Thrombectomy Using AlphaVac for Left Atrial Thrombus Causing Mechanical Mitral Valve Obstruction and Cardiogenic Shock
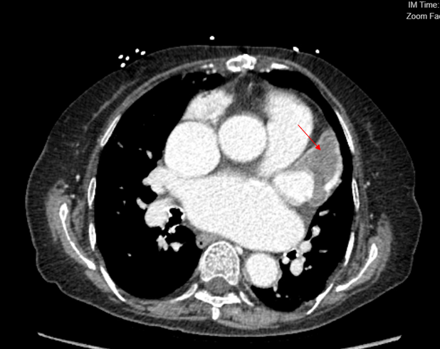
We present a 73-year-old female with history of rheumatic heart disease status post-mechanical mitral valve on warfarin, valvular atrial fibrillation, and alpha thalassemia who was admitted to an outside hospital with anterior ST-segment myocardial infarction. Coronary angiogram showed occluded left anterior descending artery (LAD) with acute thrombus status post-thrombectomy and balloon angioplasty. Her hospital course was complicated by subsequent ischemic cardiomyopathy with ejection fraction of 40% to 45%, pulmonary edema requiring positive pressure ventilation, and acute onset headaches. Computed tomography of her brain and chest showed bilateral mixed density subdural hematomas and a large left atrial appendage (LAA) thrombus (Figure 1). Warfarin was given for 1 day post-intervention, and then discontinued in the setting of brain bleeding. The patient was subsequently transferred to our center for consideration of neurosurgical intervention. No neurosurgical intervention was performed, as the patient’s brain bleeding remained stable and her sole neuro deficit was stable right-sided dysmetria.
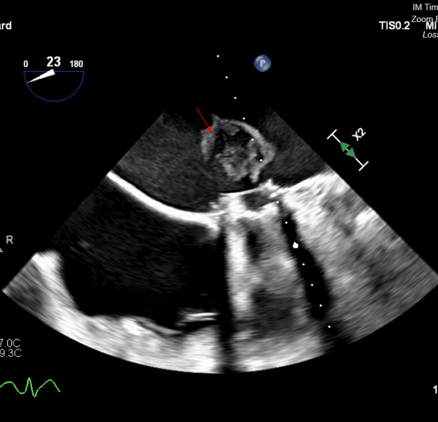
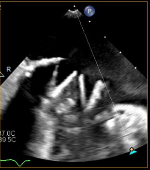
In order to prevent coronary or brain embolization of LAA thrombus, the decision was made to proceed with LAA ligation via the left thoracotomy approach. The patient was then subsequently taken to the operating room for clipping of the LAA with possible cardiopulmonary bypass only if necessary. The LAA was clipped through a left anterior thoracotomy. The patient already had access in her femoral artery and vein for possible institution of cardiopulmonary bypass should it be necessary. A large strand of thrombus was dislodged from the LAA and migrated in the left atrium, obstructing the mechanical mitral valve (Figure 2A-C). The patient was heparinized and placed on cardiopulmonary bypass.
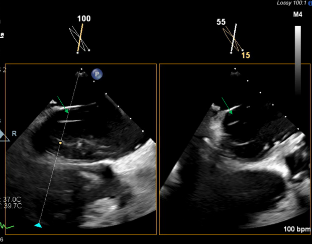
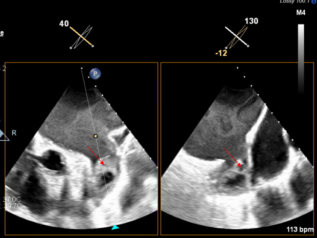
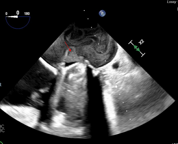
We performed transseptal puncture using Versacross wire (Baylis Medical) and Baylis catheter, followed by septostomy using a 14 mm Armada balloon (Abbott) (Figure 3). We then advanced the AlphaVac system (Angiodynamics) to the left atrial and directed the tip of the funnel towards the thrombus (Figure 4), which was successfully removed after multiple runs of aspiration using the AlphaVac system. (Figure 5A, B). The system was then removed, and the femoral venous access was closed using Perclose (Abbott). The patient was transferred to the cardiothoracic intensive care unit for further monitoring. Unfortunately, after transfer, a stroke occurred in the patient’s right middle cerebral artery. Her goals of care were discussed with the family, and she was transitioned to comfort care. She died 3 days post-procedure.
Our case illustrates that migration of left atrial thrombus can occur, and may lead to mechanical mitral valve obstruction and cardiogenic shock.1,2 Transcatheter procedures of the left-sided cardiac structures using the transseptal approach have evolved over the past several years, expanding the range of transcatheter structural heart interventions.3 Mechanical aspiration of left-sided cardiac thrombus using the AngioVac device system (AngioDynamics) has been reported in the literature.1,2,4 The AlphaVac device allows mechanical aspiration of the thrombus without the need for perfusionist support. In our case, we demonstrate the utility of the AlphaVac device system for left atrial thrombectomy of a large thrombus strand that migrated from the LAA and caused cardiogenic shock due to mechanical mitral valve obstruction.
Affiliations and Disclosures
From the 1Department of Cardiology, University of California San Francisco, San Franciso, California, USA; 2Department of Cardiothoracic Surgery, University of California San Francisco, San Francisco, California, USA.
Disclosures: The authors report no financial relationships or conflicts of interest regarding the content herein.
Address for correspondence: Lina Ya’Qoub, MD, 505 Parnassus Avenue, San Francisco, CA 94143, USA. Email: yaqoublina1989@gmail.com
References
[1] Fiocco A, Colli A, Besola L. Case report: Treatment of left-sided valve endocarditis using the Transapical AngioVac System and cerebral embolism protection device: A case series. Front Cardiovasc Med. 2023;10:1121488. doi: 10.3389/fcvm.2023.1121488
[2] Patel H, Castellanos LR, Golts E, Reeves R, Mahmud E, Hsu JC. Spontaneous left atrial thrombus formation on the catheter delivery system during WATCHMAN implantation. JACC Case Rep. 2020;2(3):444-448. doi: 10.1016/j.jaccas.2019.10.041
[3] Alkhouli M, Rihal CS, Holmes DR Jr. Transseptal techniques for emerging structural heart interventions. JACC Cardiovasc Interv. 2016;9(24):2465-2480. doi: 10.1016/j.jcin.2016.10.035
[4] Gerosa G, Longinotti L, Bagozzi L, et al. Transapical aspiration of a mitral mass with the AngioVac System on a beating heart. Ann Thorac Surg. 2020;110(5):e445-e447. doi: 10.1016/j.athoracsur.2020.04.051


