Right Atrial Mass Biopsy Using Endobronchial Forceps
Keywords: core needle biopsy, lymphoma, right atrial mass
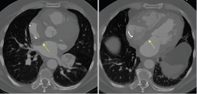
A 72-year-old male with past medical history of complete heart block status post pacemaker in 2019, renal cell carcinoma, and thyroid cancer presented with a 4-cm right atrial (RA) mass incidentally found on routine transthoracic echocardiography done to assess cardiac function after long-term immunotherapy. Cardiovascular computed tomography angiogram revealed an infiltrative mildly enhancing soft-tissue density along the right and left atrioventricular grooves, anterior interventricular groove, interatrial septum, free wall of the right ventricle, and RA (Figure 1).
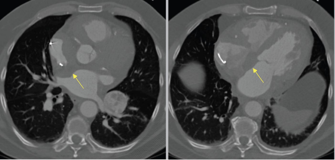
Transesophageal echocardiography at the time of the cardiac biopsy revealed a heterogeneous mass extending along the interatrial septum into the superior vena cava, which appeared partially occluded, as well as probable involvement of the aortic root. A Jawz endomyocardial biopsy forceps bioptome (EMB) (Argon Medical Devices) inserted through an 8.5-Fr Direx steerable sheath (Boston Scientific) was introduced into the RA (Figure 2). The bioptome was steered toward the RA mass at the inferior limbus of the fossa ovalis and several biopsies were obtained. However, the size of the samples was deemed to be insufficient for frozen section analysis. The EMB was then exchanged to a liver access Core needle (Cook Medical) through the steerable sheath and oriented toward the mass in the inferior limbus of the fossa ovalis where several biopsies were obtained. However, pathologic review of the core needle biopsy samples was inconclusive. Then, an endobronchial alligator forceps was used to biopsy the RA mass under intracardiac echocardiographic guidance, with no complications. Pathology was consistent with lymphoid tissue seen in lymphoma (Figure 3).
References
1. Reddy G, Maor E, Bois MC, et al. Percutaneous transcatheter biopsy for intracardiac mass diagnosis. EuroIntervention. 2017;13(12):e1436-e1443. doi:10.4244/EIJ-D-17-00707
2. Ooms JF, Hirsch A, Thüsen JHVd, Michels M, Mieghem NMV. Intracardiac echocardiography-guided biopsy in the work-up of an unexplained cardiac mass. JACC Cardiovasc Interv. 2021;14(21):e297-e299. Epub 2021 Oct 13. doi:10.1016/j.jcin.2021.08.009
From the Department of Internal Medicine, Department of Cardiovascular Diseases, Department of Radiology, and Department of Pathology, Mayo Clinic, Jacksonville, Florida.
Disclosure: The authors have completed and returned the ICMJE Form for Disclosure of Potential Conflicts of Interest. The authors report no conflicts of interest regarding the content herein.
The authors report that patient consent was provided for publication of the images used herein.
Manuscript accepted June 6, 2022.
Address for correspondence: Abdallah El Sabbagh, MD, Mayo Clinic, 4500 San Pablo Rd, Jacksonville, FL 32224. Email: Elsabbagh.abdallah@mayo.edu


