Fifth Metatarsal Fractures In The Athlete: Practical Pearls And Principles
Metatarsal fractures account for five to six percent of all fractures, with approximately 68 percent involving the fifth metatarsal, usually due to acute trauma or repetitive chronic stress.1 Athletes are particularly prone to Jones and stress fractures from over-use, pivoting and shifting. Runners and jumpers are also at significant risk for these fractures.2 According to Cakir and colleagues, fifth metatarsal fractures account for more than 50 percent of traumatic metatarsal fractures, which is comparable in athletes, who typically present with acute lateral foot pain after a twisting injury or landing from a jump.3
Defining Injury Classification And Mechanism
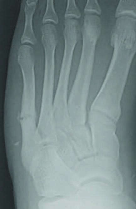
Fifth metatarsal fractures have been classified by Lawrence and Dameron based on the location of the fracture.1 Zone 1 fractures include the proximal tuberosity of the fifth metatarsal, referred to as avulsion fractures or pseudo-Jones fractures (see first photo above).
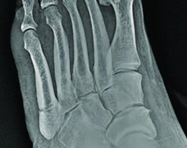
Zone 2 fractures are Jones fractures, located 1.5 cm proximal to the tuberosity, extending into the fourth and fifth intermetatarsal joint (see second photo above). This fracture is more severe due to tenuous blood supply at the metaphyseal-diaphyseal junction.4-6 Smith and team studied 10 fresh frozen cadaver specimens following arterial injection of India ink or barium sulfate, and reported that metatarsal blood supply arises from the nutrient artery, metaphyseal perforators, and periosteal arteries. They noted a watershed area between the nutrient artery and the metaphyseal perforators, corresponding to an area of poor healing as the nutrient artery terminates at the proximal diaphysis and metaphyseal vessels supply the tuberosity.1,5 Dameron reported a non-union rate of 25 percent in this fracture pattern.7
Torg further classified Jones fractures based on healing potential.8 Type 1 is an acute Jones fracture with a sharp fracture line, minimal cortical hypertrophy, and periosteal reaction. Type 2 are delayed union fractures at pre-existing stress sites with signs of intramedullary sclerosis, wide fracture lines, and periosteal reactions. Type 3 are non-unions with a history of repetitive trauma and complete obliteration of the medullary canal by sclerotic bone.1,4,5,8
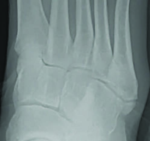
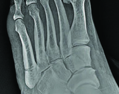
Lawrence and Dameron Zone 3 fractures are typically considered stress fractures and occur in the proximal diaphysis of the distal to the fourth and fifth intermetatarsal joint (see third photo above).
As previously mentioned, fifth metatarsal fractures may be due to acute trauma or repetitive stress. Avulsion fractures of the fifth metatarsal base, at Zone 1, are due to acute forefoot supination with plantarflexion, resulting in pull from the lateral band of the plantar fascia, abductor digiti quinti minimi, and/or peroneus brevis causing a transverse to slightly oblique fracture pattern.1 Avulsion fractures are more common in recreational and non-competitive athletes.3 Zone 2, Jones fractures, result from adduction force to the forefoot with the ankle plantarflexed. Zone 3, diaphyseal fractures, are most commonly due to stress1 and forced dorsiflexion of a plantarflexed and inverted forefoot, leading to a spiral/ oblique fracture pattern.7 Fifth metatarsal shaft and distal diaphyseal fractures are referred to as dancer’s fractures, common in ballet dancers rolling over their foot with the ankle in plantarflexion while applying both torsional force and axial loading to the metatarsal, leading to a long spiral diaphyseal fracture.3,9
Key Concepts In Examination, Imaging And Management
A detailed physical examination should include weight bearing assessment of lateral column overloading and evaluation of the alignment and structure of the forefoot, midfoot, and hindfoot. Hindfoot varus and cavus foot alignment will lead to lateral column overload and an increase in plantar lateral stress at the metaphyseal-diaphyseal junction.2,3 Standard three-view radiographs of the foot will allow for fracture evaluation. Computed tomography (CT) may have utility in revision cases and/or to assess fracture healing if there is a concern of delayed or non-union. In addition, a metabolic workup and assessment of the athlete’s Vitamin D levels is important, as 50 percent of Division 1 athletes have abnormal vitamin D levels.3
Treatment for fifth metatarsal fractures can be conservative or operative based on fracture pattern, classification, and patient activity level. In general, one should pursue open reduction and internal fixation (ORIF) for fractures with more than three mm of displacement or ten degrees of angulation, and when closed reduction is insufficient.1
If non- or minimally displaced, avulsion fractures may respond to four to eight weeks in a protected weight bearing cast or CAM boot. Conservative treatment for these fracture patterns exhibit low non-union rates of between 0.5 and one percent.1 Rosenberg recommends ORIF for greater than two mm fracture displacement and more than 30 percent tarsometatarsal articular involvement.3 Fixation may consist of bi-cortical screws, a cancellous lag screw, intramedullary fixation, tension band wiring, or a hook plate.7
Displaced Zone 2, Jones fractures, require operative management, whereas acute non-displaced Jones fractures may undergo six to eight weeks of non-weight bearing or intramedullary/plate fixation.4 Conservative treatment is preferrable for Jones fractures in sedentary patients.4 Due to high activity levels in athletes, percutaneous intramedullary screw fixation is best, leading to decreased healing time and faster return to sports.7 Lareau and team demonstrated union rates of 100 percent and an eight to 10 week return time to sports in NFL players.10
DeLee first described percutaneous intramedullary screw fixation for Jones fractures using a solid 4.5-mm malleolar screw in ten athletes.11 He reported an average healing time of 7.5 weeks and return to sport in 8.5 weeks without postop complications or refractures.1,11,12 In tramedullary screw fixation is standard for Jones fractures, providing resistance to bending stress and allowing bone deposition in areas of previous bone resorption.3 Porter and coworkers performed a retrospective study of 23 Jones fractures in athletes treated with 4.5 mm partially threaded, cannulated cancellous intramedullary screw fixation.12 Athletes bore weight 10 to 12 days after surgery, with all fractures healing, no refractures, and return to sports at a mean of 7.5 weeks (range 10 to 12 weeks).1,12
Zone 2 fracture non-unions and revisions warrant open curettage of the non-union site followed by a larger intramedullary screw placement.1 Bone marrow aspirate concentrate and bone graft may promote bone healing.10 However, plate fixation for revision or high-risk non-union patients may be beneficial. Varner described a plantar lateral plate to decrease tension across the fracture line.10 A mini-monorail external fixator is another option. The senior author tends to minimize periosteal stripping with a minimal incision over the fracture line and using a small drill bit to stimulate bleeding followed by percutaneous fixator application.
Dancer’s fractures require ORIF when there is loss of metatarsal length and position change of the metatarsal head, as dorsal translation may lead to transfer metatarsalgia.3 Without significant displacement, angulation, and metatarsal head elevation, one may choose four to six weeks of protected weight bearing in a CAM boot. O’Malley presented a retrospective study including 35 ballet dancers with distal diaphysis fractures.9 Two underwent ORIF, two had closed reduction and percutaneous fixation, and 31 patients received a short leg weight bearing cast. All 31 non-operative patients returned to activity with average return to dance performance at 19 weeks without pain. One patient had a delayed union and one refractured. O’Malley concluded that high-performance athletes with spiral distal diaphyseal fractures can be non-operative treatment without long-term functional complications.9
Special Considerations In Operative Management
Anatomy. Anatomical curvature of the fifth metatarsal in both the sagittal and axial planes may complicate intramedullary screw fixation. Intraoperative medial oblique fluoroscopy can assess guidewire placement before placing the screw.7 Regarding guidewire placement, the more dorsal the starting point at the base of the fifth metatarsal, the more medial and intramedullary the position will be, and so the insertion site must be started “high and tight” position on the fifth metatarsal base.3
Intramedullary Screw Fixation. According to Raikin, Jones fractures have non-union rates of 14 percent and refracture rates of 27 percent.2 These complications may be due to early return to activity and inadequate screw size, which should not be less than 4.5 mm.2 A 2015 cadaveric study determined the average intramedullary canal diameter to be 6.475 ± 1.54 mm in the plantar-to-dorsal plane and 4.6 ± 0.85 mm in the medial-to-lateral plane by digital measurement.13 A radiographic study by Ochenjele evaluated 119 patients via CT and determined the average coronal medullary canal diameter to be 5.0 mm at the isthmus and the length of the straight segment of the fifth metatarsal from proximal-to-distal to be 52mm, approximately 68 percent of the metatarsal length.13 Based on this study, a screw greater than 4.5 mm should obtain adequate purchase within the intramedullary canal while remaining shorter than 68 percent of the canal’s total length to prevent fracture displacement.13 Screw length must allow the threads to cross the fracture line and engage the distal diaphysis.3
For intramedullary fixation, solid screws exhibit superiority in fatigue strength compared to cannulated screws in biomechanical studies; but with no difference in clinical outcomes.4 Pietropaoli and team presented a biomechanical study to determine the intact fifth metatarsal’s baseline strength and the intramedullary fixation strength relative to three-point bending stresses in the physiological plane of loading. He simulated a transverse fracture at the metaphyseal-diaphyseal junction, fixated with a 4.5 mm malleolar screw or a 4.5- mm cannulated, partially threaded, cancellous screw placed over a guidewire.6 He noted force to failure of the intact specimens to be significantly greater than the initial and complete forces to failure; however, there was no statistically significant difference between the two screw types for either the forces at initial displacement or complete displacement of the constructs. A cannulated, partially threaded, and cancellous screw does provide the advantage of easy insertion and precise placement.6
Shah and colleagues presented a cadaveric study with a simulated transverse fracture at the metaphyseal-diaphyseal junction fixated surgically to compare fixation rigidity of a 5.5 mm partially threaded, cannulated titanium intramedullary screw to a similar 4.5 mm screw. Each metatarsal was loaded to failure in three-point bending, with no significant differences in/initial and final failure loads for either size screw. They concluded that maximizing screw diameter is not critical for fixation rigidity and may increase the risk of distal cortex fracture.12,14
Cavovarus Deformity. Patients with a cavovarus deformity require careful preoperative planning. Hindfoot varus predisposes to lateral column overloading. Without addressing the cavovarus deformity, refractures may occur.1 Raikin and team treated six patients with failed intramedullary fixation of Jones fractures over five years and noticed five with broken screws displayed hindfoot varus.2 They subsequently retrospectively reviewed Jones fractures in 21 patients, of which 65 percent were athletes, to evaluate the incidence of hindfoot varus alignment and if postoperative varus correction with orthotics would decrease risk of refracture. They noted 90 percent of patients with a Jones fracture displayed hindfoot varus compared to 24 percent incidence of hindfoot varus in the overall population and concluded varus hindfoot deformity is a predisposing factor for developing a Zone 2 fracture. All 21 patients had screw fixation and rigid orthotic inserts with a lateral hindfoot valgus wedge to decrease the load on the lateral column postoperatively. Mean radiographic union was at nine weeks postop, return to sports activities averaged 12.4 weeks, and at 49 months, there was no noted procedure failures.2
One may choose an osteotomy to correct hindfoot varus as well. If the Coleman block test displays plantarflexion of the first metatarsal and forefoot varus, then a dorsiflexion osteotomy of the first metatarsal is recommended. If the Coleman block test displays hindfoot varus, a lateral calcaneal displacement osteotomy or closing wedge osteotomy (Dwyer) is indicated. Porter and team often performed a first metatarsal osteotomy, stating better tolerance among athletes.3 In the global cavovarus deformity, triple arthrodesis may be a consideration.
Metatarsus Adductus. The metatarsus adductus foot type will also lead to lateral column overload and fifth metatarsal fractures. Yoho and coworkers reported feet having a significantly greater metatarsus adductus angle (mean 20.2 degrees), in patients with Jones fractures compared to 14.3 degrees for the control group.15 O’Malley reviewed ten Zone 2 and 3 fractures in professional basketball players and five had metatarsus adductus. After intramedullary screw fixation and use of biologics in all ten fractures, three bones refractured. The refracture group had an average Engel’s angle of 27.9 degrees, along with a higher degree of curvature to their horizontal foot structure, however, the difference in metatarsus adductus angle between the union and refractured groups was not statistically significant.15
Fishco and colleagues, in a pedobarographic study, compared plantar peak pressures between subjects with and without metatarsus adductus. Subjects with metatarsus adductus had a statistically significant increase in plantar pressures to the lateral heel, lateral midfoot, and lateral forefoot supporting the general anecdotal notion that metatarsus adductus leads to lateral column overload.16
Biologics And Grafting. As previously mentioned, curettage and fixation along with grafting is recommended for non-unions. Osteobiologics may increase healing potential and decrease time to return to sports. Biologics include bone marrow aspirate concentrate, platelet-rich plasma, bone electrical stimulation, and vitamin D supplementation (when levels are below 30 ng/ mL). However, in a study by Hunt, no difference was noted between athletes who underwent surgical management of Jones fractures and non-unions using bone marrow aspirate and demineralized bone matrix versus cancellous autograft.4,10 O’Malley also treated ten professional basketball players for proximal fifth metatarsal fractures, Zones 2 and 3.15 All athletes underwent percutaneous fixation with bone marrow aspirate concentrate, with three undergoing prophylactic open bone grafting. Athletes returned to sports in a mean of 10.0 weeks compared to standard fixation patients returning at 9.6 weeks and fixation plus bone graft patients returning at 10.8 weeks.15 Therefore, the benefits of grafting and biological supplementation are still under debate.
In Summary
Fifth metatarsal fractures are common injuries in athletes, due to acute trauma encountered during an activity or chronic overuse and stress. In athletes, surgical treatments may be superior even in cases of minimal displacement and angulation due to high activity demands. The literature demonstrates that ORIF of fifth metatarsal fractures leads to decreased healing time and faster return to sporting activities. However, aside from clinical and radiographic evaluation and classification of these fracture patterns, a thorough evaluation of foot structure is of equal importance. The existence of hindfoot varus, cavus foot deformity, and metatarsus adductus may alter surgical outcomes and lead to refracture if one does not address the primary foot deformity with additional surgical procedures or orthoses.
Dr. Agha Jafari is an Associate of the American College of Foot and Ankle Surgeon and the recently graduated Chief Resident from Valleywise Health Medical Center/Creighton University in Phoenix, Ariz.
Dr. Fishco is a Fellow of the American College of Foot and Ankle Surgeons and is in private practice in Anthem, Ariz.
1. Bowes J, Buckley R. Fifth metatarsal fractures and current treatment. World J Orthop. 2016;7(12):793-800.
2. Raikin SM, Slenker N, Ratigan B. The association of a varus hindfoot and fracture of the fifth metatarsal metaphyseal-diaphyseal junction: the Jones fracture. Am J Sports Med. 2008;36:1367-1372.
3. Porter DA, Klott J. Proximal fifth metatarsal fractures in athletes: management of acute and chronic conditions. Foot Ankle Clin N Am. 2021;26;35-63.
4. Ruta DJ, Parker D. Jones fracture management in athletes. Orthop Clin N Am. 2020;51:541- 553.
5. Smith JW, Arnoczky SP, Hersh A. The intraosseous blood supply of the fifth metatarsal: implications for proximal fracture healing. Foot Ankle Int. 1992;13(3):143-152.
6. Pietropaoli MP, Wnorowski DC, Werner FW, Fortino MD. Intramedullary screw fixation of Jones fractures: a biomechanical study. Foot Ankle Int. 1999;20:560-563.
7. Lee M, Ho L. Metatarsal fractures. In: Southerland JT, Boberg JS, Downey MS, Nakra A, Rabjohn LV. McGlamry’s Comprehensive Textbook of Foot and Ankle Surgery. (4th ed) Lippincott Williams & Wilkins;2013:1654-1660.
8. Torg JS, Balduini FC, Zelko RR, Pavlov H, Peff TC, Das M. Fractures of the base of the fifth metatarsal distal to the tuberosity. J Bone Joint Surg Am. 1984;66:209-214.
9. O’Malley M, Hamilton W, J Munyak J. Fractures of the distal shaft of the fifth metatarsal: dancer’s fracture. Am J Sports Med. 1996;24(2):240-243.
10. Hunt KJ, Reiter, MJ, Axibal DP, Varner K. Management of fifth metatarsal fracture and refracture in athletes. Oper Tech Orthop. 2018;28(2):61-66.
11. DeLee JC, Evans J, Julian J. Stress fracture of the fifth metatarsal. Am J Sports Med. 1983;11:349-353.
12. Porter DA, Duncan M, Meyer SJF. Fifth metatarsal Jones fracture fixation with a 4.5- mm cannulated stainless steel screw in the competitive and Recreational athlete a clinical and radiographic evaluation. Am J Sports Med. 2005;33(5):726-733.
13. Le M, Anderson R. Zone II and III fifth metatarsal fractures in athletes. Curr Rev Musculoskelet Med. 2017;10:86–93.
14. Shah SN, Knoblich GO, Lindsey DP, Kreshak J, Yerby SA, Chou LB. Intramedullary screw fixation of proximal fifth metatarsal fractures: a biomechanical study. Foot Ankle Int. 2001;22:581-584.
15. O’Malley M, DeSandis B, Allen A, Levitsky M, O’Malley Q, Williams R. Operative treatment of fifth metatarsal jones fractures (zones II and III) in the NBA. Foot Ankle Int. 2016;37(5):488–500.
16. Fishco, WD, Ellis MB, Cornwall MW. Influence of a metatarsus adductus foot type on plantar pressures during walking in adults using a pedobarograph. J Foot Ankle Surg. 2015;54(3):449-453.


