Outcomes of Pantalar Dislocations: A Literature Review and Case Study
A pantalar dislocation is a triple dislocation of the tibiotalar, subtalar, and talonavicular joints. These are severe traumatic injuries that are both debilitating for patients as well as complex and challenging for foot and ankle surgeons to treat. Fabricius of Hilden first reported these injuries in 1680.1 They are extremely rare traumas, accounting for only 0.06% of all joint dislocations.1,2 The talus is the only bone in the lower extremity with no muscular attachments and 60% articular surface area.3 It is seated deep within the foot with strong ligamentous attachments, which likely contributes to the rarity of this injury.
Pantalar dislocations are potentially devastating and disabling injuries, and can either be closed or open. Closed pantalar dislocations predominantly affect males aged 20 to 45 years. They are most commonly the result of a high-energy trauma, with 50% being due to a fall from height.4 In 85% of cases, the talus dislocates anterolaterally.4 Nearly half of patients will have a concomitant fracture, most commonly ankle fractures.4 A systematic review of pantalar dislocations by Brown and colleagues found open dislocations more common than closed, at a rate of 40/62 (64.5%).5 Additionally, the most frequent mechanism of injury in their data set was motor vehicle crashes (40/62; 64.5%) when combining open and closed dislocation data.
A Guide to the Examination of Pantalar Dislocations
Due to the the high-energy trauma associated with these injuries, a comprehensive physical examination during evaluation is necessary. Note the patient’s neurovascular status both before and after any attempted closed reduction. As these injuries are commonly open in nature, thoroughly examine the soft tissue envelope for any breaks in the skin. Additionally, note any tenting of the skin secondary to pressure from the dislocation. Oftentimes, one will see an obvious deformity with these injuries. Tenderness to palpation around the peritalar region is common. Surgeons should remember that it is common to have a concomitant fracture elsewhere and thus should not focus their physical examination solely on the obvious deformity at the talus.
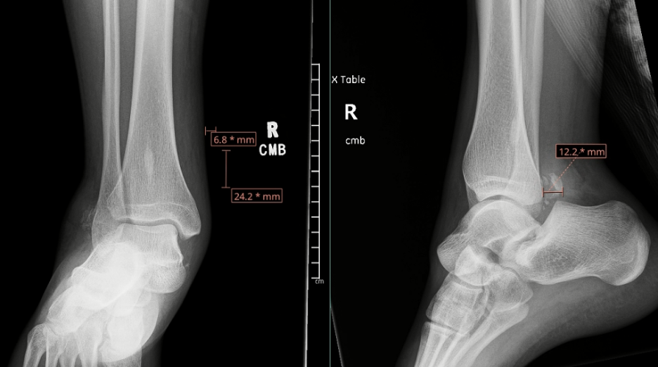
One should obtain plain film radiographs in the emergency department (Figure 1 above) prior to reduction and then following reduction. Multiple postreduction views should confirm proper position of the tibiotalar, subtalar, and talonavicular joints. Following reduction, computerized tomography (CT) scans may assist in identifying any residual intra-articular debris or articular irregularities.6,7 Additionally, one should consider CT results prior to taking the patient to the operative suite. Additionally, 3D-reconstructed CT scans may help scrutinize reduction and aid in surgical planning (Figure 2 below).
Insights on Closed Reduction Techniques
Whether performing closed or open reduction, surgeons should aim to achieve stable anatomical talar reduction within the ankle mortise, subtalar, and talonavicular joints, along with reduction and stable fixation of any concomitant fractures. In the presence of an open injury, an urgent reduction attempt is vital to prevent skin necrosis, neurovascular compromise, or infection.8 In their literature review of closed pantalar dislocations, Vosoughi and colleagues reported a successful closed reduction rate of 68.5%.4 Surgeons should urgently attempt closed reduction, followed by open reduction if closed efforts are unsuccessful.
There are multiple closed reduction techniques and maneuvers for pantalar dislocations described in the literature. Mitchell first described closed reduction for pantalar dislocations in 1936.9 Key points to successful closed reduction include sedation, keeping the knee in a flexed position, as well as appropriately directed traction and countertraction. Sedation assists with muscle relaxation as well as alleviating pain and guarding. Placing the knee in a flexed position will eliminate resistance from the pull of the Achilles tendon. Place longitudinal traction on the foot, with countertraction at the leg, while placing pressure on the talus to reduce it to an anatomical position. The direction of pressure on the talus depends on the direction of the dislocation.6 One should focus their initial attention on reducing the tibiotalar joint, which will often result in a spontaneous reduction of the subtalar and talonavicular joints.7,10 Placing a transcalcaneal pin11 or utilizing a second pin in the tibia with a distractor can provide additional traction when required.12
Following a successful closed reduction attempt, it is important to assess the alignment of the tibiotalar, subtalar, and talonavicular joints radiographically. One should obtain multiplanar fluoroscopic images.10,13 Furthermore, a CT scan can accurately visualize the reduction and evaluate if there are additional fractures or incarcerated intra-articular osteochondral fragments.7 If there is no further instability or visible concomitant fractures, patients may proceed with immobilization in a non-weight-bearing below-knee cast for 6 to 12 weeks.14 Patients may progress to full weight-bearing at the 3-month mark post-injury.7 Some surgeons prefer closed reduction with percutaneous pinning or external fixation, especially if there is instability at any of the involved joints. Transarticular pinning through the tibiotalar, subtalar, and/or talonavicular joints or with utilization of ankle-spanning external fixation for 6 to 12 weeks may achieve additional stability.2,8,15,16 Address concomitant fractures on a case-by-case basis with consideration for open reduction and internal fixation.
Reports state that most patients experience excellent or good clinical and radiographic outcomes with successful closed reduction, specifically better outcomes than those following open reduction.4,17,18 This could be secondary to increased injury severity requiring open reduction, or iatrogenic trauma and sequelae from operative intervention.4 For unknown reasons, anterolateral dislocations tend to have better outcomes when treated with closed reduction when compared to other directions of dislocation. In closed dislocations, 94.7% of patients have excellent or good outcomes if closed reduction is successful.4
Open Reduction for Pantalar Dislocations
Often handled conservatively with immobilization and non-weight-bearing, these particular injuries rarely require operative intervention. Surgical measures may become necessary for talar dislocations with open injuries, concomitant fractures, and persistent issues such as irreducibility, instability, or deformity. Many descriptions of surgical techniques exist in the literature to manage this injury, spanning from percutaneous fixation to primary talectomy. Here we will discuss the outcomes of the surgical management of total talar dislocations. It should be noted that with our literature review, reported clinical and functional outcomes following surgical management are sparse.
A systematic review by Brown and colleagues evaluated patient outcome scores following surgically managed pantalar dislocations.5 They found the most common surgical approach to be a combination of open reduction and percutaneous pinning with external fixation application (13/62; 21%). Additionally, the authors noted 10 studies that evaluated American Orthopaedic Foot and Ankle Society (AOFAS) scores, finding a pooled mean postoperative AOFAS score of 75.8. Furthermore, 2 studies evaluated Foot Function Index (FFI) scores with a pooled mean postoperative FFI score of 37.5.5 No other patient-reported outcome score measures are consistently reported in the literature.
In a recent systematic review, Weston and colleagues19 reported on 86 cases of total dislocation of the talus found in the literature. Forty-three (50%) had an associated foot or ankle fracture. Seventy-four of the 86 preserved the talus, with 12 requiring primary talectomy due to either complete extrusion or contamination concerns. Eighty-three of the cases reported required open management. About one-quarter of the operative cases underwent temporary external fixation. Twenty-two cases required a secondary arthrodesis. Of the operative cases, satisfaction scores were not high with “good” outcomes achieved in 35%, fair outcomes in 37%, and poor outcomes in 25% of the patient cohort at an average of 32 months’ follow-up. Those who underwent primary talectomy had worse documented outcomes and thus the authors recommended avoiding this treatment. Avascular necrosis (22 patients) and osteoarthritis (14 patients) were the predominant complications reported, followed by infection.19
Historically, authors recommended primary or secondary talectomy with various types of joint fusions for both open and closed pantalar dislocations.20,21 Vosoughi and colleagues4 found that 100% of patients who underwent either primary talectomy, tibiocalcaneal arthrodesis, or tibiotalar arthrodesis had fair to poor clinical outcomes. Now, recent literature resoundingly advises against primary talectomy.4,17,18 Research reveals superior functional and radiographic outcomes with closed reduction of total talus dislocations as opposed to open reduction.4 This could be for a variety of reasons; however, the largest component is likely an insult to the surrounding neurovascular structures.
What You Should Know About Complications
There is a relatively high rate of complications associated with pantalar dislocations. Complications can range from neurovascular compromise to post-traumatic arthritis and osteonecrosis of the talus. Additionally, infection rates vary depending on the severity of the dislocation and any compromise of the soft tissue envelope.
Neurovascular compromise. As previously mentioned, it is important to urgently assess for any neurovascular compromise, both before and after reduction. Neuropraxias of the plantar nerves are more likely associated with medial dislocations. Authors have reported transient vascular compromise, with early nonpalpable pedal pulses that recover after reduction.7,12,22 No cases of long-term neurovascular compromise exist in the literature to our knowledge.
Post-traumatic arthritis. Post-traumatic arthritis is a relatively common complication of this pathology. One review of closed pantalar dislocations found post-traumatic arthritis occurred in 11 (32.3%) of 34 cases.4 Another systematic review cited an arthritis rate of 16.2%.19 Boden and colleagues15 evaluated both open and closed pantalar dislocations and found post-traumatic arthritis occurred between 8 and 53 months (with a mean of 22 months) following the initial injury. They additionally found arthritic changes more common following open pantalar dislocations compared to closed dislocations.15
Post-traumatic arthritis can occur at any of the three articular surfaces of the talus (ie, tibiotalar, subtalar, and talonavicular joints). Some studies have reported arthritis isolated to the subtalar joint,15,23,24 whereas others have reported arthritis isolated at the ankle joint25 or at 2 or 3 peritalar joints.26 One should educate patients on the possibility of this late complication.
Osteonecrosis. Osteonecrosis, or avascular necrosis, is the death of bone secondary to a lack of blood supply. It is a major concern with pantalar dislocations and can result in a poor outcome for patients.8 Initial trauma may disrupt the blood supply to the talus, with higher energy injuries and more displacement of the talus resulting in an increased likelihood of developing osteonecrosis.27,28 The risk of osteonecrosis further increases with talar neck fractures, open pantalar dislocations, and surrounding soft tissue damage whether during the initial injury or from open reduction.6,21,29 Therefore, we recommend remaining cognizant of the soft tissue envelope during surgical intervention and attempting closed reduction whenever possible.
The vascular network supplying the talus is well-documented. There are 3 main source arteries that supply blood flow to the talus, including the posterior tibial, anterior tibial, and perforating peroneal arteries. Branches from the posterior tibial and peroneal arteries supply the posterior process and posterior body of the talus. An anastomosis from the tarsal canal artery of the posterior tibial artery and the tarsal sinus artery from the anterior tibial artery supplies the central and lateral two-thirds of the talar body. The medial one-third of the talar body receives blood supply from the deltoid branch from the posterior tibial artery. The superomedial half of the head and neck of the talus are supplied by branches from the anterior tibial artery. Finally, the tarsal sinus artery supplies the inferolateral aspects of both the talar head and neck.30
To summarize the blood supply to the talus, extraosseous vessels enter the talus at the superior and inferior neck, medial and lateral body, and posterior process, with the largest arterial supply being the artery of the tarsal canal originating from the posterior tibial artery.29,30 Surgeons should understand and consciously consider the vascular supply to the talus when addressing traumatic injuries.
Osteonecrosis rates vary based on multiple factors as outlined above but may be lower than previously thought. The Hawkins sign is a classic radiographic finding indicating disuse osteopenia and an intact blood supply to the talus. Original descriptions slate its occurrence between 6 and 8 weeks following talar neck fractures.31 In pantalar dislocations, a Hawkins sign can reportedly appear at 4 months or later.2 Radiographic findings of osteonecrosis include sclerosis and increased density of the talar dome and typically occur at a mean of 9 months following injury.15 Previous literature reported that osteonecrosis occurs in nearly all pantalar dislocations.20 More recent literature reviews find rates of osteonecrosis between 7.7–20% in closed injuries and 22.9% in open injuries.4,32 In their case series of 19 patients, Boden and colleagues15 found that over 80% of patients developed osteonecrosis. They found no difference in osteonecrosis rates between open and closed dislocations. Additionally, the authors noted that talar dome collapse as uncommon, with most patients having eventual resolution of osteonecrosis within 17 months after initial injury.15 In brief, clinicians should expect that most patients will develop osteonecrosis, with the vast majority of these cases resolving without talar collapse.
Infection. Infection is a major concern in orthopedic trauma cases, especially with soft tissue envelope compromise as in open fractures. Rates of infection drastically vary between open and closed pantalar dislocations. Boden and colleagues15 reported infections in 3/19 (15.8%) of patients, all occurring in open injuries. In their literature review, Palomo-Traver and colleagues32 noted an infection rate of 27.3% in open dislocations. Infection is rare in closed pantalar dislocations unless patients undergo open reduction with internal fixation.20 Vosoughi and colleagues4 noted no postoperative infections in closed pantalar dislocations with successful closed reduction. This highlights the importance of attempting closed reduction to lessen infection rates.
Case Study: Surgical Treatment of Pantalar Dislocation in an Active Patient
An 18-year-old male presented to the emergency room, having injured his foot following a Parkour incident. He twisted his ankle/foot awkwardly, causing him to fall. He had an obvious deformity of his right ankle; thus he presented to the emergency room for care. Evaluation revealed a closed deformity of the right foot, apparently neurovascularly intact but severely tender to palpation with limited subtalar joint and ankle joint range of motion.
Plain film X-ray images (Figure 3 above) showed a pantalar dislocation at the subtalar (STJ), talonavicular (TNJ), and tibiotalar joints. The posterior portion of the fibula demonstrated a fracture. Computed tomography showed osseous debris in the posterior facet of the subtalar joint.
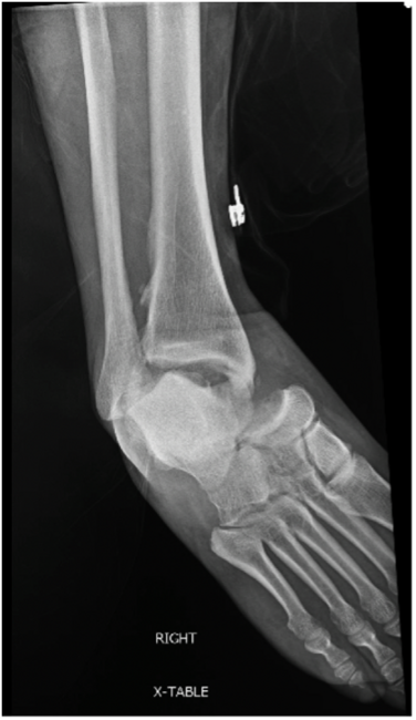
Following imaging, the patient underwent a hematoma block of the ankle and subtalar joint with lidocaine. Once properly anesthetized, we bent the knee and successfully reduced the deformity (Figure 4 above). Physicians applied a plaster splint for stability and admitted this patient for surgery the following morning. Surgeons felt the subtalar joint had residual instability. Additionally, the osseous debris in the posterior facet of the subtalar joint was difficult to ignore.
For these reasons, as well as the patient’s active lifestyle, the treating surgeon advised surgery. The patient agreed following a discussion of risks, benefits, and alternative treatment options.
Once in the operating room, the surgeons placed the patient in the lateral decubitus position. They created a sinus tarsi incision from the distal tip of the fibula to the base of the fourth metatarsal in order to access the subtalar joint. The subtalar joint remained grossly unstable with the calcaneofibular ligament (CFL) completely transected. The surgeon distracted the posterior subtalar joint and flushed the joint with copious amounts of normal saline. There were superficial cartilaginous defects, but for the most part, the joint appeared healthy and viable. The team successfully evacuated the osseous debris found on preop imaging via irrigation.
At this time, we elected to place an anchor into the distal tip of the fibula to repair the ruptured CFL. We additionally augmented the anterior talofibular ligament (ATFL) with absorbable suture. We then noted clinical stability of the ankle joint, STJ, and TNJ after intraoperative stressing (Figure 5 above).
The patient went on to heal his incision successfully and without complications. He remained non-weight-bearing for 5–6 weeks in a controlled ankle motion (CAM) walker boot. He initiated physical therapy for passive range of motion and progression as tolerated at 4 weeks postop. Protected weight-bearing in his CAM walker began at the 6-week mark with progression to tennis shoes at the 8-week mark.
One year has passed since this patient sustained the original injury, and he has fully returned to his active lifestyle. His main complaint presently is stiffness near the incision site. Otherwise, he is satisfied with his repair and has little residual pain.
In Conclusion
Pantalar dislocations are rare traumatic injuries that can be debilitating for patients. Various treatment options are available, with significant heterogeneity reported throughout the literature. Closed reduction attempts are vital, although open reduction and fixation may be required depending on the severity and stability of the injury. Clinicians should anticipate high complication rates, and set expectations early by educating patients on the severity of this pathology.
Joseph R. Brown, DPM, is the Chief Foot and Ankle Surgery Resident at OhioHealth Grant Medical Center in Columbus, OH.
Zachary P. Hill, DPM, is the Chief Foot and Ankle Surgery Resident at OhioHealth Grant Medical Center in Columbus, OH.
Ian Barron, DPM, FACFAS, is an Assistant Professor in the Department of Orthopaedics at UT Health Science Center San Antonio.
References
1. Van Opstal N, Vandeputte G. Traumatic talus extrusion: case reports and literature review. Acta Orthop Belg. 2009 Oct;75(5):699-704.
2. Turhan Y, Cift H, Ozkan K, Ozkut A, Eren A. Closed total talar extrusion after ankle sprain. Foot Ankle Spec. 2012 Feb;5(1):51-3.
3. Fleming J, Hurley KK. Total talar extrusion: a case report. J Foot Ankle Surg. 2009 Nov-Dec;48(6):690.e19-23.
4. Vosoughi AR, Vallier HA. Closed pantalar dislocations: characteristics, treatment approaches, and outcomes. J Am Acad Orthop Surg. 2021 Apr 1;29(7):278-287.
5. Brown JR, Hill ZP, Peabody T, Taylor B. Outcomes of pantalar dislocations: a systematic review [Poster Presentation]. ACFAS ASC 2024. Tampa, Florida, USA.
6. Xarchas KC, Psillakis IG, Kazakos KJ, Pelekas S, Ververidis AN, Verettas DA. Total dislocation of the talus without a fracture. open or closed treatment? report of two cases and review of the literature. Open Orthop J. 2009 Jul 3;3:52-5.
7. Rhanim A, Zanati RE, Younes Ouchrif, Hassani ZA, Kharmaz M, Berrada MS. Nonoperative treatment of closed total talus dislocation without fracture: A case report and literature review. J Clin Orthop Trauma. 2014 Sep;5(3):172-5.
8. Papanikolaou A, Siakantaris P, Maris J, Antoniou N. Successful treatment of total talar dislocation with closed reduction: A case report. Foot Ankle Surg. 2002;8:245-248.
9. Mitchell JI. Total dislocation of the astragalus. J Bone Joint Surg Am. 1936;18:212-214
10. Gaskin J, Pimple M. Closed total talus dislocation without fracture: Report of two cases. Eur J Orthop Surg Traumatol. 2007;17:409-411
11. Sharifi SR, Ebrahimzadeh MH, Ahmadzadeh-Chabok H, Khajeh-Mozaffari J. Closed total talus dislocation without fracture: a case report. Cases J. 2009 Dec 2;2:9132.
12. Alrashidi YA, Wali ZA, Khoshhal KI. Closed anterolateral total talar dislocation: A case report and technical notes. Orthop Res Rev. 2014;6:47
13. Gursu S, Sahin V, Demir B, Yildirim T. Closed total dislocation of talus without any accompanying fractures. J Am Podiatr Med Assoc. 2013 Jan-Feb;103(1):73-5.
14. Nanjayan SK, Broomfield J, Johnson B, Patel A, Srivastava S, Sinha A. Total dislocation of the talus: a case report. Foot Ankle Spec. 2014 Feb;7(1):71-3.
15. Boden KA, Weinberg DS, Vallier HA. Complications and functional outcomes after pantalar dislocation. J Bone Joint Surg Am. 2017 Apr 19;99(8):666-675.
16. Kumar YC, Reddy S, Golla DK, Ganesh N. Closed talar dislocation without associated fracture a very rare injury, a case report. J Orthop Case Rep. 2014 Apr-Jun;4(2):10-2.
17. Eda Y, Yanagisawa Y, Matsumoto Y, Mori T, Yamazaki M. Closed total talar dislocation without fracture in a rare college athlete case. Trauma Case Rep. 2021 Aug 4;35:100519.
18. Zhao JY, Chen LM, Li TX, Zhang W, Guo SJ, Li XL, Zhao WN. Manual reduction and plaster external fixation for the treatment of closed total talus dislocation: case report and literature review. Orthop Surg. 2023 Apr;15(4):1179-1186.
19. Weston JT, Liu X, Wandtke ME, Liu J, Ebraheim NE. A systematic review of total dislocation of the talus. Orthop Surg. 2015 May;7(2):97-101.
20. Detenbeck LC, Kelly PJ. Total dislocation of the talus. J Bone Joint Surg Am. 1969 Mar;51(2):283-8.
21. Ritsema GH. Total talar dislocation. J Trauma. 1988 May;28(5):692-4.
22. Hendin A, Rosenberg H. The floating foot: a case of total talar dislocation. CJEM. 2017 Mar;19(2):154-155.
23. Bas T, Vicent V, Alcantara P, Llabres A. Complete dislocation of the talus: A report of 5 cases. Foot. 1994;4:102-105
24. Dulani R, Shrivastava S, Dwidmuthe S, Purohit R. Closed total (pan-talar) dislocation of the talus with delayed presentation: a rare case report and review of the literature. Ulus Travma Acil Cerrahi Derg. 2012 May;18(3):268-70.
25. Heylen S, De Baets T, Verstraete P. Closed total talus dislocation: a case report. Acta Orthop Belg. 2011 Dec;77(6):838-42.
26. Arjona Gimenez C, Nieto Rodriguez O, Delgado Alaminos M. Closed dislocation of talus: A propos a case. Rev S And Traum y Ort. 2012;29: 106-110.
27. Kenwright J, Taylor RG. Major injuries of the talus. J Bone Joint Surg Br. 1970 Feb;52(1):36-48.
28. Taymaz A, Gunal I. Complete dislocation of the talus unaccompanied by fracture. J Foot Ankle Surg. 2005 Mar-Apr;44(2):156-8.
29. Schiffer G, Jubel A, Elsner A, Andermahr J. Complete talar dislocation without late osteonecrosis: clinical case and anatomic study. J Foot Ankle Surg. 2007 Mar-Apr;46(2):120-3.
30. Mulfinger GL, Trueta J. The blood supply of the talus. J Bone Joint Surg Br. 1970 Feb;52(1):160-7.
31. Hawkins LG. Fractures of the neck of the talus. J Bone Joint Surg Am. 1970 Jul;52(5):991-1002.
32. Palomo-Traver JM, Cruz-Renovell E, Granell-Beltran V, Monzonís-García J. Open total talus dislocation: case report and review of the literature. J Orthop Trauma. 1997 Jan;11(1):45-9.


