“Water Gun:” A New Morphology of Left Atrial Appendage
Keywords: atrial fibrillation, left atrial appendage, percutaneous closure
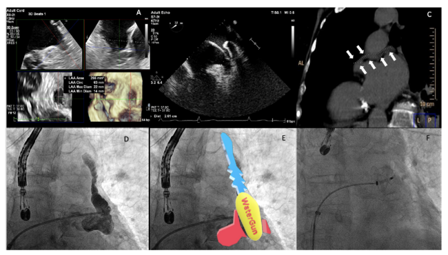
An 86-year-old patient with non-valvular atrial fibrillation was referred to our institution to undergo a left atrial appendage (LAA) closure for recurrent gastrointestinal bleeding on direct oral anticoagulants.
The transesophageal echocardiogram (TEE) performed the previous day evaluated the morphology and dimensions of the LAA and ruled out any thrombus (Figure 1A). During the procedure, a pigtail catheter was inserted into the LAA, observing an unusual image. For this reason, a JR4 catheter was used to perform a selective angiography (Figure 1B; Video Series) and an exploratory crossing attempt was performed with a Radiofocus guidewire (Terumo), confirming a cul-de-sac without an anomalous connection with any drainage in other vessel or cavity. After verifying this finding in a computed tomography performed 4 years earlier (Figure 1C), we concluded that it was a non-previously described morphology of the LAA, which we have termed “water-gun” morphology (Figures 1D, 1E). The LAA closure was performed successfully with a 25-mm Amulet device (Abbott Vascular) (Figure 1F; Video Series). At 3-month follow-up, there were no complications.
The study of the morphology of the LAA is crucial for an adequate implantation of an LAA closure device. Four morphologies have been described based on the shape of the central and secondary lobes. To the best of our knowledge, this is the first description of a fifth type, the “water-gun” morphology, which was shown to be effectively closed with current closure devices.
From the Cardiology Department. La Paz University Hospital, Madrid, Spain.
Disclosure: The authors have completed and returned the ICMJE Form for Disclosure of Potential Conflicts of Interest. The authors report no conflicts of interest regarding the content herein.
The authors report that patient consent was provided for publication of the images used herein.
Manuscript accepted June 1, 2022.
Address for correspondence: Borja Rivero-Santana, MD, La Paz University Hospital, Paseo de la Castellana 261, 28046, Madrid, Spain. Email: borja.riversa@gmail.com


