Coil Embolization for Management of Brachiocephalic Artery Perforation and Mediastinal Hematoma Following Percutaneous Coronary Intervention
J INVASIVE CARDIOL 2023;35(3):E152-E153.
Key words: coil embolization, complication, mediastinal hematoma, percutaneous coronary intervention
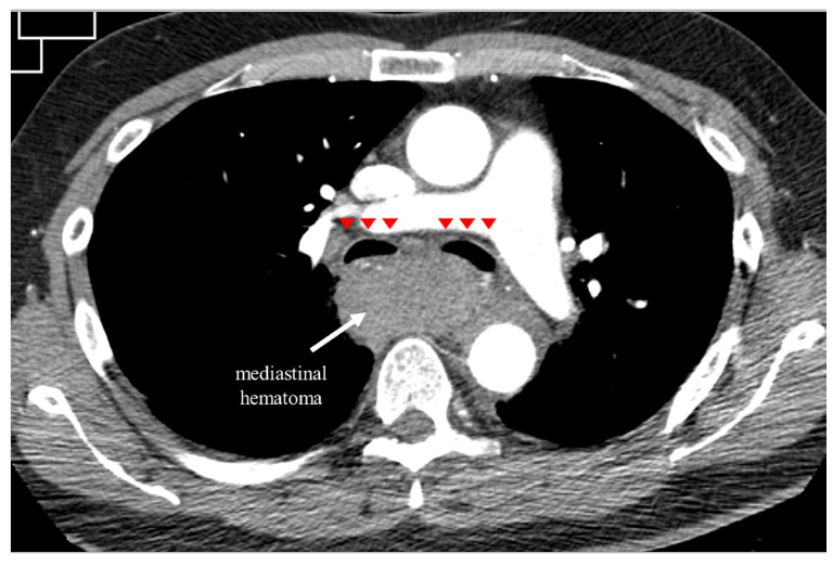
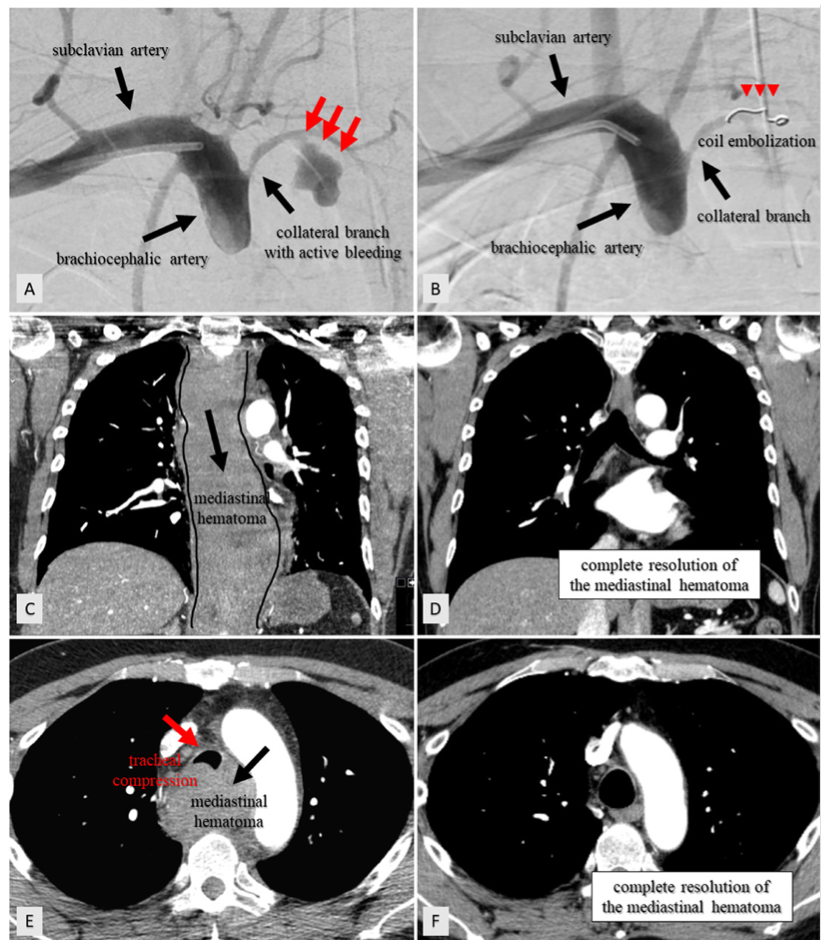
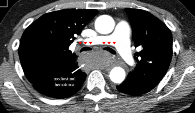
A 65-year-old man who presented with lateral ST-segment-elevation myocardial infarction was referred for primary percutaneous coronary intervention. J-wire and 5.2-Fr JR4 diagnostic catheter progression through right radial artery access was hampered by radial artery spasm and subclavian artery tortuosity. Then, a hydrophilic-coated guidewire was used to assist catheter advancement into the aortic root. Coronary angiography revealed an acute occlusion of the first obtuse marginal artery, which was successfully revascularized with 2 consecutive drug-eluting stents (Video Series). Three hours later, the patient developed symptoms of pleuritic chest pain, dyspnea, stridor, and evolved with shock. Thoracic computed tomography (CT) angiography revealed a large mediastinal hematoma compressing the airway (Figures 1C, 1E and Figure 2). Due to high index of suspicion and after multidisciplinary heart team discussion, an upper limb angiography was performed, which detected perforation of a small collateral branch of the brachiocephalic artery (Figure 1A). The perforation was treated with a single coil embolization, resolving the active bleeding (Figure 1B and Figure 3). Control CT imaging at 2-month follow-up revealed complete resolution of the mediastinal hematoma and airway compression (Figures 1D, 1F).
This clinical case illustrates an extremely rare and lethal complication of radial access PCI. We suspect the perforation was probably caused by the hydrophilic-coated guidewire. Mediastinal hematoma has scarcely been reported in the literature and, when present, the exact location of the bleeding was rarely identified. Rapid identification through chest imaging is crucial. In critically ill patients, endovascular management with coil embolization offers a less invasive and faster alternative to covered-stent implantation or surgery.
Affiliations and Disclosures
From the 1Centro Hospitalar Universitário do Porto, Porto, Portugal; and 2ICBAS–School of Medicine and Biomedical Sciences, University of Porto, Porto, Portugal
Disclosure: The authors have completed and returned the ICMJE Form for Disclosure of Potential Conflicts of Interest. The authors report no conflicts of interest regarding the content herein.
Acknowledgment: This work was supported by Patrícia Rodrigues, MD, PhD, Raquel Santos, MD, and André Luz, MD, PhD, from Cardiology Department of Centro Hospitalar Universitário do Porto, Porto, Portugal. We thank to Vascular and Cardiothoracic Surgery Departments of Centro Hospitalar Vila Nova de Gaia/Espinho, Porto, Portugal.
The authors report that patient consent was provided for publication of the images used herein.
Manuscript accepted June 23, 2022.
Address for correspondence: André Filipe Macedo Alexandre, MD, Largo do Prof. Abel Salazar, 4099-001, Porto, Portugal. Email: andrealexandre_1@msn.com; Twitter: @andrefalexandre


