A Case Of Fibular Autograft For Foot Reconstruction
Bone grafting is a common adjunct procedure in foot and ankle surgery.1 It is often used in arthrodesis procedures, in reconstructing osseous defects, and in complex fracture repairs to help achieve successful osseous union.1 There are many different types of grafts used; however, surgeons widely consider autograft the gold standard of bone grafting due to its osteoconductive, osteoinductive, and osteogenic properties.1 Fibular grafts are considered the best donor site when large grafts are necessary for bone defects.2
Walters described the first use of a fibular graft in 1911.3 The fibula is a tubular bone with a suitable length, geometrical shape, and mechanical strength.3 Schih showed that vascularized and non-vascularized fibular autografts seem equally reliable biological methods for reconstructing bone defects.4 Enneking found a primary union rate in 63 percent of non-vascularized fibular grafts within the first 12 months in trials involving long bone reconstructions.5 Kreig and Hefti had an 89 percent rate of primary union in their isolated non-vascularized fibular grafts.6 In a series of bone defects treated by vascularized fibular graft, researchers reported bone consolidation in 86 to 95 percent of cases at a mean of 3.6 to 12 months.2,5-8 This case study uses an autologous fibular graft to reconstruct a second metatarsal defect following a traumatic gunshot wound (GSW) injury.
When A Patient Presents With A Comminuted Fracture Secondary To A Gunshot Wound
A 61-year-old male suffered multiple gunshot wounds, with one to the abdomen and the other to the left foot. The patient began IV antibiotics, as his injury was a Gustilo Anderson 3a open fracture to the left second metatarsal. We took the patient to the operating room for an emergent left foot incision and drainage with application of external fixation. We noted the second metatarsal shaft was shattered on fluoroscopy and inserted a mini rail external fixation into the preserved metatarsal head and base to preserve length.
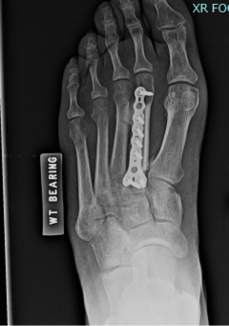
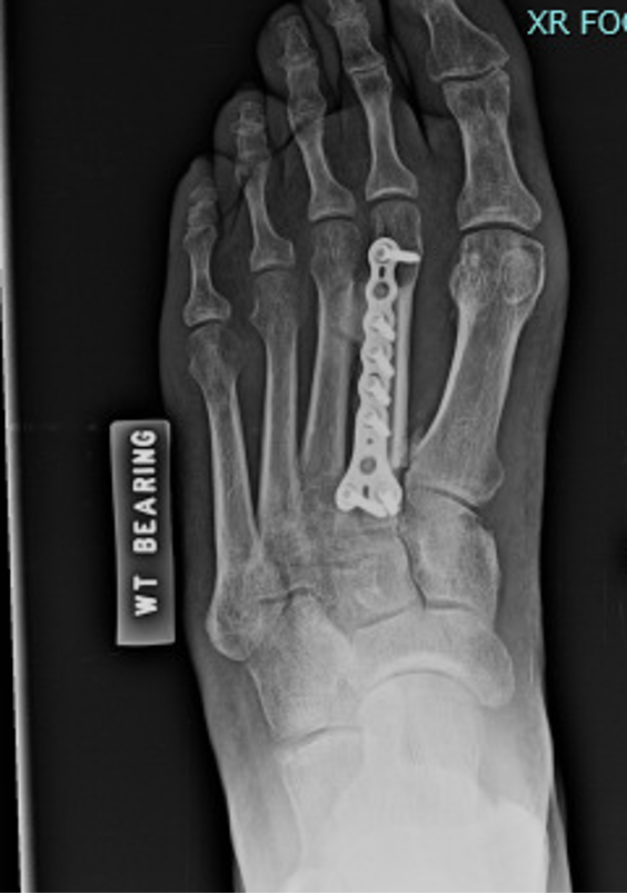
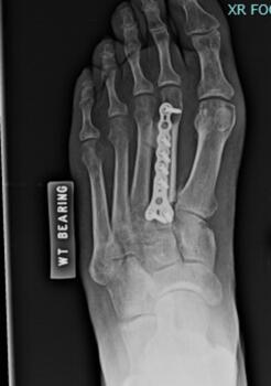
After wound healing, we took the patient back to the operating room to remove the external fixator, place a fibular graft, and to perform open reduction and internal fixation (ORIF) of the second metatarsal. After removing the external fixator, we made a dorsal incision over the second metatarsal, exposing the bone. The second metatarsal was severely comminuted and angled. A sagittal saw then resected an approximately five cm section of the severe comminution and non-viable bone. We measured the deficit in the second metatarsal.
Under fluoroscopy, we then created a longitudinal incision over the central fibula, eight cm proximal to the ankle joint, to help prevent syndesmotic instability. A sagittal saw then helped harvest fibula graft to fit the previously measured deficit. After prepping the distal and proximal aspect of the remaining neck and base of the second metatarsal, the fibular graft was pressed and fitted into the defect. Once confirmed that the graft was the appropriate length to fit the deficit, we brought the graft to the back table, where we fixated a Y-plate to the graft to allow for ease of placement and fixation of the graft to the remaining bone fragments. At seven months postop, the patient ambulated in regular shoe gear with no complaints of foot pain.
Lower extremity osseous defects can pose a surgical challenge. In addition, reconstruction in these cases is critical for a successful return to function and limb salvage. Fibular grafting is a successful and viable option for bone restoration following complex injuries such as GSW. Allograft can help facilitate a shorter, less technically demanding surgical reconstruction. Prior clinical studies have shown a high level of primary union following single procedure fibular grafts. Kreig and Hefti had an 89 percent rate of primary union in their isolated fibular grafts.2,7
Complications of harvesting the fibular graft include injuries to the peroneal nerve, compartment syndrome, local muscular problems, and ankle instability.9 Reports of complications for fibular grafts vary between four and 12 percent.5,10 Reports of problems in the ankle after harvesting a fibular graft range between 10 and 40 percent.11,12 Clinical studies have suggested that preserving the distal six to eight cm and the anterior syndesmosis can maintain lateral stability of the ankle.12,13 However, Pacelli showed that only 10 percent of the fibula was needed distally to maintain ankle stability, suggesting that maintenance of ankle stability can is possible with even less residual fibular length. In conclusion, as demonstrated in this case study, fibular grafts are effective and successful in reconstructing bone defects following traumatic injuries.
Drs. Balloch and Butto are Fellows of the American College of Foot and Ankle Surgeons and are in practice at Advanced Foot and Ankle Specialists in Avon, CT.
Dr. Wilkes is a third-year resident at Trinity Health of New England- St Francis Hospital in Hartford, CT.
1. Miller C, Chiodo C. Autologous bone graft in foot and ankle surgery. Foot Ankle Clin. 2016;21(4):825-837.
2. Krieg AH, Hefti F. Reconstruction with non-vascularised fibular grafts after resection of bone tumours. J Bone Joint Surg Br. 2007;89(2):215–221.
3. Walter M. Résection de l’extrémité inferieure du radius pour ostéosarcome : greffe de l’extrémité supérieure du péroné. Bull Mem Soc Chir Paris. 1911;37:739–747.
4. Schuh R, Panotopoulos J, Puchner SE, et al. Vascularised or non-vascularised autologous fibular grafting for the reconstruction of a diaphyseal bone defect after resection of a musculoskeletal tumour. Bone Joint J. 2014;96-B(9):1258-1263.
5. Enneking WF, Eady JL, Burchardt H. Autogenous cortical bone grafts in the reconstruction of segmental skeletal defects. J Bone Joint Surg Am. 1980;62(7):1039-1058.
6. Minami A, Kasashima T, Iwasaki N, et al. Vascularised fibular grafts. An experience of 102 patients. J Bone Joint Surg Br. 2000;82:1022–1025.
7. Muramatsu K, Ihara K, Doi K, et al. Reconstruction of massive femur defect with free vascularized fibula graft following tumor resection. Anticancer Res. 2006;26:3679–3684.
8. Hsu RWW, Wood MB, Sim FH, et al. Free vascularised fibular grafting for reconstruction after tumour resection. J Bone Joint Surg Br. 1997;79:36–42.
9. Ebraheim NA, Elgafy H, Xu R. Bone grafting harvesting from iliac and fibular donor sites: techniques and complications. J Am Acad Orthop Surg. 2001;9(3):210-218.
10. Yadav SS. Dual-fibular grafting for massive bone gaps in the lower extremity. J Bone Joint Surg Am. 1990;72-A:486–494.
11. Pacelli LL, Gillard J. A biomechanical analysis of donor-site ankle instability from free fibular graft harvest. J Bone Joint Surg. 2003;85(4):597-603.
12. Shea KG, Coleman DA, Scott SM, Coleman SS, Christianson M. Microvascularized free fibular grafts for reconstruction of skeletal defects after tumor resection. J Pediatr Orthop. 1997;17:424–432.
13. Vail TP, Urbaniak JR. Donor site morbidity with use of vascularized autogenous fibular grafts. J Bone Joint Surg Am. 1996;78-A:204.


