Use of Chronic Total Occlusion Wiring Techniques for Extremely Angulated Side Branch Access
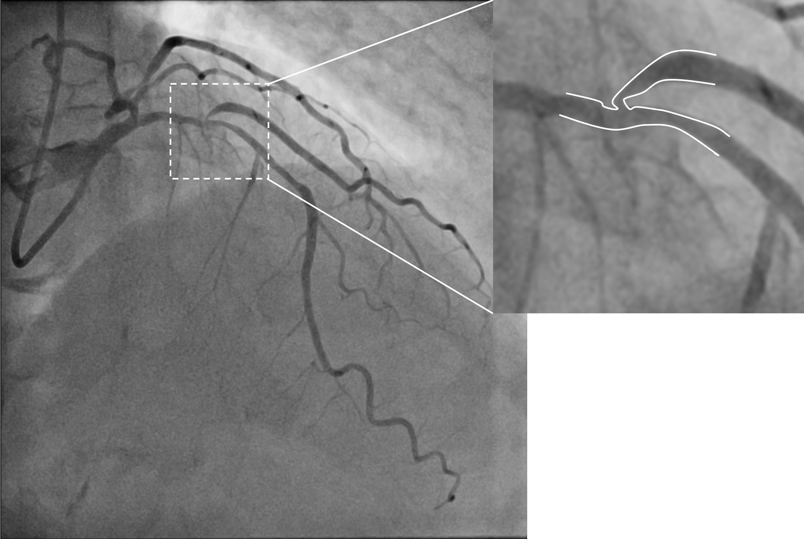
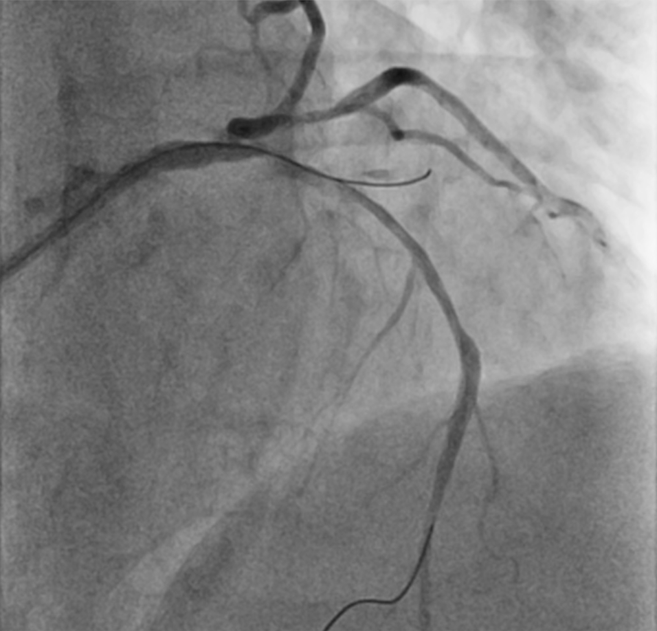
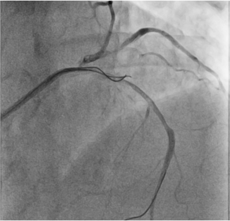
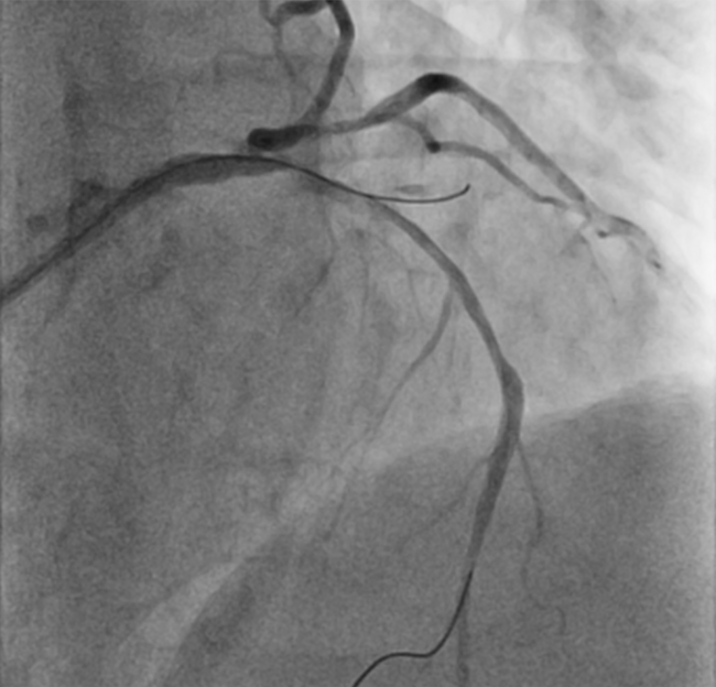
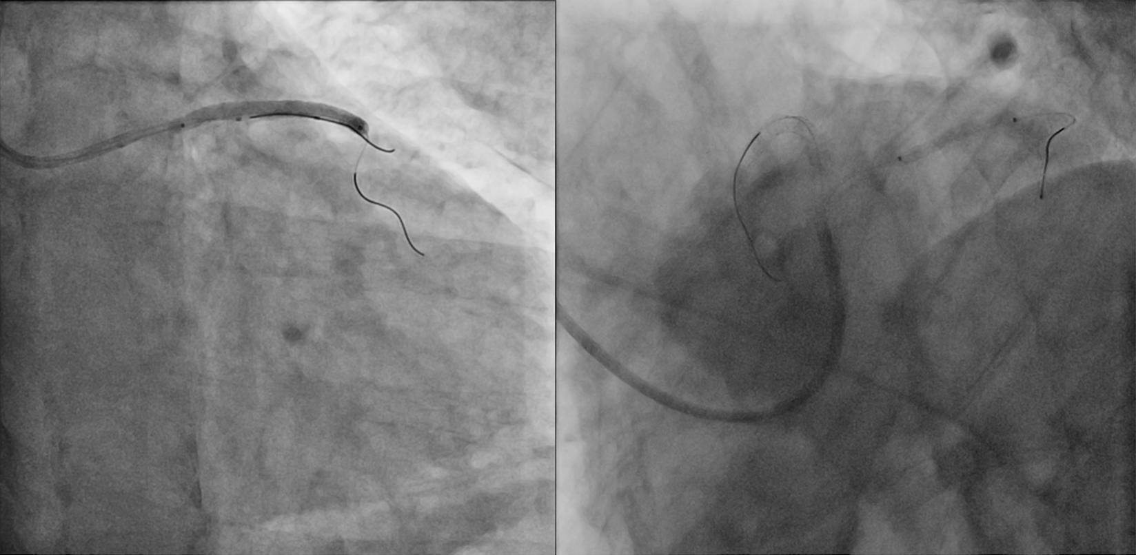
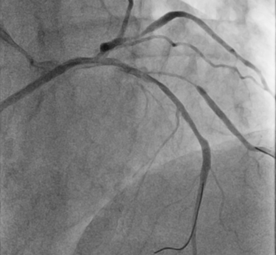
A 75-year-old man was admitted for non-ST-segment elevation myocardial infarction (NSTEMI). Coronary angiography showed focal severe disease at obtuse marginal artery (OM) and severe medina 1,1,1 bifurcation disease involving proximal to middle left anterior descending artery (LAD) and a sizable diagonal branch (Figure 1A, Video 1). With a 6-French extra backup (EBU) 3.5 guide catheter, the LAD was wired with a workhorse guidewire. The diagonal branch had a retroflex takeoff and initial wiring was subintimal (Figure 1B). Parallel wire technique (PWT) with Gaia Next 1 (Asahi Intecc) successfully rewired the true lumen and steered into the distal part of the diagonal branch (Figure 1C, D; Video 2). The LAD was provisionally stented with the diagonal branch protected by jailed balloon technique (JBT) of a 2.0 mm semi-compliant balloon, followed by stenting of the OM (Figure 1E). The final angiographic results were good (Figure 1F, Video 3).
Wiring of an extremely angulated side branch (SB) is challenging. Classic techniques include reverse wire technique (RWT) and the use of specialized microcatheters. Yet the delivery of these systems usually requires prior lesion preparation, running the risk of plaque or carina shift that can further jeopardize the SB. Our case highlighted several strengths of using chronic total occlusion (CTO) wiring techniques in overcoming such complicated anatomy: (1) PWT allows straightening of the SB angulation; (2) the Gaia family of CTO wires possesses excellent steerability permitting active wire control for negotiation despite in extreme angulation,; (3) no lesion preparation is required that may compromise SB access; and (4) only ordinary microcatheters are required, which are widely available and allow easy modification and exchange of guidewires. The Gaia Next 1 wire used in this case has a pre-shaped distal curve. We suggest shaping an additional 30° to 40° secondary curve matched with vessel size to help with SB access.
Affiliations and Disclosures
From the Division of Cardiology, Department of Medicine & Geriatrics, United Christian Hospital, Hong Kong SAR, China
Disclosures: The authors report no financial relationships or conflicts of interest regarding
the content herein.
Address for correspondence: Siu-Fung Wong, MBChB, Department of Medicine & Geriatrics, United Christian Hospital, Hong Kong SAR, China. Email: anthonywaaf1992@hotmail.com


