Skip to main content

Trauma Resource Center

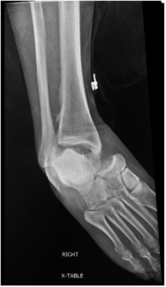
Achilles Tendon Rupture
05/01/2026
Kasra Behfar, DPM, MS, DABMSP; Linda Oh, DPM; Kim L. Felder, DPM, FACPM, FAPWCA, FASPS
This case challenges conventional thinking, demonstrating successful nonoperative management despite a large tendon gap, neuropathy, and poor adherence to treatment recommendations. Four-year follow-up findings highlight the potential for...
This case challenges conventional thinking, demonstrating successful nonoperative management despite a large tendon gap, neuropathy, and poor adherence to treatment recommendations. Four-year follow-up findings highlight the potential for...
This case challenges...
05/01/2026
Podiatry Today
Figure 1. AP radiographs of the right foot fifth metatarsal. A: 1 day post-injury. B: 1 month. C: 4 months. D: 11 months.
Case Study
11/21/2025
Matthew Gorski, DPM; Christian Frey, DPM
This case demonstrates that isolated fifth metatarsal shaft fractures in healthy, active adults can potentially be managed conservatively with excellent outcomes.
This case demonstrates that isolated fifth metatarsal shaft fractures in healthy, active adults can potentially be managed conservatively with excellent outcomes.
This case demonstrates that...
11/21/2025
Podiatry Today
5th met fx
Quiz
10/19/2025
Consider these quick questions to check in on your learning.
Consider these quick questions to check in on your learning.
Consider these quick questions...
10/19/2025
Podiatry Today
Feature
05/01/2025
Nevin Joseph, DPM; Ian Barron, DPM, FACFAS; Timothy Holmes, DPM, FACFAS
Patients are living longer, and meaningful management of ankle fractures in older patients warrants closer examination. Here, these authors present important insights on these injuries, including what the current literature reveals.
Patients are living longer, and meaningful management of ankle fractures in older patients warrants closer examination. Here, these authors present important insights on these injuries, including what the current literature reveals.
Patients are living longer, and...
05/01/2025
Podiatry Today
Feature
08/01/2024
Timothy P. Cheung, DPM, PhD, CPT, AACFAS; William Stallings, DPM; Michael I. Gazes, DPM, MPH, FACFAS, FACPM
Puncture wounds can develop tetanus, which can threaten life and limb if the patient does not receive prompt treatment. These authors discuss infection risk factors, evaluating puncture wounds, effective lab tests, and appropriate treatments.
Puncture wounds can develop tetanus, which can threaten life and limb if the patient does not receive prompt treatment. These authors discuss infection risk factors, evaluating puncture wounds, effective lab tests, and appropriate treatments.
Puncture wounds can develop...
08/01/2024
Podiatry Today
Feature
06/01/2024
Ian Barron, DPM, FACFAS
Pantalar dislocations are very rare but can be debilitating and difficult to treat. These authors delve into the background, anatomy, epidemiology, clinical presentation, as well as conservative versus surgical treatment options for pantalar...
Pantalar dislocations are very rare but can be debilitating and difficult to treat. These authors delve into the background, anatomy, epidemiology, clinical presentation, as well as conservative versus surgical treatment options for pantalar...
Pantalar dislocations are very...
06/01/2024
Podiatry Today
fracture
Blog
04/26/2024
What did 10 years of data reveal about trimalleolar fracture trends?
What did 10 years of data reveal about trimalleolar fracture trends?
What did 10 years of data reveal...
04/26/2024
Podiatry Today
Fallat
Videos
04/04/2024

Featuring Lawrence Fallat, DPM, FACFAS

Featuring Lawrence Fallat, DPM, FACFA...
This author discusses decision-making regarding the syndesmosis, fixation choice, the best pathway for a posterior malleolar fragment, and fixation for the medial malleolus.
This author discusses decision-making regarding the syndesmosis, fixation choice, the best pathway for a posterior malleolar fragment, and fixation for the medial malleolus.
This author discusses...
04/04/2024
Podiatry Today
Fusion
Blog
01/26/2024
Learn more from research on first metatarsophalangeal joint fusion in a younger population.
Learn more from research on first metatarsophalangeal joint fusion in a younger population.
Learn more from research on...
01/26/2024
Podiatry Today
Sadeh
Videos
01/18/2024
Omer Sadeh, MD
Dr. Sadeh shares an interesting case from a poster at SAWC Fall.
Dr. Sadeh shares an interesting case from a poster at SAWC Fall.
Dr. Sadeh shares an interesting...
01/18/2024
Podiatry Today