Ten Tips and Tricks for Successful Distal True Lumen Wiring From 3-Dimensional Wiring Experts
© 2024 HMP Global. All Rights Reserved.
Any views and opinions expressed are those of the author(s) and/or participants and do not necessarily reflect the views, policy, or position of the Journal of Invasive Cardiology or HMP Global, their employees, and affiliates.
Abstract
Antegrade wiring is the dominant method used in chronic total occlusion (CTO) percutaneous coronary intervention (PCI). However, distal cap puncture for distal true lumen wiring remains a significant barrier toward success. Three-dimensional (3D) fluoroscopic wiring can improve the speed, safety, and success of distal cap wiring. In this article, we provide 10 tips for every CTO interventionist to use when performing 3D wiring in distal true lumen wiring.
Introduction
Antegrade wiring (AW) is a pillar of chronic total occlusion (CTO) percutaneous coronary intervention (PCI) and is recommended in all CTO algorithms.1-7 Recently, the use of antegrade dissection re-entry (ADR) with Stingray devices has been decreasing. At the same time, the use of AW8,9 has increased and is now used in approximately 70% of CTO cases.10,11 For less experienced CTO operators who are not participating in expert CTO-PCI registries, AW may account for more than 95% of their CTO cases. Therefore, AW accounts for the majority of CTO PCIs performed globally.
There are 3 parts to AW: (1) proximal cap puncture, (2) CTO body crossing, and (3) distal cap puncture into the distal true lumen. Proximal cap puncture is simple unless complicated by ambiguity or a tough cap, which occurs in 35% of cases.12 The methodology to overcome proximal cap ambiguity and tough proximal cap has been addressed in the CTO algorithms.2-4,7 CTO body crossing can be achieved with wiring and, if necessary, knuckle wiring. However, distal cap puncture remains an unaddressed area in CTO PCI. Although 3D fluoroscopic wiring can be used in distal cap puncture13 and has been shown to be faster, safer, and more successful in retrospective registry data,14 the adoption of 3D wiring has been very limited due to the difficulty in understanding the methodology and forming a 3D mental image. Based on our experience in 3D wiring, we have put together 10 tips and tricks that can be more widely used by all CTO operators to improve their success when performing distal true lumen wiring.
The 10 Steps to Successful Distal True Lumen Wiring
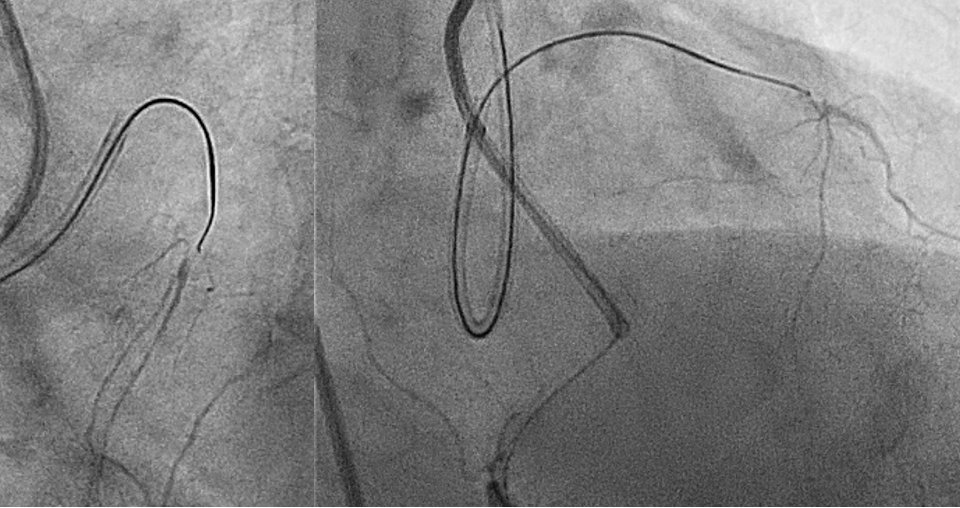
- Stop when the antegrade wire reaches 10 mm proximal to distal cap. Wires require longitudinal distance to change direction and wires perform better when wiring through virgin territory. Therefore, operators should stop 10 mm before they reach the distal cap to allow adequate longitudinal distance for the wire to be directed in virgin territory towards the distal cap (Figure 1).
- Advance the microcatheter toward the wire tip and consider increasing the penetration force. Back-up force and penetration power are both essential for wire control and, therefore, advancing the microcatheter (using a small balloon to break the proximal cap if the microcatheter cannot be advanced) and increasing penetration force is essential for wire control. We would recommend the penetration force of a Gaia Next 3 or 4 or a Conquest 12g wire (Asahi Intecc). The wire should be shaped with a Gaia Next-like tip bend of 45° at 1 mm, and a further 15° bend at 7 mm. A high penetration force wire is safe if the wire tip is already 10 mm from the distal cap, as there will be no ambiguity in vessel course.
- Recognize the tough distal cap anatomy. Four patterns of distal cap predict a “tough” cap anatomy: (1) a tapering cap, (2) a calcified cap, (3) a blunt round cap, and (4) a cap with a large side branch (Figure 2).15 We should step up to at least a Conquest 12g wire when we see a tough distal cap (or a higher penetration force wire such as a Hornet 14 [Boston Scientific], a Conquest 8/20, or a Conquest CPST).
- Put a torque device on the wire. A torque device allows for small degree angle rotation of the wire, which is needed for the secondary rotation.
- Take a cineangiogram with retrograde injection in biplane orthogonal views 90° apart with specific angles to the distal cap location. Retrograde injection is standard practice for CTO PCI.1-7 Fluoroscopic views 90° apart allow the use of 3D information for wiring and is far superior to lesser angles. The specific views for common distal cap locations are left anterior oblique (LAO) 45 and right anterior oblique (RAO) 45 for the mid-right coronary artery (mRCA); LAO 45 cranial 30 and RAO 45 cranial 30 for the mid-distal (d) left anterior descending artery (LAD); and LAO 30 cranial 45 and LAO 30 cauda 45 for the dRCA. For the dRCA, it is necessary to use a single plane and rotate from cranial to caudal. The full description of fluoroscopic angles for all coronary segments have been published previously.16
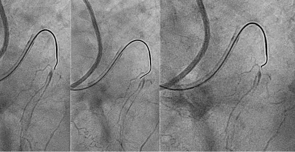
- In the far view, turn the wire towards the target. The far view is the view where the wire is further from the distal cap. We should first choose the far view where the wire is further from the target (Figure 3A) and rotate the wire tip to point toward the target. This is the primary rotation.
- In the near view, turn the wire towards the target with small rotation only. The near view is the angiographic view where the wire is nearer to the distal cap (Figure 3B). In this view, where the wire is nearer to the target, we should rotate the wire slightly towards the target, never more than 40°, and not until the wire faces directly towards the target. This is the secondary rotation. The near view is foreshortened and has significant parallax error; therefore, we should always rotate less than what appears visually correct.
- Return to the far view to wire the distal cap. Although it may seem easier for the operator to wire using the near view, it is always better to wire using the far view due to overlap in the near view.
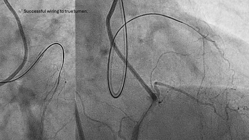
- For a near-side miss, pull back the wire further and try again. The wire can miss the target either by going near-side to the target (Figure 4A) or the far side, overshooting the target (Figure 4B). In the case of a near-side miss, we should pull the wire and microcatheter back further so that the wire tip is 15 mm proximal to the distal cap, thus allowing the wire a longer distance to travel across towards the target (Figure 4C).
- For a far-side overshoot miss, pull back the wire to the center of the distal cap, rotate it 180°, and try to puncture again. Since we have used two 90°-apart views, our wire direction should be very accurate and, therefore, if we overshoot the target, a 180° rotation will realign our wire direction towards the distal cap. Therefore, for a far-side miss, we should pull the wire back until the wire tip is just proximal to the target, rotate it 180°, and reattempt the puncture into the distal true lumen (Figure 5).
Discussion
Coronary arteries are 3D objects that we view on 2D-fluoroscopic images during CTO PCI. Therefore, a 2D adjustment of wire position and direction is inadequate to fully utilize all the information that we have to successfully wire a CTO.
Three-dimensional wiring (whether fluoroscopic or IVUS-guided) is the pinnacle of antegrade wiring and can produce impressive AW success. However, few CTO operators in the world have mastered 3D wiring techniques due to the poor dissemination of knowledge of angiographic views, the burdensome mental work required to construct a mental 3D image, and the lack of equipment. It is possible to gain most of the benefits of 3D fluoroscopic wiring and increase our success in distal true lumen wiring by following some simple rules for CTO wiring based upon the experience and knowledge of 3D wiring experts.
Many of these rules are also good rules for everyday CTO wiring, such as using a torque device, using fluoroscopic angles 90° apart, and using the far view for wiring. Here, we have put together the top 10 steps to extract the benefits of 3D wiring for CTO PCI. We believe these steps can markedly improve CTO wiring success.
Conclusions
Despite the prohibitive difficulties of 3D wiring, the principles behind 3D wiring can be applied and can improve success for distal true lumen wiring in CTO PCI. The 10 tips derived from our experience with 3D wiring can improve the chance of successful distal true lumen wiring.
Affiliations and Disclosures
From the 1Prince of Wales Hospital, Chinese University Hong Kong, Hong Kong; 2Hokusetsu General Hospital, Osaka, Japan; 3Sakurabashi Watanabe Advanced Healthcare Hospital, Osaka, Japan.
Disclosures: Dr Wu receives research funding from Abiomed, OrbusNeich, and Asahi Intecc; is an honorarium consultant for Boston Scientific and Abbott Vascular; serves on the Board of Directors for the Asia Pacific Chronic Total Occlusion (APCTO) Club Ltd; and holds stocks in Abbott Vascular. Dr Nagamatsu is an honorarium consultant for Asahi Intecc and Abbott Vascular Japan. Dr Okamura has received speaker fees from Terumo.
Address for correspondence: Eugene Brian Wu, MD, 9/F, Division of Cardiology, Department of Medicine & Therapeutics, Clinical Sciences Building, Prince of Wales Hospital, Shatin, NT, Hong Kong. Email: cto.demon@gmail.com; X: @CtoDemon
References
1. Brilakis ES, Grantham JA, Rinfret S, et al. A percutaneous treatment algorithm for crossing coronary chronic total occlusions. JACC Cardiovasc Interv. 2012;5(4):367-379. doi: 10.1016/j.jcin.2012.02.006
2. Harding SA, Wu EB, Lo S, et al. A new algorithm for crossing chronic total occlusions from the Asia Pacific Chronic Total Occlusion Club. JACC Cardiovasc Interv. 2017;10(21):2135-2143. doi: 10.1016/j.jcin.2017.06.071
3. Ge J, on behalf of CTOCC. Strategic roadmap of percutaneous coronary intervention for chronic total occlusions. Cardiology Plus. 2018:3(1):30-37. doi: 10.4103/cp.cp_7_18
4. Galassi AR, Werner GS, Boukhris M, et al. Percutaneous recanalisation of chronic total occlusions: 2019 consensus document from the EuroCTO Club. EuroIntervention. 2019;15(2):198-208. doi: 10.4244/EIJ-D-18-00826
5. Tanaka H, Tsuchikane E, Muramatsu T, et al. A novel algorithm for treating chronic total coronary artery occlusion. J Am Coll Cardiol. 2019;74(19):2392-2404. doi: 10.1016/j.jacc.2019.08.1049
6. Brilakis ES, Mashayekhi K, Tsuchikane E, et al. Guiding principles for chronic total occlusion percutaneous coronary intervention. Circulation. 2019;140(5):420-433. doi: 10.1161/CIRCULATIONAHA.119.039797
7. Wu EB, Brilakis ES, Mashayekhi K, et al. Global chronic total occlusion crossing algorithm: JACC state-of-the-Art review. J Am Coll Cardiol. 2021;78(8):840-853. doi: 10.1016/j.jacc.2021.05.055
8. Rempakos A, Alexandrou M, Simsek B, et al. Trends and outcomes of antegrade dissection and re-entry in chronic total occlusion percutaneous coronary intervention. JACC Cardiovasc Interv. 2023;16(22):2736-2747. doi: 10.1016/j.jcin.2023.09.021
9. Kostantinis S, Simsek B, Karacsonyi J, et al. In-hospital outcomes and temporal trends of percutaneous coronary interventions for chronic total occlusion. EuroIntervention. 2022;18(11):e929-e932. doi: 10.4244/EIJ-D-22-00599
10. Konstantinidis NV, Werner GS, Deftereos S, et al; Euro CTO Club. Temporal trends in chronic total occlusion interventions in Europe: 17 626 procedures from the European Registry of Chronic Total Occlusion. Circ Cardiovasc Interv. 2018;11(10):e006229. doi: 10.1161/CIRCINTERVENTIONS.117.006229
11. Myat A, Galassi AR, Werner GS, et al. Retrograde chronic total occlusion percutaneous coronary interventions: predictors of procedural success from the ERCTO Registry. JACC Cardiovasc Interv. 2022;15(8):834-842. doi: 10.1016/j.jcin.2022.02.013
12. Kostantinis S, Simsek B, Karacsonyi J, et al. Impact of proximal cap ambiguity on the procedural techniques and outcomes of chronic total occlusion percutaneous coronary intervention: insights from the PROGRESS‐CTO Registry. Catheter Cardiovasc Interv. 2023;101(4):737-746. doi: 10.1002/ccd.30580
13. Okamura A, Iwakura K, Nagai H, Kawamura K, Yamasaki T, Fujii K. Chronic total occlusion treated with coronary intervention by three-dimensional guidewire manipulation: an experimental study and clinical experience. Cardiovasc Interv Ther. 2016;31(3):238-244. doi: 10.1007/s12928-015-0339-z
14. Tanaka T, Okamura A, Iwakura K, et al. Efficacy and feasibility of the 3-dimensional wiring technique for chronic total occlusion percutaneous coronary intervention: first report of outcomes of the 3-dimensional wiring technique. JACC Cardiovasc Interv. 2019;12(6):545-555. doi: 10.1016/j.jcin.2018.12.014
15. Wu EB, Tsuchikane E, Lo S, et al. Chronic total occlusion wiring: a state-of-the-art guide from the Asia Pacific Chronic Total Occlusion Club. Heart Lung Circ. 2019;28(10):1490-1500. doi: 10.1016/j.hlc.2019.04.004
16. Atsunori O. 3D wiring methods in CTO PCI. In: Waksman R, Saito S, eds. Chronic Total Occlusions: A Guide to Recanalization. Wiley Blackwell; 2023:135-155. doi: 10.1002/9781119517337.ch16


