Pulmonary Arterial Hypertension-Induced Occlusion of the Left Main Coronary Artery: Pulmonary Artery Reconstruction Surgery Resolves Stenosis Indirectly
© 2025 HMP Global. All Rights Reserved.
Any views and opinions expressed are those of the author(s) and/or participants and do not necessarily reflect the views, policy, or position of the Journal of Invasive Cardiology or HMP Global, their employees, and affiliates.
A 51-year-old man diagnosed with atrial septal defect (ASD) had been experiencing severe pulmonary hypertension (PAH) for the past 2 years. He began experiencing constrictive chest pain while lying on his left side 10 days prior to presentation, which was relieved upon assuming a supine position.
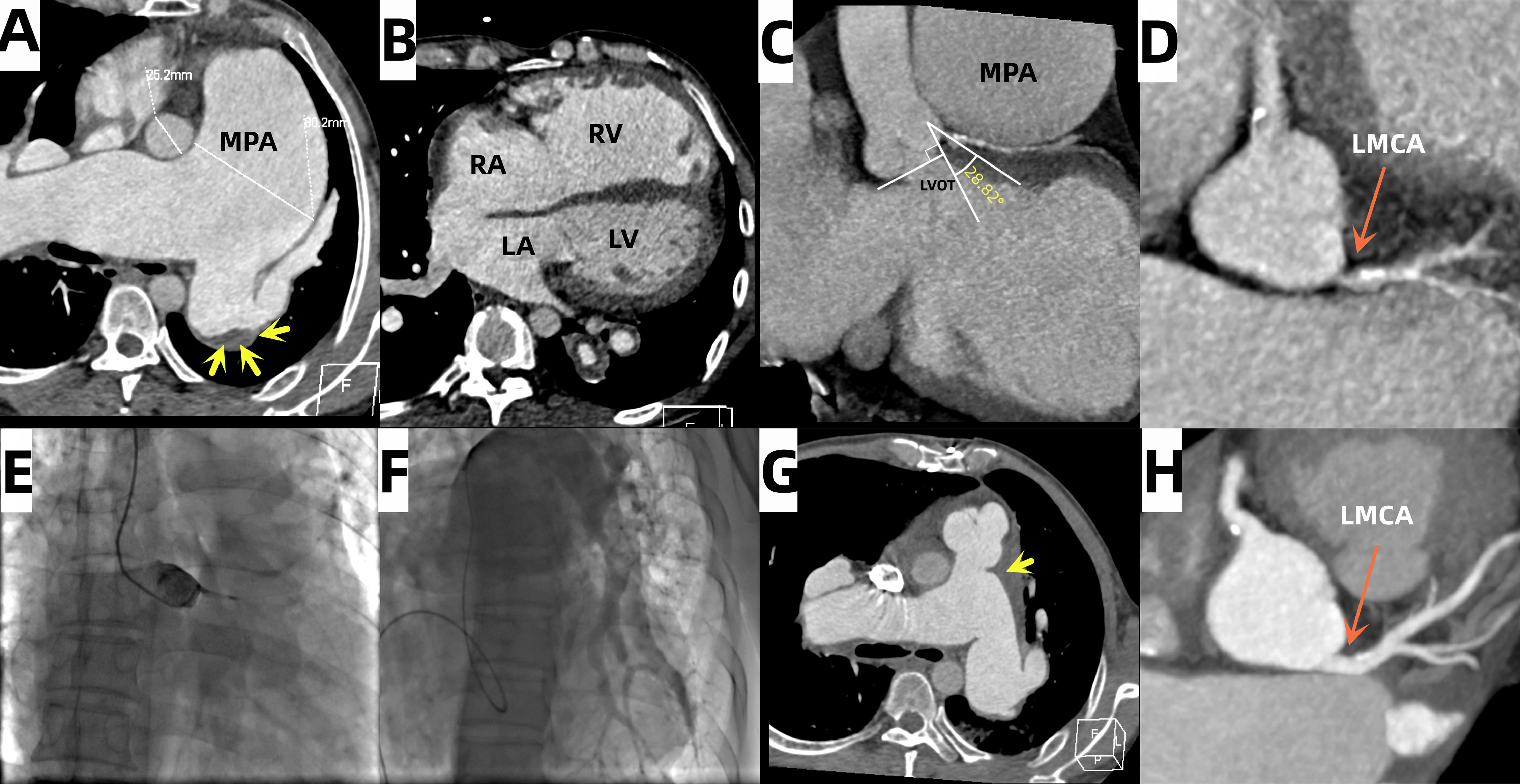
Computed tomography (CT) revealed a mixed ASD and an 80-mm pulmonary artery aneurysm (PAA) (Figure A and B), as well as subtotal occlusion of the left main coronary artery (LMCA) with a take-off angle of less than 60° (Figure C and D) and pulmonary artery (PA) thrombosis in the left inferior pulmonary artery (Figure A). Coronary angiography confirmed the subtotal occlusion of the LMCA and collateral circulation from the right coronary artery (Figure E, Videos 1 and 2). Cardiac catheterization demonstrated a mean PA pressure of 53 mm Hg and stenosis of the lower left PA (Figure F, Video 3).
The patient successfully underwent PA reconstruction surgery and removal of the thrombus from the left PA (Figure G). The coronary artery stenosis was completely resolved after the surgery (Figure H). After 1 year of oral therapy for heart failure associated with PAH, his PA pressure decreased to 36 mm Hg.
Extrinsic compression of the LMCA by a dilated PA main trunk may cause angina in PAH. For patients with PAA, systematic coronary CT angiography screening is essential to reveal LMCA compression and stenosis. Adults with a PAA diameter of greater than 5.5 cm, thrombus formation within the PAA, and clinical symptoms that are due to extrinsic compression of the LMCA are considered indications for surgery.1
Affiliations and Disclosures
Juan Xu, MD1; Xiaojing Ma, MD2
From the Departments of 1Radiology and 2Echocardiography, Wuhan Asia Heart Hospital Affiliated to Wuhan University of Science and Technology. No.753 Jinghan Road, Hankou District, Wuhan, China.
Disclosures: The authors report no financial relationships or conflicts of interest regarding the content herein.
Funding: This work was supported by The Funding for Scientific Research Projects from Wuhan Municipal Health Commission (WX23Z73) as well as by Wuhan Clinical Medical Research Center for Cardiovascular Imaging (CMRC202306).
Consent: The authors have obtained written patient consent to publish the data and images in compliance with COPE guidelines.
Data availability: The data underlying this article are available in the article and in its online Supplementary material.
Address for correspondence: Xiaojing Ma, MD, Department of Echocardiography, Wuhan Asia Heart Hospital Affiliated to Wuhan University of Science and Technology, No. 753 Jinghan Road, Hankou District, Wuhan 430022, P.R. China. Email: 315616595@qq.com
Reference
1. Akbal OY, Kaymaz C, Tanboga IH, et al. Extrinsic compression of left main coronary artery by aneurysmal pulmonary artery in severe pulmonary hypertension: its correlates, clinical impact, and management strategies. Eur Heart J Cardiovasc Imaging. 2018;19(11):1302-1308. doi:10.1093/ehjci/jex303


