Severe Functional Mitral Regurgitation and Cardiogenic Shock After Transcatheter Aortic Valve Replacement
© 2024 HMP Global. All Rights Reserved.
Any views and opinions expressed are those of the author(s) and/or participants and do not necessarily reflect the views, policy, or position of the Journal of Invasive Cardiology or HMP Global, their employees, and affiliates.
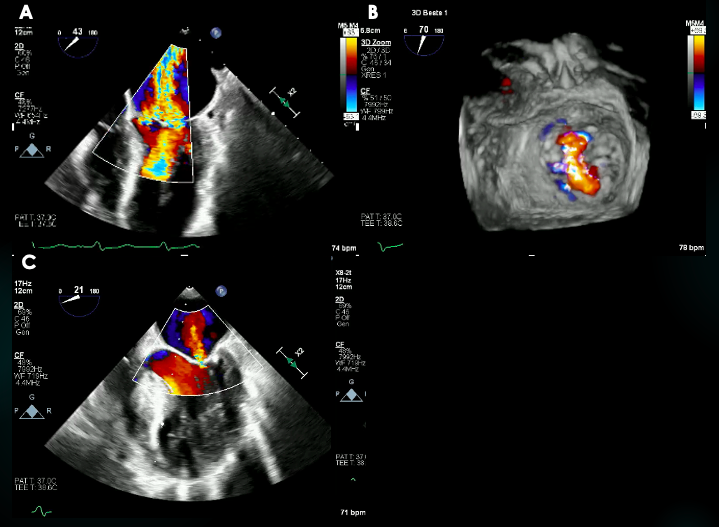
An 83-year-old woman with symptomatic severe aortic stenosis (AS) was referred for transcatheter aortic valve replacement (TAVR). Diagnostic left heart catheterization (LHC) documented diffuse 3-vessel coronary artery disease (CAD) (Videos 1-3). Transthoracic echocardiogram (TTE) showed normal biventricular function, severe AS, and minimal mitral regurgitation (MR) (Figure 1A and B; Video 4). The Heart Team deemed that she was at high/prohibitive surgical risk given multiple comorbidities and frailty.
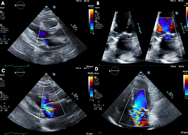
The patient underwent transfemoral TAVR with a 25-mm Navitor valve (Abbott) after initial ballon aortic valvuloplasty (BAV). TTE and angiography documented normal valve positioning and function, and normal coronary perfusion. Within a few minutes of the deployment of the valve, the patient developed persistent hypotension and vasopressors were initiated. TTE showed anteroseptal hypokinesis and severe MR with a centrally directed jet (Figure 1C and D; Video 5). The patient was intubated, and transesophageal echocardiogram (TEE) confirmed severe MR with a broad, centrally directed jet from poor mitral leaflet coaptation (Figure 2A and B; Videos 6 and 7). A diagnostic left heart cardiac catheterization showed no changes in the underlying CAD. An intra-aortic balloon pump was placed, and TEE showed MR improvement from severe to mild (Figure 2C; Video 8). The patient was moved to the cardiac intensive care unit for continuous hemodynamic monitoring. Her clinical course progressively improved and she was discharged home on post-procedure day 7 in stable condition.
Severe functional MR with ensuing cardiogenic shock is a rare complication after TAVR. In this case, it was likely due to transient left ventricular dysfunction because of hypoperfusion from rapid pacing during BAV and TAVR deployment. Intra-procedural echocardiography is crucial for rapid detection and differential diagnosis of cardiogenic shock after the TAVR procedure and can be lifesaving, as demonstrated by our case.
Affiliations and Disclosures
From the 1Mount Sinai Fuster Heart Hospital, Icahn School of Medicine at Mount Sinai, New York, New York, USA; 2UCD School of Medicine, University College Dublin, Belfield, Dublin, Ireland; 3RUHS College of Medical Sciences, Jaipur, India; 4Institute for Critical Care Medicine, Icahn School of Medicine at Mount Sinai, New York, New York, USA.
Dr. Akinmolayemi and Charlotte McCreery contributed equally to the manuscript.
Disclosures: The authors report no financial relationships or conflicts of interest regarding the content herein.
Consent statement: The authors confirm that the patient has given informed consent for this publication.
Address for correspondence: George D. Dangas, MD, PhD, Mount Sinai Fuster Heart Hospital, Icahn School of Medicine at Mount Sinai, One Gustave L. Levy Place, Box 1030, New York, NY 10029, USA. Email: george.dangas@mountsinai.org; X: @DAkinmolayemi, @prandi_fr


