Skip to main content

Chronic Total Occlusion Topic Center Topic Center

Chronic Total Occlusion Topic Center

Clinical Images
04/21/2026
Tarek Abdeldayem, MD; Mustafa Tigen, MD; Omer Gogtekin, MD; Mohaned Egred, BSc (Hons), MB, ChB, MD, FRCP, FESC
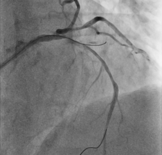
A 59-year-old man with exertional angina and coronary angiography showing chronic total occlusion of the right coronary artery with collateral filling from the left anterior descending artery. Dual injection revealed an ambiguous proximal...
A 59-year-old man with exertional angina and coronary angiography showing chronic total occlusion of the right coronary artery with collateral filling from the left anterior descending artery. Dual injection revealed an ambiguous proximal...
A 59-year-old man with...
04/21/2026
Journal of Invasive Cardiology
Brilakis Top 10 thumbnail
Author Interview
03/06/2026
Emmanouil S. Brilakis, MD, PhD; Deepak L. Bhatt, MD, MPH, FACC, FAHA, FESC, MSCAI
Dr Deepak L. Bhatt, editor-in-chief of the Journal of Invasive Cardiology, catches up with Dr Emmanouil Brilakis about his Editor’s 2025 Top 10 article, “Can IodixAnol ReducE the Incidence of Adverse Renal or Cardiac Events in Chronic Total...
Dr Deepak L. Bhatt, editor-in-chief of the Journal of Invasive Cardiology, catches up with Dr Emmanouil Brilakis about his Editor’s 2025 Top 10 article, “Can IodixAnol ReducE the Incidence of Adverse Renal or Cardiac Events in Chronic Total...
Dr Deepak L. Bhatt,...
03/06/2026
Journal of Invasive Cardiology
Review
02/17/2026
Semih Ceylan; Deniz Mutlu, MD; Eleni Kladou, MD; Nick Williford, MD; Sandeep Jalli, MD; Ahmed Al-Ogaili, MD; Masahisa Yamane, MD; Khaldoon Alaswad, MD; Allison Hall, MD; Rhian Davies, DO; James W. Choi, MD; Andrea Gagnor, MD; Roberto Garbo, MD; Omer Goktekin, MD; Sevket Gorgulu, MD; Jaikirshan J. Khatri, MD; William Nicholson, MD; Stéphane Rinfret, MD; Wissam Jaber, MD; Mohaned Egred, MD; Anastasios Milkas, MD, PhD; Niccolò Ciardetti, MD; Carlo Di Mario, MD, PhD; Kambis Mashayekhi, MD, PhD; Alexandre Avran, MD; Gregor Leibundgut, MD; Yiannis S. Chatzizisis, MD, PhD; Gerald S. Werner, MD, PhD; Claudiu Ungureanu, MD; Yader Sandoval, MD; Emmanouil S. Brilakis, MD, PhD
This review provides a summary of the published literature in CTO PCI between September 2023 and April 2025, categorized by procedural outcomes, techniques, complications, and ongoing studies.
This review provides a summary of the published literature in CTO PCI between September 2023 and April 2025, categorized by procedural outcomes, techniques, complications, and ongoing studies.
This review provides a summary...
02/17/2026
Journal of Invasive Cardiology
Filippou Figure 3
Clinical Videos
01/26/2026
Konstantinos Filippou, MD; Konstantinos Manousopoulos, MD; Panagiotis Varelas, MD; Dimitrios Karelas, MD; Ioannis Kouloulias, MD; Alexandros Zaraggas, MD; Ioannis Papadopoulos, MD; Ioannis Nenekidis, MD, PhD; Ioannis Tsiafoutis, MD, PhD
Video Supplement to "A Challenging Case of Left Main Chronic Total Occlusion and the Reverse T-Stenting and Small Protrusion (TAP) Technique: Success With the Investment Strategy" (Clinical Image).
Video Supplement to "A Challenging Case of Left Main Chronic Total Occlusion and the Reverse T-Stenting and Small Protrusion (TAP) Technique: Success With the Investment Strategy" (Clinical Image).
Video Supplement to "A...
01/26/2026
Journal of Invasive Cardiology
Clinical Images
01/26/2026
Konstantinos Filippou, MD; Konstantinos Manousopoulos, MD; Panagiotis Varelas, MD; Dimitrios Karelas, MD; Ioannis Kouloulias, MD; Alexandros Zaraggas, MD; Ioannis Papadopoulos, MD; Ioannis Nenekidis, MD, PhD; Ioannis Tsiafoutis, MD, PhD
A 62-year-old man with a history of coronary artery bypass graft was referred because of worsening anginal symptoms despite being on optimal antianginal medical therapy. Physical examination, electrocardiogram, echocardiogram, and routine...
A 62-year-old man with a history of coronary artery bypass graft was referred because of worsening anginal symptoms despite being on optimal antianginal medical therapy. Physical examination, electrocardiogram, echocardiogram, and routine...
A 62-year-old man with a history...
01/26/2026
Journal of Invasive Cardiology
Gasparini Figure 2
Clinical Videos
11/19/2025
Gabriele L. Gasparini, MD; Laura Novelli, MD; Jacopo A. Oreglia, MD; Yoshihisa Kinoshita, MD; Jorge Sanz-Sanchez, MD, PhD
Video Supplement to "Catch the Branch: The New Miracle Neo 3 Guidewire for Complex Bifurcation Rewiring" (Clinical Image).
Video Supplement to "Catch the Branch: The New Miracle Neo 3 Guidewire for Complex Bifurcation Rewiring" (Clinical Image).
Video Supplement to "Catch the...
11/19/2025
Journal of Invasive Cardiology
Clinical Images
11/19/2025
Gabriele L. Gasparini, MD; Laura Novelli, MD; Jacopo A. Oreglia, MD; Yoshihisa Kinoshita, MD; Jorge Sanz-Sanchez, MD, PhD
A 63-year-old man with a chronic total occlusion of the right coronary artery underwent successful recanalization using a retrograde approach. After stenting, a subocclusion of the ostial posterolateral branch occurred because of plaque...
A 63-year-old man with a chronic total occlusion of the right coronary artery underwent successful recanalization using a retrograde approach. After stenting, a subocclusion of the ostial posterolateral branch occurred because of plaque...
A 63-year-old man with a chronic...
11/19/2025
Journal of Invasive Cardiology
Karelas Figure
Clinical Videos
08/28/2025
Dimitris Karelas, MD, MSc; Konstantinos Filippou, MD, MSc; Panagiotis Varelas, MD, MSc; Konstantinos Manousopoulos, MD, PhD; Ioannis Papadopoulos, MD; Ioannis Tsiafoutis, MD, PhD
Video Supplement to "Collateral Clarity: Balloon Occlusion of an Epicardial Right Coronary Artery Branch to Map Left Anterior Descending Artery Perfusion" (Clinical Image).
Video Supplement to "Collateral Clarity: Balloon Occlusion of an Epicardial Right Coronary Artery Branch to Map Left Anterior Descending Artery Perfusion" (Clinical Image).
Video Supplement to "Collateral...
08/28/2025
Journal of Invasive Cardiology
Clinical Images
08/28/2025
Dimitris Karelas, MD, MSc; Konstantinos Filippou, MD, MSc; Panagiotis Varelas, MD, MSc; Konstantinos Manousopoulos, MD, PhD; Ioannis Papadopoulos, MD; Ioannis Tsiafoutis, MD, PhD
The authors present a technically informative case of a 65-year-old man referred for coronary angiography because of new onset presented angina during exercise.
The authors present a technically informative case of a 65-year-old man referred for coronary angiography because of new onset presented angina during exercise.
The authors present a...
08/28/2025
Journal of Invasive Cardiology
Varelas Figure 2
Clinical Videos
08/14/2025
Panagiotis Varelas, MD, MSc; Konstantinos Manousopoulos, MD, PhD; Konstantinos Filippou, MD, MSc; Dimitrios Karelas, MD, MSc; Ioannis Papadopoulos, MD; Ioannis Tsiafoutis, MD, PhD
Video Supplement to "Endovascular Management of the Radial Artery: Success Through Minimal Invasion."
Video Supplement to "Endovascular Management of the Radial Artery: Success Through Minimal Invasion."
Video Supplement to...
08/14/2025
Journal of Invasive Cardiology
Clinical Images
08/14/2025
Panagiotis Varelas, MD, MSc; Konstantinos Manousopoulos, MD, PhD; Konstantinos Filippou, MD, MSc; Dimitrios Karelas, MD, MSc; Ioannis Papadopoulos, MD; Ioannis Tsiafoutis, MD, PhD
An 84-year-old man with a history of dyslipidemia and hypertension underwent invasive coronary angiography via his right radial artery because of acute coronary syndrome. After the procedure, a palpable pulse was noted in his right forearm,...
An 84-year-old man with a history of dyslipidemia and hypertension underwent invasive coronary angiography via his right radial artery because of acute coronary syndrome. After the procedure, a palpable pulse was noted in his right forearm,...
An 84-year-old man with a...
08/14/2025
Journal of Invasive Cardiology

Videos

Brilakis Top 10 thumbnail
Author Interview
03/06/2026
Emmanouil S. Brilakis, MD, PhD; Deepak L. Bhatt, MD, MPH, FACC, FAHA, FESC, MSCAI
Dr Deepak L. Bhatt, editor-in-chief of the Journal of Invasive Cardiology, catches up with Dr Emmanouil Brilakis about his Editor’s 2025 Top 10 article, “Can IodixAnol ReducE the Incidence of Adverse Renal or Cardiac Events in Chronic Total...
Dr Deepak L. Bhatt, editor-in-chief of the Journal of Invasive Cardiology, catches up with Dr Emmanouil Brilakis about his Editor’s 2025 Top 10 article, “Can IodixAnol ReducE the Incidence of Adverse Renal or Cardiac Events in Chronic Total...
Dr Deepak L. Bhatt,...
03/06/2026
Journal of Invasive Cardiology
Filippou Figure 3
Clinical Videos
01/26/2026
Konstantinos Filippou, MD; Konstantinos Manousopoulos, MD; Panagiotis Varelas, MD; Dimitrios Karelas, MD; Ioannis Kouloulias, MD; Alexandros Zaraggas, MD; Ioannis Papadopoulos, MD; Ioannis Nenekidis, MD, PhD; Ioannis Tsiafoutis, MD, PhD
Video Supplement to "A Challenging Case of Left Main Chronic Total Occlusion and the Reverse T-Stenting and Small Protrusion (TAP) Technique: Success With the Investment Strategy" (Clinical Image).
Video Supplement to "A Challenging Case of Left Main Chronic Total Occlusion and the Reverse T-Stenting and Small Protrusion (TAP) Technique: Success With the Investment Strategy" (Clinical Image).
Video Supplement to "A...
01/26/2026
Journal of Invasive Cardiology
Gasparini Figure 2
Clinical Videos
11/19/2025
Gabriele L. Gasparini, MD; Laura Novelli, MD; Jacopo A. Oreglia, MD; Yoshihisa Kinoshita, MD; Jorge Sanz-Sanchez, MD, PhD
Video Supplement to "Catch the Branch: The New Miracle Neo 3 Guidewire for Complex Bifurcation Rewiring" (Clinical Image).
Video Supplement to "Catch the Branch: The New Miracle Neo 3 Guidewire for Complex Bifurcation Rewiring" (Clinical Image).
Video Supplement to "Catch the...
11/19/2025
Journal of Invasive Cardiology
Karelas Figure
Clinical Videos
08/28/2025
Dimitris Karelas, MD, MSc; Konstantinos Filippou, MD, MSc; Panagiotis Varelas, MD, MSc; Konstantinos Manousopoulos, MD, PhD; Ioannis Papadopoulos, MD; Ioannis Tsiafoutis, MD, PhD
Video Supplement to "Collateral Clarity: Balloon Occlusion of an Epicardial Right Coronary Artery Branch to Map Left Anterior Descending Artery Perfusion" (Clinical Image).
Video Supplement to "Collateral Clarity: Balloon Occlusion of an Epicardial Right Coronary Artery Branch to Map Left Anterior Descending Artery Perfusion" (Clinical Image).
Video Supplement to "Collateral...
08/28/2025
Journal of Invasive Cardiology
Varelas Figure 2
Clinical Videos
08/14/2025
Panagiotis Varelas, MD, MSc; Konstantinos Manousopoulos, MD, PhD; Konstantinos Filippou, MD, MSc; Dimitrios Karelas, MD, MSc; Ioannis Papadopoulos, MD; Ioannis Tsiafoutis, MD, PhD
Video Supplement to "Endovascular Management of the Radial Artery: Success Through Minimal Invasion."
Video Supplement to "Endovascular Management of the Radial Artery: Success Through Minimal Invasion."
Video Supplement to...
08/14/2025
Journal of Invasive Cardiology
Varelas Figure 1
Clinical Videos
07/11/2025
Panagiotis Varelas, MD, MSc; Konstantinos Manousopoulos, MD, PhD; Konstantinos Filippou, MD, MSc; Dimitrios Karelas, MD, MSc; Ioannis Papadopoulos, MD; Alexandre Avran, MD; Ioannis Tsiafoutis, MD, PhD
Video Supplement to "Thrombotic Complication After a Double-Barrel Configuration Percutaneous Coronary Intervention in a Chronic Total Occlusion."
Video Supplement to "Thrombotic Complication After a Double-Barrel Configuration Percutaneous Coronary Intervention in a Chronic Total Occlusion."
Video Supplement to "Thrombotic...
07/11/2025
Journal of Invasive Cardiology
EB Top 10
Author Interview
02/03/2025
Emmanouil S. Brilakis, MD, PhD; Deepak L. Bhatt, MD, MPH, FACC, FAHA, FESC, MSCAI
Dr Deepak L. Bhatt, editor-in-chief of the Journal of Invasive Cardiology, catches up with Dr Emmanouil S. Brilakis about his Editor’s 2024 Top 10 article, “Update on Chronic Total Occlusion Percutaneous Coronary Intervention”.
Dr Deepak L. Bhatt, editor-in-chief of the Journal of Invasive Cardiology, catches up with Dr Emmanouil S. Brilakis about his Editor’s 2024 Top 10 article, “Update on Chronic Total Occlusion Percutaneous Coronary Intervention”.
Dr Deepak L. Bhatt,...
02/03/2025
Journal of Invasive Cardiology
Aquino-Bruno Figure 2
Clinical Videos
01/14/2025
Marco A. Alcántara-Meléndez, MD; Antonio Vargas-Cruz, MD; César L. González-Aguilar, MD; Faustino J. Silva-Centeno, MD; Jesus González-Jasso, MD; Leonel Avendaño-Perez, MD; Rafael Esparza-Corona, MD; Heberto Aquino-Bruno, MD
Video Supplement to "Parallel Wire Technique as a Bailout for Chronic Total Occlusion Recanalization Due to Microcatheter Over-Torquing and Entrapment" (Clinical Image).
Video Supplement to "Parallel Wire Technique as a Bailout for Chronic Total Occlusion Recanalization Due to Microcatheter Over-Torquing and Entrapment" (Clinical Image).
Video Supplement to "Parallel...
01/14/2025
Journal of Invasive Cardiology
Brilakis preview
Author Interview
04/04/2024

Emmanouil S. Brilakis, MD, PhD

Emmanouil S. Brilakis, MD, PhD ...
Dr. Deepak L. Bhatt catches up with Dr. Emmanouil S. Brilakis about his Editor’s 2023 Top 10 article, “Equipment Utilization in Chronic Total Occlusion Percutaneous Coronary Interventions: Update From the PROGRESS-CTO Registry.”
Dr. Deepak L. Bhatt catches up with Dr. Emmanouil S. Brilakis about his Editor’s 2023 Top 10 article, “Equipment Utilization in Chronic Total Occlusion Percutaneous Coronary Interventions: Update From the PROGRESS-CTO Registry.”
Dr. Deepak L. Bhatt catches up...
04/04/2024
Journal of Invasive Cardiology
Brilakis preview
Author Interview
04/02/2024

Emmanouil S. Brilakis, MD, PhD

Emmanouil S. Brilakis, MD, PhD ...
Dr Deepak L. Bhatt and Dr Emmanouil S. Brilakis discuss the latest updates on chronic total occlusion percutaneous coronary intervention.
Dr Deepak L. Bhatt and Dr Emmanouil S. Brilakis discuss the latest updates on chronic total occlusion percutaneous coronary intervention.
Dr Deepak L. Bhatt and Dr...
04/02/2024
Journal of Invasive Cardiology
complete occlusion of the left iliac limb
Clinical Videos
05/04/2026
Ping Hu, MD; Xin-yu Wang, MD; Ming Qi, MD; Jie Wang, MD; Xiao-Jing Ma, PhD
Video Supplement to "Late Endovascular Aneurysm Repair Limb Occlusion Presenting as Claudication: Lifelong Surveillance Essential" (Clinical Image).
Video Supplement to "Late Endovascular Aneurysm Repair Limb Occlusion Presenting as Claudication: Lifelong Surveillance Essential" (Clinical Image).
Video Supplement to "Late...
05/04/2026
Journal of Invasive Cardiology
Agstam_Figure 2.anterior-posterior_chest_radiograph
Clinical Videos
04/30/2026
Swaminathan Krishnaswamy, MBBS, MD; Shivam Goel, MBBS, MD, DM; Shashwat Joshi, MBBS; Ankur Handa, MBBS, MD, DM; Sivasubramanian Ramakrishnan, MBBS, MD, DM; Sourabh Agstam, MBBS, MD, DM
Video Supplement to "Caught in the Web: Alteplase-Assisted Rescue of an Entrapped Pericardial Pigtail" (Clinical Image).
Video Supplement to "Caught in the Web: Alteplase-Assisted Rescue of an Entrapped Pericardial Pigtail" (Clinical Image).
Video Supplement to "Caught in...
04/30/2026
Journal of Invasive Cardiology
Figure 1.segment_occlusion
Clinical Videos
04/21/2026
Tarek Abdeldayem, MD; Mustafa Tigen, MD; Omer Gogtekin, MD; Mohaned Egred, BSc (Hons), MB, ChB, MD, FRCP, FESC
Video Supplement to "Controlled Antegrade and Retrograde Tracking (CART) Technique Via Epicardial Collaterals: Feasible and Safe" (Clinical Image).
Video Supplement to "Controlled Antegrade and Retrograde Tracking (CART) Technique Via Epicardial Collaterals: Feasible and Safe" (Clinical Image).
Video Supplement to "Controlled...
04/21/2026
Journal of Invasive Cardiology
Figure 1. Active phase of vasculitis
Clinical Videos
04/17/2026
Nicolás del Cuerpo Salinas, MD; Eduardo Arroyo Úcar, MD, PhD; Ignacio Alfaro Paniagua, MD; Marta Monteagudo Viana, MD, PhD; María Araceli Frutos García, MD
Video Supplement to "Optical Coherence Tomography Features in Coronary Vasculitis: A Takayasu’s Disease Manifestation" (Clinical Image).
Video Supplement to "Optical Coherence Tomography Features in Coronary Vasculitis: A Takayasu’s Disease Manifestation" (Clinical Image).
Video Supplement to "Optical...
04/17/2026
Journal of Invasive Cardiology
modified_TILT_ping_ping_guides
Clinical Videos
04/17/2026
Video Supplement to "Modified Tunnel-in-Landslide Technique (TILT) Using Ping-Pong Guides" (Clinical Image).
Video Supplement to "Modified Tunnel-in-Landslide Technique (TILT) Using Ping-Pong Guides" (Clinical Image).
Video Supplement to "Modified...
04/17/2026
Journal of Invasive Cardiology
fluoroscopy_pigtail_heart_hypolucent_shadow
Clinical Videos
04/17/2026
Samman Verma, MD, DM; Devesh Kumar, MD, MRCP, DM; Shreya Gupta, MD; Sanchit Sood, MBBS; Anil Kumar Choudhary, MD, DM
Video Supplement to "A 'Crunching' Heart: Pneumopericardium Following Pericardiocentesis" (Clinical Image).
Video Supplement to "A 'Crunching' Heart: Pneumopericardium Following Pericardiocentesis" (Clinical Image).
Video Supplement to "A...
04/17/2026
Journal of Invasive Cardiology
coronary angriography_CTO_RCA
Clinical Videos
04/16/2026
Arber Kodra, MD; Danyal Khan, MD; Michael Kim, MD; Tak Kwan, MD
Video Supplement to "Potential Alternative Mechanism of HydroDynamic Contrast Recanalization in Complete Total Occlusion Seen on DeepOCT+NIRS Imaging" (Clinical Image).
Video Supplement to "Potential Alternative Mechanism of HydroDynamic Contrast Recanalization in Complete Total Occlusion Seen on DeepOCT+NIRS Imaging" (Clinical Image).
Video Supplement to "Potential...
04/16/2026
Journal of Invasive Cardiology
3D transesophageal echocardiography
Clinical Videos
04/15/2026
Shashwat Joshi, MBBS; Shivam Goel, MD, DM; Saurabh Kumar Gupta, MD, DM; Sivasubramanian Ramakrishnan, MD, DM; Sourabh Agstam, MD, DM
Video Supplement to "Very Late Mechanical Mitral Valve Prosthesis Dehiscence" (Clinical Image).
Video Supplement to "Very Late Mechanical Mitral Valve Prosthesis Dehiscence" (Clinical Image).
Video Supplement to "Very Late...
04/15/2026
Journal of Invasive Cardiology
TEE_demonstrating_mitral_PVL
Clinical Videos
04/15/2026
Matthew Atienza, MD; Ahmad Alkhalil, MD; Neda Dianati Maleki, MD; Jonathan Price, MD; Daniel Montellese, MD; Puja Parikh, MD
Video Supplement to "Closure of Symptomatic Mitral Paravalvular Leak Following Recent Transcatheter Mitral Valve-in-Ring" (Clinical Image).
Video Supplement to "Closure of Symptomatic Mitral Paravalvular Leak Following Recent Transcatheter Mitral Valve-in-Ring" (Clinical Image).
Video Supplement to "Closure of...
04/15/2026
Journal of Invasive Cardiology
ARanum screenshot
ACC 2026
04/14/2026
Alison N. Ranum, MD
Dr Alison Ranum shares insights on her study, "Magnetic Resonance Imaging Versus Computed Tomography Angiography for Transcatheter Aortic Valve Replacement Planning: A Single-Center Experience," presented at the 2026 American College of...
Dr Alison Ranum shares insights on her study, "Magnetic Resonance Imaging Versus Computed Tomography Angiography for Transcatheter Aortic Valve Replacement Planning: A Single-Center Experience," presented at the 2026 American College of...
Dr Alison Ranum shares insights...
04/14/2026
Journal of Invasive Cardiology

Clinical Images

Clinical Images
04/21/2026
Tarek Abdeldayem, MD; Mustafa Tigen, MD; Omer Gogtekin, MD; Mohaned Egred, BSc (Hons), MB, ChB, MD, FRCP, FESC
A 59-year-old man with exertional angina and coronary angiography showing chronic total occlusion of the right coronary artery with collateral filling from the left anterior descending artery. Dual injection revealed an ambiguous proximal...
A 59-year-old man with exertional angina and coronary angiography showing chronic total occlusion of the right coronary artery with collateral filling from the left anterior descending artery. Dual injection revealed an ambiguous proximal...
A 59-year-old man with...
04/21/2026
Journal of Invasive Cardiology
Clinical Images
01/26/2026
Konstantinos Filippou, MD; Konstantinos Manousopoulos, MD; Panagiotis Varelas, MD; Dimitrios Karelas, MD; Ioannis Kouloulias, MD; Alexandros Zaraggas, MD; Ioannis Papadopoulos, MD; Ioannis Nenekidis, MD, PhD; Ioannis Tsiafoutis, MD, PhD
A 62-year-old man with a history of coronary artery bypass graft was referred because of worsening anginal symptoms despite being on optimal antianginal medical therapy. Physical examination, electrocardiogram, echocardiogram, and routine...
A 62-year-old man with a history of coronary artery bypass graft was referred because of worsening anginal symptoms despite being on optimal antianginal medical therapy. Physical examination, electrocardiogram, echocardiogram, and routine...
A 62-year-old man with a history...
01/26/2026
Journal of Invasive Cardiology
Clinical Images
11/19/2025
Gabriele L. Gasparini, MD; Laura Novelli, MD; Jacopo A. Oreglia, MD; Yoshihisa Kinoshita, MD; Jorge Sanz-Sanchez, MD, PhD
A 63-year-old man with a chronic total occlusion of the right coronary artery underwent successful recanalization using a retrograde approach. After stenting, a subocclusion of the ostial posterolateral branch occurred because of plaque...
A 63-year-old man with a chronic total occlusion of the right coronary artery underwent successful recanalization using a retrograde approach. After stenting, a subocclusion of the ostial posterolateral branch occurred because of plaque...
A 63-year-old man with a chronic...
11/19/2025
Journal of Invasive Cardiology
Clinical Images
08/28/2025
Dimitris Karelas, MD, MSc; Konstantinos Filippou, MD, MSc; Panagiotis Varelas, MD, MSc; Konstantinos Manousopoulos, MD, PhD; Ioannis Papadopoulos, MD; Ioannis Tsiafoutis, MD, PhD
The authors present a technically informative case of a 65-year-old man referred for coronary angiography because of new onset presented angina during exercise.
The authors present a technically informative case of a 65-year-old man referred for coronary angiography because of new onset presented angina during exercise.
The authors present a...
08/28/2025
Journal of Invasive Cardiology
Clinical Images
08/14/2025
Panagiotis Varelas, MD, MSc; Konstantinos Manousopoulos, MD, PhD; Konstantinos Filippou, MD, MSc; Dimitrios Karelas, MD, MSc; Ioannis Papadopoulos, MD; Ioannis Tsiafoutis, MD, PhD
An 84-year-old man with a history of dyslipidemia and hypertension underwent invasive coronary angiography via his right radial artery because of acute coronary syndrome. After the procedure, a palpable pulse was noted in his right forearm,...
An 84-year-old man with a history of dyslipidemia and hypertension underwent invasive coronary angiography via his right radial artery because of acute coronary syndrome. After the procedure, a palpable pulse was noted in his right forearm,...
An 84-year-old man with a...
08/14/2025
Journal of Invasive Cardiology
Clinical Images
07/11/2025
Panagiotis Varelas, MD, MSc; Konstantinos Manousopoulos, MD, PhD; Konstantinos Filippou, MD, MSc; Dimitrios Karelas, MD, MSc; Ioannis Papadopoulos, MD; Alexandre Avran, MD; Ioannis Tsiafoutis, MD, PhD
A 63-year-old man with stable angina was scheduled for elective percutaneous coronary intervention of a chronic total coronary occlusion of the right coronary artery (RCA) with epicardial bridging collaterals from the left circumflex artery...
A 63-year-old man with stable angina was scheduled for elective percutaneous coronary intervention of a chronic total coronary occlusion of the right coronary artery (RCA) with epicardial bridging collaterals from the left circumflex artery...
A 63-year-old man with stable...
07/11/2025
Journal of Invasive Cardiology
Clinical Images
01/13/2025
Marco A. Alcántara-Meléndez, MD; Antonio Vargas-Cruz, MD; César L. González-Aguilar, MD; Faustino J. Silva-Centeno, MD; Jesus González-Jasso, MD; Leonel Avendaño-Perez, MD; Rafael Esparza-Corona, MD; Heberto Aquino-Bruno, MD
The authors show an example of microcatheter over-torquing, causing entrapment of the guidewire during recanalization of a chronic total occlusion,.
The authors show an example of microcatheter over-torquing, causing entrapment of the guidewire during recanalization of a chronic total occlusion,.
The authors show an example of...
01/13/2025
Journal of Invasive Cardiology
Clinical Images
03/04/2024

Yoshinobu Murasato, MD, PhD; Kyohei Meno, MD; Takahiro Mori, MD, PhD

Yoshinobu Murasato, MD, PhD; Kyohei M...
An 83-year-old man who had undergone coronary aorta bypass graft surgery 25 years ago required treatment for new-onset worsening angina.
An 83-year-old man who had undergone coronary aorta bypass graft surgery 25 years ago required treatment for new-onset worsening angina.
An 83-year-old man who had...
03/04/2024
Journal of Invasive Cardiology
Clinical Images
02/13/2024
Tak-Shun Chung, MD, MBBS; Sui-Fung Wong, MBChB; Hiu-Cheong Chow, MBBS
A 75-year-old man was admitted for non-ST-segment elevation myocardial infarction. Coronary angiography showed focal severe disease at obtuse marginal artery and severe medina 1,1,1 bifurcation disease involving proximal to middle left...
A 75-year-old man was admitted for non-ST-segment elevation myocardial infarction. Coronary angiography showed focal severe disease at obtuse marginal artery and severe medina 1,1,1 bifurcation disease involving proximal to middle left...
A 75-year-old man was admitted...
02/13/2024
Journal of Invasive Cardiology
Clinical Images
11/17/2023
Michalis Koutouzis, MD, PhD; Theodoros Zografos, MD, PhD; Konstantina Katsanou, MD; Emmanouil S. Brilakis, MD, PhD, FACC, FAHA, FESC, FSCAI; Ioannis Tsiafoutis, MD
A 60-year-old man was referred for percutaneous coronary intervention of a proximal left circumflex chronic total occlusion with distal filling via epicardial collaterals from the left anterior descending artery. The 30-mm lesion had a...
A 60-year-old man was referred for percutaneous coronary intervention of a proximal left circumflex chronic total occlusion with distal filling via epicardial collaterals from the left anterior descending artery. The 30-mm lesion had a...
A 60-year-old man was referred...
11/17/2023
Journal of Invasive Cardiology
Clinical Images
05/04/2026
Ping Hu, MD; Xin-yu Wang, MD; Ming Qi, MD; Jie Wang, MD; Xiao-Jing Ma, PhD
A 55-year-old man presented with medically controlled essential hypertension and a history of abdominal aortic aneurysm stenting 2 years prior who presented with a 3-month history of left lower extremity fatigue on exertion.
A 55-year-old man presented with medically controlled essential hypertension and a history of abdominal aortic aneurysm stenting 2 years prior who presented with a 3-month history of left lower extremity fatigue on exertion.
A 55-year-old man presented with...
05/04/2026
Journal of Invasive Cardiology
Clinical Images
04/30/2026
Swaminathan Krishnaswamy, MBBS, MD; Shivam Goel, MBBS, MD, DM; Shashwat Joshi, MBBS; Ankur Handa, MBBS, MD, DM; Sivasubramanian Ramakrishnan, MBBS, MD, DM; Sourabh Agstam, MBBS, MD, DM
A 12-year-old boy with a case of disseminated tuberculosis who was on guideline-directed oral antitubercular therapy presented to the outpatient clinic with worsening exertional dyspnea for the past 2 months.
A 12-year-old boy with a case of disseminated tuberculosis who was on guideline-directed oral antitubercular therapy presented to the outpatient clinic with worsening exertional dyspnea for the past 2 months.
A 12-year-old boy with a case of...
04/30/2026
Journal of Invasive Cardiology
Clinical Images
04/21/2026
Tarek Abdeldayem, MD; Mustafa Tigen, MD; Omer Gogtekin, MD; Mohaned Egred, BSc (Hons), MB, ChB, MD, FRCP, FESC
A 59-year-old man with exertional angina and coronary angiography showing chronic total occlusion of the right coronary artery with collateral filling from the left anterior descending artery. Dual injection revealed an ambiguous proximal...
A 59-year-old man with exertional angina and coronary angiography showing chronic total occlusion of the right coronary artery with collateral filling from the left anterior descending artery. Dual injection revealed an ambiguous proximal...
A 59-year-old man with...
04/21/2026
Journal of Invasive Cardiology
Clinical Images
04/17/2026
Nicolás del Cuerpo Salinas, MD; Eduardo Arroyo Úcar, MD, PhD; Ignacio Alfaro Paniagua, MD; Marta Monteagudo Viana, MD, PhD; María Araceli Frutos García, MD
A 53-year-old man with a history of Takayasu arteritis, Crohn’s disease, and HLA-B27-negative spondyloarthritis presented with unstable angina, prompting coronary angiography. Angiography revealed a long, angiographically intermediate lesion...
A 53-year-old man with a history of Takayasu arteritis, Crohn’s disease, and HLA-B27-negative spondyloarthritis presented with unstable angina, prompting coronary angiography. Angiography revealed a long, angiographically intermediate lesion...
A 53-year-old man with a history...
04/17/2026
Journal of Invasive Cardiology
Clinical Images
04/17/2026
Neeraj Shah, MD, MPH
A 65-year-old man presented with unstable angina and calcified right coronary artery stenosis on diagnostic catheterization via radial approach. Percutaneous coronary intervention was performed via 7F femoral access using a Judkin’s Right 4...
A 65-year-old man presented with unstable angina and calcified right coronary artery stenosis on diagnostic catheterization via radial approach. Percutaneous coronary intervention was performed via 7F femoral access using a Judkin’s Right 4...
A 65-year-old man presented with...
04/17/2026
Journal of Invasive Cardiology
Clinical Images
04/17/2026
Samman Verma, MD, DM; Devesh Kumar, MD, MRCP, DM; Shreya Gupta, MD; Sanchit Sood, MBBS; Anil Kumar Choudhary, MD, DM
A 70-year-old woman suffering from adenocarcinoma lung presented with acute onset breathlessness. On examination, she was hypotensive with raised jugular venous pressure and muffled heart sounds.
A 70-year-old woman suffering from adenocarcinoma lung presented with acute onset breathlessness. On examination, she was hypotensive with raised jugular venous pressure and muffled heart sounds.
A 70-year-old woman suffering...
04/17/2026
Journal of Invasive Cardiology
Clinical Images
04/16/2026
Arber Kodra, MD; Danyal Khan, MD; Michael Kim, MD; Tak Kwan, MD
A 69-year-old man was referred for percutaneous coronary intervention of a right coronary artery in-stent complete total occlusion, which had collateral supply from the left anterior descending artery.
A 69-year-old man was referred for percutaneous coronary intervention of a right coronary artery in-stent complete total occlusion, which had collateral supply from the left anterior descending artery.
A 69-year-old man was referred...
04/16/2026
Journal of Invasive Cardiology
Clinical Images
04/15/2026
Shashwat Joshi, MBBS; Shivam Goel, MD, DM; Saurabh Kumar Gupta, MD, DM; Sivasubramanian Ramakrishnan, MD, DM; Sourabh Agstam, MD, DM
A 54-year-old man with a history of hypertension and mechanical mitral valve replacement (MVR) presented with shortness of breath and bilateral pedal edema for the prior 2 months. He had undergone surgical MVR for symptomatic severe rheumatic...
A 54-year-old man with a history of hypertension and mechanical mitral valve replacement (MVR) presented with shortness of breath and bilateral pedal edema for the prior 2 months. He had undergone surgical MVR for symptomatic severe rheumatic...
A 54-year-old man with a history...
04/15/2026
Journal of Invasive Cardiology
Clinical Images
04/15/2026
Matthew Atienza, MD; Ahmad Alkhalil, MD; Neda Dianati Maleki, MD; Jonathan Price, MD; Daniel Montellese, MD; Puja Parikh, MD
An 86-year-old man who had undergone recent transcatheter mitral valve-in-ring at an outside hospital presented with multiple hospitalizations for symptomatic hemolytic anemia requiring blood transfusions. Transesophageal echocardiogram...
An 86-year-old man who had undergone recent transcatheter mitral valve-in-ring at an outside hospital presented with multiple hospitalizations for symptomatic hemolytic anemia requiring blood transfusions. Transesophageal echocardiogram...
An 86-year-old man who had...
04/15/2026
Journal of Invasive Cardiology
Clinical Images
04/13/2026
Antonios Lysandrou, MD; Konstantinos Kalogeras, MD, PhD; Maria Ioanna Gounaridi, MD, PhD; George E. Zakynthinos, MD; Ioannis Gialamas, MD; Nikolaos Vythoulkas-Biotis, MD; Efstratios Katsianos, MD; Chrysovalantis Psathas, MD; Gerasimos Siasos, MD, PhD; Emmanouil Vavouranakis, MD, PhD
A 70-year-old man presented with persistent exertional angina. He had undergone coronary artery bypass grafting 14 years ago, with a left internal mammary artery graft to the left anterior descending artery and a saphenous vein Y-graft to the...
A 70-year-old man presented with persistent exertional angina. He had undergone coronary artery bypass grafting 14 years ago, with a left internal mammary artery graft to the left anterior descending artery and a saphenous vein Y-graft to the...
A 70-year-old man presented with...
04/13/2026
Journal of Invasive Cardiology