What Role Does MIS Play In Trauma Surgery?
Minimally invasive surgical (MIS) techniques continue to steadily integrate into foot and ankle surgery practices, as well as appearing throughout the literature at a steadily increasing pace. Recent literature has mainly focused on the role of minimally invasive surgery in select forefoot and rearfoot elective scenarios, such as hallux valgus, hammertoe and brachymetatarsia. These techniques can allow for adequate correction of a specific deformity, with the added benefit of reduced surgical trauma through minimal incisions, without compromise of exposure or safety to the patient. Unlike elective surgery, traumas are unplanned, and the surgeon does not have the luxury to perform their routine patient selection process in patients with complex comorbidities.
One could potentially replicate in trauma surgery the reported benefits of minimally invasive techniques seen in elective surgery if not for the confounding factor of the amount of soft tissue injury that is already present. This may be especially true in trauma patients with diabetes, peripheral vascular disease, malnutrition, alcoholism, corticosteroid use, history of pain, and history of substance abuse. However, minimally invasive surgery techniques could also help surgeons to avoid further soft tissue damage and decrease the likelihood of compartment syndrome.1,2 Traditionally, minimally invasive surgery in the realm of trauma utilizes external fixation constructs; however there does exist precise techniques for specific fractures in the foot and ankle which we will discuss throughout this article. It is important to understand that the decision to move forward with a minimally invasive technique is multifactorial, and depends on surgeon training and experience, as well as comfort level. The authors fully advocate the use of MIS techniques, but only after mastering an open approach to either trauma or elective procedures.
Approaching Pilon Fractures With Fine Wire Fixation
Pilon fractures are often secondary to high velocity injuries, which take a significant toll on the soft tissue envelope surrounding the ankle, and open fractures pose a specific clinical conundrum. The complexity of these injuries, in addition to the lack of muscle coverage and poor vascularity, makes these fractures especially difficult to treat. Traditionally, external fixation through Ilizarov methods has been the tried-and-true treatment for pilon fractures. We apply the tibial portion of the frame first, usually consisting of two or three rings. We then affix at least the proximal two rings to the tibia in accordance with the principles of Ilizarov techniques. Application of foot frames then takes place with two wires in the calcaneus and one wire in the talus, depending on surgical approach. A 5/8-ring around the hindfoot holds the calcaneal and talar wires and connects to the tibial portion by two threaded rods or struts. Reduction of the fracture takes place by distraction between the tibial segments of the frame and the foot segment through the threaded rods or struts. Insertion of olive wires can then compress the bony fragments. Fluoroscopy can then confirm the position of the wires and the reduction of the fractures. Patients are then partial weight-bearing with the external fixator in place for up to six months at times, to allow for proper healing. Surgeons can combine this method with internal fixation, and often times, both can compliment each other.
A portion of the literature calls for ankle arthroscopy for additional visualization of the articular surface and to further ensure adequate reduction.3 This specific technique is typically used in high-risk patients when plating or intramedullary fixation is not an option and soft tissue trauma is advanced. A recent study retrospectively assessed 169 distal tibial fractures, of which 28 percent were open and treated with ring external fixation. They noted that 98 percent of the fractures united at a median of 166.5 days and reported few serious complications.3 The authors limit the choice for fine wire fixation in distal tibial intra-articular fractures to open, or infected non-union cases.
Pilon Fracture Repair Using Minimally Invasive Plate Osteosynthesis
Recently, the literature described minimally invasive plate osteosynthesis (MIPO) for distal tibial fractures as an alternative option to Ilizarov external fixation, utilizing internal fixation with minimal incisions and minimal surgical trauma to soft tissues.4 Management of these distal tibial fractures with MIPO enables preservation of soft tissues and the remainder of the blood supply. A full discussion regarding distal tibial fracture fixation is much beyond the scope of this article, but typically fracture reduction/ fixation here is through either an anterolateral or medial incisional approach. Medially, one makes a straight incision at the level of the medial malleolus, taking care to preserve the saphenous vein and nerve. Fracture reduction is achievable through a multitude of options, including manual traction of the calcaneus, percutaneously placed reduction clamps, and temporary external fixation in a delta configuration. After reduction, one places a distal tibial locking plate through the medial malleolus incision in a subperiosteal manner. Plate screws are placed through this incision and additional locking screws are traditionally placed halfway up the plate, and at the proximal most portion of the plate through two separate small incisions. Recent studies call for an anterior curved incision that allows for visualization of the articular surface, as well as the medial malleolus and lateral most portion of the tibia for better reduction potential.5 This is the authors’ preferred method due to fracture visualization, plate-to-bone apposition, and operating efficiencies.
Pathways For Pilon Fractures With An Acute Hindfoot Nail
We have seen that acute hindfoot nailing for pilon fractures has become more common in orthopedic communities and academic centers alike, but only in specific high-risk patients with diabetes, end-stage renal disease, and the elderly. Typically, in this scenario, we typically minimally prep the joints are minimally prepped and keep incisions small to avoid wound complications associated with the above patient demographics. We then insert a retrograde compression nail traversing both subtalar and ankle joints which provides axial stability. Due to the load-sharing capabilities of the implant, we allow these patients to minimally weight-bear for transfers from the first postoperative appointment in a short leg cast. Studies show complication rates comparable with other methods of fixation and an eight percent major complication rate, but the literature is limited to level IV studies.6,7 Risks are obvious, and include, but are not limited to, hardware failure, nonunion, infection and amputation. The authors only use this on a limited basis for patients with uncontrolled diabetes mellitus, end-stage renal disease, severe vasculopathy, and/or advanced age.
Minimally Invasive Approaches To Achilles Tendon Repair
Traumatic Achilles tendon ruptures often present with a significant amount of soft tissue edema along the entire posterior calf. There is sparse soft tissue coverage over the Achilles tendon, which can make surgical closure over the tendon tenuous in the setting of trauma and increased soft tissue swelling. The natural history of Achilles rupture repair has gone from large incisional approaches with a higher risk of infection and dehiscence, to the advent of minimal-incision repair.8 Percutaneous Achilles repair systems exist with this in mind, and utilize minimal incisions in order to fully repair Achilles tendon ruptures. Patient selection is paramount and not all ruptures are created equal.
Various approaches allow for several treatment options, depending on height of the Achilles rupture, patient age and activity level. We find mid-substance ruptures are best and most safely re-approximated with a minimal-incision jig system, although distal avulsions will typically require anchor fixation as well. One bases the incision upon the proximal stump of the ruptured tendon, and in our experience, the incision is usually about two cm in length and directed longitudinally. Once visualizing the tendon through the incision, we grasp the tendon with a clamp and use a percutaneous Achilles repair jig to pass a suture needle through the skin into the proximal stump as instructed by the particular jig system. At this point we remove the jig through the incision, and this action will slide the suture from the skin internally and adjacent to the proximal stump of the Achilles tendon both medially and laterally. We repeat the same process to the distal stump through the jig and tie the corresponding sutures off to their opposite counterpart under appropriate tension. The foot is held in slight plantarflexion while repairing the tendon. Distal stump avulsions often require augmentation with two distal anchors into the calcaneus at “dead man’s angle,” or 90 degrees to the pull of the tendon. Systematic reviews show that minimal-incision Achilles repairs have a lower overall complication rate, but similar patient-reported outcomes at six-to-nine months postoperatively.9 Further studies are necessary to fully assess which type of minimally invasive repair is superior. The authors advocate for minimal-incision approaches for most Achilles ruptures unless it is chronic in nature or patients smoke or are of advanced age. In our experience, these patients typically will need open repairs with proximal tendon advancement or allograft.
Minimally Invasive Considerations For Fibula Fractures
Traditional fixation methods of the distal fibula consist of an interfragmentary screw with 1/3-tubular plate versus a locking plate of the distal fibula, which require larger incisions. This may place undue stress and trauma along the soft tissues, especially if high-velocity trauma is at fault. There will be cases that require open approaches, but not all do, and the advancement of technology allows surgeons to fixate and reduce these fractures with simple techniques and achieve high patient satisfaction. Descriptions of a typical approach to percutaneous fixation of the fibula utilize a stab incision along the distal-most portion of the lateral malleolus. A guidewire or K-wire placed at the distal-most tip of the lateral malleolus then drives into the medullary canal of the fibula under fluoroscopic guidance. Before the wire crosses the fracture fragment it can facilitate reduction of the fracture fragment. Once confirming proper reduction of the fracture and placement of the guidewire, we use either a medullary fibular nail or 4.5 mm intramedullary screw for fracture fixation. The advantage of the fibular nail is that syndesmotic fixation is still possible, whereas with the screw option, we find there is not enough room to place syndesmotic fixation. The patient selection process is again very important, as with other minimally invasive techniques.
The fibular nail is a newer viable option that technology borrowed from other long bones and transformed the same thought process into the fibula with distal interlocking screws and optional syndesmotic fixation pins, as well as proximal endosteal fixation. The authors prefer a fibular locking nail because of the small incisional footprint and earlier return to activity post-injury. Recent literature also points towards fewer wound complications and need for hardware removal.10,11
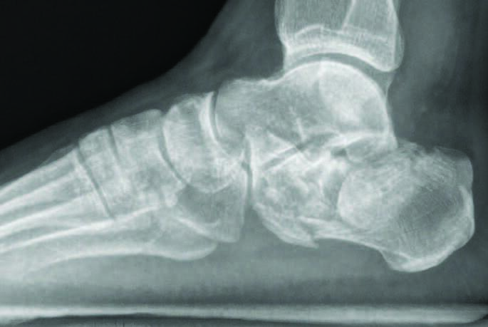
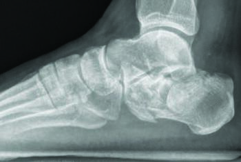
A Closer Look At Calcaneus Fractures
Injuries resulting in calcaneal fractures are usually high velocity in nature and are associated with proximal polytrauma. The fractures in the calcaneus seen from these types of injuries are oftentimes multiple and result in lateral wall blowout. Due to the forces seen in these injuries further soft tissue injury from surgery is a concern. The main goals in reducing calcaneal fractures are to maintain the height and length of the calcaneus, and to preserve as much of the STJ articulation as possible in proper alignment. This can be facilitated through Schantz or Steinmann pins into the calcaneal tubercle placed percutaneously to restore the height and length through manual traction. The basic minimal incision approach to calcaneal fractures entails a sinus tarsi approach instead of a large lateral extensile incision. Further reduction of the anterior process, and posterior facet of the STJ articulation can be achieved through percutaneous K-wire fixation from the lateral wall and incorporating the sustentaculum tali medially. The calcaneal plate can be introduced in much the same manner as the MIPO technique seen in pilon fractures. The main incision is usually placed lateral to the Achilles tendon insertion with the length that allows full introduction of the calcaneal plate. Posterior screw fixation can be introduced through this larger incision. Two minimal incisions can often times be utilized to place the remaining anterior and middle cluster of screws. The final reduction and fixation are checked under fluoroscopy before closure. Long-term data of percutaneous calcaneal fracture fixation of Sanders II and III fractures at 16 years shows ‘essentially normal’ function.12 Arthroscopic debridement is oft employed here to facilitate reduction and confirmation of joint surface restoration. The authors typically advocate for a sinus tarsi approach with plate/screw fixation with a final arthroscopic confirmation of fracture reduction at closure.
Concluding Thoughts
There are number of minimally invasive surgical techniques one can employ in foot and ankle trauma surgery to decreased compromise of the soft tissue envelope. We introduce some of those techniques with greater presence in the literature in brief detail above, however, there are further techniques that may not garner mention in the literature due to their more fundamental nature. These include external fixation through delta framing, external fixation of high-velocity fractures through mono-rail and Ilizarov techniques, as well as percutaneous K-wire fixation of fracture fragments. These techniques also work towards decreasing additional soft tissue trauma while still providing greater anatomic alignment of fracture fragments. Even if optimal anatomic reduction is not fully achievable, better alignment of fracture fragments will decrease bleeding from the bone, which will lessen the ultimate amount of swelling, pain, soft tissue trauma, and other potential complications. There are instances where one cannot manage appropriate anatomic reduction without traditional open reduction and internal fixation through larger incisions, and in these instances, minimally invasive surgical techniques may prove useful as a first-stage surgery. Alternately, surgical management may need to wait until achieving an appropriate decrease in soft tissue swelling. We feel minimally invasive surgical techniques are useful to all, and can be employed in foot and ankle trauma surgery before proceeding with open surgery, to augment traditional open reduction and internal fixation, or instead of open reduction and internal fixation through traditional large incisions. These techniques may lead to better patient outcomes, decreased overall pain, decreased soft tissue swelling, and decreased recovery time.
Dr. McAlister is a fellowship-trained foot and ankle surgeon practicing in Scottsdale and Phoenix, Arizona. He is a Fellow of the American College of Foot and Ankle Surgeons.
Dr. Duelfer is a third-year foot and ankle resident at Regions Hospital/Health Partners in Saint Paul, MN.
1. McDonald M, Burgess R, Bolano R, Nicholls P. Ilizarov treatment of pilon fractures. Clin Orthop Rel Res. 1996;(325):232-238.
2. Mowafi H, El- Hawary A, Kandil Y. The management of tibial pilon fractures with the ilizarov fixator: the role of ankle arthroscopy. Foot (Edinb). 2015;25(4):238-243.
3. Giannoudis VP, Ewins E, Taylor DM, Foster P, Harwood P. Clinical and functional outcomes in patients with distal tibial fracture treated by circular external fixation: a retrospective cohort study. Strategies Trauma Limb Reconstr. 2021;16(2):86-95.
4. Baris A, Circi E, Demirci Z, Ozturkmen Y. Minimally invasive medial plate osteosynthesis in tibial pilon fractures: long-term functional and radiological outcomes. Acta Orthop Traumatol Turc. 2020;54(1):20-26.
5. Wu D, Peng C, Ren G, Yuan B, Liu H. novel anterior curved incision combined with MIPO for pilon fracture treatment. BMC Musculoskelet Disord. 2020;21(1):176.
6. Cinats DJ, Kooner S, Johal H. Acute hindfoot nailing for ankle fractures: a systematic review of indications and outcomes. J Orthop Trauma. 2021;35(11):584-590.
7. Al-Ashhab ME. Primary ankle arthrodesis for severely comminuted tibial pilon fractures. Orthopedics. 2017;40(2):e378-e381.
8. Hsu A, Jones C, Cohen B, Davis W, Ellington J, Anderson R. Clinical outcomes and complications of percutaneous achilles repair system versus open technique for acute achilles tendon ruptures. Foot Ankle Int. 2015;36(11):1279-1286.
9. Meulenkamp B, Woolnough T, Cheng W, et al. What is the best evidence to guide management of acute Achilles tendon ruptures? A systematic review and network meta-analysis of randomized controlled trials. Clin Orthop Relat Res. 2021;479(10):2119-2131.
10. Loukachov V, Birnie M, Dingemans S, de Jong V, Schepers T. Percutaneous intramedullary screw fixation of distal fibula fractures: a case series and systematic review. J Foot Ankle Surg. 2017;56(5):1081-1086.
11. Tas DB, Smeeing DPJ, Keizer J, Houwert RM, Emmink BL. Postoperative complications of minimally invasive intramedullary nail fixation versus plate fixation for distal fibular fractures in elderly patients: a retrospective double cohort study in a geriatric trauma unit in the Netherlands. J Foot Ankle Surg. 2021:S1067-2516(21)00406-3. doi: 10.1053/j.jfas.2021.10.019. Online ahead of print.
12. Driessen M, Edwards M, Biert J, Hermans E. Long-term results of displaced intra-articular calcaneal fractures treated with minimal invasive surgery using percutaneous screw fixation. Injury. 2021;52(4):1054-1059.


