Skip to main content

Volume 37 - Issue 6 - June, 2025

Original Contribution
01/29/2025
Usama Anwar, MBBS; Raja Shaikh, MBBS; Ahmad I. Almari, MD; Horacio M. Padua, MD; Kyung R. Kim, MD; Mohammad Amarneh, MD; Gulraiz Chaudry, MBChB
The study aimed to specifically investigate the safety and efficacy of percutaneous pulmonary intravascular foreign body removal in the pediatric population.
The study aimed to specifically investigate the safety and efficacy of percutaneous pulmonary intravascular foreign body removal in the pediatric population.
The study aimed to specifically...
01/29/2025
Journal of Invasive Cardiology
Original Contribution
01/29/2025
Hussayn Alrayes, DO; Ayman Alsaadi, MD; Ahmad Alkhatib, MD; Dhruvil Ashishkumar Patel, MD; Mohammad Alqarqaz, MD; Tiberio Frisoli, MD; Brittany Fuller, MD; Akshay Khandelwal, MD; Gerald Koenig, MD, PhD; Brian P. O'Neill, MD; Pedro Villablanca, MD; Mohammad Zaidan, MD; William O'Neill, MD; Khaldoon Alaswad, MD; Mir Basir, DO
The authors sought to add to the current literature regarding the use of protamine after percutaneous coronary intervention using a large single-center retrospective data set.
The authors sought to add to the current literature regarding the use of protamine after percutaneous coronary intervention using a large single-center retrospective data set.
The authors sought to add to the...
01/29/2025
Journal of Invasive Cardiology
Original Contribution
01/24/2025
Roberto L. da Silva, MD, PhD; Rodrigo M. Joaquim, MD; Thaís R.W. da Silva, MD, MSc; Felipe Borges Oliveira, MD; Pedro B. de Andrade, MD, PhD; José Ribamar Costa Jr, MD, PhD
The authors investigated the impact of weight-adjusted heparin doses on the incidence of radial artery occlusion in patients undergoing diagnostic transradial catheterization
The authors investigated the impact of weight-adjusted heparin doses on the incidence of radial artery occlusion in patients undergoing diagnostic transradial catheterization
The authors investigated the...
01/24/2025
Journal of Invasive Cardiology
Original Contribution
01/21/2025
Devika Aggarwal, MBBS; Rebecca Young, MS; Milan Seth, MS; Daniel M. Wojdyla, MS; Devraj Sukul, MD; Tracy Y. Wang, MD; Simon R. Dixon, MB, ChB; Michael R. Rudnick, MD; Shweta Bansal, MBBS; Carlo Briguori, MD; Hitinder S. Gurm, MBBS
The authors analyzed data from the National Cardiovascular Data Registry (NCDR) CathPCI registry to assess the prevalence and outcomes of renal function-based contrast dosing during percutaneous coronary intervention in patients with...
The authors analyzed data from the National Cardiovascular Data Registry (NCDR) CathPCI registry to assess the prevalence and outcomes of renal function-based contrast dosing during percutaneous coronary intervention in patients with...
The authors analyzed data from...
01/21/2025
Journal of Invasive Cardiology
Clinical Images
01/13/2025
Marco A. Alcántara-Meléndez, MD; Antonio Vargas-Cruz, MD; César L. González-Aguilar, MD; Faustino J. Silva-Centeno, MD; Jesus González-Jasso, MD; Leonel Avendaño-Perez, MD; Rafael Esparza-Corona, MD; Heberto Aquino-Bruno, MD
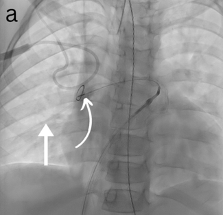
The authors show an example of microcatheter over-torquing, causing entrapment of the guidewire during recanalization of a chronic total occlusion,.
The authors show an example of microcatheter over-torquing, causing entrapment of the guidewire during recanalization of a chronic total occlusion,.
The authors show an example of...
01/13/2025
Journal of Invasive Cardiology
Clinical Images
01/13/2025
Ka-chun Un, MBBS, MRes; Cheung-chi Lam, MBBS; Hay-son Chen, MBBS; Chun-ka Wong, MBBS; Ho-on Alston Conrad Chiu, MBBS; Yui-ming Lam, MBBS; Kwong-yue Eric Chan, MBBS
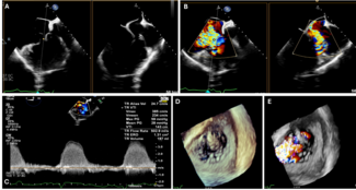
A 36-year-old man with unrepaired double inlet and double outlet right ventricle, severe pulmonary stenosis, and dextroversion, who was on the heart transplant waiting list, presented with acute heart failure.
A 36-year-old man with unrepaired double inlet and double outlet right ventricle, severe pulmonary stenosis, and dextroversion, who was on the heart transplant waiting list, presented with acute heart failure.
A 36-year-old man with...
01/13/2025
Journal of Invasive Cardiology
Clinical Images
01/13/2025
Francesco Ciotola, MD; Harald Rittger, MD; Stylianos A. Pyxaras, MD, PhD
A 70-year-old woman developed an anaphylactic reaction with syncope and inspiratory stridor after a wasp sting. Emergency treatment included epinephrine, cortisone, and antihistamines.
A 70-year-old woman developed an anaphylactic reaction with syncope and inspiratory stridor after a wasp sting. Emergency treatment included epinephrine, cortisone, and antihistamines.
A 70-year-old woman developed an...
01/13/2025
Journal of Invasive Cardiology
Clinical Images
01/10/2025
Charles Gallen, MD; Amine Boussofara, MD; Quentin Landolff, MD
A 67-year-old man who was overweight, hypertensive, and had no cardiovascular medical history was treated for a lateral myocardial infarction due to a ramus coronary branch occlusion.
A 67-year-old man who was overweight, hypertensive, and had no cardiovascular medical history was treated for a lateral myocardial infarction due to a ramus coronary branch occlusion.
A 67-year-old man who was...
01/10/2025
Journal of Invasive Cardiology
Original Contribution
01/10/2025
Deniz Mutlu, MD; Dimitrios Strepkos, MD; Pedro E.P. Carvalho, MD; Michaella Alexandrou, MD; Ozgur Selim Ser, MD; Barkin Kultursay, MD; Ali Karagoz, MD; Oleg Krestyaninov, MD; Dmitrii Khelimskii, MD; Mahmut Uluganyan, MD; Korhan Soylu, MD; Ufuk Yildirim, MD; Seda Tanyeri Uzel, MD; Olga C. Mastrodemos, BA; Bavana V. Rangan, BDS, MPH; Sandeep Jalli, MD; Konstantinos Voudris, MD; Yader Sandoval, MD; M. Nicholas Burke, MD; Emmanouil S. Brilakis, MD, PhD
There is limited real-world comparative data of various 2-stent bifurcation techniques. In this study, the authors examined the clinical and angiographic characteristics and long-term outcomes of bifurcation percutaneous coronary intervention...
There is limited real-world comparative data of various 2-stent bifurcation techniques. In this study, the authors examined the clinical and angiographic characteristics and long-term outcomes of bifurcation percutaneous coronary intervention...
There is limited real-world...
01/10/2025
Journal of Invasive Cardiology
Clinical Images
01/08/2025
Juan Xu, MD; Xiaojing Ma, MD
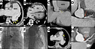
The authors present the case of a 51-year-old man diagnosed with atrial septal defect who had been experiencing severe pulmonary hypertension for the past 2 years.
The authors present the case of a 51-year-old man diagnosed with atrial septal defect who had been experiencing severe pulmonary hypertension for the past 2 years.
The authors present the case of...
01/08/2025
Journal of Invasive Cardiology
Clinical Images
01/08/2025
Murat Akçay, MD; Esra Temiz Lafcı, MD; Serkan Yuksel, MD
A 67-year-old woman underwent pulmonary vein isolation with radiofrequency ablation for the treatment of recurrent paroxysmal atrial fibrillation.
A 67-year-old woman underwent pulmonary vein isolation with radiofrequency ablation for the treatment of recurrent paroxysmal atrial fibrillation.
A 67-year-old woman underwent...
01/08/2025
Journal of Invasive Cardiology