Surgical Patients With Intellectual Disabilities: An Interdisciplinary Approach
Medical management and surgical intervention can be a significant challenge when caring for patients with mental or intellectual disabilities (ID). An interdisciplinary team approach is important for proper management, advocacy, and care patients with IDs in the perioperative phase. This paper will examine the case of a young adult with a medical history of spina bifida myelomeningocele presenting with a lower extremity soft tissue infection, and highlight the crucial role of an interdisciplinary approach to the perioperative process in patients with ID.
When A Patient With ID Has An Infection Necessitating Surgery
A 26-year-old female with a past medical history significant for spina bifida myelomeningocele and cognitive disability presented to the emergency department for left-sided ankle pain. Although verbal, the patient’s underlying intellectual disability limited her vocabulary to binary responses that did not align with the questions asked. For example, when asked, “What is your name?” she responded, "Yes." Since the patient could not provide a history, the patient's guardian did so. The patient, who uses a wheelchair, developed an abrasion to the left ankle following a fall from her wheelchair several days prior. She developed fevers, and her mother noted purulent discharge from the left ankle and associated pain.
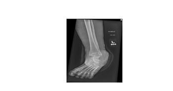
A physical exam of the left ankle demonstrated a large, fluctuant soft tissue mass adjacent to the lateral malleolus (see first photo above). The area exhibited focal edema and erythema with a notable sinus tract and purulent drainage. Initial attempts at obtaining an IV and blood work proved difficult due to the patient’s excitability and lack of cooperation. The patient quickly became agitated when staff approached with medications or to discuss the treatment plan. The staff allowed the patient time to acclimate and familiarize herself with the room before additional attempts. Once obtained, labs and vitals revealed tachycardia along with leukocytosis, lactic acidosis, and elevated erythrocyte sedimentation rate (ESR) and C-reactive protein (CRP). The team decided to take the patient to the operating room for an urgent incision and drainage with ankle wound exploration.
The patient lost IV access in the preoperative care phase and became uncooperative and combative with attempts at reinsertion. The patient made several attempts to elope, which = necessitated staff at bedside to prevent falls or elopement. The anesthesia team did administer oral midazolam, which had only a brief effect and did not allow appropriate time for re-establishing IV access. The patient's guardian expressed that the patient fears needles and often becomes challenging when trying to provide such medication. The surgeon, anesthesiologist, and guardian attempted to preoccupy the patient while the PICC team inserted a line. They conducted this procedure by simultaneously introducing auditory, tactile, and emotional distractors, consisting of soothing music, gentle hand-holding, and regular verbal reinforcement by the patient's guardian. The anesthesiologist preemptively prepared the medications to immediately administer an IV sedative after PICC line placement.
After achieving mild sedation, we brought the patient to the operating room for the planned procedure and administered local anesthesia. Surgery commenced, and we expressed a moderate amount of purulent fluid from the affected area. Further wound exploration revealed a firm, heavily encapsulated mass, which we excised (see second photo above).
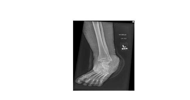
The patient tolerated the surgery appropriately under sedation and local anesthesia. The patient began IV antibiotics, and throughout the hospital stay had local wound care daily. In order to continue to build rapport, increase familiarity, and develop a routine for the patient, the same surgeon performed the dressing changes at the same time each day. She returned to the OR days later for a successful repeat washout and closure. Postoperative films demonstrated a significant decrease in the soft tissue envelope (see third photo above). The interdisciplinary perioperative evaluation and management allowed a favorable outcome in this patient's care.
Understanding An Interdisciplinary Approach To Patients With ID
The patient’s initial procedure allowed the team to gain a better understanding of the positive effects of an interdisciplinary approach. Each key member of the team worked collaboratively to overcome the perioperative challenges of appropriate preparation for sedation, surgery and transportation to the operating room. This learned approach provided the necessary sense of security and advocacy to the patient and her family.
In patients with an intellectual or mental disability, anesthesia can be a challenging endeavor due to a lack of cognitive and communicative functionality. One can characterize intellectual disability by decreased cognitive and adaptive development secondary to structural and functional brain abnormalities.1,2 The DSM-V defines intellectual disabilities as neurodevelopmental disorders that begin in childhood, characterized by intellectual difficulties as well as difficulties in conceptual, social, and practical areas of living.3 This classification further divides into mild to moderate, severe, and profound intellectual disability. The patient in the case study above fell into the severe category, defined as an individual with significant developmental delays. These individuals often can understand speech but otherwise have limited communication skills.3 Despite learning simple daily routines and engaging in simple self-care, individuals with severe ID need supervision in social settings and often need family involvement to live in a supervised setting such as a group home.3 Due to the inability to fully comprehend their need for treatment, particularly surgical interventions during perioperative periods, patients with ID may become aggressive or combative, leading to complicated anesthetic management within this particular population.4
Specific Podiatric Perioperative Considerations In Patients With ID
Preoperatively, the surgeon and anesthesiologist must rely on the patient's caretaker and an in-depth chart review for a detailed history, including anesthesia exposure, as the patient is likely unable to effectively communicate, and particularly since these patients may present with other associated congenital anomalies and medical conditions.4 When given the opportunity, early and regular meetings between the interdisciplinary team and the patient/caregivers can help facilitate the perioperative process, especially in complex cases.5 When appropriate, a neuropsychiatry consultation may assist with evaluating the patient’s cognition and mental capacity, which could guide the team in how best to present information to the patient in the most appropriate format.5
One typically reserves general anesthesia is typically reserved for ID patients with severe problems, extensive treatment, or larger patient habitus.4 In podiatric surgery, sedation is common, followed by a local regional block in the area of operative interest. This is a safe and effective alternative to general anesthesia applicable in cases of local infection, such as the one reported, when utilizing incision and drainage for source control.4 Multiple modalities are available for sedation and maintenance, so one may defer to the standard pharmacological implementation protocol of the hospital and/or anesthesiologist. Medications such as midazolam are an effective modality for oral pre-medication in patients with ID6 and also show that anesthesia induction is possible without physical restraint in about half of this population.7
In Conclusion
In the case above, the surgical team demonstrated utilization of auditory distractors, such as the implementation of music. In adults with intellectual disabilities, there is extensive study of music’s therapeutic value. It aids in addressing social needs by developing imitation, articulation, and expressive language skills and by encouraging cooperation and peer acceptance.8,9 Music therapy and color therapy show effectiveness in the clinical setting for decreasing anxiety and promoting psychosocial, emotional, and psychological well-being.10
Furthermore, it is essential for the caregiver or guardian to remain present during the induction process to facilitate patient cooperation, especially when IV induction is necessary. During the postoperative phase, the caregiver’s presence is helpful when one wishes to evaluate the patient and assess for return to preoperative baseline.11
An interdisciplinary effort and close involvement of caregivers or individuals familiar to the patient with ID are vital during the perioperative phase to help ease the challenges associated with this patient population. Increased cooperation, regular communication, and thorough evaluation of the patient and associated needs will help the team provide the best possible care under these challenging circumstances and lead to appropriate surgical and anesthetic techniques. In addition to the interdisciplinary effort, implementation of auditory, visual, tactile, and other distractors may assist in promoting overall adherence in a patient with ID, especially during the perioperative phase.
Dr. Bell, at time of submission of the article,was a podiatric resident at Henry Ford Health System in Wyandotte, Michigan. She is now a Fellow at the Sacramento Regional Fellowship in Foot and Ankle Surgery, in Sacramento, Calif.
Dr. Irfan is a third-year podiatric resident at Henry Ford Health System in Wyandotte, Michigan.
Dr. Farah is board -certified by the American Board of Foot and Ankle Surgery and has hospital affiliations with Henry Ford Wyandotte, Beaumont-Trenton, Select Specialty, and Henry Ford Health Center in Michigan. He is the residency director at Henry Ford Wyandotte Hospital, and serves a board member for the Michigan Podiatric Medical Association, where he is currently President.
1. Shea S. Intellectual disability (mental retardation). Pediatrics Rev. 2012;33(3):110-121.
2. Intellectual Disability. Wikipedia. Available from: http://www.en.wikipedia.org/wiki/Intellectual_disability. Updated November 14, 2015. Accessed August 26, 2021.
3. Sattler JM. Assessment of children: behavioral and clinical applications. San Diego: J.M. Sattler; 2002
4. Chaudhary K, Bagharwal P, Wadhawan S. Anesthesia for intellectually disabled. J Anaesthesiol Clin Pharmacol. 2017;33:432-440.
5. Heinberg LJ, Schauer PR. Intellectual disability and bariatric surgery: a case study on optimization and outcome. Surg Obes Relat Dis. 2014;10(6):e105-108.
6. Lim SW, So E, Yun HJ, et al. Analysis of the effect of oral midazolam and triazolam premedication before general anesthesia in patients with disabilities with difficulty in cooperation. J Dent Anesth Pain Med. 2018;18(4):245-254.
7. Deng W, Farricielli L. Group G streptococcal sepsis, septic arthritis and myositis in a patient with severe oral ulcerations. BMJ Case Rep. 2014;2014:bcr2013200338.
8. Hooper J, Wigram T, Carson D, Lindsay B. The practical implication of comparing how adults with and without intellectual disability respond to music. Br J Learning Disabilities. 2011;39:22-28.
9. Bergström-Isacsson M, Lagerkvist B, Holck U, Gold C. Neurophysiological responses to music and vibroacoustic stimuli in Rett syndrome. Res Dev Disabil. 2014;35(6):1281-1291.
10. Barber CF. The use of music and colour theory as a behaviour modifier. Br J Nurs. 1999;8(7):443-448.
11. Haywood PT, Karalliedde LD. General anesthesia for disabled patients in dental practice. Anesth Prog.1998;45(4):134-138.
12. Hanamoto H, Boku A, Sugimura M, Oyamaguchi A, Inoue M, Niwa H. Premedication with midazolam in intellectually disabled dental patients: intramuscular or oral administration? A retrospective study. Med Oral Patol Oral Cir Bucal. 2016;21(4):e470-476.


