Bladder Indentation Sign: A Stitch in Time Can Save Nine
Sourabh Agstam, MD, DM; Vibhav Sharma, MD, DM; Souvik Sardar, MBBS, MD; Ambuj Roy, MD, DM
A 70-year-old woman with diabetes presented with recurrent episodes of rest angina the previous month. She had undergone coronary angiography, which was suggestive of triple vessel disease. Her 12-lead electrocardiogram was normal and the 2D echocardiography showed normal left ventricle systolic function.
After discussion with the heart team, the patient was taken up for percutaneous coronary intervention (PCI) to the left anterior descending artery. The right femoral artery puncture was taken under ultrasound guidance. However, guidewire could not be passed on the first puncture and cannulation was possible only on the second attempt. During the PCI, the patient developed brief hypotension that responded to inotropes.
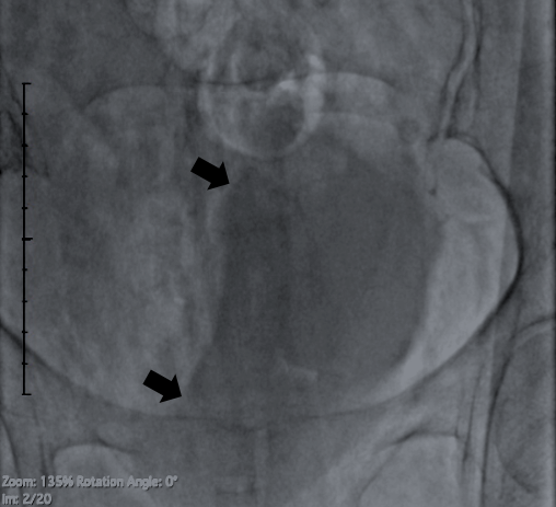
After the completion of PCI, her bladder was checked with fluoroscopy, which revealed gross indentation of the right margin suggesting retroperitoneal hematoma (Figure).
Angiogram of the right femoral artery showed brisk contrast extravasation from the common femoral artery, which continued despite intermittent balloon tamponade from contralateral access. This was then sealed with a 7 mm x 60 mm covered stent (Covera; Becton Dickinson) (Videos 1, 2). The patient received blood transfusions in hospital stay and her hemodynamics stabilized. She was discharged on day 5.
The bladder indentation sign is an early on-table sign to diagnose retroperitoneal hematoma and fluoroscopy of the bladder should be performed routinely to institute prompt treatment.
Affiliations and Disclosures
From the Department of Cardiology, All India Institute of Medical Sciences, New Delhi, India.
Disclosures: The authors report no financial relationships or conflicts of interest regarding the content herein.
Address for correspondence: Ambuj Roy, MD, DM, Professor, Department of Cardiology, AIIMS, New Delhi, India. Email: drambujroy@aiims.edu


