Managing Geriatric Ankle Fractures
Between 2010 and 2020, the population over 65 years old saw the largest growth in the United States since the 1800s. The 2020 census demonstrated that Americans greater than 65 years old account for approximately 16% of the population, with numbers expected to rise.1 With the continued growth in the geriatric population, there is an expectation for the rise of orthopedic injuries given the fragility, frailty, and comorbidities of this population subset. Estimates cite that 1 out of every 3 elderly patients suffer a fall annually, with 20% of all falls causing a serious injury such as a fracture.2
Ankle fractures represent the third most common orthopedic injury suffered by the geriatric population.3 However, compared to the younger population, reports on the one-year mortality rate for ankle fractures in the geriatric population are as high as 12%.4 For those patients requiring hospital admission due to higher comorbidities, on average, 60% of them will require nursing home admission postoperatively.5 These sustained elevations in the geriatric population would likely show a direct relationship in orthopedic morbidities and could propose a significant burden to the healthcare system.
With high rates of morbidity and potentially poor outcomes, proper treatment and management of these patients and their fractures are of the utmost importance. Managing these injuries remains challenging and controversial due to numerous factors such as osteoporosis, peripheral vascular disease, vulnerable soft tissues, and impaired mobility and proprioception. Additionally, the heterogeneity of these patient populations proposes challenges, as not all geriatric patients present in the same fashion, and a holistic approach to patient care must be examined to maximize outcomes. While the care pathways and severity of other geriatric fractures such as hip fractures are well-defined, there are less defined guidelines regarding geriatric ankle fractures.
In this review, we aim to provide insight and analysis on managing geriatric ankle fractures and their associated outcomes.
Is Conservative Management Reasonable?
Historically, geriatric ankle fracture treatment was conservative, with cast immobilization due to high complication rates with operative intervention. In general, isolated malleolar fractures without significant displacement, medial clear space widening, or syndesmotic instability on weight-bearing or stress radiographs can often result in good outcomes with nonoperative intervntion. Conservative management aims to achieve a stable union and preserve quality of life, rather than achieving anatomical reduction. Unfortunately, conservative treatment has shown to lead to higher amounts of malunion and nonunion with rates up to 73%, whereas open reduction and internal fixation provides higher consolidation rates.6 Prolonged immobilization with conservative management also increases the risks of complications such as deep vein thrombosis, pulmonary embolism and decubitus ulcerations.
A recent study comparing closed contact casting to open reduction and internal fixation in unstable ankle fractures in patients over 60 years old described similar functional scores, quality of life, pain, ankle motion, mobility, and patient satisfaction after 6 months. However, 19% of the patients in the casting group eventually converted to surgery due to loss of reduction.7 Interestingly, Salai and colleagues demonstrated higher American Orthopaedic Foot and Ankle Society (AOFAS) scores in nonoperatively treated geriatric ankle fractures compared to surgically treated patients. However, patients with poor reduction or loss of reduction did necessitate surgical management, which is an important consideration when approaching these patients conservatively.8 If conservative treatment is the goal, the geriatric population requires close follow-up with frequent skin checks, radiographs, and splint or cast exchanges to reduce the risk of skin compromise and loss of reduction. The literature would suggest, if the ankle fracture is unstable, or reduction is lost in the follow-up period, surgical management should become a consideration.
Surgical Management Pearls
Historically, surgeons have strayed away from surgical intervention for the geriatric population due to the fear of complications. However, newer surgical techniques offer better functional outcomes, improved mobility, and better management of more complicated fracture patterns that are less amenable to conservative care.9 The goal for operative treatment is anatomic reduction of the fracture, improved stability, decreased immobilization time, and decreased time to rehabilitation. However, the geriatric population does still pose challenges with fixation due to poorer bone and soft tissue quality. Clinicians must examine a comprehensive approach to patient care, and each patient should be treated individually based on their risk factors, preoperative activity or mobility levels and their individual goals of care. We will now review and discuss various fixation constructs and their use in the geriatric population.
Open Reduction and Internal Fixation
Recent studies have advocated for open reduction and internal fixation (ORIF) as an acceptable method of treatment for geriatric ankle fractures in contrast to traditional conservative management.9,10 However, osteoporotic bone and comminuted fractures could present fixation challenges in the elderly population. Unfortunately, there is minimal evidence on specific plate technology on geriatric ankle fractures, and most literature debatably equates osteoporotic fractures to geriatric fractures.
The evolution of locking plate technology has shown its value when treating osteoporotic bone. Aigner and team performed a retrospective case-control study on over 300 patients with ankle fractures and an average age of 73 years. They found higher revision surgeries, complication rates, and implant failure with standard plating techniques versus locking plate technology.11 In contrast, Herrera-Perez and colleagues evaluated osteoporotic distal fibula fractures treated with locking plate fixation versus traditional plating in patients older than 64 years of age. They found a similar average time to union and AOFAS scores in each cohort. The only advantage noted was the earlier time to weight-bearing in the locking plate group, which can be especially advantageous to improve mobility and decrease rehabilitation time for the geriatric population.12 Disadvantages of standard ORIF and locking plate technology still remain as they can be costly, bulkier, and will likely require a larger soft tissue envelope insult, which may lead to increased complications.
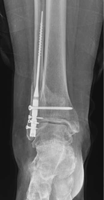
Fibular Intramedullary Fixation
In contrast to standard ORIF, fibular intramedullary fixation has become popular. With minimal soft tissue disruption, early weight-bearing, and similar outcomes compared to more traditional fixation, we can see the benefit for its use in geriatric fractures.13 Lin and colleagues compared intramedullary fixation versus traditional plate and screws in 32 geriatric patients with unstable fibula fractures. Overall, they found fewer complications in the intramedullary group, however, there were comparable functional outcomes and time to union between the groups. The study highlights if functional outcomes can remain similar with significantly decreased complications, then intramedullary fibular fixation is a valuable tool to consider.13 Appleton and associates specifically looked at intramedullary fibular fixation in geriatric ankle fracture patients with significant comorbidities such as diabetes mellitus. They found 85% of patients regained ankle range of motion within 90% of the uninjured side and maintenance of anatomic reduction in all but one patient.14 In patients with comorbidities, these implants can provide stable reduction while diminishing the soft tissue insult, and hence diminish complications compared to standard open approaches.
Carter and colleagues performed a cadaveric, biomechanical study examining fibular intramedullary fixation versus locking plate and lag screws on specimens with an average age of 86 years. The intramedullary group had higher mean torque to failure, greater angle of rotation to failure, and similar stiffness to standard plating and screws.15 With similar biomechanical properties to standard plating, the load-sharing properties of intramedullary nails can allow earlier weight-bearing and improved mobility for the geriatric population, which is vital. Fixation can usually be achieved with a long 3.5mm cortical screw, or more recently, commercial intramedullary nail implants.
Acute Tibiotalocalcaneal Intramedullary Nailing
Intramedullary tibiotalocalcaneal (TTC) nailing is an established and well-accepted surgical option for degenerative hindfoot and ankle arthritis and for deformities such as Charcot arthropathy. Indications for use have expanded to acute trauma such as ankle and pilon fractures. As a load-sharing implant, this option provides a biomechanically stable construct with minimal soft tissue disruption with the allowance of early weight bearing which is particularly beneficial for the geriatric population. The goal with this fixation construct is stabilization of the operative limb, rather than anatomic reduction.
Georgiannos and colleagues performed a prospective randomized control study comparing TTC arthrodesis versus ORIF in fragility fractures of the elderly. They found equivalent functional outcomes and significantly lower revision rates in the TTC group.16 In contrast, Large and team compared TTC fusion with ORIF in elderly ankle fractures with at least 1 high-risk comorbidity. They found no significant differences in re-operation, infection or union rates between the cohorts.17 While TTC arthrodesis is a viable option for patients, significant complications can arise. Lu and coworkers found high complication rates following TTC arthrodesis in elderly patients with 10% superficial infection, 8% deep infection, 11% implant failure, 11% malunion and 27% all-cause mortality in a high-risk patient cohort with a mean age of 78 years and a diabetes mellitus prevalence rate of 42%.18 Again, a holistic approach should be taken to geriatric patient care, and acute hindfoot intramedullary nailing may best be served for low demand patients with significant comorbidities. Srinath and team developed a framework for choosing hindfoot nailing over standard open reduction internal fixation in the geriatric population. They determined hindfoot nailing is most reasonable in patients with cognitive impairment, uncontrolled diabetes, ASA >2, soft tissue compromise surrounding the ankle, and declining independent mobility.19
Insights on Postoperative Management and Complications
The primary goal in treating geriatric ankle fractures remains the achievement of a stable union while preserving quality of life. More frequent clinical and radiological follow-ups are recommended to detect and treat complications with either conservative or operative management. Regarding weight-bearing, geriatric patients may not be able to tolerate prolonged periods of non-weight-bearing. Even with partial weight-bearing, the geriatric population may struggle given possible proprioceptive loss and balance issues. A recent systematic review found early permissive weightbearing to be safe and even beneficial to elderly patients over 80 years old with conservatively or surgically treated ankle fractures.20
With this patient population, the prolonged postoperative course and longer recovery periods can lead to increased complication rates. Recent studies have shown complication rates ranging from 17 to 40% for patients older than 65 years with ankle fractures.21,22 Speck and colleagues performed a retrospective cohort study examining the complications after geriatric ankle fractures. They found wound complications to be the most prevalent with superficial and deep wound infection seen in 9.6% and 6.4% of patients, respectively. Additionally, they found increased age as an independent predictive variable for the occurrence of postoperative complications. Interestingly, they found that cast immobilization greater than 2 weeks was a protective factor to wound complications.23
Concluding Thoughts
With the continued rise in the elderly population in the United States, increasing incidence of geriatric ankle fractures are to be expected. Complex comorbidities, osteoporotic bone, and impaired mobility are a few risk factors the foot and ankle surgeon must consider when treating these injuries. A comprehensive approach to patient care is vital to determine the right treatment protocol individualized to each patient based on their fracture characteristics, respective perioperative risk factors, comorbid conditions and social history. The goal of care remains to improve and preserve quality of life while facilitating early mobilization and rehabilitation for adequate outcomes in geriatric ankle fractures.
Dr. Joseph is a Resident Physician at the OhioHealth Grant Medical Center Foot and Ankle Surgery Residency Program.
Dr. Barron is an Assistant Professor in the Department of Orthopedics at UT Health Science Center San Antonio.Dr. Holmes is the Residency Director at the OhioHealth Grant Medical Center Foot and Ankle Surgery Residency Program.
Editor’s Note: For more information on ankle fractures, see the Trauma Specialty Channel.
References
1. US Department of Health and Human Services, Administration for Community Living. Administration of Aging (AoA): projected future growth of the older population. Washington, DC: Administration for Community Living; 2014. http://www.aoa.gov/Aging_Statistics/future_growth/future_growth.aspx. Accessed April 8, 2025.
2. Centers for Disease Control and Prevention. Home and Recreational Safety. Older adult falls: get the facts. Atlanta, GA: Centers for Disease Control and Prevention. http://www.cdc.gov/homeandrecreationalsafety/falls/adultfalls.html. Accessed April 8, 2025.
3. Sporer SM, Weinstein JN, Koval KJ. The geographic incidence and treatment variation of common fractures of elderly patients. J Am Acad Orthop Surg. 2006;14:246-255.
4. Hsu RY, Lee Y, Hayda R, DiGiovanni CW, Mor V, Bariteau JT. Morbidity and mortality associated with geriatric ankle fractures: a Medicare Part A claims database analysis. J Bone Joint Surg Am. 2015;97(21):1748-1755. doi:10.2106/JBJS.O.00095. PMID: 26537162.
5. Kadakia RJ, Hsu RY, Hayda R, Lee Y, Bariteau JT. Evaluation of one-year mortality after geriatric ankle fractures in patients admitted to nursing homes. Injury. 2015;46(10):2010-2015. doi:10.1016/j.injury.2015.05.020.
6. Anand N, Klenerman L. Ankle fractures in the elderly: MUA versus ORIF. Injury.
1993;24(2):116-120. doi:10.1016/0020-1383(93)90202-h. PMID: 8505117.
7. Willett K, Keene DJ, Mistry D, et al; Ankle Injury Management (AIM) Trial Collaborators. Close contact casting vs surgery for initial treatment of unstable ankle fractures in older adults: a randomized clinical trial. JAMA. 2016;316(14):1455-1463. doi:10.1001/jama.2016.14719. PMID: 27727383.
8. Salai M, Dudkiewicz I, Novikov I, Amit Y, Chechick A. The epidemic of ankle fractures in the elderly—is surgical treatment warranted? Arch Orthop Trauma Surg. 2000;120(9):511-513. doi:10.1007/s004020000172. PMID: 11011670.
9. Beauchamp CG, Clay NR, Thexton PW. Displaced ankle fractures in patients over 50 years of age. J Bone Joint Surg Br. 1983;65(3):329-332. doi:10.1302/0301-620X.65B3.6404905. PMID: 6404905.
10. Strauss EJ, Egol KA. The management of ankle fractures in the elderly. Injury. 2007;38(Suppl 3):S2-S9. doi:10.1016/j.injury.2007.08.005. PMID: 17723786.
11. Aigner R, Lechler P, Boese CK, Ruchholtz S, Frink M. Operative treatment of geriatric ankle fractures with conventional or locking plates: a retrospective case-control study. Foot Ankle Surg. 2019;25(6):766-770. doi:10.1016/j.fas.2018.10.002. PMID: 30409472.
12. Herrera-Pérez M, Gutiérrez-Morales MJ, Guerra-Ferraz A, et al. Locking versus non-locking one-third tubular plates for treating osteoporotic distal fibula fractures: a comparative study. Injury. 2017;48(Suppl 6):S60-S65. doi:10.1016/S0020-1383(17)30796-9. PMID: 29162244.
13. Lin Y, Gao J, Zheng H, et al. Evaluating fibular intramedullary nails vs traditional plating in geriatric ankle fractures: a 12-year single-center retrospective study. Foot Ankle Int. 2024;45(8):824-832. doi:10.1177/10711007241247849. PMID: 38721810.
14. Appleton P, McQueen M, Court-Brown C. The fibula nail for treatment of ankle fractures in elderly and high-risk patients. Tech Foot Ankle Surg. 2006;5(3):204-208.
15. Carter TH, Wallace R, Mackenzie SA, et al. The fibular intramedullary nail versus locking plate and lag screw fixation in the management of unstable elderly ankle fractures: a cadaveric biomechanical comparison. J Orthop Trauma. 2020;34(11):e401-e406. doi:10.1097/BOT.0000000000001814. PMID: 33065664.
16. Georgiannos D, Lampridis V, Bisbinas I. Fragility fractures of the ankle in the elderly: open reduction and internal fixation versus tibio-talo-calcaneal nailing. Injury. 2017;48(2):519-524. doi:10.1016/j.injury.2016.11.017. PMID: 27908492.
17. Large TM, Kaufman AM, Frisch HM, Bankieris KR. High-risk ankle fractures in high-risk older patients: to fix or nail? Arch Orthop Trauma Surg. 2023;143(7):3725-3734. doi:10.1007/s00402-022-04574-3. PMID: 35947171.
18. Lu V, Tennyson M, Zhou A, et al. Retrograde tibiotalocalcaneal nailing for the treatment of acute ankle fractures in the elderly: a systematic review and meta-analysis. EFORT Open Rev. 2022;7(9):628-643. doi:10.1530/EOR-22-0017. PMID: 36125009; PMCID: PMC9624482.
19. Srinath A, Matuszewski PE, Kalbac T. Geriatric ankle fracture: robust fixation versus hindfoot nail. J Orthop Trauma. 2021;35(Suppl 5):S41-S44. doi:10.1097/BOT.0000000000002232. PMID: 34533502.
20. van Halsema MS, Boers RAR, Leferink VJM. An overview on the treatment and outcome factors of ankle fractures in elderly men and women aged 80 and over: a systematic review. Arch Orthop Trauma Surg. 2022;142(11):3311-3325. doi:10.1007/s00402-021-04161-y. PMID: 34546421; PMCID: PMC9522701.
21. Anderson SA, Li X, Franklin P, Wixted JJ. Ankle fractures in the elderly: initial and long-term outcomes. Foot Ankle Int. 2008;29(12):1184-1188. doi:10.3113/FAI.2008.1184. PMID: 19138481.
22. Lynde MJ, Sautter T, Hamilton GA, Schuberth JM. Complications after open reduction and internal fixation of ankle fractures in the elderly. Foot Ankle Surg. 2012;18(2):103-107. doi:10.1016/j.fas.2011.03.010. PMID: 22443995.
23. Spek RWA, Smeeing DPJ, van den Heuvel L, et al. Complications after surgical treatment of geriatric ankle fractures. J Foot Ankle Surg. 2021;60(4):712-717. doi:10.1053/j.jfas.2019.12.012. PMID: 33789807.


