Redo Transcatheter Aortic Valve Replacement in a Young Patient With Congenital Aortic Valve Disease
© 2024 HMP Global. All Rights Reserved.
Any views and opinions expressed are those of the author(s) and/or participants and do not necessarily reflect the views, policy, or position of the Journal of Invasive Cardiology or HMP Global, their employees, and affiliates.
A 39-year-old man with Shone complex presented with acute decompensated heart failure. He had undergone 4 previous sternotomies and a 23-mm Sapien XT (Edwards) transcatheter aortic valve replacement (TAVR) for severe bioprosthetic aortic regurgitation (AR) in 2014. The TAVR was performed 10 years before presentation, representing the longest known lifespan of a Sapien XT in a young patient.
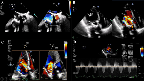
A transoesophageal echocardiogram (TEE) revealed severe left ventricular (LV) dysfunction with an LV ejection fraction (LVEF) of 25%, severe transvalvular AR, and moderate-to-severe prosthetic aortic stenosis (Figure 1, Video 1). The Heart Team recommended a redo-TAVR due to extreme operative risk. Cardiac computed tomography revealed an under-expanded Sapien XT (perimeter 61.3 mm, area 298 mm2 at valve midframe). A 23-mm Evolut FX valve (Medtronic) was chosen for the redo-TAVR.
After pre-dilation with a 21-mm True balloon (BD), a 23-mm Evolut FX valve was deployed inside the original Sapien XT (Figure 2, Video 2) and post-dilated with the same balloon. Echocardiogram showed no significant transvalvular or paravalvular regurgitation and a mean gradient of 9 mm Hg (Video 3). At the 8-week follow-up, the patient reported significantly improved exercise tolerance, the transvalvular gradient was stable, and the LVEF improved from 25% to 42%.
This case highlights the challenges associated with the lifetime management of congenital aortic valve disease in a young patient. Redo-TAVR with a balloon-expandable valve is known to be effective and associated with low procedure complication rates.1 The index valve-in-valve TAVR and this valve-in-valve-in-valve procedure have significantly delayed the need for a fifth sternotomy, which would have had significant risks. Given the constrained anatomy, the supra-annular Evolut FX design helped optimize the hemodynamic outcome.2
Affiliations and Disclosures
Richard Tanner, MD1; Francesca R. Prandi, MD1; Gilbert H.L. Tang, MD, MSc, MBA2; Ismail El-Hamamsy, MD, PhD2; Barry A. Love, MD1; Lucy M. Safi, DO1; Samin K. Sharma, MD1; Stamatios Lerakis, MD, PhD1; Annapoorna S. Kini, MD1
From the 1Division of Cardiology, Mount Sinai Hospital, Icahn School of Medicine at Mount Sinai, New York, New York, USA; 2Department of Cardiovascular Surgery, Mount Sinai Health System, New York, New York, USA.
Disclosures: Dr Tang has received speaker's honoraria and served as a physician proctor, consultant, advisory board member, TAVR publications committee member, APOLLO trial screening committee member, and IMPACT MR steering committee member for Medtronic; has received speaker's honoraria and served as a physician proctor, consultant, advisory board member, and TRILUMINATE trial anatomic eligibility and publications committee member for Abbott Structural Heart; has served as an advisory board member for Boston Scientific and JenaValve, a consultant for NeoChord, Shockwave Medical, Peijia Medical, and Shenqi Medical Technology, and has received speaker's honoraria from Siemens Healthineers. Dr Safi has received speaker's honoraria from Abbott Structural Heart and Medtronic, and is an advisory board member for Abbott Structural Heart. The remaining authors report no financial relationships or conflicts of interest regarding the content herein.
Consent statement:
The authors confirm that informed consent was obtained from the patient for the study and/or intervention(s) described in the manuscript and to the publication thereof.
Address for correspondence: Annapoorna S. Kini, MD, The Zena and Michael A. Weiner Cardiovascular Institute, Icahn School of Medicine at Mount Sinai Hospital, One Gustave L. Levy Place, Box 1030, New York, NY 10029-6574, USA. Email: Annapoorna.kini@mountsinai.org; X: @GilbertTangMD @prandi_fr @RichCardioMD @LucySafi @DoctorKini
References
1. Makkar RR, Kapadia S, Chakravarty T, et al. Outcomes of repeat transcatheter aortic valve replacement with balloon-expandable valves: a registry study. Lancet. 2023;402(10412):1529-1540. doi: 10.1016/S0140-6736(23)01636-7
2. Herrmann HC, Mehran R, Blackman DJ, et al; SMART Trial Investigators. Self-expanding or balloon-expandable TAVR in patients with a small aortic annulus. N Engl J Med. 2024;390(21):1959-1971. doi: 10.1056/NEJMoa2312573


