Dislodged Coronary Stents: The Presnaring Technique
Issa Kutkut, MD; Babar Khan, MD; Stephen O. Hunley, MD; Barbara D. Lawson, MD; Zachary M. Gertz, MD
J INVASIVE CARDIOL 2023;35(3):E156-E157.
Key words: complications, cardiac imaging, percutaneous coronary intervention
When dislodged stents remain on the coronary wire, the wire can be snared outside of the body (presnaring), and the snare loop advanced over the wire into the body to retrieve the stent (Figure 1). Presnaring may be a valuable technique to retrieve dislodged coronary stents when the stent remains on the coronary wire, as demonstrated in the following 2 patients.
Patient 1
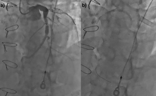
A patient with unstable angina was found to have a severely diseased and tortuous proximal segment of an anomalous circumflex artery (Figure 2a). Stent delivery was unsuccessful due to proximal vessel angulation. The stent dislodged off the balloon during attempted withdrawal, but remained on the wire (Figure 2b). The balloon could not advance into the stent, and was therefore removed. A 9- x 15-mm En Snare (Merit Medical Systems) was loaded over the coronary wire outside of the body to presnare. The snare was brought out of the guide (Figure 2c), and with appropriate torqueing, the stent was snared and removed (Figure 2d). The procedure was completed using shorter overlapping stents for easier delivery, with buddy wire support (Video Series).
Patient 2
A patient with occluded bypass grafts underwent intervention for persistent angina. His left anterior descending artery was ectatic with severe mid-vessel disease (Figure 3a). A balloon-expanding 7.0- x 27-mm peripheral stent was dislodged off the balloon, proximal to the lesion, and could not be advanced (Figure 3b). It could not be deployed as it extended into the aorta. Another guidewire was placed through the struts and a 20-mm Amplatz Goose Neck snare (Medtronic) was advanced over both wires outside of the body to presnare. The snare was navigated around the stent (Figure 3c) and it was withdrawn (Figure 3d). The procedure was terminated (Video Series).
Affiliations and Disclosures
From the Division of Cardiology, VCU Pauley Heart Center, Virginia Commonwealth University, Richmond, Virginia.
Disclosure: The authors have completed and returned the ICMJE Form for Disclosure of Potential Conflicts of Interest. The authors report no conflicts of interest regarding the content herein.
The authors report that patient consent was provided for publication of the images used herein.
Manuscript accepted August 15, 2022.
Address for correspondence: Zachary M. Gertz, MD, 1200 E Broad Street, Box 980036, Richmond, VA, 23298. Email: zachary.gertz@vcuhealth.org


