Minimally Invasive Approaches To Juvenile Hallux Abducto Valgus Deformity
Juvenile hallux abducto valgus (HAV) deformities affect approximately 36 percent of the pediatric population, predominately female.1 One can attribute juvenile HAV deformity to congenital, neurogenic, idiopathic etiologies, and/or biomechanical compensatory changes.1 During the physical exam, one must examine and rule out congenital deformities to accurately determine the best treatment options. It is also important to consider the neuromuscular influences of cerebral palsy and myotonic dystrophy, as well as joint laxity-associated disorders like Marfan and Ehlers-Danlos syndromes.2 Though pain and function help drive a provider’s decision-making process, parental concerns with difficulty finding adolescent shoes to accommodate the HAV must also be a consideration in the treatment decision-making process.
Key Aspects Of The Pediatric Workup For HAV
A sequential examination from hindfoot to forefoot is crucial to assess the stability of the triplanar deformity and contributing etiology. Evaluating the suppleness of the subtalar joint and Achilles tendon clinically, through range of motion, and radiographically, by measuring the talocalcaneal angle and amount of calcaneal positioning in the frontal plane, is an important first step. In Root’s theory of subtalar joint neutral, pes valgus leads to a progressive inversion of the first metatarsal relative to the hallux during the propulsive period of the stance phase in gait.3 This forefoot instability progresses MTPJ joint subluxation with the hallux tracking laterally. Forefoot evaluation includes assessing the dorsal and plantar deviation of the first tarsometatarsal joint and the flexibility of the first metatarsal joint and hallux deviation, all while the subtalar joint is in neutral.3
Predictors of juvenile HAV severity, in addition to subtalar joint pronation, include: rounding of the first metatarsal head; an atavistic cuneiform; a hypermobile or long first ray; and a high metatarsus primus adductus angle.4 Additional pes planus-related radiographic measurements include an increased first intermetatarsal angle, reported in 26.6 percent of adolescents and an increased metatarsus primus varus angle in 8.1 percent.5 Anatomic abnormalities such as Achilles equinus contractures, digital contractures, syndactyly, metatarsus adductus, hereditary exostoses, and congenital hip dislocation may need attention for long-term successful HAV treatment. Other considerations include brachymetatarsia, where a shortened lesser metatarsal leads to an abnormal transverse metatarsal parabola, allowing more lateral deviation of the hallux and increased metatarsus varus angle due to soft tissue balancing effects.
Conservative Treatment Points In Juvenile HAV
Management of juvenile HAV following clinical evaluation can consist of, in our experience, conservative options such as accommodative shoes with a wider toe box, and shoe modifications to traditionally narrow athletic gear like cleats. Silicone spacers to prevent lateral drift of the hallux and medial padding over the first MTPJ provide a medium to prevent pain and erythema. Bunion splints and physical therapy attempt to alleviate the offending intrinsic and extrinsic muscle influences at the joint. Other options include custom-molded orthotics, to much controversy, as well as injection therapy. With all conservative treatment options, we find there is a progression of deformity, most commonly in adolescents between the ages of 10 and 14 years.
Custom-molded orthoses have long been a popular treatment for adolescent hallux abductovalgus. Past literature suggested that while custom orthotics manage subtalar motion, there is controversy as to if they help alleviate or slow the progression of the hallux valgus deformity. Kilmartin and colleagues, in a prospective study of the effectiveness of orthoses, proposed that orthoses do not prevent progression of juvenile HAV, and may, in fact, increase the rate.6 Hallux abducto valgus deterioration regardless of orthoses utilization suggests that the deformity may advance independently of hindfoot pronation/eversion. A study in the general population evaluated CMO versus surgical treatment against a control group. The authors found more extended pain alleviation of the surgical group than the orthoses group, which only alleviated pain for about six months.7
Surgical Options To Consider
A myriad of open and minimally invasive (MIS) surgical procedures exist for this patient population, with various long-term data demonstrating outcomes, complications, and failure rates. While the literature skeptically portrays early percutaneous procedures, in my experience modern developments in technology have led to much-improved outcomes and techniques, albeit with a lack of long-term data to explain why surgeons continue to shy away from such methods. Minimizing failure rates and increasing patient satisfaction of hallux valgus correction is an important objective of surgeons continuing to improve on traditional methods. The ability of MIS to allow early mobilization by utilizing the same AO principles of traditional methods and the ease of reproducible triplanar correction continues to be a motivation, in my observation, to advance this newer approach and increase its utilization in the podiatric surgical field.
Documentation of surgical correction of hallux valgus first occurred in the early 1800s, with the earliest reports of percutaneous correction in the 1940s. Podiatric physicians experienced surgical restrictions at this time, and MIS provided an avenue for circumvention. Complications arose due to a lack of supportive means, and these outcomes led to an abrupt return to open procedures. The 1960s provided power equipment development and intraoperative fluoroscopy, which significantly improved outcomes of both open and percutaneous procedures. With the arrival of these modern tools, surgeons began to revisit the utilization of percutaneous procedures towards the end of the millennia. A subcapital osteotomy technique reported by Bosch, and “Simple, Effective, Rapid, Inexpensive,” modified by Giannini in the early 2000s, implemented a modern look at MIS hallux valgus procedures.8,9 Most recently, a guide to the percutaneous bunionectomy written by Siddiqui in 2014, and MIS radiographic outcomes in 2016, provided another available tool to surgeons, which decreased the complication rates and expanded the confidence in utilization of MIS bunion correction universally.10
Harb and team reviewed patient satisfaction and radiological outcomes of more traditional methods of juvenile HAV correction, including proximal metatarsal, shaft, and distal procedures from nine different studies.1 Complications included infection (two percent), postoperative pain (11.9 percent), recurrence (eight percent), non-union (0.5 percent), metatarsalgia (0.5 percent), scar hypersensitivity (4.5 percent), and development of complex regional pain syndrome (0.5 percent). The overall revision rate was four percent due to non-union, recurrence, and dissatisfaction with cosmesis.1 One study also focused on the MIS approach, which reported undercorrection (10 percent). The review concluded that as fixation methods and techniques improve in surgical correction of juvenile HAV, patient satisfaction and clinical outcomes will only continue to improve. Also, they noted that anatomic variations influenced by skeletal maturity continues to influence surgical timing.1
Anatomic variations in pedal angiography are also important for surgical planning, as preservation of blood supply is paramount to achieving fracture healing. Variations encompass the absence or small diameter of the dorsalis pedis artery, or variations in the first dorsal metatarsal artery.11 Kuhn and colleagues analyzed blood flow recordings in 20 patients throughout a chevron bunionectomy.12 With each portion of the procedure, including medial capsulotomy, adductor tenotomy, lateral release, and osseous realignment, a statistically significant decrease in blood flow to the metatarsal head at each portion of the procedure occurred in 71 percent of subjects. It is important to also note that they found low resultant complication rates within this small population.12
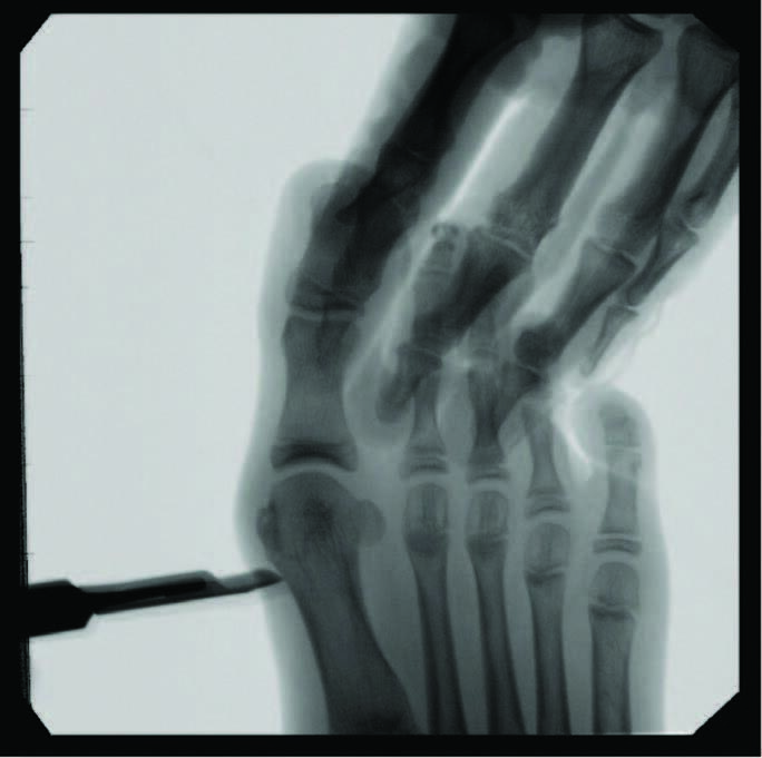
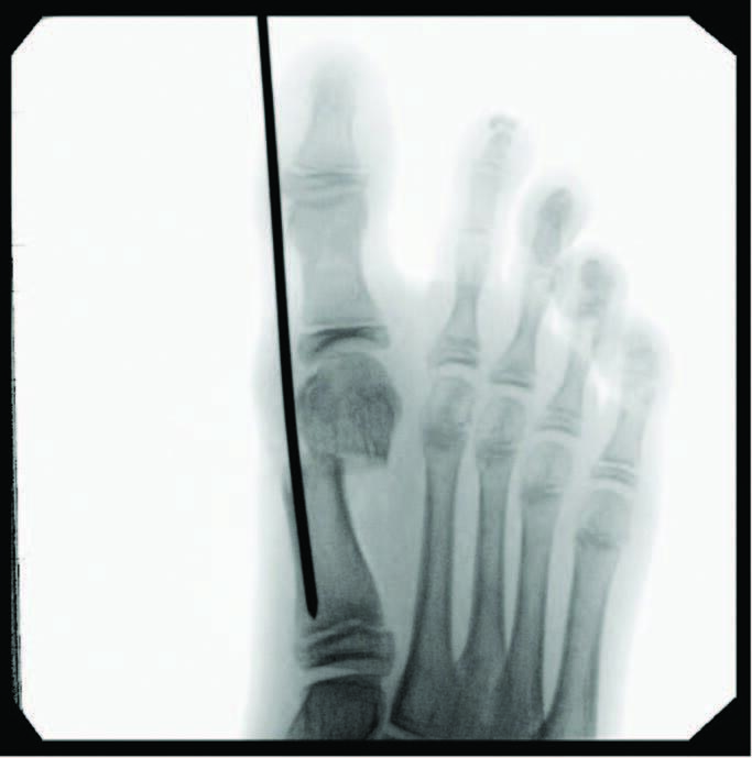
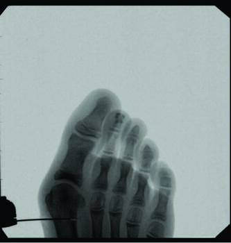
Open and percutaneous osseous procedures rely on physiologic principles of soft tissue and bone healing, where Davis’ and Wolff ’s laws each describe that tissue healing models along imposed demands, according to how they are mechanically stressed. In our experience, allowing patients to weight-bear immediately after surgery will encourage mechanotransduction through stress and load along the osteotomy site. The opposite will occur with a decrease in load and demand along the medial aspect of the first metatarsal, known as the “medial step,” which is just proximal to the osteotomy. Due to the lack of stimulus along the anatomic area, the bone will be less dense; therefore, in theory, it should remodel along the osteotomy site. We feel that one should still consider smoothing out the ‘medial step off ’ along the MIS osteotomy if a ledge is appreciable intraoperatively.
Although minimally invasive hallux valgus surgery is a more modern technique, especially for the pediatric population, it still relies, in my experience, on AO principles of fracture fixation, including anatomic reduction in the first intermetatarsal and hallux abductus angles, stable fixation, preservation of blood supply, and early active mobilization. I find the percutaneous approach allows the reduction of a wide range of mild to severe radiographic angles and preservation of blood supply. In a study of minimally invasive bunion procedures, surgeons achieved up to a 12.5 degree correction of the first intermetatarsal angle and reported a 5.3 percent reoperation rate. The study was from a surgeon’s first 94 MICA procedures, and the author challenged the previously reported steep learning curve, citing low complication rates and ease of reproducibility.13
One can allow early mobilization by immediate weight-bearing in the postoperative course, most notably providing a decrease in adhesions and consequent stiffness of the joint. Another advantage includes multiple viable fixation options, including splintage with a Steinmann pin through external fixation. Many long-term risks of internal fixation include foreign body reaction, growth disturbance, chronic infection, corrosion, implant migration, and potential interference in orthopedic treatment later in life.14 Schmittenbecher and coworkers described risks of implant removal in children with various fixation options, concluding that each patient’s treatment selection must weigh the benefits and risks.14 Steinmann pin fixation may, in my experience, alleviate these risks, removing it around four weeks postoperatively.
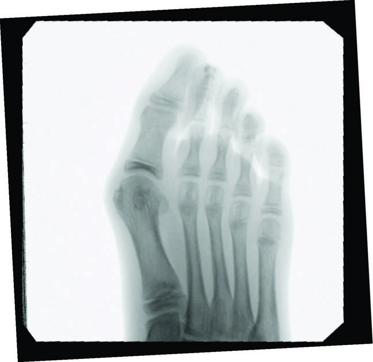
As we all know, in stage two of fracture healing, the bone will form a fibrocartilaginous callus; this internal callus houses new blood vessels in the newly formed spongy trabeculae. Therefore, at four-week postoperative radiographs, one may not appreciate a bone bridge across the osteotomy site. As long as an intracapsular osteotomy took place through a minimal approach, I find the capital fragment should stay inherently stable. In my experience, the osteotomy site will form a robust bone bridge through mechanotransduction.
When we approach surgical correction of hallux valgus, goals include realigning the hallux joint across all three planes, improving the first intermetatarsal angle, restoring and maintaining a pain-free joint, improving cosmesis, and allowing a return to comfortable shoes. Inclusion criteria for surgery that we consider include intact vasculature, Vitamin D-25 levels above 40 nmol/dl, and medical stability in the presence of comorbidities. Percutaneous hallux valgus correction has indication for spastic or non-spastic bunions, revisions, and a wide range of intermetarsal angles. Other exclusion considerations include patients with severe osteoarthritis or osteomyelitis near the first metatarsophalangeal joint.
Complications Surgeons Should Keep In Mind
Some surgeons hypothesize that the lack of lateral capsular or tendon balancing procedures allows an increase in soft tissue tension to provide stability to the capital fragment of a construct that is not inherently stable. Common complications include relapse or malalignment, where the capital fragment achieves excess dorsiflexion or plantarflexion. The most common complication reported by some is pin site infection at 19.4 percent, successfully treated with oral antibiotics.10
In a study comparing MIS to distal chevron metatarsal osteotomy bunion correction in a population of young females, there were no statistically significant outcomes in postoperative radiographic measurements of hallux valgus angle, DMAA, sesamoid position, first metatarsal length, and relative second metatarsal length.15 Clinical scores significantly increased postoperatively in both groups, with higher cosmesis satisfaction rates and a shorter operative time in the MIS group. This study found that the most significant complication in the MIS group was revision due to osteotomy site irritation occurring about three months postoperatively, while deformity correction was necessary two years postoperatively in the chevron group.15
Kaufmann and colleagues compared five-year outcomes of open distal metatarsal chevron osteotomies to a minimally invasive approach, finding comparable satisfaction as well as radiographic and clinical outcomes in both groups.16 More recently, Neufeld and team reported that the minimally invasive chevron and Akin (MICA) procedure achieves reproducible significant correction and high patient satisfaction with early weight-bearing and fast pain score improvement.13 They noted a 5.3 percent reoperation rate due to hardware removal, debridement, and neurolysis, finding no significant increase in nerve injury between the MICA and open procedure groups. The authors also noted significant deformity correction is possible with the third-generation approach of utilizing two bicortical screws.13
Closing Remarks
Over the last decade, I, the senior author, have performed hundreds of bunion procedures through both traditional and minimally invasive approaches. My criteria for surgical candidacy for MIS procedures started in the high-risk wound population with multiple comorbidities, including patients with diabetes, human immunodeficiency virus (HIV), acquired immunodeficiency syndrome (AIDS), rheumatoid arthritis (RA), and transplant recipients. All of these populations of patients are at higher risk for surgical complications, such as infections and wound and bone healing delays. My outcomes and results in these patients were so remarkable that I then expanded my criteria to include healthier and higher-demand populations, including children and athletes. In my experience, this surgical approach can help address a complex deformity in the young population, decreases postoperative rehabilitation, improves function, and avoids disrupting a child’s open growth plate. All possible without leaving hardware behind.
Lastly, to be a proficient minimally invasive surgeon, one first needs a strong foundation using the traditional open approach. The first MTPJ is a complex and intricate structure. Therefore, the surgeon must master approaching this surgical area through an open approach to appreciate the intimate anatomic attachments to the deformed joint. Understanding the surgical biomechanics of structural translation and ancillary releases will help supplement the decision-making process throughout when one chooses a minimally invasive anatomic repair.
Dr. Abawi is an Instructor of Orthopedics at the University of Maryland School of Medicine and the Associate Director of the Baltimore VA-Sinai Podiatric Residency Program in Baltimore, MD.
Dr. Nolte is a first-year resident with the Baltimore VA- Sinai Podiatric Residency Program in Baltimore, MD.
1. Harb Z, Kokkinakis M, Ismail H, Spence G. Adolescent hallux valgus: a systematic review of outcomes following surgery. J Child Orthop. 2015;9(2):105–112.
2. Perera AM, Mason L, Stephens MM. The pathogenesis of hallux valgus. J Bone Joint Surg Am. 2011;93(17):1650–1661.
3. Root ML. An approach to foot orthopedics. Journal of the American Podiatry Association, February 1964. J Am Podiatr Med Assoc. 2007;97(4):299-303.
4. Coughlin MJ, Jones CP. Hallux valgus: demographics, etiology, and radiographic assessment. Foot Ankle Int. 2007;28(7):759-777.
5. Kalen V, Brecher A. (1988). Relationship between adolescent bunions and flatfeet. Foot Ankle. 1988;8(6):331-336.
6. Kilmartin TE, Barrington RL, Wallace WA. A controlled prospective trial of a foot orthosis for juvenile hallux valgus. J Bone Joint Surg Br. 1994;76(2):210-214.
7. Torkki M, Malmivaara A, Seitsalo S, et al. Surgery vs orthosis vs watchful waiting for hallux valgus: a randomized controlled trial. JAMA. 2001;285:2472-2480.
8. Maffulli N, Longo UG, Oliva F, Denaro V, Coppola C. Bosch osteotomy and scarf osteotomy for hallux valgus correction. Orthop Clin N Am. 2009;40(4):515-524.
9. Giannini S, Cecarrelli F, Bevoni R, Vannini F. Hallux valgus surgery: the minimally invasive bunion correction (SERI). Tech Foot Ankle Surg. 2003;2(1):11-20.
10. Siddiqui NA, LaPorta GA. Minimally invasive bunion correction. Clin Podiatr Med Surg. 2018;35(4):387–402.
11. Sarrafian SK. Anatomy of the Foot and Ankle: Descriptive, Topographic, Functional. Philadelphia: Lippincott;1993.
12. Kuhn MA, Lippert III FG, Phipps MJ, Williams C. Blood flow to the metatarsal head after chevron bunionectomy. Foot Ankle Int. 2005;26(7):526-529.
13. Neufeld SK, Dean D, Hussaini S. (2021). Outcomes and surgical strategies of minimally invasive chevron/akin procedures. Foot Ankle Int. 2021;42(6):676-688.
14. Schmittenbecher PP. Implant removal in children. Eur J Trauma Emerg Surg. 2013;39(4):345- 352.
15. Choi JY, Ahn HC, Kim SH, Lee SY, Suh JS. Minimally invasive surgery for young female patients with mild-to-moderate juvenile hallux valgus deformity. Foot Ankle Surg. 2019;25(3):316-322.
16. Kaufmann G, Mörtlbauer L, Hofer-Picout P, Dammerer D, Ban M, Liebensteiner M. Five-year follow-up of minimally invasive distal metatarsal chevron osteotomy in comparison with the open technique: a randomized controlled trial. J Bone Joint Surg. 2020;102(10):873- 879.


