Coronary Intervention in Chronic Total Occlusion in the Left Main Coronary Artery
© 2024 HMP Global. All Rights Reserved.
Any views and opinions expressed are those of the author(s) and/or participants and do not necessarily reflect the views, policy, or position of the Journal of Invasive Cardiology or HMP Global, their employees, and affiliates.
An 83-year-old man who had undergone coronary aorta bypass graft surgery 25 years ago required treatment for new-onset worsening angina. Coronary computed tomography angiography (CCTA) showed total occlusion of the left main coronary artery (LM), proximal obtuse marginal (OM) branch and proximal right coronary artery (RCA), a tight, calcified lesion in the proximal left anterior descending artery (LAD) (Figure A), patent bypasses of the left internal thoracic artery (LITA) to the LAD and the right internal thoracic artery (RITA) to the OM branch, and occlusion of the saphenous vein graft (SVG) from the aorta to the right coronary artery (RCA). Coronary angiography revealed total occlusion of the RCA and LM in their ostia (Figure B-a, b), retrograde perfusion to the proximal LAD and left circumflex artery (LCX), distal RCA by LITA-LAD graft (Figure B-c; Video 1), and limited perfusion of the OM branch by the RITA-OM branch graft (Figure B-d; Video 2). The symptom derived from a large myocardial ischemia in the postero-lateral and inferior areas.
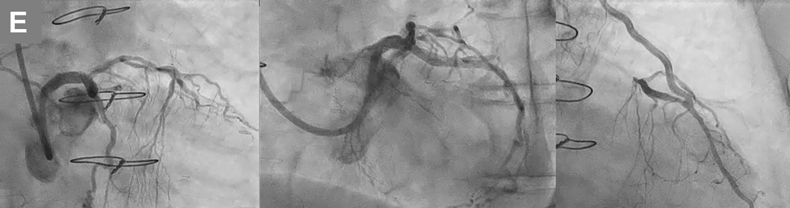
Since CCTA indicated a blunt-type LM chronic total occlusion (CTO) in the straight route that was composed of fibrous tissue and connected to distal bifurcation (Figure A), percutaneous coronary intervention (PCI) for LM-CTO was performed with contralateral injection from the LITA-LAD. A 7-French AL2.0 SH guide catheter (Heartrail II, Terumo) was engaged in the LM and a tapered stiff guidewire (X-treme XTA, Asahi Intec) penetrated the CTO lesion and crossed to the LCX (Video 3). Intravascular ultrasound confirmed the guidewire’s penetration of the true lumen. (Figure C; Video 4). A 3.5 x 22-mm zotarolimus-eluting stent (Resolute Onyx, Medtronic) was implanted from the LM ostium to the proximal LCX (Figure D-a). Proximal optimization with a 4.0-mm balloon (Figure D-b), and final kissing balloon inflation with 3.5 and 2.5-mm balloons (Figure D-c) followed. Complete antegrade flow from the LM to LCX and good collateral flow into the distal RCA was achieved (Figure E-a, b; Videos 5 and 6). The proximal to middle LAD lesions were left untouched due to sufficient flow from the LITA-LAD graft (Figure E-c). Informed consent was obtained from the patient prior to all procedures.
LM-CTO is rare, consisting of 0.04% of all coronary angiographies, and the frequency of LM-CTO PCI is 0.45% of the entire CTO-PCI registry.1 Although LM-CTO PCI poses some technical challenges, we have reported a successful case utilizing CCTA information to understand the CTO route and lesion characteristics.
Affiliations and Disclosures
From the Department of Cardiology, National Hospital Organization Kyushu Medical Center, Fukuoka, Japan
Disclosures: The authors report no financial relationships or conflicts of interest regarding the content herein.
Address for correspondence: Yoshinobu Murasato, MD, PhD, Department of Cardiology, National Hospital Organization, Kyushu Medical Center, 1 Chrome-8-1, Jigyohama, Chuo Ward, Fukuoka 810-8563, Japan. Email: y.murasato@gmail.com; X: @YMurasato
Reference
1. Xenogiannis I, Karmpaliotis D, Alaswad K, et al. Left main chronic total occlusion percutaneous coronary intervention: A case series. J Invasive Cardiol. 2019;31(7):E220-E225.


