Skip to main content

Volume 34 - Issue 9 - September 2021

Featured Article

Feature
09/03/2021
William D. Fishco, DPM, MS, FACFAS; Mahsa Agha Jafari, DPM, AACFAS
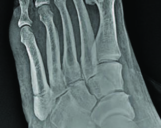
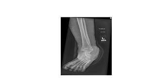
Fifth metatarsal fractures are relatively common injuries, but athletes in particular require a unique approach. Here the authors share their experience and evidence from the literature, including classification, examination, imaging and...
Fifth metatarsal fractures are relatively common injuries, but athletes in particular require a unique approach. Here the authors share their experience and evidence from the literature, including classification, examination, imaging and...
Fifth metatarsal fractures are...
09/03/2021
Podiatry Today
Wound Care Q&A
09/29/2021
Rebecca Moellmer, DPM, FACFAS, DABPM, FAAPSM; Haywan Chiu, DPM, FACFAS; Kazu Suzuki, DPM, CWS
Which professionals make up an optimal limb preservation team?
Which professionals make up an optimal limb preservation team?
Which professionals make up an...
09/29/2021
Podiatry Today
09/24/2021
Zuhair Irfan, DPM; Alison Bell, DPM, MS, MPH; Ahmad Farah, DPM
Medical management and surgical intervention can be a significant challenge when caring for patients with mental or intellectual disabilities (ID). An interdisciplinary team approach is important for proper management, advocacy, and care...
Medical management and surgical intervention can be a significant challenge when caring for patients with mental or intellectual disabilities (ID). An interdisciplinary team approach is important for proper management, advocacy, and care...
Medical management and surgical...
09/24/2021
Podiatry Today
Feature
09/10/2021
Elizabeth A. Ansert, MA, DPM, MBA; James B. McGuire, DPM, PT, cPed, CWS, FAPWCA, FAPWHc
Offloading is a crucial consideration in a comprehensive wound healing plan. Accordingly, these authors delve into the research on, and their experience with, various methods of offloading in this preview of an upcoming educational session at...
Offloading is a crucial consideration in a comprehensive wound healing plan. Accordingly, these authors delve into the research on, and their experience with, various methods of offloading in this preview of an upcoming educational session at...
Offloading is a crucial...
09/10/2021
Podiatry Today
09/09/2021
Vikram A. Bala, DPM, AACFAS; Gregory A. Foote, DPM, AACFAS
As concepts surrounding minimally invasive bunion surgery continue to evolve and improve, many have found the need to add these surgical techniques to their current skill set. This article aims to briefly review the current concepts of MIS...
As concepts surrounding minimally invasive bunion surgery continue to evolve and improve, many have found the need to add these surgical techniques to their current skill set. This article aims to briefly review the current concepts of MIS...
As concepts surrounding...
09/09/2021
Podiatry Today
News and Trends
09/01/2021
Jennifer J. Spector, DPM, FACFAS
Read the latest research and insights on ankle instabiity, forefoot amputation, and Charcot disease.
Read the latest research and insights on ankle instabiity, forefoot amputation, and Charcot disease.
Read the latest research and...
09/01/2021
Podiatry Today
Clinical Solutions in Practice
09/01/2021
CURREX CLEATPRO™ insoles are specifically engineered to enhance foot motion in cleat footwear, including a fit for all gaits, foot types and weights, according to the company.
CURREX CLEATPRO™ insoles are specifically engineered to enhance foot motion in cleat footwear, including a fit for all gaits, foot types and weights, according to the company.
CURREX CLEATPRO™ insoles are...
09/01/2021
Podiatry Today
Forum
09/01/2021
A few months into the pandemic, we first learned about the term “COVID fatigue.” We all likely suffered (and probably still suffer) from some degree of this phenomenon.
A few months into the pandemic, we first learned about the term “COVID fatigue.” We all likely suffered (and probably still suffer) from some degree of this phenomenon.
A few months into the pandemic,...
09/01/2021
Podiatry Today
Surgical Pearls
09/01/2021
John A. Cameron, DPM; Henry D. Spingola, III, DPM, FACFAS; Lawrence A. DiDomenico, DPM, FACFAS
Here the authors examine the role of the sagittal plane as it relates to first ray pathology. They advocate that the Lapidus procedure is an extremely versatile when performed well and when addressing and achieving sagittal plane stability.
Here the authors examine the role of the sagittal plane as it relates to first ray pathology. They advocate that the Lapidus procedure is an extremely versatile when performed well and when addressing and achieving sagittal plane stability.
Here the authors examine the...
09/01/2021
Podiatry Today
Diabetes Watch
09/01/2021
Khurram H. Khan, DPM, FACFAS, FACPM, FAPWCA; Nicole Curreri, BA; Diana Johnson, BS, MS
Learn more about how nutrition can impact wound healing, including nutrient recommendations and specific considerations for diabetic foot ulcers (DFUs).
Learn more about how nutrition can impact wound healing, including nutrient recommendations and specific considerations for diabetic foot ulcers (DFUs).
Learn more about how nutrition...
09/01/2021
Podiatry Today
Treatment Dilemmas
09/01/2021
Bob Baravarian, DPM, FACFAS
With a complete and thorough workup and surgical decision-making process, plantar plate surgery can be a very effective and highly successful option for patient care and deformity correction.
With a complete and thorough workup and surgical decision-making process, plantar plate surgery can be a very effective and highly successful option for patient care and deformity correction.
With a complete and thorough...
09/01/2021
Podiatry Today