Video
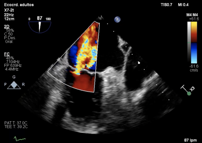
Mitraclip, Amplatzer, and TricValve Devices in a High-Risk Patient With Polyvalvular Disease
Ariana Gonzálvez-García, MD; Raúl Moreno, MD, PhD; Santiago Jiménez-Valero, MD; Guillermo Galeote, MD, PhD; Alfonso Jurado-Román, MD, PhD
01/31/2023
Video supplement to "Three Devices on One" by Gonzálvez-García, et al. (February 2023 Clinical Images).
To the best of our knowledge, this case represents the first patient with Mitraclip, Amplatzer, and TricValve devices with a profound clinical improvement and long-term follow-up. In addition, this case illustrates how the treatment of high-risk patients with polyvalvular disease has changed in the last few years.
Read the full article HERE.


