Skip to main content

Volume 33 - Issue 10 - October 2025

Featured Article

Resistant Hypertension
10/03/2025
Behnam N. Tehrani, MD, FSCAI
"The signal has been important and clinically meaningful," says Behnam Tehrani, MD. "At the 90-day visit, we have seen a median blood pressure reduction of over 30 mmHg systolic and 10 mmHg diastolic, with a median reduction of 1.3...
"The signal has been important and clinically meaningful," says Behnam Tehrani, MD. "At the 90-day visit, we have seen a median blood pressure reduction of over 30 mmHg systolic and 10 mmHg diastolic, with a median reduction of 1.3...
"The signal has been important...
10/03/2025
Cath Lab Digest
Clinical Editor's Corner
10/03/2025
Morton J. Kern, MD, MSCAI, FACC, FAHA; Arnold H. Seto, MD, MPA, CCDS, FACC, FSCAI; Michael Ragosta, MD; Mir Basir, DO
The ACT should be in therapeutic range before disrupting a coronary artery. The rule is no guidewire insertion until ACT is in therapeutic range.
The ACT should be in therapeutic range before disrupting a coronary artery. The rule is no guidewire insertion until ACT is in therapeutic range.
The ACT should be in therapeutic...
10/03/2025
Cath Lab Digest
Case Series
10/03/2025
Arnav Kumar Singla, MD; Cody Uhlich, MD; Namrata Kadambi, MD; Shannon Li, MD; Stuart Chen, MD; Fareed M. Collado, MD
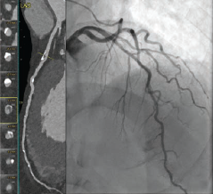
Coronary artery fistulas (CAF) are rare anomalies with variable presentations and complications including congestive heart failure, myocardial infarction, and arrhythmia depending on anatomy. Congenital etiologies account for the majority of...
Coronary artery fistulas (CAF) are rare anomalies with variable presentations and complications including congestive heart failure, myocardial infarction, and arrhythmia depending on anatomy. Congenital etiologies account for the majority of...
Coronary artery fistulas (CAF)...
10/03/2025
Cath Lab Digest
Device Access & Coverage
10/02/2025
Mehdi H. Shishehbor, DO, MPH, PhD; Ashkan Yahyavi, MD
The authors detail the challenging FDA approval and CMS coverage pathways for new medical devices and technologies, pinpoint key regulatory challenges, and offer targeted strategies to streamline adoption.
The authors detail the challenging FDA approval and CMS coverage pathways for new medical devices and technologies, pinpoint key regulatory challenges, and offer targeted strategies to streamline adoption.
The authors detail the...
10/02/2025
Cath Lab Digest
Quality Improvement
10/02/2025
Sabina Kumar, DO; Devraj Sukul, MD; Ryan D. Madder, MD, FACC; Milan Seth, BS, MS; Jay Mohan, DO; Hitinder S. Gurm, MBBS, MD, FSCAI; Eric Cantey, MD; Marc Zainea, MD
Following the implementation of the intracoronary imaging (ICI) quality improvement initiative by the Blue Cross Blue Shield of Michigan Cardiovascular Consortium (BMC2), ICI-guided PCI increased significantly, reaching 44% by 2023.(2)
Following the implementation of the intracoronary imaging (ICI) quality improvement initiative by the Blue Cross Blue Shield of Michigan Cardiovascular Consortium (BMC2), ICI-guided PCI increased significantly, reaching 44% by 2023.(2)
Following the implementation of...
10/02/2025
Cath Lab Digest
Laser atherectomy
10/02/2025
Giancarla Scalone, MD, PhD; Luca Di Vito, MD, PhD; Alessandro Aimi, MD; Eliana Carapellucci; Luca Mariani, MD, PhD; Anita Merani; Francesco Orazi; Simona Silenzi, MD; Pierfrancesco Grossi, MD
The authors' retrospective, real-world data suggest that ELCA is an effective and safe option for treating severely calcified de novo coronary lesions, even in elderly patients with multiple cardiovascular risk factors and predominant ACS...
The authors' retrospective, real-world data suggest that ELCA is an effective and safe option for treating severely calcified de novo coronary lesions, even in elderly patients with multiple cardiovascular risk factors and predominant ACS...
The authors' retrospective,...
10/02/2025
Cath Lab Digest
Study Commentary
10/02/2025
Akiva Rosenzveig, MD; Robert S. Dieter, MD, RVT; Ayesha Nawaz; Merlin Nikita, MD; Thomas Callahan, MD; Aravinda Nanjundappa MBBS, MD
In this commentary, the authors emphasize that the restrospective, single-center study by Scalone et al provides robust evidence for ELCA’s role in managing severely calcified coronary lesions, offering long-term durability and a favorable...
In this commentary, the authors emphasize that the restrospective, single-center study by Scalone et al provides robust evidence for ELCA’s role in managing severely calcified coronary lesions, offering long-term durability and a favorable...
In this commentary, the authors...
10/02/2025
Cath Lab Digest
Cath Lab Management
10/02/2025
Brad Serwer, MD; Amy J. Newell; Mike Church
Establishing emergency cardiac services with a cardiac cath lab in geographically underserved areas can dramatically reduce morbidity and mortality, improve quality of life, and elevate the standard of care.
Establishing emergency cardiac services with a cardiac cath lab in geographically underserved areas can dramatically reduce morbidity and mortality, improve quality of life, and elevate the standard of care.
Establishing emergency cardiac...
10/02/2025
Cath Lab Digest
Imaging Corner
10/02/2025
Percutaneous coronary intervention (PCI) with metallic stents is the mainstay of revascularization for patients who present with angina where coronary artery bypass surgery is not indicated. Partial volume artifacts and blooming present...
Percutaneous coronary intervention (PCI) with metallic stents is the mainstay of revascularization for patients who present with angina where coronary artery bypass surgery is not indicated. Partial volume artifacts and blooming present...
Percutaneous coronary...
10/02/2025
Cath Lab Digest