transcatheter Aortic Valve Replacement Using Suture-Based and Collagen-Plug-Based Techniques and...
Dr Christian D. Nagy shares...
03/03/2025
Journal of Invasive Cardiology
Singh image
Clinical Videos
01/16/2025
Brig Navreet Singh, DM; Guilherme F. Attizzani, MD
Video Supplement to "Modified Transcatheter Aortic Valve Replacement: The Pros and Cons of Removing the Guidewire Immediately After Valve Deployment" (Brief Communication).
Video Supplement to "Modified Transcatheter Aortic Valve Replacement: The Pros and Cons of Removing the Guidewire Immediately After Valve Deployment" (Brief Communication).
Video Supplement to "Modified...
01/16/2025
Journal of Invasive Cardiology
complete occlusion of the left iliac limb
Clinical Videos
05/04/2026
Ping Hu, MD; Xin-yu Wang, MD; Ming Qi, MD; Jie Wang, MD; Xiao-Jing Ma, PhD
Video Supplement to "Late Endovascular Aneurysm Repair Limb Occlusion Presenting as Claudication: Lifelong Surveillance Essential" (Clinical Image).
Video Supplement to "Late Endovascular Aneurysm Repair Limb Occlusion Presenting as Claudication: Lifelong Surveillance Essential" (Clinical Image).
Video Supplement to "Late...
05/04/2026
Journal of Invasive Cardiology
Agstam_Figure 2.anterior-posterior_chest_radiograph
Clinical Videos
04/30/2026
Swaminathan Krishnaswamy, MBBS, MD; Shivam Goel, MBBS, MD, DM; Shashwat Joshi, MBBS; Ankur Handa, MBBS, MD, DM; Sivasubramanian Ramakrishnan, MBBS, MD, DM; Sourabh Agstam, MBBS, MD, DM
Video Supplement to "Caught in the Web: Alteplase-Assisted Rescue of an Entrapped Pericardial Pigtail" (Clinical Image).
Video Supplement to "Caught in the Web: Alteplase-Assisted Rescue of an Entrapped Pericardial Pigtail" (Clinical Image).
Video Supplement to "Caught in...
04/30/2026
Journal of Invasive Cardiology
Figure 1.segment_occlusion
Clinical Videos
04/21/2026
Tarek Abdeldayem, MD; Mustafa Tigen, MD; Omer Gogtekin, MD; Mohaned Egred, BSc (Hons), MB, ChB, MD, FRCP, FESC
Video Supplement to "Controlled Antegrade and Retrograde Tracking (CART) Technique Via Epicardial Collaterals: Feasible and Safe" (Clinical Image).
Video Supplement to "Controlled Antegrade and Retrograde Tracking (CART) Technique Via Epicardial Collaterals: Feasible and Safe" (Clinical Image).
Video Supplement to "Controlled...
04/21/2026
Journal of Invasive Cardiology
Figure 1. Active phase of vasculitis
Clinical Videos
04/17/2026
Nicolás del Cuerpo Salinas, MD; Eduardo Arroyo Úcar, MD, PhD; Ignacio Alfaro Paniagua, MD; Marta Monteagudo Viana, MD, PhD; María Araceli Frutos García, MD
Video Supplement to "Optical Coherence Tomography Features in Coronary Vasculitis: A Takayasu’s Disease Manifestation" (Clinical Image).
Video Supplement to "Optical Coherence Tomography Features in Coronary Vasculitis: A Takayasu’s Disease Manifestation" (Clinical Image).
Video Supplement to "Optical...
04/17/2026
Journal of Invasive Cardiology
modified_TILT_ping_ping_guides
Clinical Videos
04/17/2026
Video Supplement to "Modified Tunnel-in-Landslide Technique (TILT) Using Ping-Pong Guides" (Clinical Image).
Video Supplement to "Modified Tunnel-in-Landslide Technique (TILT) Using Ping-Pong Guides" (Clinical Image).
Video Supplement to "Modified...
04/17/2026
Journal of Invasive Cardiology
fluoroscopy_pigtail_heart_hypolucent_shadow
Clinical Videos
04/17/2026
Samman Verma, MD, DM; Devesh Kumar, MD, MRCP, DM; Shreya Gupta, MD; Sanchit Sood, MBBS; Anil Kumar Choudhary, MD, DM
Video Supplement to "A 'Crunching' Heart: Pneumopericardium Following Pericardiocentesis" (Clinical Image).
Video Supplement to "A 'Crunching' Heart: Pneumopericardium Following Pericardiocentesis" (Clinical Image).
Video Supplement to "A...
04/17/2026
Journal of Invasive Cardiology
coronary angriography_CTO_RCA
Clinical Videos
04/16/2026
Arber Kodra, MD; Danyal Khan, MD; Michael Kim, MD; Tak Kwan, MD
Video Supplement to "Potential Alternative Mechanism of HydroDynamic Contrast Recanalization in Complete Total Occlusion Seen on DeepOCT+NIRS Imaging" (Clinical Image).
Video Supplement to "Potential Alternative Mechanism of HydroDynamic Contrast Recanalization in Complete Total Occlusion Seen on DeepOCT+NIRS Imaging" (Clinical Image).
Video Supplement to "Potential...
04/16/2026
Journal of Invasive Cardiology
3D transesophageal echocardiography
Clinical Videos
04/15/2026
Shashwat Joshi, MBBS; Shivam Goel, MD, DM; Saurabh Kumar Gupta, MD, DM; Sivasubramanian Ramakrishnan, MD, DM; Sourabh Agstam, MD, DM
Video Supplement to "Very Late Mechanical Mitral Valve Prosthesis Dehiscence" (Clinical Image).
Video Supplement to "Very Late Mechanical Mitral Valve Prosthesis Dehiscence" (Clinical Image).
Video Supplement to "Very Late...
04/15/2026
Journal of Invasive Cardiology
TEE_demonstrating_mitral_PVL
Clinical Videos
04/15/2026
Matthew Atienza, MD; Ahmad Alkhalil, MD; Neda Dianati Maleki, MD; Jonathan Price, MD; Daniel Montellese, MD; Puja Parikh, MD
Video Supplement to "Closure of Symptomatic Mitral Paravalvular Leak Following Recent Transcatheter Mitral Valve-in-Ring" (Clinical Image).
Video Supplement to "Closure of Symptomatic Mitral Paravalvular Leak Following Recent Transcatheter Mitral Valve-in-Ring" (Clinical Image).
Video Supplement to "Closure of...
04/15/2026
Journal of Invasive Cardiology
ARanum screenshot
ACC 2026
04/14/2026
Alison N. Ranum, MD
Dr Alison Ranum shares insights on her study, "Magnetic Resonance Imaging Versus Computed Tomography Angiography for Transcatheter Aortic Valve Replacement Planning: A Single-Center Experience," presented at the 2026 American College of...
Dr Alison Ranum shares insights on her study, "Magnetic Resonance Imaging Versus Computed Tomography Angiography for Transcatheter Aortic Valve Replacement Planning: A Single-Center Experience," presented at the 2026 American College of...
Dr Alison Ranum shares insights...
04/14/2026
Journal of Invasive Cardiology

Clinical Images

Clinical Images
04/07/2026
Paula Vela Martín, MD; Kristian Rivera, MD; Laura Esteban Lucía, MD; Juan Francisco Oteo Domínguez, MD
A 64-year-old woman with surgical aortic valve replacement using a Mitroflow bioprosthesis (LivaNova) 9 years prior presented with prosthetic valve dysfunction. Because of elevated surgical risk, she underwent valve-in-valve transcatheter...
A 64-year-old woman with surgical aortic valve replacement using a Mitroflow bioprosthesis (LivaNova) 9 years prior presented with prosthetic valve dysfunction. Because of elevated surgical risk, she underwent valve-in-valve transcatheter...
A 64-year-old woman with...
04/07/2026
Journal of Invasive Cardiology
Clinical Images
03/06/2026
Leila Alizadeh, MD; Maria Eleni Drosou, MD; Takayuki Onishi, MD; Roya Anahita Mousavi, MD; Amit Hooda, MD; Sahil Khera, MD, MPH; Lucy M. Safi, DO; George D. Dangas, MD, PhD; Gilbert H.L. Tang, MD, MSc, MBA; Samin K. Sharma, MD; Annapoorna S. Kini, MD; Stamatios Lerakis, MD, PhD
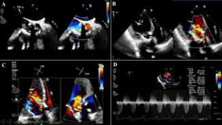
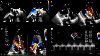
An 80-year-old man presented with dyspnea. Nine years earlier, he had undergone transcatheter aortic valve replacement with a 29-mm Evolut R self-expanding valve (Medtronic) following aborted surgical aortic valve replacement due to extensive...
An 80-year-old man presented with dyspnea. Nine years earlier, he had undergone transcatheter aortic valve replacement with a 29-mm Evolut R self-expanding valve (Medtronic) following aborted surgical aortic valve replacement due to extensive...
An 80-year-old man presented...
03/06/2026
Journal of Invasive Cardiology
Clinical Images
12/29/2025
Konstantinos Stathogiannis, MD, FACC; Michael Chrissoheris, MD; Kyriakos Katsianos, MD; Vivi Grammata, MD; Alexis Dimas, MD; Konstantinos Spargias, MD
An 81-year-old woman with prior surgical aortic valve replacement presented with progressive dyspnea . Echocardiography showed severe bioprosthetic aortic stenosis with mild paravalvular leak and preserved ejection fraction.
An 81-year-old woman with prior surgical aortic valve replacement presented with progressive dyspnea . Echocardiography showed severe bioprosthetic aortic stenosis with mild paravalvular leak and preserved ejection fraction.
An 81-year-old woman with prior...
12/29/2025
Journal of Invasive Cardiology
Clinical Images
09/03/2025
Dawei Lin, MD, PhD; Lei Zhang, MD; Wei Li, MD; Wenzhi Pan, MD, PhD; Daxin Zhou, MD, PhD
A 67-year-old woman with a 6-month history of chest discomfort was admitted to our center. Transthoracic echocardiogram revealed severe aortic stenosis , and the patient was subsequently accepted for transcatheter aortic valve implantation.
A 67-year-old woman with a 6-month history of chest discomfort was admitted to our center. Transthoracic echocardiogram revealed severe aortic stenosis , and the patient was subsequently accepted for transcatheter aortic valve implantation.
A 67-year-old woman with a...
09/03/2025
Journal of Invasive Cardiology
Clinical Images
10/08/2024
Hussein Sliman, MD; Amnon Eitan, MD; Ofer Galili, MD; Keren Zissman, MD; Ronen Jaffe, MD
The authors describe 2 patients with arterial stenosis that was resistant to balloon dilation who were treated with rotational atherectomy.
The authors describe 2 patients with arterial stenosis that was resistant to balloon dilation who were treated with rotational atherectomy.
The authors describe 2 patients...
10/08/2024
Journal of Invasive Cardiology
Clinical Images
08/07/2024
Richard Tanner, MD; Francesca R. Prandi, MD; Gilbert H.L. Tang, MD, MSc, MBA; Ismail El-Hamamsy, MD, PhD; Barry A. Love, MD; Lucy M. Safi, DO; Samin K. Sharma, MD; Stamatios Lerakis, MD, PhD; Annapoorna S. Kini, MD
A 39-year-old man with Shone complex presented with acute decompensated heart failure. He had undergone 4 previous sternotomies and a 23-mm Sapien XT transcatheter aortic valve replacement for severe bioprosthetic aortic regurgitation in 2014.
A 39-year-old man with Shone complex presented with acute decompensated heart failure. He had undergone 4 previous sternotomies and a 23-mm Sapien XT transcatheter aortic valve replacement for severe bioprosthetic aortic regurgitation in 2014.
A 39-year-old man with Shone...
08/07/2024
Journal of Invasive Cardiology
Clinical Images
06/12/2024

Rawan Mahmoud, MD1; Mohammad Alkhalil, MD1,2

Rawan Mahmoud, MD1; Mohammad Alkhalil...
The authors describe the use of parallel wires to aid the implantation of a transcatheter heart valve in a patient who lacked significant aortic valve calcification.
The authors describe the use of parallel wires to aid the implantation of a transcatheter heart valve in a patient who lacked significant aortic valve calcification.
The authors describe the use of...
06/12/2024
Journal of Invasive Cardiology
Clinical Images
06/03/2024

Dawei Lin, MD1,2; Shasha Chen, MD1,2; Daxin Zhou, MD1,2; Wenzhi Pan, MD1,2; Junbo Ge, MD1,2

Dawei Lin, MD1,2; Shasha Chen, MD1,2;...
A 76-year-old man diagnosed with severe pure native aortic regurgitation underwent transcatheter aortic valve replacement due to high surgical risk. The computed tomography angiography showed no calcification and no stenosis of the aortic...
A 76-year-old man diagnosed with severe pure native aortic regurgitation underwent transcatheter aortic valve replacement due to high surgical risk. The computed tomography angiography showed no calcification and no stenosis of the aortic...
A 76-year-old man diagnosed with...
06/03/2024
Journal of Invasive Cardiology
Clinical Images
05/23/2024

Oludamilola Akinmolayemi, MD, MPH1; Charlotte McCreery, BS2; Francesca Romana Prandi, MD1; Rajeev Samtani, MD1; Adrija Mehta, MBBS3; Umer Suleman, MD1; Arjun B. Kapoor MD1; Jehanzeb Kayani, MD, MPH1; Umesh K. Gidwani, MD4; Stamatios Lerakis, MD, PhD1; George D. Dangas, MD, PhD1

Oludamilola Akinmolayemi, MD, MPH1; C...
An 83-year-old woman with symptomatic severe aortic stenosis was referred for transcatheter aortic valve replacement. Diagnostic left heart catheterization documented diffuse 3-vessel coronary artery disease.
An 83-year-old woman with symptomatic severe aortic stenosis was referred for transcatheter aortic valve replacement. Diagnostic left heart catheterization documented diffuse 3-vessel coronary artery disease.
An 83-year-old woman with...
05/23/2024
Journal of Invasive Cardiology
Clinical Images
05/21/2024

Samuel D. Maidman, MD1; Francesca R. Prandi, MD1; Parasuram Krishnamoorthy, MD1; Richard Tanner, MD1; Lucy Safi, DO1; Ranbir Singh, MD1; Paul Stelzer, MD2; Gilbert H.L. Tang, MD, MSc, MBA2; Samin K. Sharma, MD1; Annapoorna S. Kini, MD1; Stamatios Lerakis, MD, PhD1

Samuel D. Maidman, MD1; Francesca R. ...
A 93-year-old woman with symptomatic severe aortic stenosis and normal biventricular function was referred for transcatheter aortic valve replacement evaluation. Cardiac computed tomography revealed safe coronary heights and multiple large...
A 93-year-old woman with symptomatic severe aortic stenosis and normal biventricular function was referred for transcatheter aortic valve replacement evaluation. Cardiac computed tomography revealed safe coronary heights and multiple large...
A 93-year-old woman with...
05/21/2024
Journal of Invasive Cardiology
Clinical Images
05/04/2026
Ping Hu, MD; Xin-yu Wang, MD; Ming Qi, MD; Jie Wang, MD; Xiao-Jing Ma, PhD
A 55-year-old man presented with medically controlled essential hypertension and a history of abdominal aortic aneurysm stenting 2 years prior who presented with a 3-month history of left lower extremity fatigue on exertion.
A 55-year-old man presented with medically controlled essential hypertension and a history of abdominal aortic aneurysm stenting 2 years prior who presented with a 3-month history of left lower extremity fatigue on exertion.
A 55-year-old man presented with...
05/04/2026
Journal of Invasive Cardiology
Clinical Images
04/30/2026
Swaminathan Krishnaswamy, MBBS, MD; Shivam Goel, MBBS, MD, DM; Shashwat Joshi, MBBS; Ankur Handa, MBBS, MD, DM; Sivasubramanian Ramakrishnan, MBBS, MD, DM; Sourabh Agstam, MBBS, MD, DM
A 12-year-old boy with a case of disseminated tuberculosis who was on guideline-directed oral antitubercular therapy presented to the outpatient clinic with worsening exertional dyspnea for the past 2 months.
A 12-year-old boy with a case of disseminated tuberculosis who was on guideline-directed oral antitubercular therapy presented to the outpatient clinic with worsening exertional dyspnea for the past 2 months.
A 12-year-old boy with a case of...
04/30/2026
Journal of Invasive Cardiology
Clinical Images
04/21/2026
Tarek Abdeldayem, MD; Mustafa Tigen, MD; Omer Gogtekin, MD; Mohaned Egred, BSc (Hons), MB, ChB, MD, FRCP, FESC
A 59-year-old man with exertional angina and coronary angiography showing chronic total occlusion of the right coronary artery with collateral filling from the left anterior descending artery. Dual injection revealed an ambiguous proximal...
A 59-year-old man with exertional angina and coronary angiography showing chronic total occlusion of the right coronary artery with collateral filling from the left anterior descending artery. Dual injection revealed an ambiguous proximal...
A 59-year-old man with...
04/21/2026
Journal of Invasive Cardiology
Clinical Images
04/17/2026
Nicolás del Cuerpo Salinas, MD; Eduardo Arroyo Úcar, MD, PhD; Ignacio Alfaro Paniagua, MD; Marta Monteagudo Viana, MD, PhD; María Araceli Frutos García, MD
A 53-year-old man with a history of Takayasu arteritis, Crohn’s disease, and HLA-B27-negative spondyloarthritis presented with unstable angina, prompting coronary angiography. Angiography revealed a long, angiographically intermediate lesion...
A 53-year-old man with a history of Takayasu arteritis, Crohn’s disease, and HLA-B27-negative spondyloarthritis presented with unstable angina, prompting coronary angiography. Angiography revealed a long, angiographically intermediate lesion...
A 53-year-old man with a history...
04/17/2026
Journal of Invasive Cardiology
Clinical Images
04/17/2026
Neeraj Shah, MD, MPH
A 65-year-old man presented with unstable angina and calcified right coronary artery stenosis on diagnostic catheterization via radial approach. Percutaneous coronary intervention was performed via 7F femoral access using a Judkin’s Right 4...
A 65-year-old man presented with unstable angina and calcified right coronary artery stenosis on diagnostic catheterization via radial approach. Percutaneous coronary intervention was performed via 7F femoral access using a Judkin’s Right 4...
A 65-year-old man presented with...
04/17/2026
Journal of Invasive Cardiology
Clinical Images
04/17/2026
Samman Verma, MD, DM; Devesh Kumar, MD, MRCP, DM; Shreya Gupta, MD; Sanchit Sood, MBBS; Anil Kumar Choudhary, MD, DM
A 70-year-old woman suffering from adenocarcinoma lung presented with acute onset breathlessness. On examination, she was hypotensive with raised jugular venous pressure and muffled heart sounds.
A 70-year-old woman suffering from adenocarcinoma lung presented with acute onset breathlessness. On examination, she was hypotensive with raised jugular venous pressure and muffled heart sounds.
A 70-year-old woman suffering...
04/17/2026
Journal of Invasive Cardiology
Clinical Images
04/16/2026
Arber Kodra, MD; Danyal Khan, MD; Michael Kim, MD; Tak Kwan, MD
A 69-year-old man was referred for percutaneous coronary intervention of a right coronary artery in-stent complete total occlusion, which had collateral supply from the left anterior descending artery.
A 69-year-old man was referred for percutaneous coronary intervention of a right coronary artery in-stent complete total occlusion, which had collateral supply from the left anterior descending artery.
A 69-year-old man was referred...
04/16/2026
Journal of Invasive Cardiology
Clinical Images
04/15/2026
Shashwat Joshi, MBBS; Shivam Goel, MD, DM; Saurabh Kumar Gupta, MD, DM; Sivasubramanian Ramakrishnan, MD, DM; Sourabh Agstam, MD, DM
A 54-year-old man with a history of hypertension and mechanical mitral valve replacement (MVR) presented with shortness of breath and bilateral pedal edema for the prior 2 months. He had undergone surgical MVR for symptomatic severe rheumatic...
A 54-year-old man with a history of hypertension and mechanical mitral valve replacement (MVR) presented with shortness of breath and bilateral pedal edema for the prior 2 months. He had undergone surgical MVR for symptomatic severe rheumatic...
A 54-year-old man with a history...
04/15/2026
Journal of Invasive Cardiology
Clinical Images
04/15/2026
Matthew Atienza, MD; Ahmad Alkhalil, MD; Neda Dianati Maleki, MD; Jonathan Price, MD; Daniel Montellese, MD; Puja Parikh, MD
An 86-year-old man who had undergone recent transcatheter mitral valve-in-ring at an outside hospital presented with multiple hospitalizations for symptomatic hemolytic anemia requiring blood transfusions. Transesophageal echocardiogram...
An 86-year-old man who had undergone recent transcatheter mitral valve-in-ring at an outside hospital presented with multiple hospitalizations for symptomatic hemolytic anemia requiring blood transfusions. Transesophageal echocardiogram...
An 86-year-old man who had...
04/15/2026
Journal of Invasive Cardiology
Clinical Images
04/13/2026
Antonios Lysandrou, MD; Konstantinos Kalogeras, MD, PhD; Maria Ioanna Gounaridi, MD, PhD; George E. Zakynthinos, MD; Ioannis Gialamas, MD; Nikolaos Vythoulkas-Biotis, MD; Efstratios Katsianos, MD; Chrysovalantis Psathas, MD; Gerasimos Siasos, MD, PhD; Emmanouil Vavouranakis, MD, PhD
A 70-year-old man presented with persistent exertional angina. He had undergone coronary artery bypass grafting 14 years ago, with a left internal mammary artery graft to the left anterior descending artery and a saphenous vein Y-graft to the...
A 70-year-old man presented with persistent exertional angina. He had undergone coronary artery bypass grafting 14 years ago, with a left internal mammary artery graft to the left anterior descending artery and a saphenous vein Y-graft to the...
A 70-year-old man presented with...
04/13/2026
Journal of Invasive Cardiology

News

SCAI CAIC logo
SCAI 2026
04/27/2026
Search patterns reveal differences in awareness across rural and low-volume treatment areas.
Search patterns reveal differences in awareness across rural and low-volume treatment areas.
Search patterns reveal...
04/27/2026
Journal of Invasive Cardiology
ACC 2026
03/30/2026
The study utilized Tempus Next, an AI platform that identifies significant AS or MR patients who may meet guideline-indicated therapy criteria, but do not have a treatment plan in place.
The study utilized Tempus Next, an AI platform that identifies significant AS or MR patients who may meet guideline-indicated therapy criteria, but do not have a treatment plan in place.
The study utilized Tempus Next,...
03/30/2026
Cath Lab Digest
Device Longevity
05/05/2026
The COMMENCE trial provides prospective, 10-year data demonstrating the durability of Edwards’ RESILIA tissue and its role in lifetime management for patients with aortic stenosis.
The COMMENCE trial provides prospective, 10-year data demonstrating the durability of Edwards’ RESILIA tissue and its role in lifetime management for patients with aortic stenosis.
The COMMENCE trial provides...
05/05/2026
Cath Lab Digest
Stroke
05/05/2026
By integrating the world’s smallest electrical impedance sensor with predictive algorithms into a standard 0.014” guidewire, the Clotild clot-sensing guidewire is designed to provide physicians with real-time, in situ biological intelligence...
By integrating the world’s smallest electrical impedance sensor with predictive algorithms into a standard 0.014” guidewire, the Clotild clot-sensing guidewire is designed to provide physicians with real-time, in situ biological intelligence...
By integrating the world’s...
05/05/2026
Cath Lab Digest
Non-Obstructive HCM
05/05/2026
SOUTH SAN FRANCISCO, Calif. -- Cytokinetics, Incorporated announced positive topline results from ACACIA-HCM (Assessment Comparing Aficamten to Placebo on Cardiac Endpoints In Adults with Non-Obstructive HCM), the pivotal Phase 3...
SOUTH SAN FRANCISCO, Calif. -- Cytokinetics, Incorporated announced positive topline results from ACACIA-HCM (Assessment Comparing Aficamten to Placebo on Cardiac Endpoints In Adults with Non-Obstructive HCM), the pivotal Phase 3...
SOUTH SAN FRANCISCO, Calif. --...
05/05/2026
Cath Lab Digest
Mechanical Circulatory Support
05/05/2026
Chicago, IL – Johnson & Johnson announced results from a novel U.S. pilot single-arm trial that evaluated the safety and feasibility of planned Impella 5.5™ support in adult patients undergoing cardiac surgery in the setting of...
Chicago, IL – Johnson & Johnson announced results from a novel U.S. pilot single-arm trial that evaluated the safety and feasibility of planned Impella 5.5™ support in adult patients undergoing cardiac surgery in the setting of...
Chicago, IL – Johnson &...
05/05/2026
Cath Lab Digest
Drug-Eluting Balloons
04/30/2026
The SELUTION SFA Japan clinical trial results demonstrate durable clinical outcomes in a complex patient population, including 81.5% primary patency and 93.8% of patients remaining free from reintervention through three years.(2)
The SELUTION SFA Japan clinical trial results demonstrate durable clinical outcomes in a complex patient population, including 81.5% primary patency and 93.8% of patients remaining free from reintervention through three years.(2)
The SELUTION SFA Japan clinical...
04/30/2026
Cath Lab Digest
J. Dawn Abbott, MD, MSCAI
society news
04/30/2026
Dr. Abbott is a nationally recognized leader in interventional cardiology, serving as Professor of Medicine and Director of Interventional Cardiology and the Cardiac Catheterization Laboratories at Brown University Health Cardiovascular...
Dr. Abbott is a nationally recognized leader in interventional cardiology, serving as Professor of Medicine and Director of Interventional Cardiology and the Cardiac Catheterization Laboratories at Brown University Health Cardiovascular...
Dr. Abbott is a nationally...
04/30/2026
Cath Lab Digest
Below-Ankle Intervention
04/29/2026
Serration Remodeling Therapy (SRT) is a novel approach to optimizing luminal gain by gently remodeling the internal elastic lamina through creating a line of weakness to reduce recoil and support durable outcomes.
Serration Remodeling Therapy (SRT) is a novel approach to optimizing luminal gain by gently remodeling the internal elastic lamina through creating a line of weakness to reduce recoil and support durable outcomes.
Serration Remodeling Therapy...
04/29/2026
Vascular Disease Management
Optical Coherence Tomography
04/28/2026
Ultreon 3.0 is the first advanced optical coherence tomography (OCT) system in the U.S. and Europe that integrates high resolution coronary plaque images and AI-automated insights through the artery   The integrated imaging...
Ultreon 3.0 is the first advanced optical coherence tomography (OCT) system in the U.S. and Europe that integrates high resolution coronary plaque images and AI-automated insights through the artery   The integrated imaging...
Ultreon 3.0 is the first...
04/28/2026
Cath Lab Digest
SCAI CAIC logo
SCAI 2026
04/27/2026
Studies link treatment to fewer deaths and cardiovascular events after widely used cardiac procedures.
Studies link treatment to fewer deaths and cardiovascular events after widely used cardiac procedures.
Studies link treatment to fewer...
04/27/2026
Journal of Invasive Cardiology
SCAI CAIC logo
SCAI 2026
04/27/2026
Search patterns reveal differences in awareness across rural and low-volume treatment areas.
Search patterns reveal differences in awareness across rural and low-volume treatment areas.
Search patterns reveal...
04/27/2026
Journal of Invasive Cardiology