Balloon Shaft Fracture: A Nightmare Scenario in the Setting of Percutaneous Coronary Intervention
Ömer Ferudun Akkuş, MD1; Murat Gök, MD1; Furkan Karahan, MD1; Suat Canbaz, MD2; Kenan Yalta, MD1
Keywords: complications, percutaneous coronary intervention, shaft fracture
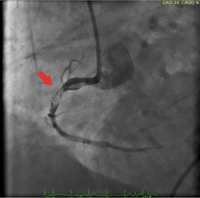
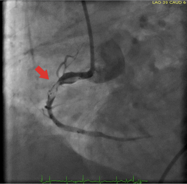
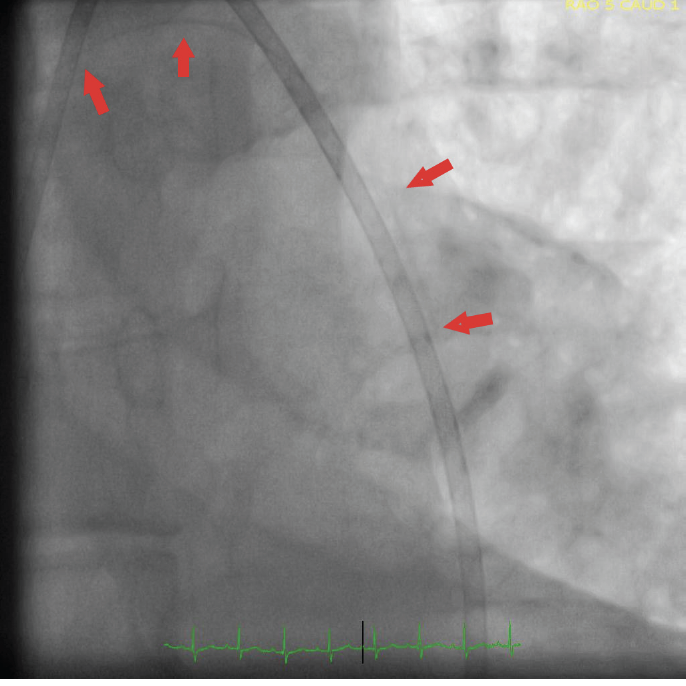
A 75-year-old man was referred to our clinic from another center following his complicated percutaneous coronary intervention (PCI) performed in the setting of an acute coronary syndrome. Angiographic images obtained during PCI demonstrated sequential implantation of 2 drug-eluting stents at the mid (3.0 x 28 mm) and proximal (4.5 x 19 mm) portions of the right coronary artery. However, the images also demonstrated a high-degree underexpansion of the proximal larger stent along with its jailed balloon. It was also reported by the performing interventionalist that he had attempted to pull back the balloon of the implanted proximal stent swiftly (before it was completely deflated) just following unplanned disengagement of the guiding catheter from the right coronary ostium. However, this maneuver resulted in abrupt balloon shaft fracture (outside the guiding catheter) leading to a freely swinging shaft appearance in the descending aorta (Figure 1 and Figure 2). Unfortunately, several attempts to retrieve the swinging fragment of the shaft failed. Moreover, intracoronary snare technique in an effort to grasp the distal portion of the shaft also failed. Finally, the shaft fragment was surgically removed (Figure 3) along with a bypass graft operation for the severely stenotic circumflex artery.
From the 1Department of Cardiology and 2Department of Cardiovascular Surgery, Trakya University Faculty of Medicine, Edirne, Turkey.
Disclosure: The authors have completed and returned the ICMJE Form for Disclosure of Potential Conflicts of Interest. The authors report no conflicts of interest regarding the content herein.
The authors report that patient consent was provided for publication of the images used herein.
Manuscript accepted June 6, 2022.
Address for correspondence: Dr Ömer Ferudun Akkuş, Trakya University Faculty of Medicine, Department of Cardiology, Balkan Campus, Central, Edirne, Turkey. Email: akkusferudun@gmail.com


