Skip to main content

Volume 35 - Issue 2 - February, 2023

02/01/2023
February 2023 TOC and Whole Issue PDF
February 2023 TOC and Whole Issue PDF
February 2023 TOC and Whole...
02/01/2023
Journal of Invasive Cardiology
Original Contribution
02/01/2023
Khaldoon Alaswad, MD; Paul Poommipanit, MD, FACC, FSCAI; Wissam A. Jaber, MD; Rhian E. Davies, DO, MD, MS, FACC, FSCAI; William J. Nicholson, MD; Sevket Gorgulu, MD; Stéphane Rinfret, MD, SM; Nidal Abi Rafeh, MD; Jimmy L. Kerrigan, MD; Ahmed M. ElGuindy, MD, MSc, FRCP; Brian K. Jefferson, MD, FACC, FSCAI; Emmanouil S. Brilakis, MD, PhD, FACC, FAHA, FESC, FSCAI; Yader Sandoval, MD; Taral N. Patel, MD; Ioannis Tsiafoutis, MD; Omer Goktekin, MD; Farouc A. Jaffer, MD, PhD; Michalis Koutouzis, MD, PhD; James W. Choi, MD; Judit Karacsonyi, MD, PhD; Basem Elbarouni, MD; Athanasios Rempakos, MD; Bavana V. Rangan, BDS, MPH, MD; Bahadir Simsek, MD; Mitul P. Patel, MD; Spyridon Kostantinis, MD; M. Nicholas Burke, MD; Olga C. Mastrodemos, BA; Jaikirshan J. Khatri, MD; Salman S. Allana, MD
Guidewires and microcatheters are critical to the success of chronic total occlusion (CTO) percutaneous coronary intervention (PCI). We examined equipment utilization in 11,202 CTO-PCIs performed in 10,952 patients at 42 United States (US)...
Guidewires and microcatheters are critical to the success of chronic total occlusion (CTO) percutaneous coronary intervention (PCI). We examined equipment utilization in 11,202 CTO-PCIs performed in 10,952 patients at 42 United States (US)...
Guidewires and microcatheters...
02/01/2023
Journal of Invasive Cardiology
Original Contribution
02/01/2023
Annapoorna S. Kini, MD, MRCP, FACC; Kartik R. Kumar, MD; Samin K. Sharma, MD, FACC, FSCAI; Prashant Dwivedi, MD; Vishal Dhulipala, MD; Anoop N. Koshy, MBBS, PhD; Keisuke Yasumura, MD; Amit Hooda, MD; George D. Dangas, MD, PhD; Raman Sharma, MD
Use of both rotational atherectomy (RA) and intravascular lithotripsy (IVL)—the “RotaTripsy” technique—offers a potentially synergistic calcium-modification strategy that can treat both luminal and abluminal calcification. An upfront...
Use of both rotational atherectomy (RA) and intravascular lithotripsy (IVL)—the “RotaTripsy” technique—offers a potentially synergistic calcium-modification strategy that can treat both luminal and abluminal calcification. An upfront...
Use of both rotational...
02/01/2023
Journal of Invasive Cardiology
Original Contribution
02/01/2023
Faisal Sharif, MD; Omid Forouzan, PhD; Jerson Martina, PhD; Liviu Klein, MD; Jason L. Guichard, MD, PhD
The Cordella pulmonary artery (PA) pressure sensor (Endotronix, Inc) is an investigational, wireless, microelectromechanical system (MEMS) sensor that allows remote monitoring of PA pressures. Understanding the implantation procedure and...
The Cordella pulmonary artery (PA) pressure sensor (Endotronix, Inc) is an investigational, wireless, microelectromechanical system (MEMS) sensor that allows remote monitoring of PA pressures. Understanding the implantation procedure and...
The Cordella pulmonary artery...
02/01/2023
Journal of Invasive Cardiology
Original Contribution
02/01/2023
Ersan Tatli, MD; Ali Buturak, MD; Mehmet Bülent Vatan, MD; Imran Kurt Ömürlü, MD; Alper Erkin, MD
Endovascular treatment of Buerger’s disease is challenging, which usually impedes antegrade revascularization options. We aimed to evaluate the effectiveness of transpedal retrograde approach in patients with Buerger’s disease with ambiguous...
Endovascular treatment of Buerger’s disease is challenging, which usually impedes antegrade revascularization options. We aimed to evaluate the effectiveness of transpedal retrograde approach in patients with Buerger’s disease with ambiguous...
Endovascular treatment of...
02/01/2023
Journal of Invasive Cardiology
Original Contribution
02/01/2023
Denny Wang, BS ; Hamfreth Rahming, MD; Richard K. Chaudhary, MS; Shangyi Liu, MS; Ahmad Mustafa, MD; Bruce Rutkin, MD; Chad Kliger, MS, MD; Gregory Maniatis, MD; Luigi Pirelli, MD; Robert Kalimi, MD; Sean R. Wilson, MD; Varinder Singh, MD; Pey-Jen Yu, MD; Michael S. Kim, MD, FACC, FSCAI; Perwaiz Meraj, MD, MPH; Rajiv Jauhar, MD, FACC, FSCAI; Ruben Kandov, MD; Puneet Gandotra, MD; Arber Kodra, MD; S. Jacob Scheinerman, MD; Craig Basman, MD
The prevalence of coronary artery disease (CAD) in patients undergoing TAVR varies and is associated with increased morbidity and mortality. We evaluated the outcomes of complex and high-risk percutaneous coronary interventions (CHIP-PCIs)...
The prevalence of coronary artery disease (CAD) in patients undergoing TAVR varies and is associated with increased morbidity and mortality. We evaluated the outcomes of complex and high-risk percutaneous coronary interventions (CHIP-PCIs)...
The prevalence of coronary...
02/01/2023
Journal of Invasive Cardiology
Clinical Images
02/01/2023
Charles Ritchie, MD; Nahyr S. Lugo-Fagundo, MD; Peter M. Pollak, MD; Jordan Ray, MD; Abdallah El Sabbagh, MD
An endobronchial alligator forceps was used to biopsy an RA mass under intracardiac echocardiographic guidance.
An endobronchial alligator forceps was used to biopsy an RA mass under intracardiac echocardiographic guidance.
An endobronchial alligator...
02/01/2023
Journal of Invasive Cardiology
Clinical Images
02/01/2023
Antonios Ziakas, MD; Konstantinos C. Theodoropoulos, MD, MSc; Antonios Kouparanis, MD; George Kassimis, MD, PhD
Clinical images demonstrating stent damage during the insertion in the distal cylinder of the Telescope GCE.
Clinical images demonstrating stent damage during the insertion in the distal cylinder of the Telescope GCE.
Clinical images demonstrating...
02/01/2023
Journal of Invasive Cardiology
Clinical Images
02/01/2023
Raúl Moreno-Gómez, MD, PhD; Guillermo Galeote, MD, PhD; Santiago Jimenez-Valero, MD, PhD; Alfonso Jurado-Román, MD, PhD; Ariana Gonzalvez-Garcia, MD
This case represents the first patient with Mitraclip, Amplatzer, and TricValve devices with a profound clinical improvement and long-term follow-up.
This case represents the first patient with Mitraclip, Amplatzer, and TricValve devices with a profound clinical improvement and long-term follow-up.
This case represents the first...
02/01/2023
Journal of Invasive Cardiology
Clinical Images
02/01/2023
Omer Ferudun Akkus, MD; Murat Gok, MD; Furkan Karahan, MD; Suat Canbaz, MD; Kenan Yalta, MD
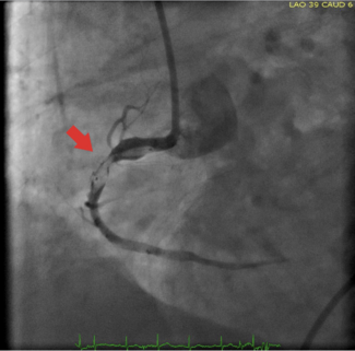
These images illustrate an attempt to pull back the balloon of an implanted proximal stent swiftly (before it was completely deflated) just following unplanned disengagement of the guiding catheter from the right coronary ostium.
These images illustrate an attempt to pull back the balloon of an implanted proximal stent swiftly (before it was completely deflated) just following unplanned disengagement of the guiding catheter from the right coronary ostium.
These images illustrate an...
02/01/2023
Journal of Invasive Cardiology
Clinical Images
02/01/2023
Makoto Hibino, MD, MPH, PhD; Marc Pelletier, MD, MSc; Anene C. Ukaigwe, MD; Cristian R. Baeza, MD; Luis Augusto Palma Dallan, MD, PhD; Sung-Han Yoon, MD
The Cor-Knot surgical tying device is an alternative to hand tying, minimizing operation time, and its increasing use is anticipated for minimally invasive cardiac surgeries or in patients with small surgical anatomy.
The Cor-Knot surgical tying device is an alternative to hand tying, minimizing operation time, and its increasing use is anticipated for minimally invasive cardiac surgeries or in patients with small surgical anatomy.
The Cor-Knot surgical tying...
02/01/2023
Journal of Invasive Cardiology
Clinical Images
02/01/2023
Raúl Moreno-Gómez, MD, PhD; Guillermo Galeote, MD, PhD; Borja Rivero-Santana, MD; Santiago Jimenez-Valero, MD, PhD; Silvia Valbuena, MD; Alfonso Jurado-Román, MD, PhD
This clinical image article describes a fifth left atrial appendage morphology type, which was shown to be effectively closed with current closure devices.
This clinical image article describes a fifth left atrial appendage morphology type, which was shown to be effectively closed with current closure devices.
This clinical image article...
02/01/2023
Journal of Invasive Cardiology
Letter to the Editor
02/01/2023
Tejinder Singh Malhi, MD, DM; Rajesh Vijayvergiya, MD, DM
Drs Rajesh Vijayvergiya and Tejinder Singh Malhi comment on certain points of the Akhar article from the April 2022 issue of the JIC
Drs Rajesh Vijayvergiya and Tejinder Singh Malhi comment on certain points of the Akhar article from the April 2022 issue of the JIC
Drs Rajesh Vijayvergiya and...
02/01/2023
Journal of Invasive Cardiology