Long-term Results of Perfusion-Balloon Valvuloplasty, Without Rapid Pacing, in High-Risk Elderly Patients With Severe Aortic Stenosis: A New Space Oddity
Abstract
Background. Percutaneous balloon aortic valvuloplasty (BAV) is actually recommended as a bridge to surgery or transcatheter aortic valve replacement in patients with severe aortic stenosis (AS) in particular clinical settings. In this pilot study, for the first time, we report our experience utilizing a nonocclusive balloon for BAV, which does not require rapid ventricular pacing (RVP), in high-risk symptomatic elderly patients with severe AS. Methods and Results. From 2018 to 2020, a total of 30 high-risk elderly patients with heart failure due to severe AS were treated with BAV and were all prospectively included in the study. We used a perfusion-balloon valvuloplasty without RVP (True Flow; BD/Bard). Hemodynamic parameters were invasively evaluated during catheterization, before and immediately after BAV. All patients were regularly followed to detect the rate of mortality. The patients were 87.56 ± 4.10 years old and 23% were males. In the catheterization laboratory, the peak left ventricular to aortic pressure gradient significantly decreased from 55 mm Hg (interquartile range [IQR], 48.75-66.25) to 26 mm Hg (IQR, 15.7-30) immediately after balloon inflation (P<.001). The median value of percentage decrease of transaortic gradient was 56% (IQR, 50-74). At a median of 12 months (IQR, 5-27) follow-up, 12 patients (40%) died. The median time between BAV and mortality was 10.5 months (IQR, 1.75-15.5). At multivariable analysis, the only predictor of mortality was the New York Heart Association class at admission (odds ratio, 3.29; 95% confidence interval, 2.4-298.4; P<.01). Conclusion. This single-center pilot study represents the first evidence that perfusion-balloon valvuloplasty without RVP is a safe, valid, and durable option in high-risk, symptomatic, elderly patients with severe AS.
Keywords: aortic stenosis, elderly patients, perfusion-balloon valvuloplasty
Aortic stenosis (AS) represents the most common primary valve disease leading to surgery or catheter intervention in Europe and North America, with an increasing prevalence due to the aging population.1 The choice of the type of intervention should take into account the cardiac and extracardiac characteristics of the patient, the individual risk of surgery, which is assessed by the judgment of the heart team in addition to scores, the feasibility of transcatheter aortic valve replacement (TAVR), and the local experience and outcome data.2 Available data from randomized controlled trials and large registries in elderly patients at increased surgical risk show that TAVR is superior in terms of mortality to medical therapy in extreme-risk patients and noninferior or superior to surgery in high-risk patients.3 European Society of Cardiology guidelines actually recommend percutaneous balloon aortic valvuloplasty (BAV) as a bridge to surgery or TAVR or as a diagnostic means in patients with severe AS and particular clinical settings (eg, unstable patients).2,4-8 Among risks inherent in BAV, there is low cardiac output due to rapid ventricular pacing (RVP), especially in patients with severely impaired left ventricular function. In this pilot study, conducted at a center without on-site cardiothoracic surgical support, for the first time, we report our experience utilizing a nonocclusive True Flow balloon (BD/Bard) for BAV, which does not require RVP, in high-risk, symptomatic, elderly patients with severe AS.
Methods
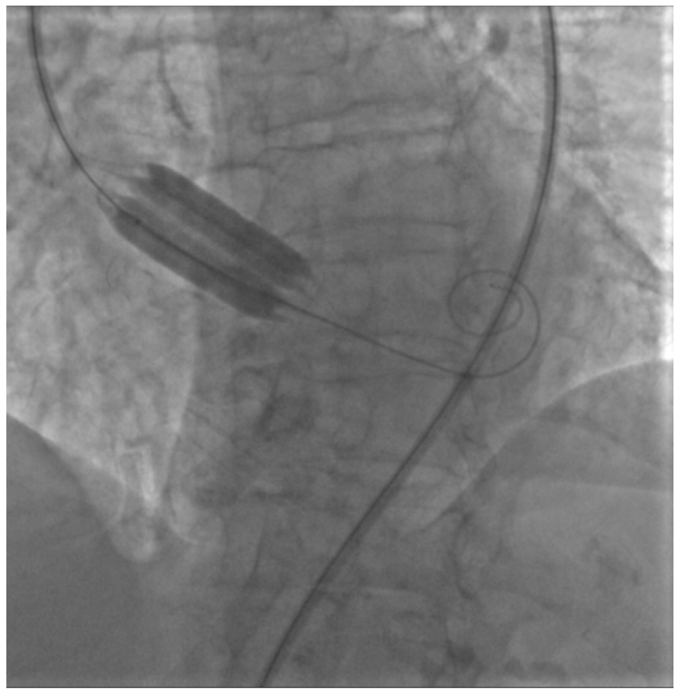
From 2018 to 2020, a total of 30 high-risk elderly patients, with a clinical manifestation of heart failure due to severe AS, were treated with BAV and were all prospectively included in the study. The Society of Thoracic Surgeons (STS) risk score was adopted to assess the cardiac mortality risk.9 Transaortic gradient was assessed by echocardiogram before BAV. All procedures were performed by femoral approach (right) employing a 12 Fr introducer sheath. Two vascular closure devices were predeployed prior to arterial sheath insertion and procedure initiation to allow suitable closure at the end of the case. Heparin 5000 IU was employed. We used True Flow perfusion-balloon valvuloplasty for aortic valve stenosis without RVP. Sixteen patients (53%) were treated with a 20- x 3.5-mm balloon and 14 patients (47%) with a 22- x 3.5-mm balloon. The diameter of balloons was based on transthoracic echocardiography. According to the guidelines of the American Society of Echocardiography, the aortic annulus was measured as the distance between the insertion of 2 adjacent leaflets on the parasternal long-axis view.10 Two balloon inflations (30 seconds each) were performed (Figure 1). All procedures were completed without RVP. Hemodynamic parameters were invasively evaluated during catheterization, before and immediately after BAV, at the same session. All device-related safety events were evaluated (device-related death, stroke, annulus rupture, coronary occlusion, or ventricular perforation during the dilation procedure). Vascular complications related to device insertion in the femoral-iliac axis were also investigated. All patients were regularly followed in order to detect the rate of mortality.
Statistical analysis. Data distribution was assessed according to the Kolmogorov-Smirnov test. Continuous variables were compared using an unpaired Student’s t test or Mann-Whitney U test, as appropriate, and data were expressed as mean ± standard deviation or as median (range). Categorical data were evaluated using the Chi-squared test. Event-free survival was measured from the date of the procedure to the occurrence of death. The cumulative incidence of death was estimated using the Kaplan-Meier method. Independent predictors of survival were analyzed using Cox proportional-hazards regression model. The results are reported as adjusted odds ratio (OR) with associated 95% confidence interval (CI). A 2-tailed P-value <.05 was established as the level of statistical significance for all tests. SPSS statistical software, version 17.0 (SPSS Italia, Inc) was used for analyses.
Results
Clinical characteristics of the 30 patients and procedural features are reported in Table 1. Mean patient age was 87.56 ± 4.10 years, 23% were males, and median STS score was 9.7% (range, 9.6-19.0). Nine patients (23%) had history of coronary artery disease. All patients were admitted to our center for heart failure; 17 were classified as New York Heart Association (NYHA) class III (57%) and 13 as NYHA class IV (43%). BAV represented destination therapy in 27 patients (90%) and as bridge to TAVR in 3 patients (10%). The median ejection fraction evaluated by echocardiogram was 55% (range, 40-56), with a median transaortic pressure gradient of 43 mm Hg (range, 38-50). Nine patients (30%) presented with low-flow low-gradient AS. In the catheterization laboratory, the peak left ventricular (LV) to aortic pressure gradient significantly decreased from 55 mm Hg (range, 48.75-66.25) to 26 mm Hg (range, 15.7-30) immediately after balloon inflation (P<.001). The median value of percentage decrease of transaortic gradient was 56% (range, 50-74). There were no reports of device-related safety events (ie, death, stroke, annulus rupture, coronary occlusions, ventricular perforation, or severe aortic regurgitations). During the procedure, only a single vascular complication occurred, ie, a common femoral dissection with a transient hypotension that did not require the use of inotropes and was successfully treated by covered stenting. No intraprocedural or periprocedural major arrhythmias were detected. During recovery, 2 deaths were reported (1 at 3 days due to acute renal insufficiency and 1 at 1 week due to pneumonia). At a median of 12 months of follow-up (range, 5-27), 12 patients (40%) had died (Figure 2). The median duration between BAV and death was 10.5 months (range, 1.75-15.5). At univariate analysis, independent predictors of mortality were history of coronary artery disease (OR, 0.43; 95% CI, 0.08-0.81; P=.02), NYHA class at admission (OR, 0.65; 95% CI, 0.36-0.93; P<.001), and STS score (OR, 0.36; 95% CI, 0.01-0.058; P=.047). At multivariable analysis, the only predictor of mortality was NYHA class at admission (OR, 3.29; 95% CI, 2.4-298.4; P<.01). The Italian National Institute of Statistics (ISTAT) maintains an archive of population mortality tables. Data are available at national, regional, and provincial levels, for various years, and by gender. For comparison with the data collected, the mortality table calculated for 2019 was used (Table 2).11 Considering the territorial availability of the data and the origin of the patients undergoing BAV, the table for the Marche region was used, divided by age groups. The 30 patients analyzed were divided into 3 age groups (80-84 years, 85-89 years, and 90-94 years). The percentage of survivors and the ratio between the living patients and the total number of patients was calculated for each age group.
From the comparison between the percentages calculated on the data collected and the prospective probability of survival calculated by ISTAT, it emerged that for the 85-89 years and 90-94 years age groups, the survival rates were higher in the population undergoing BAV than in the control population (0.66% vs 0.49% and 0.5% vs 0.29%, respectively). On the contrary, in the 80-84 years age group, the percentage was slightly lower (0.62% vs 0.71%, respectively).
Discussion
In this study we showed, for the first time, the following: (1) nonocclusive balloon for BAV, which does not require RVP, could be a useful and safe procedure in elderly patients with severe AS and clinical presentation of heart failure (NYHA ≥III); (2) at a median follow-up of about 12 months, the rate of mortality was 40%; (3) at multivariable analysis, the only independent predictor of mortality was the NYHA class at admission.
AS is predominantly a disease of the elderly, with significant mortality and morbidity.1 In the last years, there has been an increase in the average age of hospitalized patients, with multiple comorbidities that contraindicate the common interventions envisaged by the guidelines. The BAV represented, for many years, an effective therapeutic option for patients with severe AS not eligible for surgery. However, the modest improvement in the hemodynamic parameters in the months after the intervention, the high mortality, and the complications associated with early BAV, as well as its limited impact on long-term survival, decreased the enthusiasm for this procedure.12 In the last years, the introduction of TAVR has renewed interest in BAV as a bridge to definitive treatment or to decision making. The 2017 European Society of Cardiology guidelines provided several class IIb indications for BAV in patients with severe AS, including for palliative purposes; in those requiring urgent non-cardiac surgery; for diagnostic goals in patients with other confounding symptoms; and in those with other reversible organ dysfunctions to assess the response to BAV and potential benefit from subsequent escalation to TAVR.3 Regarding the comparison with TAVR, in a previous retrospective study, a propensity-score analysis was used to generate matched BAV and TAVR groups of 515 patients each. Although mortality, stroke, and vascular complications were numerically higher in the TAVR group, these differences were not statistically significant. The mean cost of TAVR was substantially higher than BAV ($213,400 vs $73,944, respectively).7 In this context, BAV could be considered a useful treatment in elderly, frail, and high-risk patients with severe AS,13 with a good cost-effectiveness ratio in comparison with TAVR. In 2013, Saia et al14 analyzed 415 consecutive patients who underwent BAV between 2000 and 2010 in Italy. In terms of overall procedure success, as measured by the reduction of the LV peak to aortic pressure gradient, the following was reported: >50% reduction in 51.8%, 30%-49% reduction in 25.3%, and <30% in 22.9% of patients.14 Our data reported a median reduction of the LV peak to aortic pressure gradient of 56%. Of note, this value is higher compared with previous studies.14 It is intriguing to hypothesize that it could be due to the longer inflation time (2 inflations of 30 seconds) allowed when utilizing a balloon that does not require RVP. Again, in comparison with the previous studies, we showed only a single major vascular complication and no life-threatening bleeding or stroke. In this context, Tissot et al15 have already supported the concept of patients undergoing BAV to improve hemodynamics and clinical status at relatively low procedural risk. Previous studies have also shown that a low institutional volume of BAV is associated with worse outcomes, with centers at the lowest quartile of annual procedure volume (1-2 procedures per year) having a 1.58-fold increased risk of in-hospital mortality compared with the highest volume centers (≥18 procedures per year).7 Saia et al reported that patients who underwent BAV for symptom palliation alone had 1-year and 2-year mortality rates of 44.3% and 67%, respectively.14 In a more recent study including 44 BAV patients presenting with cardiogenic shock due to acute decompensated severe AS, the 1-month mortality rate was 47%.16 Of note, 1-year rate of mortality or recurrence of cardiogenic shock was found to be 90% if BAV was delayed vs 59% if it was performed within the first 48 hours.
Regarding the comparison with the ISTAT data, a critical evaluation of the results is needed. First of all, we observed that the calculation of the survival rates produced by ISTAT is relative to the whole population of the Marche region for a given age group, and therefore, it is reasonable to assume that when considering a nonhealthy sample, the rate of survival should certainly be lower. Moreover, the ISTAT tables consider the survival rate at 1 year, whereas the outcome data in the study population were evaluated over the entire analysis period (for a maximum total of 30 months), including the patients who died after 1 year. Therefore, the calculated mortality rate of our data may overestimate the real values. Our data showed that for the average within 85 and 94 years old, the survival rates at 1 year were higher in the population undergoing BAV than in the entire population considered by ISTAT.
In previous studies, independent predictors of mortality were mostly related to the clinical characteristics of patients (eg, end-stage renal disease) and clinical presentation of disease (eg, cardiogenic shock).7 In our study, the only independent predictor of mortality was the NYHA class at admission. This point could allow us to focus on the importance of early intervention, before symptoms worsen.
Conclusion
This single-center pilot study, with a relatively small sample size, represents the first evidence that perfusion-balloon valvuloplasty without RVP is a safe, valid, and durable option in high-risk, symptomatic, elderly patients with severe AS who are deemed untreatable with TAVR or surgery. Future larger studies are required to corroborate these preliminary data.
Affiliations and Disclosures
From the 1Interventional Cardiology Department, Mazzoni Hospital, Ascoli Piceno, Italy; and 2Department of Economic and Social Sciences, Università Politecnica delle Marche, Ancona, Italy.
Disclosure: The authors have completed and returned the ICMJE Form for Disclosure of Potential Conflicts of Interest. The authors report no conflicts of interest regarding the content herein.
The authors report that patient consent was provided for publication of the image used herein.
Manuscript accepted September 30, 2021.
Address for correspondence: Giancarla Scalone, MD, PhD, Interventional Cardiology Department, Mazzoni Hospital, Via degli Iris 1, 63100 Ascoli Piceno, Italy. Email: gcarlascl@gmail.com
References
1. Eveborn GW, Schimmer H, Heggelund G, Lunde, P, Rasmussen K. The evolving epidemiology of valvular aortic stenosis: the Tronso study. Heart. 2013;99(6):396-400. Epub 2012 Sep 2. doi:10.1136/heartjnl-2012-302265
2. Baumgartner H, Falk V, Bax JJ, et al; ESC Scientific Document Group. 2017 ESC/EACTS Guidelines for the management of valvular heart disease. Eur Heart J. 2017;38(36):2739-2791. doi:10.1093/eurheartj/ehx391
3. Adams DH, Popma JJ, Reardon MJ, et al; U.S. CoreValve Clinical Investigators. Transcatheter aortic-valve replacement with a self-expanding prosthesis. N Engl J Med. 2014;371(10):967-968. doi:10.1056/NEJMc1408396
4. Dawkins S, Makkar RR. Balloon aortic valvuloplasty: is it still relevant? Circ Cardiovasc Interv. 2017;10(5):e005260. doi:10.1161/CIRCINTERVENTIONS.117.005260
5. Lazar HL. Is there still a role for balloon aortic valvuloplasty in the TAVR era? J Card Surg. 2018;33(10):607-608. doi:10.1111/jocs.13807
6. Frerker C. Urgent balloon aortic valvuloplasty in cardiogenic shock patients: still state of the art in the TAVI era? EuroIntervention. 2018;14:e494-e495. doi:10.4244/EIJV14I5A87
7. Alkhouli M, Zack CJ, Sarraf M, et al. Morbidity and mortality associated with balloon aortic valvuloplasty: a national perspective. Circ Cardiovasc Interv. 2017;10(5):e004481. doi:10.1161/CIRCINTERVENTIONS.116.004481
8. Sandhu K, Krishnamoorthy S, Afif A, Nolan J, Gunning MG. Balloon aortic valvuloplasty in contemporary practice. J Interv Cardiol. 2017;30:212-216.
9. Reiff C, Gurevich S, Bertog S, Sorajja P, Kelly R, Garcia S. Validation of STS/ACC TVT-TAVR score in veterans undergoing transcatheter aortic valve replacement. J Invasive Cardiol. 2018;30(12):447-451. Epub 2018 Sep 15.
10. Vahanian A, Alfieri O, Al-Attar N, et al. Transcatheter valve implantation for patients with aortic stenosis: a position statement from the European Association of Cardio-Thoracic Surgery (EACTS) and the European Society of Cardiology (ESC), in collaboration with the European Association of Percutaneous Cardiovascular Interventions (EAPCI). Eur Heart J. 2008;29(11):1463-1470. Epub 2008 May 12. doi:10.1093/eurheartj/ehn183
11. Italian National Institute of Statistics. Accessed May 11, 2022. http://dati.istat.it/Index.aspx?DataSetCode=DCIS_MORTALITA1#
12. Lieberman EB, Bashore TM, Hermiller JB, et al. Balloon aortic valvuloplasty in adults: failure of procedure to improve long‑term survival. J Am Coll Cardiol. 1995;26(6):1522-1528. doi:10.1016/0735-1097(95)00363-0
13. Cribier A, Savin T, Saoudi N, Rocha P, Berland J, Letac B. Percutaneous transluminal valvuloplasty of acquired aortic stenosis in elderly patients: an alternative to valve replacement? Lancet. 1986;1(8472):63-67. doi:10.1016/s0140-6736(86)90716-6
14. Saia F, Marrozzini C, Ciuca C, et al. Emerging indications, in-hospital and long-term outcome of balloon aortic valvuloplasty in the transcatheter aortic valve implantation era. EuroIntervention. 2013;8(12):1388-1397. doi:10.4244/EIJV8I12A212
15. Tissot CM, Attias D, Himbert D, et al. Reappraisal of percutaneous aortic balloon valvuloplasty as a preliminary treatment strategy in the transcatheter aortic valve implantation era. EuroIntervention. 2011;7(1):49-56. doi:10.4244/EIJV7I1A11
16. Debry N, Kone P, Vincent F, et al. Urgent balloon aortic valvuloplasty in patients with cardiogenic shock related to severe aortic stenosis: time matters. EuroIntervention. 2018;14(5):e519-e525. doi:10.4244/EIJ-D-18-00029
Related Articles


