Skip to main content

Volume 34 - Issue 7 - July, 2022

06/30/2022
July 2022 TOC and Whole Issue PDF
July 2022 TOC and Whole Issue PDF
July 2022 TOC and Whole Issue PDF
06/30/2022
Journal of Invasive Cardiology
Clinical Images
06/30/2022
Gregory L. Judson, MD; Vaikom S. Mahadevan, MD
A 38-year-old man with congenital subaortic stenosis was treated with patch enlargement and aortic commissurotomy in infancy and aortic balloon valvuloplasty in childhood, followed by the Ross procedure at age 15. He also had a tricuspid...
A 38-year-old man with congenital subaortic stenosis was treated with patch enlargement and aortic commissurotomy in infancy and aortic balloon valvuloplasty in childhood, followed by the Ross procedure at age 15. He also had a tricuspid...
A 38-year-old man with...
06/30/2022
Journal of Invasive Cardiology
Clinical Images
06/30/2022
Issa Kutkut, MD; Rohini Manaktala, DO; Nayef Abouzaki, MD
A 63-year-old male with a history significant for 50 pack years of tobacco use and a cerebrovascular accident presented with unstable angina. His electrocardiogram (ECG) showed sinus bradycardia with nonspecific ST/T wave changes. Coronary...
A 63-year-old male with a history significant for 50 pack years of tobacco use and a cerebrovascular accident presented with unstable angina. His electrocardiogram (ECG) showed sinus bradycardia with nonspecific ST/T wave changes. Coronary...
A 63-year-old male with a...
06/30/2022
Journal of Invasive Cardiology
Clinical Images
06/30/2022
Saad M. Ezad, MD, MBBCh; Ausami Abbas, MD; John Rawlins, MD; Nick Curzen, PhD, FRCP, FESC
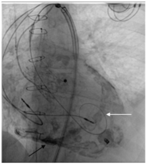
A 61-year-old man presented with progressive, limiting breathlessness. He had undergone orthotropic heart transplant 34 years prior for idiopathic dilated cardiomyopathy, subsequently requiring renal transplantation for calcineurin inhibitor...
A 61-year-old man presented with progressive, limiting breathlessness. He had undergone orthotropic heart transplant 34 years prior for idiopathic dilated cardiomyopathy, subsequently requiring renal transplantation for calcineurin inhibitor...
A 61-year-old man presented with...
06/30/2022
Journal of Invasive Cardiology
Clinical Images
06/30/2022
Giovanni Lorenzoni, MD; Giuseppe Talanas, MD; Pierluigi Merella, MD; Cristiana Denurra, MD; Gavino Casu, MD
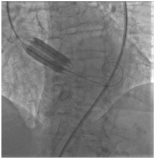
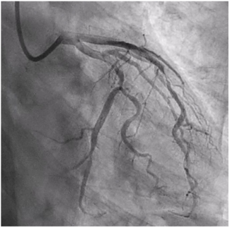
An 80-year-old man was admitted for acute coronary syndrome with ST elevation in the anterior leads. Primary percutaneous coronary intervention (PCI) was performed on the left anterior coronary artery by implanting 3 drug-eluting stents....
An 80-year-old man was admitted for acute coronary syndrome with ST elevation in the anterior leads. Primary percutaneous coronary intervention (PCI) was performed on the left anterior coronary artery by implanting 3 drug-eluting stents....
An 80-year-old man was admitted...
06/30/2022
Journal of Invasive Cardiology
Original Contribution
06/24/2022
Kazunori Horie, MD; Norio Tada, MD; Tsuyoshi Isawa, MD; Shigeru Toyoda, MD
The Hyperion SheathLess guiding catheter (Asahi Intecc) is a novel guiding system for transradial percutaneous coronary intervention (PCI). Compared with the previous model (SheathLess Eaucath; Asahi Intecc), improvements achieved with the...
The Hyperion SheathLess guiding catheter (Asahi Intecc) is a novel guiding system for transradial percutaneous coronary intervention (PCI). Compared with the previous model (SheathLess Eaucath; Asahi Intecc), improvements achieved with the...
The Hyperion SheathLess guiding...
06/24/2022
Journal of Invasive Cardiology
Clinical Conference Proceedings
06/24/2022
Cindy L. Grines, MD, FACC, FSCAI; Amir Lerman, MD; William W. O'Neill, MD; James P. Zidar, MD; Tarek A. Helmy, MD; Herbert D. Aronow, MD, MPH, FACC, FSCAI; Sigrid Nikol, MD; E. Magnus Ohman, MD; Tim A. Fischell, MD, FACC, FSCAI; Richard W. Smalling, MD, PhD; Jeffrey Marshall; Salman A. Arain, MD; H. Vernon Anderson, MD; Kirk N. Garratt, MD, MSc; George L. Adams, MD, MHS, MBA, FACC, FSCAI; Tyrone J. Collins, MD; Khaldoon Alaswad, MD; Michael J. Rinaldi, MD, FACC, FSCAI; Jihad A. Mustapha, MD, FACC, FSCAI; Michael Cowley, MD; R. M. Bersin; Christopher U. Meduri, MD, MPH; Victor Lucas, MD; J. Dawn Abbott, MD; Charles L. Brown, III, MD, FACC, FACP; Robert Bersin, MD; Ayman A. Magd, MD; Laurie Gustafson; Adam B. Greenbaum, MD; Molly Szerlip, MD, FACP; Janarthanan Sathananthan, MBChB, MPH, MD; Timothy D. Henry, MD; George W. Vetrovec, MD
These proceedings summarize the educational activity of the 16th Biennial Meeting of the International Andreas Gruentzig Society held January 31-February 3, 2022.
These proceedings summarize the educational activity of the 16th Biennial Meeting of the International Andreas Gruentzig Society held January 31-February 3, 2022.
These proceedings summarize the...
06/24/2022
Journal of Invasive Cardiology
Original Contribution
06/17/2022
Ioannis Lazaridis, MD; Konstantinos Toutouzas, MD; Ioannis Styliadis, MD; Dimitrios Tziakas, MD; Spyridon G. Deftereos, MD; Georgios C. Bompotis, MD; Georgios Giannopoulos, MD, PhD; Asterios I. Karakanas, MD; Magdalini Meletidou, MD; Dimitrios Vrachatis, MD
Interventional cardiologists prefer the right radial artery (RA) approach for coronary angiography and interventions, mainly for ergonomic reasons. However, the use of the left RA presents certain advantages, and the snuffbox approach has...
Interventional cardiologists prefer the right radial artery (RA) approach for coronary angiography and interventions, mainly for ergonomic reasons. However, the use of the left RA presents certain advantages, and the snuffbox approach has...
Interventional cardiologists...
06/17/2022
Journal of Invasive Cardiology
Original Contribution
06/17/2022
Bahadir Simsek, MD; Spyridon Kostantinis, MD; Vennela Avula, BSPH; Emmanouil S. Brilakis, MD, PhD, FACC, FAHA, FESC, FSCAI; Alessandra A. Gutierrez; Judit Karacsonyi, MD, PhD; Bavana V. Rangan, BDS, MPH, MD; Santiago Garcia, MD; Mario Goessl, MD, PhD; Yale Wang, MD; Ivan Chavez, MD; Anil Poulose, MD; M. Nicholas Burke, MD; Michael R. Mooney, MD; Paul Sorajja, MD; Jay H. Traverse, MD
Coronary perforation is a potentially life-threatening PCI complication. We examined the clinical, angiographic, and procedural characteristics, management, and outcomes of coronary perforation at a tertiary care institution.
Coronary perforation is a potentially life-threatening PCI complication. We examined the clinical, angiographic, and procedural characteristics, management, and outcomes of coronary perforation at a tertiary care institution.
Coronary perforation is a...
06/17/2022
Journal of Invasive Cardiology
Brief Communication
06/17/2022
Susan Jones-Miller, MD, MS; Venkat Shankarraman, MD, PhD; Michele B. Corbet, MS; Nicolas W. Shammas, MD, MS, FACC, FSCAI, FACP, FSVM; Gail A. Shammas, BSN, BS , RN, BSc
The Auryon 355-nm laser atherectomy system (AngioDynamics, Inc) showed a low rate of target-lesion revascularization (TLR) at 6-month follow-up in the EX-PAD-03 investigational device exemption study and the Auryon single-center experience...
The Auryon 355-nm laser atherectomy system (AngioDynamics, Inc) showed a low rate of target-lesion revascularization (TLR) at 6-month follow-up in the EX-PAD-03 investigational device exemption study and the Auryon single-center experience...
The Auryon 355-nm laser...
06/17/2022
Journal of Invasive Cardiology
Original Contribution
05/19/2022
Luca Mariani, MD, PhD; Giancarla Scalone, MD, PhD; Alessandro Aimi, MD; Antonella D'Antonio, MD; Luca Di Vito, MD, PhD; Mariateresa Ciommi, PhD; Simona Silenzi, MD; Pierfrancesco Grossi, MD
Percutaneous balloon aortic valvuloplasty (BAV) is actually recommended as a bridge to surgery or transcatheter aortic valve replacement in patients with severe aortic stenosis (AS) in particular clinical settings. In this pilot study, for...
Percutaneous balloon aortic valvuloplasty (BAV) is actually recommended as a bridge to surgery or transcatheter aortic valve replacement in patients with severe aortic stenosis (AS) in particular clinical settings. In this pilot study, for...
Percutaneous balloon aortic...
05/19/2022
Journal of Invasive Cardiology
Original Contribution
05/06/2022
Sehrish Memon, MD; Evan Friend, BS, MD; Sanjog Kalra, MD; Sean Janzer, MD; Jon C. George, MD, MBA
Three-dimensional (3D) printing of mesenteric artery (MA) anatomy preprocedurally for endovascular interventions can allow strategic preprocedure planning and improve procedure-related clinical outcomes. Three patients with computed...
Three-dimensional (3D) printing of mesenteric artery (MA) anatomy preprocedurally for endovascular interventions can allow strategic preprocedure planning and improve procedure-related clinical outcomes. Three patients with computed...
Three-dimensional (3D) printing...
05/06/2022
Journal of Invasive Cardiology