Skip to main content

Current Issue

Original Contribution
11/30/2025
Zachary Chan, BS; Michaella Alexandrou, MD; Dimitrios Strepkos, MD; Deniz Mutlu, MD; Pedro E.P. Carvalho, MD; Oleg Krestyaninov, MD; Dmitrii Khelimskii, MD; Barkin Kultursay, MD; Ali Karagoz, MD; Ufuk Yildirim, MD; Korhan Soylu, MD; Mahmut Uluganyan, MD; Ozgur Selim Ser, MD; Olga Mastrodemos, BA; Bavana V. Rangan, BDS, MPH; Sandeep Jalli, DO; Konstantinos Voudris, MD, PhD; Yader Sandoval, MD; M. Nicholas Burke, MD; Emmanouil S. Brilakis, MD, PhD
The authors examined the angiographic and procedural characteristics, and outcomes of 1306 bifurcation percutaneous coronary interventions from the PROGRESS-BIFURCATION registry.
The authors examined the angiographic and procedural characteristics, and outcomes of 1306 bifurcation percutaneous coronary interventions from the PROGRESS-BIFURCATION registry.
The authors examined the...
11/30/2025
Journal of Invasive Cardiology
Original Contribution
09/08/2025
Carlo Briguori, MD, PhD; Luca Paolucci, MD; Mario Scarpelli, MD; Antonietta Di Iorio, MD; Valeria Cavaliere, MD; Amelia Focaccio, MD; Francesca De Micco, PhD; Daniele Maselli, MD
The authors evaluated the safety and efficacy of the systematic use of arteriotomy-site ballooning with concomitant manual compression following the delivery of a plug-based vascular closure device.
The authors evaluated the safety and efficacy of the systematic use of arteriotomy-site ballooning with concomitant manual compression following the delivery of a plug-based vascular closure device.
The authors evaluated the safety...
09/08/2025
Journal of Invasive Cardiology
Original Contribution
09/08/2025
Fabien Picard, MD, PhD; Vincent Pham, MD, MSc; Sophia El Harrouchi, MD; Pierre Brami, MD; Vincent Millien, MD; Ludovic Meunier, MD
The authors report the short-term results of their preliminary experience managing calcified lesions using intravascular lithotripsy combined with drug-coated balloons.
The authors report the short-term results of their preliminary experience managing calcified lesions using intravascular lithotripsy combined with drug-coated balloons.
The authors report the...
09/08/2025
Journal of Invasive Cardiology
Brief Communication
08/21/2025
Bernard Wong, MBChB; Cuneyt Ada, MBBS, PhD; Bharat Khialani, MBBS; George Touma, MBBS; Sarah Fairley, MBBCh, BAO (Hons), PhD; Eugene B. Wu, MD
The authors present 2 case examples of the C-PUSH (catheter push) optical coherence tomography technique.
The authors present 2 case examples of the C-PUSH (catheter push) optical coherence tomography technique.
The authors present 2 case...
08/21/2025
Journal of Invasive Cardiology
Clinical Images
08/06/2025
Simon Cheung-Chi Lam, MBBS; Kwong-Yue Eric Chan, MBBS; Shu-Yue Sze, MBBS; Daniel Tai-Leung Chan, MBBS; Ho-On Alston Conrad Chiu, MBBS; Ka-Chun Un, MBBS, MRes(Med); Frankie Chor-Cheung Tam, MBBS; Gilbert H.L. Tang, MD, MSc, MBA; Chun-Ka Wong, MBBS
The authors describe a novel recrossing technique that facilitates near-simultaneous leaflet laceration and self-expanding valve deployment.
The authors describe a novel recrossing technique that facilitates near-simultaneous leaflet laceration and self-expanding valve deployment.
The authors describe a novel...
08/06/2025
Journal of Invasive Cardiology
Clinical Images
08/05/2025
Faaiq N. Aslam, MD; Kevin Tayon, MD; Jeanwoo Yoo, DO; Abdallah El Sabbagh, MD; Danesh Kella, MBBS; Christoffel J. van Niekerk, MD
A 59-year-old man with heart failure with reduced ejection fraction and a single-chamber implantable cardioverter-defibrillator presented with group B streptococcus bacteremia. Transesophageal echocardiography revealed a vegetation on the...
A 59-year-old man with heart failure with reduced ejection fraction and a single-chamber implantable cardioverter-defibrillator presented with group B streptococcus bacteremia. Transesophageal echocardiography revealed a vegetation on the...
A 59-year-old man with heart...
08/05/2025
Journal of Invasive Cardiology
Clinical Images
08/05/2025
Ioannis Papadopoulos, MD; Konstantinos Filippou, MD; Athanasios Papadopoulos, MD; Panagiotis Varelas, MD; Dafni Pitsiori, MD; Konstantinos Manousopoulos, MD, PhD; Dimitrios Karelas, MD; Theofanis Pappas, MD, PhD; Nikolaos Giannakopoulos, MD; Konstantinos Nakas, MD; Dimitra Manou, MD; Ioannis Tsiafoutis, MD, PhD
An 81-year-old woman was admitted with dyspnea and irregular heartbeat due to atrial fibrillation with a rapid ventricular response. Echocardiography showed preserved left ventricular ejection fraction, severe aortic stenosis, and moderate...
An 81-year-old woman was admitted with dyspnea and irregular heartbeat due to atrial fibrillation with a rapid ventricular response. Echocardiography showed preserved left ventricular ejection fraction, severe aortic stenosis, and moderate...
An 81-year-old woman was...
08/05/2025
Journal of Invasive Cardiology
Clinical Images
08/05/2025
Jie Wang, MD; Ping Hu, MD; Ya-Feng He, MD; Xiao-Jing Ma, PhD
A 31-year-old man presented to our cardiac center with progressive dyspnea and fatigue. Physical examination revealed a continuous 3/6 systolic murmur at the lower left sternal border.
A 31-year-old man presented to our cardiac center with progressive dyspnea and fatigue. Physical examination revealed a continuous 3/6 systolic murmur at the lower left sternal border.
A 31-year-old man presented to...
08/05/2025
Journal of Invasive Cardiology
Clinical Images
08/05/2025
Maria Angelaki, MD, PhD; George Fotos, MD, MSc; Dimitrios Karelas, MD, MSc; Panagiota Manolakou, MD; Apostolos Christou, MD
The authors present the first 2 Micra VR2 (Medtronic) implantations via the right internal jugular vein in Greece.
The authors present the first 2 Micra VR2 (Medtronic) implantations via the right internal jugular vein in Greece.
The authors present the first 2...
08/05/2025
Journal of Invasive Cardiology
Clinical Images
08/05/2025
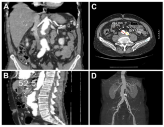
Ibrahim Naoum, MD; Hashem Hayeq, MD; Amnon Eitan, MD; Moataz Tarabih, MD; Ronen Jaffe, MD
A 69-year-old diabetic man with morbid obesity underwent elective angioplasty for a chronic total occlusion of the left anterior descending coronary artery via right radial and right femoral access.
A 69-year-old diabetic man with morbid obesity underwent elective angioplasty for a chronic total occlusion of the left anterior descending coronary artery via right radial and right femoral access.
A 69-year-old diabetic man with...
08/05/2025
Journal of Invasive Cardiology
Clinical Images
08/04/2025
Neha Chopra, MD, DM; Shitij Chaudhary, MD; Sourabh Agstam, MD, DM; Sivasubramanian Ramakrishnan, MD
A 76-year-old man with hypothyroidism, chronic obstructive pulmonary disease, and coronary artery disease presented with dyspnoea facial puffiness, and bilateral pitting pedal oedema for the past 3 months. He had undergone percutaneous...
A 76-year-old man with hypothyroidism, chronic obstructive pulmonary disease, and coronary artery disease presented with dyspnoea facial puffiness, and bilateral pitting pedal oedema for the past 3 months. He had undergone percutaneous...
A 76-year-old man with...
08/04/2025
Journal of Invasive Cardiology
Clinical Images
07/31/2025
Kristian Rivera, MD; Humberto Coimbra, MD; Diego Fernández-Rodríguez, MD, PhD; Eva Pueo, MD; Mireia Martínez, MD; Juan Casanova-Sandoval, MD, PhD
A 37-year-old woman with no prior medical history was admitted with a non-ST-segment elevation myocardial infarction. Despite initial medical therapy, she developed refractory chest pain, T-wave inversion in the precordial leads, and anterior...
A 37-year-old woman with no prior medical history was admitted with a non-ST-segment elevation myocardial infarction. Despite initial medical therapy, she developed refractory chest pain, T-wave inversion in the precordial leads, and anterior...
A 37-year-old woman with no...
07/31/2025
Journal of Invasive Cardiology
Subhead