Three Devices on One
Keywords: edge-to-edge mitral valve repair, heart failure, iatrogenic atrial septal defect, transcatheter bicaval valve
An 80-year-old female patient with atrial fibrillation and chronic kidney disease was admitted for heart failure. Severe functional mitral regurgitation (MR) and torrential tricuspid regurgitation (TR) (Figures 1A, 2A; Video Series) were detected on the echocardiogram.
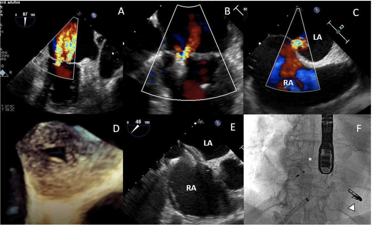
She was rejected for a high-risk surgery and was referred for MitraClip repair. One XTR clip was implanted between A3-P3 leaflets with mild residual MR (Figure 1B; Video Series). After the procedure, the patient suffered abrupt oxygen desaturation. Echocardiogram revealed a right-to-left shunt through an iatrogenic atrial septal defect (Figures 1C, 1D). It was successfully closed with a 12-mm Amplatzer septal occluder (Figures 1E, 1F; Video Series) showing an immediate hemodynamic improvement.
Six months later, the patient continued with right heart failure. Right heart catheterization revealed a mean pulmonary artery pressure of 34 mm Hg and a right atrial pressure of 21 mm Hg (V-wave of 30). An interventional heterotopic tricuspid valve implantation was planned based on computed tomography (Figures 2B, 2C). Two TricValve self-expanding biological valves (P+F) were successfully implanted percutaneously (Figures 2D, 2E; Video Series).
At 24-month follow-up exam, the patient showed New York Heart Association class II, improvement in the 6-minute walk test (248 to 370 meters) and reduction in TR (Figure 2F; Video Series).
To the best of our knowledge, this case represents the first patient with Mitraclip, Amplatzer, and TricValve devices (Figures 3A, 3B) with a profound clinical improvement and a long-term follow-up, and illustrates how the treatment of high-risk patients with polyvalvular disease has changed in the last few years.
From the 1Interventional Cardiology Unit, University General Hospital of Ciudad Real, Spain; and 2Interventional Cardiology Unit, La Paz University Hospital, Madrid, Spain.
Disclosure: The authors have completed and returned the ICMJE Form for Disclosure of Potential Conflicts of Interest. The authors report no conflicts of interest regarding the content herein.
The authors report that patient consent was provided for publication of the images used herein.
Manuscript accepted June 1, 2022.
Address for correspondence: Ariana Gonzálvez-García, MD, Calle Obispo Rafael Torija, s/n, 13005 - Ciudad Real (Spain). Email: arianagonzalvez@gmail.com


