Skip to main content

Volume 35 - Issue 1 - January 2022

Featured Article

Feature
01/04/2022
Jennifer J. Spector, DPM, FACFAS
Elite athletes depend on expert health care providers to keep them at their highest level of performance. Podiatry is no exception. In this article, the author had the opportunity to speak with several leading DPMs working with professional...
Elite athletes depend on expert health care providers to keep them at their highest level of performance. Podiatry is no exception. In this article, the author had the opportunity to speak with several leading DPMs working with professional...
Elite athletes depend on expert...
01/04/2022
Podiatry Today
01/31/2022
Christopher Bergen, DPM, AACFAS; Ali M. Saleh, DPM, AACFAS; Abshan Malik, DPM; Michael Subik, DPM, FACFAS
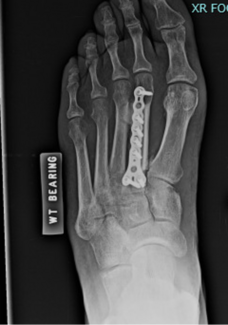
For many reasons, definitively diagnosing Charcot neuroarthropathy versus osteomyelitis is often not clear on any one imaging study. However, data provided by such studies can be diagnostically and therapeutically relevant. Here the authors...
For many reasons, definitively diagnosing Charcot neuroarthropathy versus osteomyelitis is often not clear on any one imaging study. However, data provided by such studies can be diagnostically and therapeutically relevant. Here the authors...
For many reasons, definitively...
01/31/2022
Podiatry Today
Wound Care Q&A
01/24/2022
Karli Richards, DPM, MHA, FACFAS, CWSP; Kazu Suzuki, DPM, CWS; Patrick McEneaney, DPM, FACFAS, AAPWCA; Christine Miller, DPM, PhD, CWSP, FACCWS
Although 2021 was not the first year in which the medical community experienced the COVID-19 pandemic, it certainly brought its own share of lessons, challenges and triumphs. In this column, the panelists reflect on the past year in their...
Although 2021 was not the first year in which the medical community experienced the COVID-19 pandemic, it certainly brought its own share of lessons, challenges and triumphs. In this column, the panelists reflect on the past year in their...
Although 2021 was not the first...
01/24/2022
Podiatry Today
Treatment Dilemmas
01/19/2022
Bob Baravarian, DPM, FACFAS
In this article, the author shares his experience with approaches to this complex deformity.
In this article, the author shares his experience with approaches to this complex deformity.
In this article, the author...
01/19/2022
Podiatry Today
News and Trends
01/17/2022
Jennifer J. Spector, DPM, FACFAS
Read the latest news and updates on research in foot and ankle medicine and surgery.
Read the latest news and updates on research in foot and ankle medicine and surgery.
Read the latest news and updates...
01/17/2022
Podiatry Today
Diabetes Watch
01/14/2022
Nathan Ptak, DPM; Jonathan Ray, DPM; Trenton Read, DPM; Clint Larsen, DPM
What does the literature reveal about this popular antibiotic combination?
What does the literature reveal about this popular antibiotic combination?
What does the literature reveal...
01/14/2022
Podiatry Today
Feature
01/10/2022
Jeffrey E. McAlister, DPM, FACFAS; Keegan A. Duelfer, DPM
Interest continues to grow in minimally invasive surgical (MIS) techniques throughout foot and ankle surgery in hopes of decreasing surgical trauma, mitigating certain risks, and perhaps allowing for earlier return to activity. Here the...
Interest continues to grow in minimally invasive surgical (MIS) techniques throughout foot and ankle surgery in hopes of decreasing surgical trauma, mitigating certain risks, and perhaps allowing for earlier return to activity. Here the...
Interest continues to grow in...
01/10/2022
Podiatry Today
Feature
01/07/2022
Joshua A. Sebag, DPM, FACFAS, DABFAS; Jashan Valjee, DPM, FACFAS
Here the authors debate the issue of the best surgical approach to osteochondral talar defects.
Here the authors debate the issue of the best surgical approach to osteochondral talar defects.
Here the authors debate the...
01/07/2022
Podiatry Today
Feature
01/05/2022
Tracey C. Vlahovic, DPM, FFPM, RCPS(Glasg)
Podiatrists often spend time in their practices with patients, dispelling myths about various foot concerns, but one should also consider myths perpetuated by colleagues, mentors, or even oneself. Here the author breaks down the available...
Podiatrists often spend time in their practices with patients, dispelling myths about various foot concerns, but one should also consider myths perpetuated by colleagues, mentors, or even oneself. Here the author breaks down the available...
Podiatrists often spend time in...
01/05/2022
Podiatry Today
01/03/2022
Danielle N. Butto, DPM, FACFAS; Rachel Balloch, DPM, FACFAS; Daniel Wilkes, DPM
Bone defects that can arise in situations such as trauma can pose significant challenges to the foot and ankle surgeon. In this piece, the authors present a case where fibular autologous grafting made an impact after a gunshot wound to the...
Bone defects that can arise in situations such as trauma can pose significant challenges to the foot and ankle surgeon. In this piece, the authors present a case where fibular autologous grafting made an impact after a gunshot wound to the...
Bone defects that can arise in...
01/03/2022
Podiatry Today
Surgical Pearls
12/28/2021
Hummira H. Abawi, DPM, FACFAS, DABPM; Victoria M. Nolte, DPM
As minimally invasive surgery grows in popularity, its applications also grow. Here the authors address these approaches for pediatric bunion deformities.
As minimally invasive surgery grows in popularity, its applications also grow. Here the authors address these approaches for pediatric bunion deformities.
As minimally invasive surgery...
12/28/2021
Podiatry Today
Forum
12/21/2021
Stephanie Hook, DPM, DABPM, FACPM
New years can signify new beginnings, and podiatric practice is no exception. Here the author shares ideas to consider in 2022.
New years can signify new beginnings, and podiatric practice is no exception. Here the author shares ideas to consider in 2022.
New years can signify new...
12/21/2021
Podiatry Today