Expanding the Role of Interventional Cardiology: Covered Stent Rescue of Carotid Blowout Syndrome Secondary to Nasopharyngeal Carcinoma
Video Supplement to "Expanding the Role of Interventional Cardiology: Covered Stent Rescue of Carotid Blowout Syndrome Secondary to Nasopharyngeal Carcinoma" (Clinical Image).
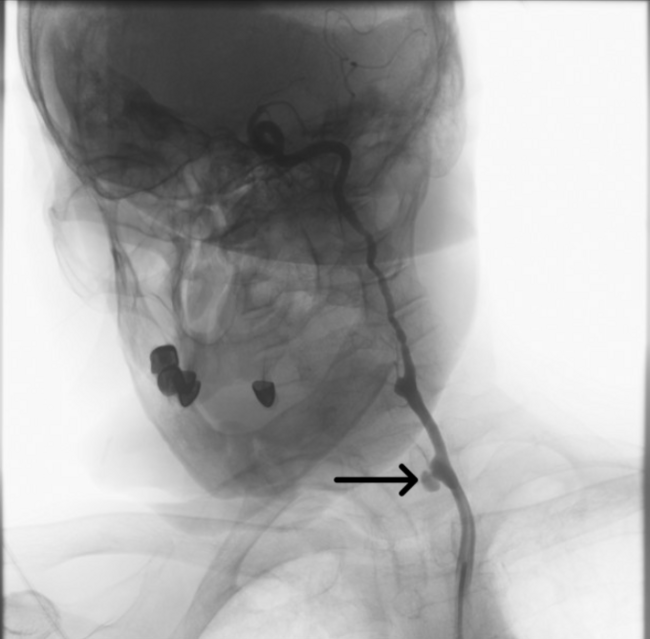
Video 1. Active contrast extravasation from the left ınternal carotid artery. Digital subtraction angiography demonstrated active contrast extravasation originating from the distal segment of the left internal carotid artery, consistent with carotid blowout syndrome. The bleeding point was clearly visualized with pooling of contrast adjacent to the tumor-invaded arterial wall.
Video 2. Wire crossing and selective catheterization of the ruptured segment. A 0.014-inch guidewire was advanced into the bleeding internal carotid artery segment, achieving stable distal access. Selective catheterization enabled precise delivery of the covered stent system despite vessel fragility and ongoing extravasation.
Video 3. Covered stent deployment and ınitial stent slippage. A covered stent was deployed, during which transient proximal slippage occured beacause of a limited landing zone and friable tumoral tissue. Despite this, full expansion was ultimately achieved with immediate reduction of contrast extravasation.
© 2026 HMP Global. All Rights Reserved.
Any views and opinions expressed are those of the author(s) and/or participants and do not necessarily reflect the views, policy, or position of the Journal of Invasive Cardiology or HMP Global, their employees, and affiliates.


