Transcatheter Edge-to-Edge Repair of Severe Atrioventricular Valve Regurgitation in Unrepaired Functionally Univentricular Heart With Dextroversion
© 2025 HMP Global. All Rights Reserved.
Any views and opinions expressed are those of the author(s) and/or participants and do not necessarily reflect the views, policy, or position of the Journal of Invasive Cardiology or HMP Global, their employees, and affiliates.
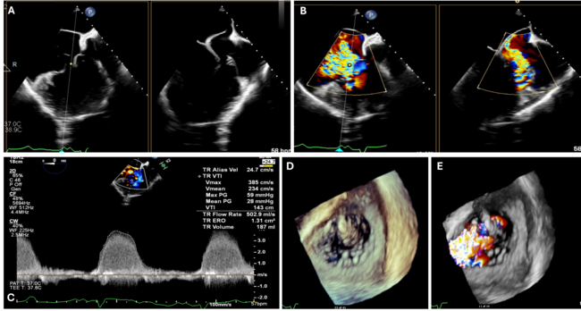
A 36-year-old man with an unrepaired double inlet and double outlet right ventricle, severe pulmonary stenosis, and dextroversion, who was on the heart transplant waiting list, presented with acute heart failure. Echocardiography showed severe right-sided tri-leaflet atrioventricular (tricuspid) valve regurgitation due to a flail anterior leaflet (Figure 1, Video 1). The Heart Team recommended transcatheter edge-to-edge repair as a bridge to a potential future heart transplant.
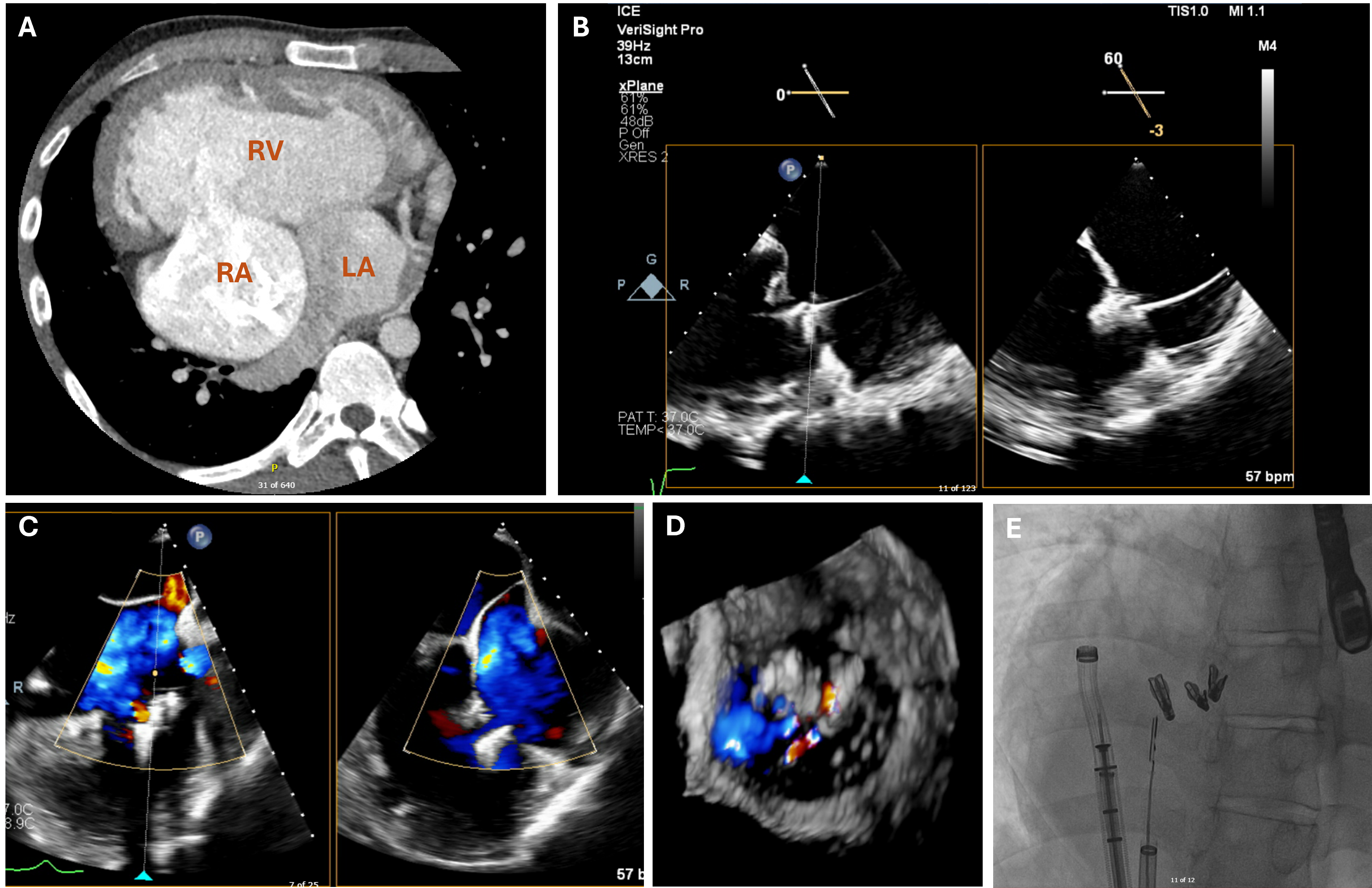
Computed tomography showed the inferior vena cava (IVC) draining into the right-sided right atrium and then into the target tricuspid valve, which is consistent with dextroversion of the heart (Figure 2A).
A TriClip G4 steerable guide catheter (Abbott) was advanced to the right atrium. The procedure was guided by both transesophageal echocardiography and intracardiac echocardiography (Figure 2B). The first TriClip XTW was positioned close to the anteroseptal commissure. The second TriClip XTW was deployed anteroseptally and slightly more to the center than the first clip. The third TriClip XTW was deployed in a similar manner even more centrally. Following these deployments, there was a significant reduction of tricuspid regurgitation (Figure 2C-E, Video 2). The final mean trans-tricuspid gradient was 2 mm Hg.
Six months post-procedure, there was significant improvement in the patient’s exercise tolerance from ground level to 2 flights of stairs, and his N-terminal B-type natriuretic peptide decreased from 1593 ng/dL to 714 ng/dL.
In young patients with complex congenital heart disease, transcatheter edge-to-edge repair could be an effective bridge to a heart transplant.
Affiliations and Disclosures
Ka-chun Un, MBBS, MRes1,2; Cheung-chi Lam, MBBS1,2; Hay-son Chen, MBBS3; Chun-ka Wong, MBBS1,2; Ho-on Alston Conrad Chiu, MBBS1,2; Yui-ming Lam, MBBS1,2; Kwong-yue Eric Chan, MBBS1,2,4
From the 1Cardiology Division, Department of Medicine, Li Ka Shing Faculty of Medicine, University of Hong Kong, Hong Kong SAR, China; 2Cardiology Division, Department of Medicine, Queen Mary Hospital, Hong Kong SAR, China; 3Cardiology Unit, Department of Paediatrics and Adolescent Medicine, Hong Kong Children’s Hospital, Hong Kong SAR, China; 4Cardiac Medical Unit, Grantham Hospital, Hong Kong SAR, China.
Disclosures: The authors report no financial relationships or conflicts of interest regarding the content herein.
Consent statement: The authors confirm that informed consent was obtained from the patient for the intervention described in the manuscript and to the publication thereof. The authors also report that patient consent was provided for publication of the images used herein.
Address for correspondence: Ka-chun Un, MBBS, MRes, FHKCP, FHKAM (Medicine), MRCP(UK), Cardiology Division, Department of Medicine, Queen Mary Hospital, University of Hong Kong, 102 Pok Fu Lam Road, Hong Kong SAR, China. Email: drtimothyun@gmail.com


