Right Coronary Artery Obstruction Following Transcatheter Aortic Valve Replacement by Aortic Valve Mass
© 2024 HMP Global. All Rights Reserved.
Any views and opinions expressed are those of the author(s) and/or participants and do not necessarily reflect the views, policy, or position of the Journal of Invasive Cardiology or HMP Global, their employees, and affiliates.
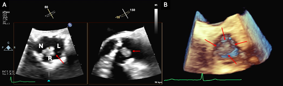
A 93-year-old woman with symptomatic severe aortic stenosis and normal biventricular function was referred for transcatheter aortic valve replacement (TAVR) evaluation (Figure 1A, Video 1). Cardiac computed tomography revealed safe coronary heights and multiple large calcified mobile mass-like structures attached to the aortic valve (AV), confirmed also by transesophageal echocardiography, which were thought to be prominent Lambl’s excrescences. (Figure 2, Videos 2 and 3). Coronary angiography found a 50% to 60% calcified lesion in the proximal right coronary artery (RCA) (Figure 3A, Video 4). Aortic arch vessels were deemed not suitable for cerebral embolic protection.
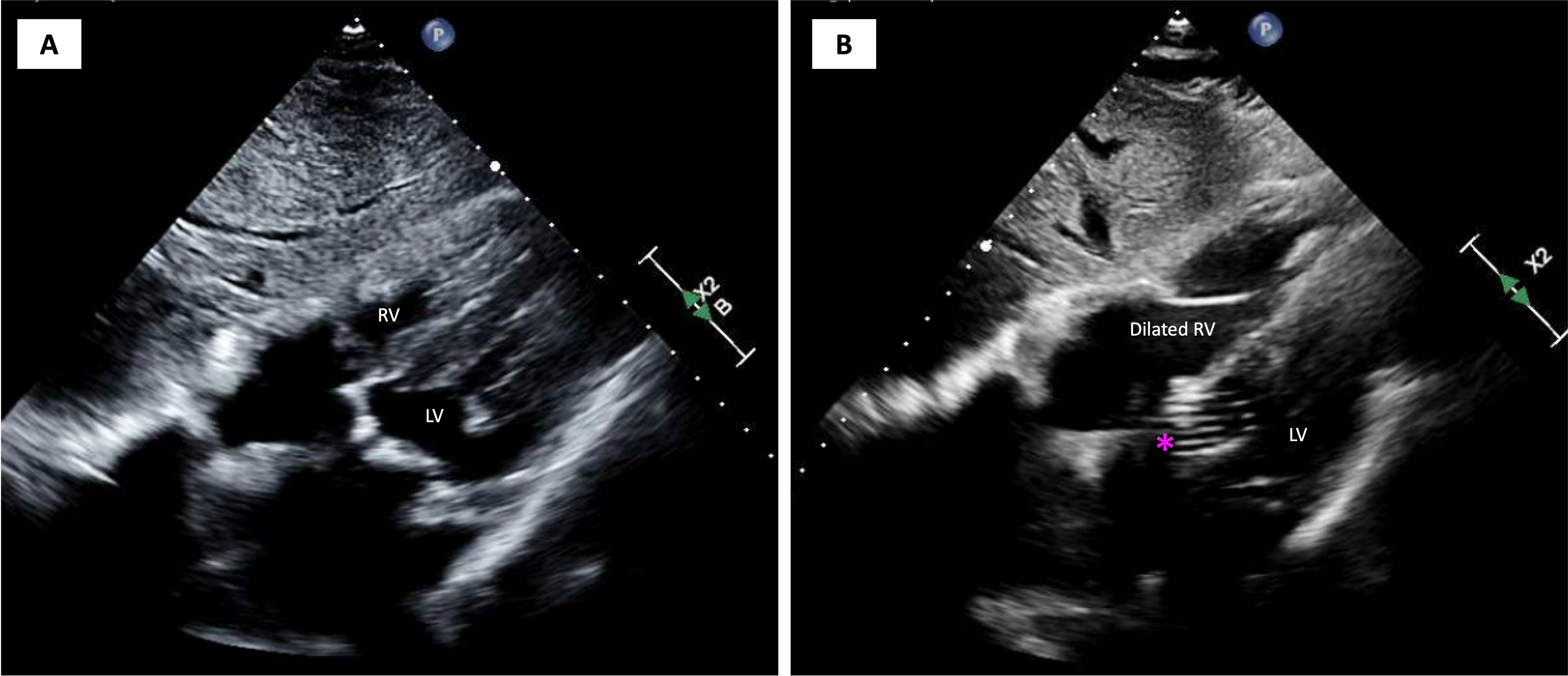
Transfemoral TAVR with 26-mm Evolut FX valve (Medtronic) was successfully performed. Commissural misalignment was noted (Figure 4). The implant depth was 4 mm and RCA flow was present (Video 5). Transthoracic echocardiography (TTE) showed no paravalvular regurgitation, a mean gradient of 3 mm Hg, and normal biventricular function (Video 6). The patient was pacing-dependent after valve deployment. Two hours afterwards, the patient became hypotensive and developed polymorphic ventricular tachycardia requiring electrical cardioversion. TTE revealed right ventricular dilation and severe dysfunction (Figure 1B, Video 7). An intra-aortic balloon pump was placed and repeat coronary angiography found a total occlusion of the RCA ostium (Figure 3B, Video 8), which was successfully treated by percutaneous coronary intervention with 2 drug-eluting stents (Figure 3C, Video 9). The patient clinically improved and was safely discharged home on post-op day 10.
Coronary obstruction is a rare, life-threatening (> 40% 30-day mortality rate) complication of TAVR.1 Cardiac computed tomography (CCT) represents the gold standard to identify predictors of obstruction. Mechanisms responsible for RCA obstruction in this case include aortic valve mass embolization or impingement with ostial effacement, commissural misalignment (as it may impact coronary access in supra-annular self-expanding valves2,3) or a combination. Echocardiography is crucial for early identification and rapid management of cardiac dysfunction due to subacute coronary obstruction after TAVR.
Affiliations and Disclosures
From the 1Division of Cardiology, Mount Sinai Hospital, Icahn School of Medicine at Mount Sinai, New York, New York, USA; 2Department of Cardiovascular Surgery, Mount Sinai Health System, New York, New York, USA.
Disclosures: Dr. Safi has speaking honoraria for Abbott Structural heart and advisory board member, and Medtronic speaking honoraria. Dr. Tang has received speaker's honoraria and served as a physician proctor, consultant, advisory board member, TAVR publications committee member, APOLLO trial screening committee member and IMPACT MR steering committee member for Medtronic, has received speaker's honoraria and served as a physician proctor, consultant, advisory board member and TRILUMINATE trial anatomic eligibility and publications committee member for Abbott Structural Heart, has served as an advisory board member for Boston Scientific and JenaValve, a consultant for NeoChord, Shockwave Medical, Peija Medical and Shenqi Medical Technology, and has received speaker's honoraria from Siemens Healthineers. The remaining authors report no financial relationships or conflicts of interest regarding the content herein.
Consent statement: The authors confirm that informed consent was obtained prior to the procedure.
Address for correspondence: Stamatios Lerakis, MD, PhD, Mount Sinai Fuster Heart Hospital, Icahn School of Medicine at Mount Sinai, One Gustave L. Levy Place, Box 1030 New York, NY 10029, USA. Email: stamatios.lerakis@mountsinai.org; X: @SamuelMaidman; @prandi_fr; @RichCardioMD; @GilbertTangMD
References:
- Ribeiro HB, Webb JG, Makkar RR, et al. Predictive factors, management, and clinical outcomes of coronary obstruction following transcatheter aortic valve implantation: insights from a large multicenter registry. J Am Coll Cardiol. 2013;62(17):1552-1562. doi: 10.1016/j.jacc.2013.07.040
- Yudi MB, Sharma SK, Tang GHL, Kini A. Coronary angiography and percutaneous coronary intervention after transcatheter aortic valve replacement. J Am Coll Cardiol. 2018;71(12):1360-1378. doi: 10.1016/j.jacc.2018.01.057
- Tang GHL, Amat-Santos IJ, De Backer O, et al. Rationale, definitions, techniques, and outcomes of commissural alignment in TAVR: from the ALIGN-TAVR Consortium. JACC Cardiovasc Interv. 2022;15(15):1497-1518. doi: 10.1016/j.jcin.2022.06.001


