Skip to main content

Volume 35 - Issue 11 - November, 2023

Clinical Images
11/17/2023
Michalis Koutouzis, MD, PhD; Theodoros Zografos, MD, PhD; Konstantina Katsanou, MD; Emmanouil S. Brilakis, MD, PhD, FACC, FAHA, FESC, FSCAI; Ioannis Tsiafoutis, MD
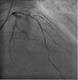
A 60-year-old man was referred for percutaneous coronary intervention of a proximal left circumflex chronic total occlusion with distal filling via epicardial collaterals from the left anterior descending artery. The 30-mm lesion had a...
A 60-year-old man was referred for percutaneous coronary intervention of a proximal left circumflex chronic total occlusion with distal filling via epicardial collaterals from the left anterior descending artery. The 30-mm lesion had a...
A 60-year-old man was referred...
11/17/2023
Journal of Invasive Cardiology
Clinical Images
11/17/2023
Kendrick A. Shunk, MD, PhD; Lina Ya'Quob, MD; Harsh Argawal, MD; Ramin E. Beygui, MD
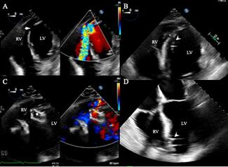
The authors present a 73-year-old female with history of rheumatic heart disease status post-mechanical mitral valve on warfarin, valvular atrial fibrillation, and alpha thalassemia who was admitted to an outside hospital with anterior...
The authors present a 73-year-old female with history of rheumatic heart disease status post-mechanical mitral valve on warfarin, valvular atrial fibrillation, and alpha thalassemia who was admitted to an outside hospital with anterior...
The authors present a...
11/17/2023
Journal of Invasive Cardiology
Clinical Images
11/16/2023
Hiu-Cheong Chow, MBBS; Chun-Yue Mui, MBBS; Tak-Shun Chung, MD, MBBS; Sui-Fung Wong, MBChB
The balloon deflection technique has been reported to be helpful in wiring of angulated side branch. The authors' case illustrates the use of this technique in improving wire control in an angulated side branch, resulting in a successful...
The balloon deflection technique has been reported to be helpful in wiring of angulated side branch. The authors' case illustrates the use of this technique in improving wire control in an angulated side branch, resulting in a successful...
The balloon deflection technique...
11/16/2023
Journal of Invasive Cardiology
Clinical Images
11/13/2023
Sourabh Agstam, MD, DM, MBBS; Vibhavasu Sharma, MD; Souvik Sardar, MBBS, MD; Ambuj Roy, MD, DM
A 70-year-old woman with diabetes presented with recurrent episodes of rest angina the previous month. She had undergone coronary angiography, which was suggestive of triple vessel disease.
A 70-year-old woman with diabetes presented with recurrent episodes of rest angina the previous month. She had undergone coronary angiography, which was suggestive of triple vessel disease.
A 70-year-old woman with...
11/13/2023
Journal of Invasive Cardiology
Brief Communication
11/09/2023
Olga C. Mastrodemos, BA; Deniz Mutlu, MD, PhD; Farshad Forouzandeh, MD, PhD; Ahmed Al-Ogaili, MD; Paul Poommipanit, MD, FACC, FSCAI; Bavana V. Rangan, BDS, MPH, MD; M. Nicholas Burke, MD; Emmanouil S. Brilakis, MD, PhD, FACC, FAHA, FESC, FSCAI; Yader Sandoval, MD; Athanasios Rempakos, MD; Michaella Alexandrou, MD
This study aims to evaluate the impact that the presence of interventional collaterals has on the outcomes of CTO PCI.
This study aims to evaluate the impact that the presence of interventional collaterals has on the outcomes of CTO PCI.
This study aims to evaluate the...
11/09/2023
Journal of Invasive Cardiology
Clinical Images
11/08/2023
Adamantios Tsangaris, MD; Ganesh Raveendran, MD; Gurumurthy Hiremath, MD
A 49-year-old man presented late with an anterior wall myocardial infarction (MI) status post-primary coronary intervention of the left anterior descending artery that resulted in no reflow of the vessel. The patient was transferred to our...
A 49-year-old man presented late with an anterior wall myocardial infarction (MI) status post-primary coronary intervention of the left anterior descending artery that resulted in no reflow of the vessel. The patient was transferred to our...
A 49-year-old man presented late...
11/08/2023
Journal of Invasive Cardiology
Original Contribution
11/07/2023
Frank Van Der Kley, MD, PhD; Fatih Arslan, MD, PhD; Roderick Scherptong, MD, PhD; Pietro Mazzarotto, MD; Mario Bollati, MD; Antonella Pepe, MD; Lorenzo Tua, MD; Andrea Bongiorno, MD; Alessandro Fasolino, MD; Francesca Romana Gentile, MD; Davide Colombo, MD; Stefano Ghio, MD; Federico Oliveri, MD; Marco Ferlini, MD; Ibtihal Al Amri, MD, PhD; Andrea R. Munafo, MD; José M. Montero-Cabezas, MD, PhD; Brian Bingen, MD, PhD
The authors conducted a systematic literature research and meta-analysis in PubMed, Medline, and EMBASE databases for studies comparing PASCAL and MitraClip systems.
The authors conducted a systematic literature research and meta-analysis in PubMed, Medline, and EMBASE databases for studies comparing PASCAL and MitraClip systems.
The authors conducted a...
11/07/2023
Journal of Invasive Cardiology
Original Contribution
11/03/2023
Amelia Focaccio, MD; Luca Paolucci, MD; Valeria Cavaliere, MD; Francesca De Micco, MD; Enrica Mariano, MD; Roberto Celotto, MD; Francesco Valenti, MD; Giueseppe Massimo Sangiorgi, MD, PhD; Giuseppe G.L. Biondi-Zoccai, MD, PhD; Antonietta Di Lorio, MD; Guido Riviezzo, MD; Carlo Briguori, MD, PhD; Stefano Scafuri, MD
The aim of the study was to seek the ideal intravenous volume expansion to prevent CA-AKI in patients with chronic kidney disease (CKD) undergoing invasive cardiovascular procedures.
The aim of the study was to seek the ideal intravenous volume expansion to prevent CA-AKI in patients with chronic kidney disease (CKD) undergoing invasive cardiovascular procedures.
The aim of the study was to seek...
11/03/2023
Journal of Invasive Cardiology
Clinical Images
11/02/2023
Pramod Kumar Ponna, MD; Yashwant Agrawal, MD, FACC, FSCAI; Tim A. Fischell, MD, FACC, FSCAI
A 73-year-old man with history significant for paroxysmal atrial fibrillation on apixaban underwent percutaneous coronary intervention (PCI) of the left anterior descending artery via transradial access.
A 73-year-old man with history significant for paroxysmal atrial fibrillation on apixaban underwent percutaneous coronary intervention (PCI) of the left anterior descending artery via transradial access.
A 73-year-old man with history...
11/02/2023
Journal of Invasive Cardiology
Original Contribution
10/31/2023
Asra Khan, MD; Srinath T. Gowda, MD; Athar M. Qureshi, MD, FSCAI; Lindsay F. Eilers, MD; Subhrajit Lahiri, MD, FAAP, FSCAI; Gary E. Stapleton, MD; Ricardo H. Pignatelli, MD; Manish Bansal, MD; Melissa K. Webb, MD
The catheterization database at Texas Children’s Hospital was queried for patients with secundum atrial septal defect.
The catheterization database at Texas Children’s Hospital was queried for patients with secundum atrial septal defect.
The catheterization database at...
10/31/2023
Journal of Invasive Cardiology
Original Contribution
10/31/2023
Lorenzo Azzalini, MD, PhD, MSc; Marcelo Harada Ribeiro, MD, PhD; Michael S. Megaly, MD, MS; Cristiano de Oliveira Cardoso, MD, PhD, FSCAI, MBA; Ke Li, MD; Angel Moctezuma-Ramirez, MD; Franklin Hanna, MD; Abdelmotagaly Elgalad, MD, PhD; Emerson C. Perin, MD, PhD
A systematic review and meta-analysis of the scientific literature was conducted to identify randomized controlled trials comparing dTRA with TRA.
A systematic review and meta-analysis of the scientific literature was conducted to identify randomized controlled trials comparing dTRA with TRA.
A systematic review and...
10/31/2023
Journal of Invasive Cardiology