The Active Closure Registry
© 2025 HMP Global. All Rights Reserved.
Any views and opinions expressed are those of the author(s) and/or participants and do not necessarily reflect the views, policy, or position of Vascular Disease Management or HMP Global, their employees, and affiliates.
VASCULAR DISEASE MANAGEMENT. 2025;22(2):E9-E12
Abstract
Introduction: Radial access improves procedural safety, but less progress has been made in enhancing the safety of nonradial access. Objective: To describe techniques designed to minimize complications associated with nonradial access. Methods: A total of 286 consecutive nonradial cases were analyzed. Access was achieved using ultrasound guidance. During closure, ultrasound was utilized to visualize the intraluminal anchor of the closure device as it advanced to the arteriotomy site before deployment. When the intraluminal anchor became entangled, real-time ultrasound guidance was used to manipulate and reposition it appropriately. Collected data included the incidence of bleeding requiring transfusion, death, limb loss, bailout procedures, pseudoaneurysm formation, and device failure. Additionally, data were collected on vessels with more than 40% stenosis in the deployment tract. Results: Of the 286 cases, 181 were men (63.3%) and 105 were women (36.7%). A total of 199 (69.6%) were peripheral interventions, 63 (22.0%) were percutaneous coronary interventions, and 24 (8.4%) diagnostic procedures. Access was obtained via common femoral retrograde in 266 (93.0%) cases, antegrade in 17 cases, and brachial in 3 cases. A total of 262 cases (91.6%) involved full anticoagulation, with patients discharged on dual antiplatelet therapy. In 33 (11.5%) limbs, the deployment tract had more than 40% stenosis, of which 16 (48.5%) required additional manipulation for safe closure. Additional manipulation was also required in 14 (5.5%) cases involving arteries with milder disease. Device failure occurred in 2 cases (0.7%). There were no deaths or bailout procedures. One patient (0.35%) experienced a late bleed requiring transfusion, and 3 (1.05%) pseudoaneurysms required treatment. Conclusion: Active closure is a safe technique that can be used across a wide variety of disease states. It requires no additional equipment and provides interventionalists with increased confidence in ensuring the arteriotomy will remain closed.
Introduction
The adoption of radial access has been a significant advancement for proceduralists. Its low complication rates and simplicity of closure have made it the preferred access route for many patients and cardiologists. However, radial access is not always available or the most optimal choice. Alternative access, most commonly via the common femoral artery (CFA) but occasionally through the brachial, popliteal, or axillary arteries, may make the procedure easier and be more appropriate in certain circumstances. Many proceduralists express great concern regarding nonradial alternative access due to the increased risk of bleeding and access-site complications. Limited efforts have been made to optimize the safety of alternative access. Over the past 15 years, we have developed techniques to optimize the safety of nonradial access, culminating in the Active Closure Registry.
The first step in successful access and closure is, as always, the history and physical examination. Does the patient have a history of peripheral vascular disease, vascular surgeries, complications from previous accesses, active infections, or lack of pulses that would make the clinician consider one femoral over the other or a less commonly used access site such as the brachial, pedal, popliteal, or axillary artery?
Clinicians were traditionally taught to use anatomic landmarks, x-ray, guidance, or the point of maximal impulse to maximize access into the CFA. However, modern ultrasound-guided access, especially using long access views, has rendered these techniques unnecessary. All nonvisualized femoral access techniques suffer from the same assumption—that the CFA is of average length and free of significant atherosclerosis. Ultrasound-guided access allows the operator to place the puncture in the most optimal location, minimizing the risk of intraprocedural and postprocedural complications. The puncture should be above significant atherosclerosis but low enough to avoid the risk of retroperitoneal bleeding. While short-axis ultrasound is highly effective for targeting the artery, it is less effective at confirming a precise location within the artery, thus increasing the risk of a high puncture.1 The FAUST trial demonstrated a 2% improvement in vascular complication rates with ultrasound-guided access.1 By incorporating long-axis ultrasound guidance, we aim to achieve even better outcomes by avoiding dangerous atherosclerotic plaques and ensuring puncture placement in the CFA over the femoral head (Figure 1).
Once the most optimal access has been achieved and the procedure performed, safe closure of the arteriotomy is the final task before the patient leaves the table. In many facilities, this task is delegated to staff, who either perform manual closure or place the closure device blindly. However, I would argue that closure is as important as the initial puncture, and its safe completion the responsibility of the proceduralist. Many studies have documented the risks of CFA access complications and their impact on outcomes, especially in patients who are anticoagulated.2,3 In a 2022 study by Kreutz et al, retroperitoneal bleeding, transfusions, and vascular site complications after percutaneous coronary intervention (PCI) were all statistically higher with manual compression than with anchor-based vascular closure devices (VCDs).4
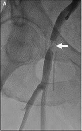
VCDs still have significant failure rates. There are 3 main mechanisms by which failure occurs: 1) the anchor of the VCD catches on intra-arterial plaque, pushing the pledget through the arteriotomy into the vessel; 2) the anchor catches on the back wall, pulling that wall or plaque to the front and sealing the vessel; and 3) the anchor is pulled through or never placed into the vessel, resulting in deployment external to the arteriotomy. By directly visualizing the closure process, the goal is to minimize these 3 mechanisms of failure, thus improving the safety of nonradial access while also allowing for recognition of closure failure and their mechanisms, enabling intervention on the table before complications become more significant (Figure 2).
Methods
This was a single-center, single-operator registry of all nonradial and pedal access cases performed from June 2022 to July 2024. The patient population was predominantly outpatient, performed at 3 community hospitals and 1 office-based lab. All patients received heparin (3000 units) for diagnostic cases and full anticoagulation with a target activated clotting time (ACT) of 250 to 300 seconds during interventions, with P2Y12 inhibition prior or immediately after the procedure. Glycoprotein (GP) IIb/IIIa inhibitors were rarely used.
Ultrasound-guided access was utilized in all cases with a micropuncture sheath. Both long- and short-axis ultrasound views were employed, depending on which was most advantageous. The goal was to puncture the distal and middle third of the CFA, ensuring placement proximal to any plaques that would complicate closure while still maintaining access over the femoral head. Routine preclosure angiography was not performed.
During closure, the site was briefly re-prepped with ChloraPrep (BD). Real-time ultrasound was utilized in all cases to visualize the anchor as it advanced through the artery to the arteriotomy. When the anchor became entangled, it was advanced further, and the angle or plane of removal was adjusted to facilitate safe retraction to the arteriotomy. In all cases, the device anchor was left in an unlocked state to allow for additional maneuvering as necessary. Once the device was deployed, the site was again briefly evaluated with ultrasound to ensure arteriotomy closure.
Patients were placed on bed rest postprocedure, with standard protocols requiring 3 to 4 hours, depending on institutional policies, before discharge or ambulation. Follow-up at 1 to 2 weeks was typical, with additional evaluations or treatments provided as needed for patients exhibiting complications.
Results
In total, 286 cases were performed: 181 men (63.3%) and 105 women (36.7%). There were 199 (69.6%) peripheral interventions, which included 14 endovascular aneurysm repair limbs (Perclose), 2 Impella (Abiomed) procedures, and one 10F aortic valvuloplasty procedure. Additionally, there were 63 (22%) PCIs and 24 (8.4%) diagnostic angiograms (Table 1).
Table 1. Demographics and procedural specifics
| Men/women | 181/105 (63.3%/36.7%) |
| Actively closed/all arteries | 285/285 |
| Fully anticoagulated (activated clotting time >250) | 262 (91.6%) |
| Peripheral | 191 (69.6%) |
| Percutaneous coronary intervention | 63 (22.0%) |
| Large bore (>6F) | 26 (9.0%) |
| Collagen-based vascular closure device | 270 (95.0%) |
| Suture mediated | 15 (5.0%) |
| Common femoral antegrade | 266 (93.0%) |
| Common femoral retrograde | 16 (6.0%) |
| Brachial | 3 (1.0%) |
| Device failures-manual closure | 2 (<1.0%) |
| >40% disease in deployment tract | 33 (11.6%) |
| >40% disease in deployment tract requiring additional manipulation | 16 (48.5%) |
| Overall vessels requiring additional manipulation for safe closure | 30 (10.5%) |
| Additional manipulation in vessels not initially felt to be high risk for device entanglement | 14 (5.5%) |
Full anticoagulation using heparin was administered in 262 of 286 cases (91.6%), with ACT goals of 250 to 300 seconds. P2Y12 inhibition was typically administered prior to the procedure but occasionally immediately after, with rare use of GP IIb/IIIa inhibitors. One emergency Impella case was closed using a combination of 8F and 6F Angio-Seal (Terumo) devices, counted as a single closure. There were 26 cases (9%) where sheaths larger than 6F were used.
Angio-Seal was utilized in 269 cases (94%), while 15 Perclose devices (all deployed in a preclose fashion, with 2 devices used for access sites of 12F or more) and 1 Vascade (Haemonetics) device were used. Seventeen (6%) antegrade closures and 3 (1%) brachial closures were performed, all using Angio-Seal. Manual closure was used in 2 cases: 1 for a 5F access site within a stent, where closure was deemed unnecessary, and another due to inability to advance the VCD into the arteriotomy.
Complications
One clinical bleeding event required transfusion (0.34%), and there were no retroperitoneal bleeds (Table 2). Three pseudoaneurysms (1.04%) occurred—2 in peripheral interventions 1 in a PCI—and were treated with injection or compression. There were no instances of limb loss or additional vascular procedures due to closure complications. No complications occurred in antegrade or brachial closure cases. Additionally, there were no complications in the large-bore cases. There were no deaths and no infections.
Table 2. Complications
| Death | 0 |
| Limb loss/rescue procedure/infection/clinical arteriovenous fistula | 0 |
| Pseudoaneurysm | 3 (1.0%) |
| Bleeding event requiring transfusion (not retroperitoneal) | 1 (0.3%) |
Additional Manipulations and High-Risk Closure Cases
A total of 30 cases (10%) required additional device manipulation: 22 peripheral (interventions (73%), 5 PCI cases (17%), and 3 diagnostic cases (10%). There were no additional complications in these cases.
In 33 (11.5%) cases, plaques >40% were present in the deployment tract, which were classified as higher-risk closure cases in the registry. Among these, 27 (82%) were peripheral cases, 6 were PCI cases, and 1 involved a sheath >6F. All were closed using Angio-Seal.
Of these 33 high-risk cases, 16 (48.5%) required additional manipulation of the device to achieve successful arteriotomy closure: 13 peripheral cases (82%), 3 PCI cases, and 1 sheath >6F case. Additionally, 14 extra manipulation cases were necessary due to anchor entanglement in arteries that were not previously identified as high risk on ultrasound, showing that the risk of entanglement cannot always be predicted.
Discussion
VCDs have improved patient comfort, satisfaction, and time to ambulation; however, they are associated with small risks of vascular and thrombotic complications. Limited efforts have been made in this area to minimize these risks and improve the safety and precision of VCD deployment.
The Active Closure Registry was used in a complex, largely fully anticoagulated patient population and demonstrated an excellent safety profile, with only 1 bleeding event and no severe vascular complications aside from 3 easily sealed pseudoaneurysms. The registry was applied across a variety of clinical scenarios and vascular beds, with favorable outcomes.
Conclusion
Further research is needed to minimize risk and enable proceduralists to choose the most optimal access site for each case, rather than defaulting to the one perceived to have the least risk. With continued advancements, it is possible to make all access sites equally low risk. n
Affiliations and Disclosures
Frank J. Arena, MD, FACC, FSCAI, is from the Louisiana Heart Center in Covington, Louisiana.
The author reports no financial relationships or conflicts of interest regarding the content herein.
Manuscript accepted January 8, 2025.
Address for Correspondence: Frank J. Arena, MD, Louisiana Heart Center, 39 Starbrush Circle, Covington, LA 70433. Email: farena4@att.net
REFERENCES
1. Seto AH, Abu-Fadel MS, Sparling JM, et al. Real-time ultrasound guidance facilitates femoral arterial access and reduces vascular complications: FAUST (Femoral Arterial Access With Ultrasound Trial). JACC Cardiovasc Interv. 2010;3(7):751-758. doi:10.1016/j.jcin.2010.04.015
2. Doyle BJ, Ting HH, Bell MR, et al. Major femoral bleeding complications after percutaneous coronary intervention: incidence, predictors, and impact on long-term survival among 17,901 patients treated at the Mayo Clinic from 1994 to 2005. JACC Cardiovasc Interv. 2008;1(2):202-209. doi:10.1016/j.jcin.2007.12.006
3. Romaguera R, Wakabayashi K, Laynez-Carnicero A, et al. Association between bleeding severity and long-term mortality in patients experiencing vascular complications after percutaneous coronary intervention. Am J Cardiol. 2012;109(1):75-81. doi:10.1016/j.amjcard.2011.08.007
4. Kreutz RP, Phookan S, Bahrami H, et al. Femoral artery closure devices vs manual compression during cardiac catheterization and percutaneous coronary intervention. J Soc Cardiovasc Angiogr Interv. 2022;1(5):100370. doi:10.1016/j.jscai.2022.100370


