Skip to main content

Case Studies

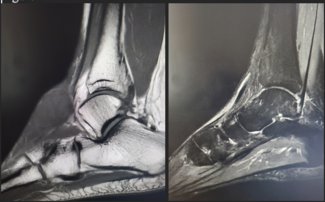
Achilles Tendon Rupture
05/01/2026
Kasra Behfar, DPM, MS, DABMSP; Linda Oh, DPM; Kim L. Felder, DPM, FACPM, FAPWCA, FASPS
This case challenges conventional thinking, demonstrating successful nonoperative management despite a large tendon gap, neuropathy, and poor adherence to treatment recommendations. Four-year follow-up findings highlight the potential for...
This case challenges conventional thinking, demonstrating successful nonoperative management despite a large tendon gap, neuropathy, and poor adherence to treatment recommendations. Four-year follow-up findings highlight the potential for...
This case challenges...
05/01/2026
Podiatry Today
Os Cuboideum Secundarium
05/01/2026
Arthur Evensen, DPM, CWSP; Jaime Moore, AGNP
A rare accessory ossicle, the os cuboideum secundarium, is typically an incidental finding—but in high-risk feet, it can become clinically significant. This case highlights how an unrecognized plantar-lateral bony prominence contributed to...
A rare accessory ossicle, the os cuboideum secundarium, is typically an incidental finding—but in high-risk feet, it can become clinically significant. This case highlights how an unrecognized plantar-lateral bony prominence contributed to...
A rare accessory ossicle, the os...
05/01/2026
Podiatry Today
Heel Melanoma
04/01/2026
Kody Jacobson, DPM; Devin Towson, DPM; Jodi Walters, DPM, DABFAS; James Dancho, DPM, FACFAS; Valarie Samoy, DPM, DABPM
Heel melanoma is uncommon, but its location on a weight-bearing surface makes it easy to miss. These three plantar heel cases underscore how delayed recognition can lead to invasive disease and nodal spread, while timely biopsy and...
Heel melanoma is uncommon, but its location on a weight-bearing surface makes it easy to miss. These three plantar heel cases underscore how delayed recognition can lead to invasive disease and nodal spread, while timely biopsy and...
Heel melanoma is uncommon, but...
04/01/2026
Podiatry Today
Vibrio Necrotizing Fasciitis
04/01/2026
Karin Messiha, DPM; Ksenja Llazar, DPM; Shailee Vishnubhatt, DPM
Vibrio vulnificus necrotizing fasciitis is a rapidly progressive, often fatal soft tissue infection that demands immediate clinical recognition and decisive surgical management. This case underscores the limitations of relying on the LRINEC...
Vibrio vulnificus necrotizing fasciitis is a rapidly progressive, often fatal soft tissue infection that demands immediate clinical recognition and decisive surgical management. This case underscores the limitations of relying on the LRINEC...
Vibrio vulnificus necrotizing...
04/01/2026
Podiatry Today
Superficial Venous Arterialization
03/01/2026
Khanjan Nagarsheth, MD, MBA, RPVI; Eleanor F. Dunlap, DNP, ANP-BC, MBA; Suzanna S. Fitzpatrick, DNP, ACNP-BC, FNP-BC, FAANP; Jacob Wynes, DPM, MS, FACFAS
For patients with chronic limb-threatening ischemia (CLTI) who lack conventional revascularization options, venous arterialization offers a potential path to limb salvage. While deep venous arterialization (DVA) has gained attention in recent...
For patients with chronic limb-threatening ischemia (CLTI) who lack conventional revascularization options, venous arterialization offers a potential path to limb salvage. While deep venous arterialization (DVA) has gained attention in recent...
For patients with chronic...
03/01/2026
Podiatry Today
Total Talus Replacement
03/01/2026
Jannani Krishnan, DPM; Bhavkaranjeet Kaur, DPM; James Brian Warne, DPM
Total talus replacement is emerging as a powerful salvage option for patients with advanced avascular necrosis (AVN), failed ankle arthroplasty, or end-stage ankle arthritis. This article explores the advantages of 3D-printed...
Total talus replacement is emerging as a powerful salvage option for patients with advanced avascular necrosis (AVN), failed ankle arthroplasty, or end-stage ankle arthritis. This article explores the advantages of 3D-printed...
Total talus replacement is...
03/01/2026
Podiatry Today
Campylobacter Osteomyelitis
03/01/2026
Arthur Evensen, DPM, CWSP; Jaime Moore, AGNP
This case report describes a presumed hematogenous Campylobacter osteomyelitis of the hallux in an immunocompetent adult, complicated by coexisting crystal arthropathy and culture-negative findings.
This case report describes a presumed hematogenous Campylobacter osteomyelitis of the hallux in an immunocompetent adult, complicated by coexisting crystal arthropathy and culture-negative findings.
This case report describes a...
03/01/2026
Podiatry Today
MIS for Bunions
03/01/2026
Eric Baskin, DPM, FACFAS; Lawrence A. DiDomenico, DPM, FACFAS; Alexandra Anain, DPM, AACFAS
As minimally invasive (MIS) bunion surgery continues to gain traction, variations in fixation strategy have prompted renewed discussion around complication profiles. This article reviews both established and evolving complications associated...
As minimally invasive (MIS) bunion surgery continues to gain traction, variations in fixation strategy have prompted renewed discussion around complication profiles. This article reviews both established and evolving complications associated...
As minimally invasive (MIS)...
03/01/2026
Podiatry Today
Case Study
01/01/2026
Aabha Suchak, DPM, FACFAS, DABPM, CWS
Even the most “routine” nail care appointment can prove anything but routine. This case highlights how a nonhealing ulcer in a patient with diabetes ultimately revealed microinvasive squamous cell carcinoma, emphasizing the need for thorough...
Even the most “routine” nail care appointment can prove anything but routine. This case highlights how a nonhealing ulcer in a patient with diabetes ultimately revealed microinvasive squamous cell carcinoma, emphasizing the need for thorough...
Even the most “routine” nail...
01/01/2026
Podiatry Today
Case Study
01/01/2026
Jean V. Archer, DPM, FACPM, CWS, FACCWS, FASPS, FAPWHc; Hayley Collins, DPM; William Lopez, DPM; Michael L. Cooper, MD
When systemic illness masks evolving limb pathology, timely podiatric evaluation becomes critical. This case illustrates how early surgical management paired with a synthetic electrospun matrix supported effective reconstruction after...
When systemic illness masks evolving limb pathology, timely podiatric evaluation becomes critical. This case illustrates how early surgical management paired with a synthetic electrospun matrix supported effective reconstruction after...
When systemic illness masks...
01/01/2026
Podiatry Today