Transcatheter Closure of a Large Post-Myocardial Infarction Ventricular Septal Defect Using the GORE Cardioform ASD Occluder
We present a report of a successful percutaneous closure of a large post myocardial infarction ventricular septal defect (MI VSD) with off-label use of a GORE Atrial Septal Defect (ASD) Occluder (GCA; W.L. Gore and Associates).
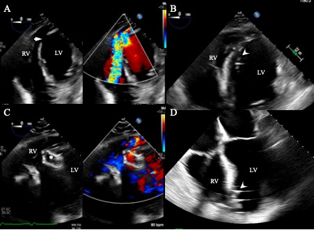
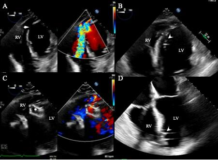
A 49-year-old man presented late with an anterior wall myocardial infarction (MI) status post-primary coronary intervention of the left anterior descending artery that resulted in no reflow of the vessel. The patient was transferred to our institution in cardiogenic shock. His course was complicated with cardiac arrest, for which he had veno-arterial extracorporeal membrane oxygenation placement and decannulation 20 days later. He was noted to have a large apical VSD 48 days after his presentation, with significant left to right shunt on transesophageal echocardiogram (TEE) (Figure 1A). Computed tomography (CT) angiogram showed the VSD measured 2.8 cm x 1.6 cm. The patient underwent successful percutaneous closure of the defect using a 48 mm GCA on day 56 post-MI (Figures 1, 2). A veno-arterial (right internal jugular vein-femoral artery) wire loop was used to cross the VSD, as described in a previous study.1 The initial attempt with deployment of a 24 mm Amplatzer Post-infarct Muscular VSD Occluder (largest available size) (Abbott), was unsuccessful due to misalignment with the apical septum; oblique positioning across the VSD with protrusion of the left ventricular disc towards the right ventricle resulted in an incomplete seal (Figures 1C, 2C) and risk of embolization. A 48 mm atrial septal defect GCA was chosen and successfully deployed through a 14 French (Fr) GORE DrySeal sheath (Figure 1D, 2D) with trace residual shunt.
Post-MI ventricular septal rupture has poor prognosis with medical management (<10% survival at 30 days) and high mortality post-repair with surgical or percutaneous approach (40%-70% at 30 days).2 Percutaneous approach carries the risk of ventricular perforation, device embolization, hemolysis, and persistent residual shunt. Percutaneous post-MI VSD closure has been described with the use of Amplatzer devices, predominantly the Amplatzer Post-infarct Muscular VSD Occluder.3 Gore Cardioform/ASD Occluders have rarely been used for this indication; there is a single report of the use of the GORE Cardioform Septal Occluder (GCSO),4 and a recent single report of the use of GCA for this indication from the group in the United Kingdom.5 To our knowledge, this case represents the first report from the US of post-MI VSD closure with a GORE ASD Occluder.
The GORE ASD Occluder is composed of a platinum-filled nitinol wire frame covered with expanded polytetrafluoroethylene (ePTFE) and has a unique ‘anatomically adaptable’ waist that conforms to the shape of the defect and is designed to treat secundum ASDs up to 35 mm in diameter (using the largest 48 mm device).6 The soft construction, lower risk of erosion, and adaptable waist were appealing in this patient, where the largest Amplatzer Post-infarct VSD Occluder was unsuccessful. The ePTFE covering is highly occlusive, resistant to residual shunts, and may have the added benefit of preventing hemolysis, which is well described in nitinol mesh devices.3,5 This case demonstrates an early experience of successful and safe deployment of a 48 mm GCA device in a large apical post-MI VSD unsuitable for closure with Amplatzer Post MI VSD Occluder.
Affiliations and Disclosures
From the Division of Cardiology, Department of Medicine, University of Minnesota, Minneapolis, MN, USA.
Disclosures: Dr. Hiremath is a paid ad hoc consultant for Abbott Medical. The remaining authors report no financial relationships or conflicts of interest regarding the content herein.
Address for correspondence: Gurumurthy Hiremath, MD, FACC, FSCAI, FPICS, University of Minnesota Medical Center, Masonic Children's Hospital, 2450 Riverside Avenue, Minneapolis, MN 55454, USA. Email: hiremath@umn.edu
References
- Faccini A, Butera G. Techniques, Timing, and Prognosis of Transcatheter Post Myocardial Infarction Ventricular Septal Defect Repair. Curr Cardiol Rep. 2019;21(7):59. doi:10.1007/s11886 019-1142-8
- Crenshaw BS, Granger CB, Birnbaum Y, et al. Risk factors, angiographic patterns, and outcomes in patients with ventricular septal defect complicating acute myocardial infarction. GUSTO-I (Global Utilization of Streptokinase and TPA for Occluded Coronary Arteries) Trial Investigators. Circulation. 2000;101(1):27–32. doi:10.1161/01.cir.101.1.27
- Holzer R, Balzer D, Amin Z, et al. Transcatheter closure of postinfarction ventricular septal defects using the new Amplatzer muscular VSD occluder: Results of a U.S. Registry. Catheter Cardiovasc Interv. 2004;61(2):196–201. doi:10.1002/ccd.10784
- Arias EA, Bhan A, Lim ZY, Mullen M. Utility of the Gore Septal Occluder in Transcatheter Closure of Post-Myocardial Infarct Ventricular Septal Defect: Initial Experience. JACC Cardiovasc Interv. 2016;9(21):2259–2261. doi:10.1016/j.jcin.2016.08.044
- Hribernik I, Bentham JR. Post-myocardial infarction ventricular septal defect closure with Gore Cardioform ASD Occluder to improve tissue interactions - case report. Eur Heart J Case Rep. 2023;7(8):ytad334. doi: 10.1093/ehjcr/ytad334
- Sommer, RJ, Love BA, Paolillo JA, et al. ASSURED Investigators. ASSURED clinical study: New GORE® CARDIOFORM ASD occluder for transcatheter closure of atrial septal defect. Catheter Cardiovasc Interv. 2020;95(7):1285-1295. doi: 10.1002/ccd.28728


