Techniques, Tips, And Pearls On Getting Started With Minimal Incision Hallux Abducto Valgus Surgery: What We Learned Along The Way
Percutaneous or minimally invasive methods of performing hallux abductovalgus (HAV) surgery continue to garner attention and grow in popularity. As minimally invasive HAV surgery continues to evolve, advancements include more robust fixation and attention to the frontal plane of the deformity. Newer procedures include percutaneous screws and intramedullary fixation.1,2 The medial dorsal cutaneous nerve (MDCN) is the structure at the highest risk of iatrogenic damage during this procedure.3 In contrast to an open procedure, the risk of injury to the arterial supply of the metatarsal head and the adjacent tendons is negligible.3,4
Some associate early descriptions of minimally invasive HAV procedures with complications due to the technical difficulty of the procedure.5 It is important to note that there is a significant learning curve with these procedures even today. Nonetheless, the results of MIS HAV surgery are encouraging, and given appropriate repetition, the learning curve is similar to that described in open HAV surgery.5
Tips And Tricks When First Adopting MIS Bunion Surgery Techniques
Our experiences with the following aspects of MIS bunion surgery are adopted from tenets taught to us by Jonathan Sharpe, DPM and Andrew Belis, DPM.6
Patient Selection. Current recommendations in our experience and from what we learned when getting started with MIS HAV surgery are to initially select a mild to moderate deformity (intermetatarsal angle of nine to 18°) before undertaking severe bunions. Standard preoperative radiographs are crucial in diagnosis and procedure selection. A sesamoid axial view may help to assess frontal plane rotation of the metatarsal and true sesamoid position. The presence of arthritis and presence of a hypertrophic medial eminence may be relative contraindications to percutaneous procedures, and may require larger incisions.
Configuration And Positioning. Patient positioning on the operating room table is critical. In our experience, it is recommended to allow the surgical heel to hang off the foot of the bed. The contralateral limb can be "frog-legged" or moved laterally on an extra arm board based on surgeon preference. This positioning of the patient would allow for easier access to the surgical foot.
Configure a setup that will allow for a reproducible position of the mini C-arm and the burr power source. In our experience, and from what we have learned, this C-arm position will allow for accurate and consistent anteroposterior and lateral views of the foot. Most surgeons prefer to use their dominant hand to manipulate the power burr, while the non-dominant hand maintains the foot's position and provides tactile feedback. The dominant hand should remain along the medial aspect of the foot. A seated position allows the surgeon to easily alternate between the mini C-arm and MIS burr foot pedals. Surgeons should strive to achieve the same configuration and setup for each case.
Getting Oriented. It can be helpful to draw out the landmarks on the medial foot. Novice MIS surgeons, may benefit from marking the first metatarsal and the long axis along the midpoint metatarsal shaft and the long axis of the second metatarsal on the dorsal foot. Based on surgeon preference, one may also mark out the trajectory of the osteotomy on the dorsal foot.
Incision Placement. Confirmation of the incision site via intraoperative fluoroscopy can ensure placement directly medial to the metatarsal, just proximal to the flare of the metatarsal head, with care taken to avoid the sesamoid apparatus/articulation (see first photo above). In our experience, the medial first metatarsal incision must be at the midline of the bone. Initially, it may prove beneficial to orient the incision horizontally, in line with the metatarsal, in case one elects to convert to an open approach. A horizontal incision also poses less of a risk of iatrogenic damage to the neurovasculature.
A more dorsally located incision may cause plantarflexion of the capital fragment. In contrast, a slightly more plantar incision may lead to dorsiflexion of the capital fragment, based on the direction of translation from the Sayer elevator when placed within the first metatarsal. Use a periosteal elevator or instrumentation provided within a specific MIS surgical set to create a subperiosteal plane along the dorsal cortex, in line with the proposed osteotomy.
Performing The Osteotomy. When using the power burr to perform the osteotomy, the surgeon must be cognizant of thermal necrosis. Irrigation, whether connected to the handpiece or via angiocatheter, is key. A chevron-type osteotomy is possible with this technique, but the authors prefer a linear, Bosch-type osteotomy. Additionally, we find that utilizing intermittent or pulsed rotations may avoid excessive heat from the burr.
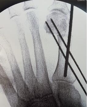
The surgeon can then confirm the trajectory and depth of the burr with fluoroscopy. In our experience and from what we have learned, the initial pass of the burr should be a direct drill hole, straight through the medial and lateral cortex of the first metatarsal neck (see second photo above). The entry point of the burr within the medial cortex should remain static for the entirety of the osteotomy. The remainder of the osteotomy then takes place around this pivot point. The hand should rotate plantarly for the dorsal portion of the osteotomy, perpendicular to the long axis of the metatarsal. Conversely, the hand will rotate dorsally to complete the osteotomy through the plantar cortex. Methods may vary, such as a “poke and drag” technique or working in quadrants.
Use of the non-dominant hand to grasp the foot from the lateral side (with the thumb positioned dorsally over the osteotomy) can allow the surgeon to feel for the burr exiting the dorsal cortex. The authors find a "bike-handle grip" most comfortable and allows for fine motor control of the power burr.
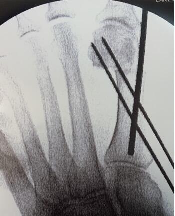
Metatarsal Head Translation. First, shift the metatarsal head laterally by inserting an elevator or hemostat (see third photo above) into the medullary canal. Maintaining the elevator or hemostat parallel to the long axis of the first metatarsal during the shift will prevent deviation of the capital fragment in the sagittal plane.
Next, the surgeon should rotate the hallux in a varus position to correct the frontal plane deformity (see fourth photo above). Once the metatarsal head is translated and the frontal plane is reduced, one can hold the reduction with the non-dominant hand. A large K-wire or Steinmann pin should capture the medial capsular tissue at the hallux and metatarsal head. This step can be performed prior to obtaining reduction of the metatarsal head to allow for easier placement into the metatarsal shaft. Following reduction, the surgeon will advance this wire intramedullary to the metatarsal base or across the first TMTJ for additional stability (see fifth photo above). Another method to maintain correction is to provisionally fixate the first metatarsal head to the second with a K-wire, with the intermetatarsal angle and tibial sesamoid position corrected. Consider lateral capsular or fibular sesamoid release if reduction is difficult. Also, consider an MIS Akin if the hallux remains in valgus or when there is an intrinsic deformity to the digit.
How Much Shift And What Fixation Is Optimal?
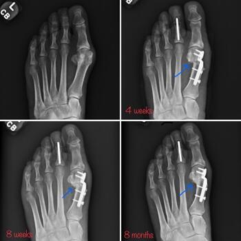
The surgeon may shift the capital fragment as much as necessary as long as there is some contact maintained between the metatarsal shaft and the head. It is possible to plan the amount of translation necessary on the preoperative X-ray, based on the position of the fibular sesamoid. In our experience, the lateral cortex of the metatarsal head should end up in a position just lateral to the fibular sesamoid on the preoperative X-ray. The gap between the lateral metatarsal head and metatarsal shaft will consolidate over time (see sixth and seventh photos above). A multitude of advanced options for fixation exist, including, but not limited to headless compression implants (see seventh and ninth photos above) and plate-intramedullary hybrid devices (see sixth photo above). Intramedullary devices do require a slightly larger incision for appropriate placement.
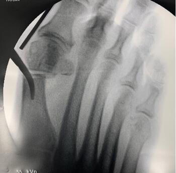
Wire Placement For Percutaneous Screw Fixation. Surgeons may place wires in the first metatarsal before the osteotomy, from the medial aspect of the first metatarsal up to the lateral cortex. Following osteotomy of the metatarsal, the surgeon can then shift the metatarsal head and advance the wires to capture the fragment. This will prevent loss of reduction after manipulation. The proximal wire should be just distal to the first tarsometatarsal joint, while the distal wire should be approximately two cm proximal to the osteotomy site. The distal wire does not need to purchase the lateral cortex of the first metatarsal. The proximal wire must purchase the lateral cortex of the first metatarsal and may exit bone before re-entering the metatarsal head. Be cognizant of maximum screw length to help in planning of wire trajectory (see eighth photo above).
The proximal wire sometimes tends to skive and ride along the lateral cortex, making accurate placement of the wire rather difficult. We recommend using the largest wire possible, within the set, to prevent deformation and redirection of the wire up the shaft. Let the wire advance through the cortex while maintaining a singular position or utilize oscillation; do not force it. The surgeon also has the option to leave the wire in place, advance the cannulated drill to penetrate the lateral cortex, and then drive the wire alone through the drill hole and into the metatarsal head.
Previously marked landmarks of the first metatarsal can help plan the trajectory of the wires. Additionally, the non-dominant hand can grasp the metatarsal head between the thumb and index finger to assist in spatial targeting while placing wires across the osteotomy. We recommend drilling and placing the distal screw prior to drilling for the proximal screw. One can then tighten both the proximal and distal screws while holding reduction.
Multiple passes of the wire through the metatarsal shaft may diminish the structural integrity of the bone, predisposing it to fracture or inadequate screw purchase. In our training and experience, additional attempts at wire placement also increase the risk of damage to the nerves along the medial aspect of the foot. Nerve irritation is a common postoperative complaint. The incisions should be extended slightly to ensure the nerves are adequately protected during screw placement. Care must be taken to ensure implants are not intra-articular and are seated flush with the medial cortex of the metatarsal. The surgeon may then address any excessive overhanging ledge of the first metatarsal, via MIS burr or rongeur, to avoid skin or soft tissue irritation. Do not hesitate to make a slightly larger distal incision to remove the medial eminence or bony prominences.
Pertinent Aspects Of The Postoperative Protocol
We have found success with immediate protected weight bearing in a short CAM walker boot. The lack of violation of the first MPJ capsule is the most advantageous portion of this procedure, as we avoid fibrosis or adhesions from the arthrotomy. We advise aggressive range of motion to tolerance daily for the first six weeks postoperatively. At four weeks, transition to a surgical shoe/may take place, and at six weeks, transition to supportive sneaker with accommodative insert. We typically obtain radiographs at four and eight weeks postoperatively. It is unnecessary to see bone consolidation before transition to sneaker as this secondary callus formation may lag behind the clinical union. We rely on patient symptoms and pain on palpation at the osteotomy site.
In Conclusion
When considering the addition of percutaneous or MIS bunion correction to a surgeon's arsenal, patient positioning and OR configuration are key initial steps. Having a consistent configuration and technique allows for reproducible procedural results. It is important to find what works and is comfortable for each individual surgeon. There is a significant amount of variability in procedural nuances, but overall, the principles of correction and fixation remain constant. When getting started, it may be beneficial to have alternate fixation available in case there is a need to convert to an open procedure. We hope this article provides a few helpful tips and tricks to promote successful outcomes for young surgeons or those looking to adopt the MIS technique for HAV correction.
Dr. Bala is an Associate of the American College of Foot and Ankle Surgeons and a recent Fellow at Balance Foot and Ankle Fellowship in Cleveland, Ohio. He is now an Associate at Ankle and Foot Associates located in Jacksonville, Florida.
Dr. Foote is an Associate of the American College of Foot and Ankle Surgeons and a recent Fellow at Orthopedic Center of Florida Foot and Ankle Fellowship in Ft. Myers, FL. He is now an Associate at Orthopedic Center of Florida located in Ft. Myers, Florida.
1. Biz C, Corradin M, Petretta I, Aldegheri R. Endolog technique for correction of hallux valgus: a prospective study of 30 patients with 4-year follow-up. J Orthop Surg Res. 2015;10(1):102.
2. Díaz Fernández R. Use of a percutaneous osteotomy with plate fixation in hallux valgus correction. Foot Ankle Surg. 2019 Apr;25(2):106-112.
3. McGann M, Langan TM, Brandão RA, Berlet G, Prissel M. Structures at Risk During Percutaneous Extra-Articular Chevron Osteotomy of the Distal First Metatarsal. Foot Ankle Spec. 2021 Feb;14(1):19-24.
4. Dhukaram V, Chapman A, Upadhyay P. Minimally invasive forefoot surgery: a cadaveric study. Foot Ankle Int. 2012;33(12):1139-1144.
5. Jowett CRJ, Bedi HS. Preliminary results and learning curve of the minimally invasive chevron akin operation for hallux valgus. J Foot Ankle Surg. 2017;56(3):445-452.
6. Personal communication with Jonathan Sharpe, DPM and Andrew Belis, DPM.


