Skip to main content
authors
Conference Coverage
10/08/2025
Brian McCurdy
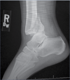
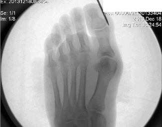
A case study presented at the 2025 APMA National spotlights Mazabraud Syndrome (MzS)—a rare, benign condition defined by the coexistence of polyostotic fibrous dysplasia and intramuscular myxomas—which is commonly misdiagnosed due to...
A case study presented at the 2025 APMA National spotlights Mazabraud Syndrome (MzS)—a rare, benign condition defined by the coexistence of polyostotic fibrous dysplasia and intramuscular myxomas—which is commonly misdiagnosed due to...
A case study presented at the...
10/08/2025
Podiatry Today
a
Conference Coverage
09/19/2025
Brian McCurdy
This track offered a comprehensive exploration of injury trends, biomechanics, and treatment strategies across various sports. The sessions spanned elite athletics to recreational play, emphasizing evidence-based management of common—and...
This track offered a comprehensive exploration of injury trends, biomechanics, and treatment strategies across various sports. The sessions spanned elite athletics to recreational play, emphasizing evidence-based management of common—and...
This track offered a...
09/19/2025
Podiatry Today
4
Conference Coverage
09/17/2025
Kelsey Millonig, DPM, MPH, AACFAS; Rachel Gerber, DPM; Christopher A. Juels, AACFAS, DPM
At the 2025 APMA National, a lively roundtable discussion explored current perspectives and challenges in minimally invasive surgery (MIS) versus traditional open procedures. Their session delved into key surgical applications including...
At the 2025 APMA National, a lively roundtable discussion explored current perspectives and challenges in minimally invasive surgery (MIS) versus traditional open procedures. Their session delved into key surgical applications including...
At the 2025 APMA National, a...
09/17/2025
Podiatry Today
Speakers
Conference Coverage
08/26/2025
Elizabeth Piselli, DPM; Melissa Lockwood, DPM; Andrew Schneider, DPM; Alicia Canzanese, DPM, ATC, FAAPSM, CAQ-SM, DABPM
Affiliated organizations at the APMA National came together to discuss key components of patient care.
Affiliated organizations at the APMA National came together to discuss key components of patient care.
Affiliated organizations at the...
08/26/2025
Podiatry Today
Verdin
Conference Insider
07/26/2025
Craig J. Verdin, DPM, DABPM, AACFAS
This oral abstract from the 2025 APMA National dives into research findings on the parabola after transmetatarsal amputation.
This oral abstract from the 2025 APMA National dives into research findings on the parabola after transmetatarsal amputation.
This oral abstract from the 2025...
07/26/2025
Podiatry Today
Russell
Conference Insider
07/26/2025
Camellia Russell, MBA
Learn more about recent research from the 2025 APMA National.
Learn more about recent research from the 2025 APMA National.
Learn more about recent research...
07/26/2025
Podiatry Today
Sima
Conference Coverage
07/25/2025
Jessica Sima, BA; Amanda L. Killeen, DPM
Learn more about the available data on two ingrown toenail options from this poster presented at the APMA National 2025.
Learn more about the available data on two ingrown toenail options from this poster presented at the APMA National 2025.
Learn more about the available...
07/25/2025
Podiatry Today
Rothenberg
Conference Insider
07/25/2025
Gary M. Rothenberg, DPM
Dr. Rothenberg shares insights from a poster presented at the APMA National 2025.
Dr. Rothenberg shares insights from a poster presented at the APMA National 2025.
Dr. Rothenberg shares insights...
07/25/2025
Podiatry Today
Williams
Videos
08/10/2024
Mitzi L. Williams, DPM, FACFAS
This APMA speaker discusses unique aspects of lower extremity trauma in the pediatric population and emerging research.
This APMA speaker discusses unique aspects of lower extremity trauma in the pediatric population and emerging research.
This APMA speaker discusses...
08/10/2024
Podiatry Today
clinician
Blog
08/09/2024
Jennifer J. Spector, DPM, FACFAS
This lecture track dove into practical and contemporary thinking on a variety of scenarios likely presenting to podiatric practices. In this piece, Podiatry Today shares just some of the pearls discussed by the dynamic faculty.
This lecture track dove into practical and contemporary thinking on a variety of scenarios likely presenting to podiatric practices. In this piece, Podiatry Today shares just some of the pearls discussed by the dynamic faculty.
This lecture track dove into...
08/09/2024
Podiatry Today
onychomycosis
11/17/2023
Brian McCurdy
Onychomycosis is a fungal infection that warrants intervention, and not just a condition of the toenail, Warren Joseph, DPM, FIDSA, emphasized at this afternoon’s APMA National session. “This is an infectious disease and as an infectious...
Onychomycosis is a fungal infection that warrants intervention, and not just a condition of the toenail, Warren Joseph, DPM, FIDSA, emphasized at this afternoon’s APMA National session. “This is an infectious disease and as an infectious...
Onychomycosis is a fungal...
11/17/2023
Podiatry Today
Warren Joseph, DPM
Videos
11/17/2023
Warren S. Joseph, DPM, FIDSA
Dr. Joseph discusses his symposia from the APMA National, with key considerations when it comes to onychomycosis.
Dr. Joseph discusses his symposia from the APMA National, with key considerations when it comes to onychomycosis.
Dr. Joseph discusses his...
11/17/2023
Podiatry Today
Johnson Steinberg
Podcasts
07/17/2023
Alton R. Johnson, Jr., DPM, DABPM, FACPM, FASPS, CWSP; John S. Steinberg, DPM, FACFAS
Learn more from these faculty members of the recent APMA National.
Learn more from these faculty members of the recent APMA National.
Learn more from these faculty...
07/17/2023
Podiatry Today
ankle
07/15/2023
Brian McCurdy
Distal fibula fractures, syndesmotic fractures, intramedullary fixation of fibular fractures, posterior malleolus repair, deltoid ligament repair, and ankle fractures in patients with neuropathy, fragility, and infection were hot topics at...
Distal fibula fractures, syndesmotic fractures, intramedullary fixation of fibular fractures, posterior malleolus repair, deltoid ligament repair, and ankle fractures in patients with neuropathy, fragility, and infection were hot topics at...
Distal fibula fractures,...
07/15/2023
Podiatry Today
shoes
07/15/2023
Brian McCurdy
Panelists at the APMA National discussed shoes for running and other sports, the Female Athlete Triad, and Achilles tendinopathy.
Panelists at the APMA National discussed shoes for running and other sports, the Female Athlete Triad, and Achilles tendinopathy.
Panelists at the APMA National...
07/15/2023
Podiatry Today
melanoma
07/14/2023
Brian McCurdy
APMA National panelists discuss JAK inhibitors, the potential of AI in podiatry, mpox, and melanoma in various populations.
APMA National panelists discuss JAK inhibitors, the potential of AI in podiatry, mpox, and melanoma in various populations.
APMA National panelists discuss...
07/14/2023
Podiatry Today
bunion
Conference Coverage
07/13/2023
Brian McCurdy
Panelists at the APMA National forefoot track discussed iatrogenic forefoot deformities, the evolution of bunion surgery, osteochondral lesions of the talus, and first MTPJ arthrodesis.
Panelists at the APMA National forefoot track discussed iatrogenic forefoot deformities, the evolution of bunion surgery, osteochondral lesions of the talus, and first MTPJ arthrodesis.
Panelists at the APMA National...
07/13/2023
Podiatry Today
opioids
07/13/2023
Brian McCurdy
“We need better diagnostic tools and predictive tools,” said Shravani Durbhakula, MD, MPH, MBA at this morning's APMA National session. “We need better treatment that is personalized. As we get more personalized, we will be able to better...
“We need better diagnostic tools and predictive tools,” said Shravani Durbhakula, MD, MPH, MBA at this morning's APMA National session. “We need better treatment that is personalized. As we get more personalized, we will be able to better...
“We need better diagnostic tools...
07/13/2023
Podiatry Today
TV
Sponsored Content
08/01/2022
Jennifer J. Spector, DPM, FACFAS
At a non-CECH symposium at the APMA National, Tracey Vlahovic, DPM, FFPM RCPS (Glasg) spoke about the clinical profile for JUBLIA (efinaconazole 10%) in the management of toenail onychomycosis.
At a non-CECH symposium at the APMA National, Tracey Vlahovic, DPM, FFPM RCPS (Glasg) spoke about the clinical profile for JUBLIA (efinaconazole 10%) in the management of toenail onychomycosis.
At a non-CECH symposium at the...
08/01/2022
Podiatry Today
MM
Podcasts
07/30/2022
Lydia Masako Ferreira, MD, PhD
Dr. Mendeszoon shares his lessons learned and experiences related to his recent lecture at the APMA National.
Dr. Mendeszoon shares his lessons learned and experiences related to his recent lecture at the APMA National.
Dr. Mendeszoon shares his...
07/30/2022
Podiatry Today
DiDomenico
Conference Coverage
07/29/2022
Jennifer J. Spector, DPM, FACFAS
Learn more about Dr. DiDomenico's lecture insights from the APMA National.
Learn more about Dr. DiDomenico's lecture insights from the APMA National.
Learn more about Dr....
07/29/2022
Podiatry Today
Jeff Ross, DPM, MD
Conference Coverage
07/29/2022
Jennifer J. Spector, DPM, FACFAS
Jeffrey A. Ross, DPM, MD lectured on phalangeal osteotomies for hallux valgus at the APMA National. Podiatry Today asked him a few questions about what he thinks podiatrists most need to know.
Jeffrey A. Ross, DPM, MD lectured on phalangeal osteotomies for hallux valgus at the APMA National. Podiatry Today asked him a few questions about what he thinks podiatrists most need to know.
Jeffrey A. Ross, DPM, MD...
07/29/2022
Podiatry Today
Patrick Burns, DPM
Conference Coverage
07/26/2022
Jennifer J. Spector, DPM, FACFAS
At the APMA National, Patrick Burns, DPM, FACFAS, takes on the topic of patient-specific implants and their role in revision foot and ankle surgery. Podiatry Today spoke with him about his lecture, and what he most wants the audience to know.
At the APMA National, Patrick Burns, DPM, FACFAS, takes on the topic of patient-specific implants and their role in revision foot and ankle surgery. Podiatry Today spoke with him about his lecture, and what he most wants the audience to know.
At the APMA National, Patrick...
07/26/2022
Podiatry Today
Vlahovic
Sponsored Video
07/21/2022
Tracey C. Vlahovic, DPM, FFPM, RCPS(Glasg)
Dr. Vlahovic shares her experience and evidence behind the use of an important topical treatment choice for onychomycosis.
Dr. Vlahovic shares her experience and evidence behind the use of an important topical treatment choice for onychomycosis.
Dr. Vlahovic shares her...
07/21/2022
Podiatry Today
Vlahovic
Sponsored Interview
07/21/2022
Jennifer J. Spector, DPM, FACFAS
Take a closer look at key nuances in treating onychomycosis with Dr. Vlahovic.
Take a closer look at key nuances in treating onychomycosis with Dr. Vlahovic.
Take a closer look at key...
07/21/2022
Podiatry Today
Vlahovic
Sponsored Interview
07/21/2022
Jennifer J. Spector, DPM, FACFAS
In this interview, Dr. Vlahovic touches on crucial components of, and challenges regarding, evaluating for onychomycosis.
In this interview, Dr. Vlahovic touches on crucial components of, and challenges regarding, evaluating for onychomycosis.
In this interview, Dr. Vlahovic...
07/21/2022
Podiatry Today