Skip to main content

Volume 37 - Issue 8 - August, 2025

Original Contribution
03/06/2025
Atul D. Bali, MD; Sandrine Lebrun, MD; Abduljabar Adi, MD; Varinder Singh, MD; Michael C. Kim, MD; Arber Kodra, MD
This study aimed to evaluate the utilization and clinical outcomes of coronary intravascular brachytherapy as a treatment modality for multilayer in-stent restenosis.
This study aimed to evaluate the utilization and clinical outcomes of coronary intravascular brachytherapy as a treatment modality for multilayer in-stent restenosis.
This study aimed to evaluate the...
03/06/2025
Journal of Invasive Cardiology
Brief Communication
03/06/2025
Neil Zhang, MD, MS; Kyla Sherwood, MD, MS; Brian Claggett, PhD; Sanket Dhruva, MD, MHS; Ashishdeep Sandhu, MLS(ASCP)CM; Susan Cheng, MD, MSc, MPH; Joseph Ebinger, MD, MS
Many prior studies suggest that contrast-associated acute kidney injury after percutaneous coronary intervention rates are higher in women. The authors sought to clarify the presence of and factors contributing to possible sex differences.
Many prior studies suggest that contrast-associated acute kidney injury after percutaneous coronary intervention rates are higher in women. The authors sought to clarify the presence of and factors contributing to possible sex differences.
Many prior studies suggest that...
03/06/2025
Journal of Invasive Cardiology
Clinical Images
03/03/2025
Jason H. Anderson, MD; Gareth J. Morgan, MD; Jenny E. Zablah, MD; Allison K. Cabalka, MD
This study demonstrates that the Alterra and SAPIEN 3 system can be over-expanded, enabling valve sizing based on achieved dilation rather than pre-determined diameters.
This study demonstrates that the Alterra and SAPIEN 3 system can be over-expanded, enabling valve sizing based on achieved dilation rather than pre-determined diameters.
This study demonstrates that the...
03/03/2025
Journal of Invasive Cardiology
Clinical Images
02/28/2025
Yasuhiro Tanabe, MD, PhD; Taturo Shouji, MD; Ryutaro Oda, MD; Daisuke Miyahara, MD; Yukio Sato, MD, PhD; Taishi Okuno, MD; Shingo Kuwata, MD, PhD; Masaki Izumo, MD, PhD; Yoshihiro J. Akashi, MD, PhD
A 68-year-old woman with cryptogenic stroke underwent transcatheter patent foramen ovale closure with a 25-mm GORE CARDIOFORM Septal Occluder device.
A 68-year-old woman with cryptogenic stroke underwent transcatheter patent foramen ovale closure with a 25-mm GORE CARDIOFORM Septal Occluder device.
A 68-year-old woman with...
02/28/2025
Journal of Invasive Cardiology
Clinical Images
02/28/2025
Simon Cheung-Chi Lam, MBBS; Michael Shu-Yue Sze, MBBS; Chun-Ka Wong, MBBS; Kwong-yue Eric Chan, MBBS; Ka-chun Un, MBBS, MRes; On-Yat Wong, MBBS; Ming Lau, MBBS; Ho-on Alston Conrad Chiu, MBBS; Daniel Tai-Leung Chan, MBBS
The authors propose the Unilateral Folding of the anterior mitral valve leaflet (UNIFOLD) as a novel mechanism to prevent left ventricular outflow tract obstruction.
The authors propose the Unilateral Folding of the anterior mitral valve leaflet (UNIFOLD) as a novel mechanism to prevent left ventricular outflow tract obstruction.
The authors propose the...
02/28/2025
Journal of Invasive Cardiology
Clinical Images
02/21/2025
Leo Kar Lok Lai, MD; Hussayn Alrayes, DO; Georgi Fram, MD; James C. Lee, MD; Bryan Zweig, MD; Brian P. O'Neill, MD; Tiberio M. Frisoli, MD; Pedro Engel Gonzalez, MD; William W. O'Neill, MD; Pedro A. Villablanca, MD
The authors demonstrate how to use the PASCAL guide to assist in iatrogenic atrial septal defect closure.
The authors demonstrate how to use the PASCAL guide to assist in iatrogenic atrial septal defect closure.
The authors demonstrate how to...
02/21/2025
Journal of Invasive Cardiology
Clinical Images
02/21/2025
Jie Wang, MD; Ping Hu, MD; Ming Qi, MD; Xiao-Jing Ma, PhD
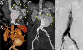
A 72-year-old woman presented with acute onset of abdominal pain accompanied by nausea and vomiting for 10 hours. Computed tomography angiography revealed a ruptured abdominal aortic aneurysm with extensive intraperitoneal hemorrhage.
A 72-year-old woman presented with acute onset of abdominal pain accompanied by nausea and vomiting for 10 hours. Computed tomography angiography revealed a ruptured abdominal aortic aneurysm with extensive intraperitoneal hemorrhage.
A 72-year-old woman presented...
02/21/2025
Journal of Invasive Cardiology
Clinical Images
02/21/2025
Kwong-yue Eric Chan, MBBS; Daniel Tai-Leung Chan, MBBS; Simon Cheung-Chi Lam, MBBS; Michael Shu-Yue Sze, MBBS; Ka-Chun Un, MBBS, MRes(Med); Yui-Ming Lam, MBBS; Ricky Wang-Hei Leung, MBBS; Jamilla Li, MBBS; Helen Wong, MBBS; Harinder Gill, MBBS, MD; Chun-Ka Wong, MBBS
The authors introduce a simplified BATMAN workflow using a VersaCross and a 14-mm balloon for both septum and A2 fenestration, and outline an approach to post-transcatheter mitral valve replacement hemolysis.
The authors introduce a simplified BATMAN workflow using a VersaCross and a 14-mm balloon for both septum and A2 fenestration, and outline an approach to post-transcatheter mitral valve replacement hemolysis.
The authors introduce a...
02/21/2025
Journal of Invasive Cardiology
Original Contribution
02/21/2025
Tullio Palmerini, MD; Francesco Saia, MD, PhD; Antonio Giulio Bruno, MD; Won-Keun Kim, MD; Alessandro Iadanza, MD; Gabriele Ghetti, MD; Ole De Backer, MD; Francesco Burzotta, MD; Nicolas M. Van Mieghem, MD; Elena Nardi, Mstat; Mateusz Orzalkiewicz, MD; Thomas Pilgrim, MD, MSc; Tiziana Claudia Aranzulla, MD, MSc; Max M. Meertens, MD; Nevio Taglieri, MD; Michael Joner, MD; Giulia Nardi, MD; Stefan Toggweiler, MD; Enrico Gallitto, MD; Mauro Gargiulo, MD; Luca Testa, MD; Sergio Berti, MD; Matteo Montorfano, MD; Alessandro Leone, MD; Davide Pacini, MD; Daniel Braun, MD; Fausto Castriota, MD; Marco De Carlo, MD; Marco Barbanti, MD; Pier Pasquale Leone, MD; Georg Nickenig, MD; Tommaso Piva, MD; Azeem Latib, MD; Matteo Vercellino, MD; Pablo Codner, MD; Antonio L. Bartorelli, MD; Chiara Fraccaro, MD; Mohamed Abdel-Wahab, MD; Gregg W. Stone, MD
The authors compared the risk of cerebrovascular events with self-expanding vales vs balloon-expandable valves in patients with or without peripheral artery disease (PAD), stratified by the access route and the complexity of PAD (Hostile...
The authors compared the risk of cerebrovascular events with self-expanding vales vs balloon-expandable valves in patients with or without peripheral artery disease (PAD), stratified by the access route and the complexity of PAD (Hostile...
The authors compared the risk of...
02/21/2025
Journal of Invasive Cardiology
Original Contribution
02/20/2025
Sahib Singh, MD; Aakash Garg, MD; Udaya S. Tantry, PhD; Kevin Bliden, MBA; Paul A. Gurbel, MD; Ajar Kochar, MD, MHS; Michael G. Nanna, MD, MHS; Abdulla A. Damluji, MD, PhD
The authors studied the pooled evidence for the safety and efficacy of this combined approach in severely calcified coronary lesions and evaluate its clinical and procedural outcomes.
The authors studied the pooled evidence for the safety and efficacy of this combined approach in severely calcified coronary lesions and evaluate its clinical and procedural outcomes.
The authors studied the pooled...
02/20/2025
Journal of Invasive Cardiology
Letter to the Editor
02/19/2025
Michaella Alexandrou, MD; Dimitrios Strepkos, MD; Arun Mahtani, MD; Yader Sandoval, MD; Emmanouil S. Brilakis, MD, PhD
The authors explore the potential of AI chatbots in daily clinical practice to enhance productivity for cardiologists.
The authors explore the potential of AI chatbots in daily clinical practice to enhance productivity for cardiologists.
The authors explore the...
02/19/2025
Journal of Invasive Cardiology
Erratum
02/19/2025
This is a correction to the article: Oliveri F, Al Amri I, Montero-Cabezas J, et al. Mitral valve transcatheter edge-to-edge repair with PASCAL vs MitraClip: a systematic review and meta-analysis. J Invasive Cardiol. 2023 Nov;35(11). Epub...
This is a correction to the article: Oliveri F, Al Amri I, Montero-Cabezas J, et al. Mitral valve transcatheter edge-to-edge repair with PASCAL vs MitraClip: a systematic review and meta-analysis. J Invasive Cardiol. 2023 Nov;35(11). Epub...
This is a correction to the...
02/19/2025
Journal of Invasive Cardiology